Traumatic Brain Injury: Types, Causes, Symptoms, Diagnosis, and Treatments

Abstract

Traumatic brain injury is a serious medical condition that occurs when a sudden impact, jolt, or penetrating injury disrupts normal brain function. It can lead to temporary or permanent neurological impairments, affecting movement, cognition, emotions, and overall well-being. The severity of traumatic brain injury can range from mild concussions to life-threatening brain damage. Understanding its causes, symptoms, treatment, and long-term effects is crucial for effective management and recovery. This article provides an in-depth guide to traumatic brain injury, addressing its prevalence, risk factors, complications, and available treatment options. The information is presented in simple terms to ensure accessibility for all readers.

Keywords: complications of traumatic brain injury; concussion; contusions; diagnosis of traumatic brain injury; diffuse axonal injury; glasgow coma scale; hematoma; how common is traumatic brain injury; living with traumatic brain injury; moderate to severe traumatic brain injury; pathophysiology of traumatic brain injury; penetrating injuries; prognosis of traumatic brain injury; risk factors and causes of traumatic brain injury; symptoms of traumatic brain injury; treatment and management of traumatic brain injury; types of traumatic brain injury; what is traumatic brain injury

Correspondence: Exon Publications, Brisbane, Australia. books@exonpublications.com

Cite as: Traumatic Brain Injury: Types, Causes, Symptoms, Diagnosis, and Treatments. Brisbane (AU): Exon Publications; 2025. Published on 17 Mar.

Doi: https://doi.org/10.36255/traumatic-brain-injury-types-causes-symptoms-diagnosis-treatments

Copyright: Exon Publications.

License: Creative Commons Attribution-NonCommercial-NoDerivs 4.0 (CC BY-NC-ND 4.0) https://creativecommons.org/licenses/by-nc-nd/4.0/

Introduction

The brain is a vital organ responsible for controlling essential functions such as thought, memory, movement, and emotions. When it sustains an injury due to an external force, the consequences can be significant and long-lasting. Traumatic brain injury is a condition that affects millions of people worldwide, often leading to temporary or permanent disabilities. The severity of the injury varies based on the force of impact, location of the trauma, and how quickly medical intervention is provided. This article explores the different aspects of traumatic brain injury, including its symptoms, diagnosis, treatment, and long-term management strategies to help individuals and their loved ones understand this condition better (13).

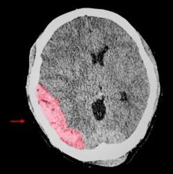
Traumatic Brain Injury or TBI illustration
Traumatic brain injury occurs when an external force disrupts the normal function of the brain. It can result from direct head trauma, sudden acceleration or deceleration forces, or penetrating injuries such as gunshot wounds. A brain CT scan of a patient with traumatic brain injury showing large lens shaped epidural hemorrhage (EDH). Image Credit: Sopone Nawoot from Getty Images via Canva.com.

What is Traumatic Brain Injury?

Traumatic brain injury occurs when an external force disrupts the normal function of the brain. It can result from direct head trauma, sudden acceleration or deceleration forces, or penetrating injuries such as gunshot wounds. The brain is a delicate structure protected by the skull, but when a strong force is applied, the brain can move within the skull, causing damage to brain tissue. Some injuries lead to mild disruptions in brain function, while others cause significant and lasting impairments. Genetic factors, such as variations in the APOE and MAPT genes, may influence recovery and susceptibility to brain injury.

How Common is Traumatic Brain Injury?

Traumatic brain injury is a widespread condition affecting people of all ages. Millions of cases occur each year, with the highest incidence among children, young adults, and older individuals. Falls are one of the leading causes of traumatic brain injury, particularly among the elderly and young children. Motor vehicle accidents, sports injuries, and physical assaults are also significant contributors. Military personnel and individuals who engage in high-impact sports are at a higher risk. Advances in medical technology have improved survival rates, but many individuals continue to experience long-term complications following brain injuries.

Types of Traumatic Brain Injury

Traumatic brain injury is categorized based on severity and the type of injury sustained: mild traumatic brain injury, commonly known as a concussion; moderate to severe traumatic brain injuries; contusions; hematomas; diffuse axonal injuries; and penetrating injuries.

Concussion

A concussion is a mild form of traumatic brain injury that occurs when a sudden impact or jolt to the head causes the brain to move rapidly within the skull. This movement can result in temporary disruptions in brain function, leading to symptoms such as headache, dizziness, confusion, nausea, and sensitivity to light or sound. While concussions do not always cause visible structural damage to the brain, they can affect cognitive abilities and coordination. Most concussions resolve with rest and proper medical management, but repeated concussions may lead to long-term complications such as chronic traumatic encephalopathy (CTE).

Moderate to Severe Traumatic Brain Injury

Moderate to severe traumatic brain injury involves more extensive damage to the brain than a concussion and can result in prolonged loss of consciousness, cognitive impairments, and physical disabilities. Individuals with moderate to severe TBI may experience difficulties with memory, speech, motor function, and emotional regulation. In severe cases, the injury can cause coma or permanent disability. Treatment often requires hospitalization, rehabilitation therapy, and long-term medical care to manage complications such as seizures, swelling, and changes in behavior. Recovery depends on the severity of the injury, the location of the damage, and the effectiveness of early intervention.

Contusions

A contusion is a localized bruise on the brain caused by direct impact to the head, leading to bleeding and swelling in a specific area. Contusions commonly occur in the frontal and temporal lobes, where the brain is more likely to collide with the skull during an injury. Symptoms vary depending on the size and location of the contusion but may include dizziness, confusion, memory loss, and difficulties with movement or speech. Large contusions may require surgical intervention to relieve pressure on the brain, while smaller ones may heal with monitoring and supportive care.

Hematoma

A hematoma is a collection of blood outside the brain’s blood vessels, which can form within or around the brain following trauma. Hematomas are classified based on their location, including epidural, subdural, and intracerebral hematomas. Depending on the severity, hematomas can cause increased pressure on the brain, leading to severe headaches, loss of consciousness, vomiting, and neurological deficits. Large hematomas may require surgical drainage to prevent further brain damage, while smaller ones may be monitored closely to ensure they do not expand and worsen over time.

Diffuse Axonal Injury

Diffuse axonal injury (DAI) is a severe form of traumatic brain injury that occurs when rapid acceleration or deceleration forces stretch and tear nerve fibers (axons) throughout the brain. This type of injury is often associated with car accidents, falls, or high-impact trauma. Because axonal damage disrupts communication between different brain regions, DAI can result in loss of consciousness, coma, or significant cognitive impairments. Unlike focal injuries such as contusions, DAI affects multiple areas of the brain, making recovery more challenging. Treatment focuses on supportive care, rehabilitation, and therapies to help regain lost functions.

Penetrating Injuries

Penetrating brain injuries occur when an object, such as a bullet, knife, or shrapnel, pierces the skull and directly damages brain tissue. These injuries can cause severe neurological impairments depending on the area affected, leading to loss of motor function, speech difficulties, or changes in personality. The extent of damage depends on the speed, size, and trajectory of the penetrating object. Immediate medical intervention is necessary to control bleeding, remove foreign objects, and prevent infection. Survivors of penetrating brain injuries may require long-term rehabilitation and therapy to regain cognitive and physical abilities.

Risk Factors and Causes of Traumatic Brain Injury

Several factors increase the risk of traumatic brain injury. Motor vehicle accidents remain a leading cause, especially when seat belts and helmets are not used. Falls are common among older adults, particularly those with balance issues. High-impact sports such as football, boxing, and hockey carry a greater risk of head injuries. Physical violence, including domestic abuse and gunshot wounds, can result in traumatic brain injury. Alcohol and drug use can impair judgment and coordination, increasing the likelihood of accidents that lead to head injuries. Genetic predisposition, including variations in the SOD2 gene, may influence an individual’s ability to recover after brain trauma.

Symptoms of Traumatic Brain Injury

The symptoms of traumatic brain injury vary depending on its severity. Mild cases may cause headaches, dizziness, and temporary confusion. Individuals may also experience nausea, sensitivity to light, and difficulty concentrating. Moderate to severe brain injuries can result in loss of consciousness, seizures, slurred speech, and memory loss. Vision disturbances, personality changes, and difficulty with coordination are also common symptoms. In severe cases, individuals may develop comas or long-term cognitive impairments. Seeking medical attention immediately after a head injury is essential to prevent further complications.

Pathophysiology of Traumatic Brain Injury

Traumatic brain injury affects the brain by disrupting normal neuronal function. When an external force is applied, the brain moves within the skull, leading to damage of brain cells and blood vessels. This impact triggers inflammation, swelling, and the release of harmful chemicals that can cause further damage. Reduced oxygen supply to brain tissues can result in cell death. Secondary injuries, such as increased pressure within the skull and decreased blood flow, worsen the condition. Genetic factors, such as variations in the BDNF and GFAP genes, may play a role in brain repair and recovery after injury.

Diagnosis of Traumatic Brain Injury

Diagnosing traumatic brain injury involves a combination of clinical evaluation and imaging tests. A healthcare provider assesses the patient’s level of consciousness, cognitive function, and neurological responses. The Glasgow Coma Scale is used to determine the severity of the injury based on eye, verbal, and motor responses. Imaging tests such as computed tomography (CT) scans and magnetic resonance imaging (MRI) help detect brain swelling, bleeding, or fractures. In some cases, electroencephalography (EEG) is used to assess brain activity. Early diagnosis is crucial for planning effective treatment and preventing long-term complications.

The Glasgow Coma Scale

The Glasgow Coma Scale (GCS) is a widely used tool for assessing the severity of traumatic brain injury (TBI) based on a patient’s level of consciousness. It evaluates three key responses: eye-opening, verbal response, and motor response, assigning a score to each category. The total GCS score ranges from 3 to 15, with higher scores indicating better neurological function. A score of 13 to 15 suggests a mild TBI, 9 to 12 indicates a moderate TBI, and 3 to 8 signifies a severe TBI, often associated with coma or loss of brain function. The GCS is commonly used in emergency and critical care settings to guide treatment decisions, monitor a patient's progress, and predict potential outcomes. While the Glasgow Coma Scale is an essential initial assessment tool, additional imaging tests such as CT scans or MRI may be required for a more detailed evaluation of brain injuries.

Complications of Traumatic Brain Injury

Traumatic brain injury can lead to various complications that impact physical and mental health. Post-concussion syndrome occurs when symptoms such as headaches, dizziness, and fatigue persist for weeks or months. Seizures and epilepsy are potential complications, particularly in individuals with severe brain damage. Cognitive impairment, including difficulty with memory, concentration, and problem-solving, may develop. Emotional and behavioral changes, such as depression, anxiety, and mood swings, are common. Sleep disturbances and chronic pain can also affect daily life. In severe cases, individuals may require long-term care and rehabilitation.

Treatment and Management of Traumatic Brain Injury

The treatment of traumatic brain injury depends on its severity. Mild injuries often require rest and monitoring to ensure symptoms do not worsen. Pain relievers such as acetaminophen (Tylenol) may help alleviate headaches. Severe cases may require hospitalization, medications to reduce brain swelling, and surgery to remove blood clots or relieve pressure. Corticosteroids like dexamethasone (Decadron) may be used to reduce inflammation. Rehabilitation programs, including physical, occupational, and speech therapy, play a crucial role in recovery. Supportive care and counseling help individuals adjust to changes in cognitive and emotional function.

Prognosis of Traumatic Brain Injury

The prognosis of traumatic brain injury varies based on its severity and promptness of treatment. Many individuals with mild injuries recover fully, while moderate to severe injuries may result in long-term disabilities. Early intervention, rehabilitation, and ongoing medical care improve the chances of recovery. Advances in research continue to explore new treatment options, including neuroprotective drugs and stem cell therapies.

Living with Traumatic Brain Injury

Living with traumatic brain injury requires adjustments to daily life. Support from family, friends, and healthcare professionals is essential for coping with physical and emotional changes. Rehabilitation programs help individuals regain lost skills and independence. Lifestyle modifications, such as maintaining a healthy diet, engaging in physical activity, and managing stress, contribute to overall well-being. Educational resources and support groups provide valuable guidance for individuals and caregivers.

Conclusion

Traumatic brain injury is a serious condition that affects millions of people worldwide. Understanding its causes, symptoms, and treatment options is essential for effective management and recovery. Advances in medical research continue to improve outcomes for individuals with brain injuries.

References

  1. Maas AI, Stocchetti N, Bullock R. Moderate and severe traumatic brain injury in adults. Lancet Neurol. 2008;7(8):728-741. https://doi.org/10.1016/S1474-4422(08)70164-9
  2. McKee AC, Daneshvar DH, Alvarez VE, Stein TD. The neuropathology of traumatic brain injury. Handb Clin Neurol. 2015;127:45-66. https://doi.org/10.1016/B978-0-444-52892-6.00004-0
  3. Smith DH, Hicks R, Povlishock JT. Therapy development for diffuse axonal injury. J Neurotrauma. 2013;30(5):307-323.https://doi.org/10.1089/neu.2012.2825
Notice to the User

This article is part of the Public Education Series initiative by Exon Publications. It was written by professional medical writers for the general public in plain language, based on peer-reviewed articles indexed in PubMed, and further reviewed for scientific accuracy by experts. The views and opinions expressed in this article are believed to be accurate at the time of publication. However, the publisher, editors, and authors cannot be held responsible or liable for any errors, omissions, or consequences arising from the use of the information provided. The publisher makes no warranties, explicit or implicit, regarding the contents of this article or its use. The information in this article is intended solely for informational purposes and should not be considered medical advice.