5

Radiomics in Malignant Lymphomas

Stephane Chauvie1 Luca Ceriani2,3 Emanuele Zucca3,4

1Medical Physics Department S. Croce Hospital, Cuneo, Italy; 2Nuclear Medicine and PET/CT Centre, Imaging Institute of Southern Switzerland, Ente Ospedaliero Cantonale, Bellinzona, Switzerland; 3Institute of Oncology Research, Faculty of Biomedical Sciences, Università della Svizzera Italiana, Bellinzona, Switzerland; 4Medical Oncology, Oncology Institute of Southern Switzerland, Ente Ospedaliero Cantonale, Bellinzona, Switzerland

Abstract: Imaging has a pivotal role in the management of lymphoma patients, from the diagnosis to the therapy assessment. Its importance has grown exponentially in the last years thanks to the introduction of 18F-fluoro-deoxy-glucose positron emission tomography/computed tomography (18FDG-PET/CT) that permitted to design clinical trial in which treatment was adapted on the basis of metabolic response obtained in the early phase of treatment, usually after two cycles of chemotherapy. This approach has been successfully translated in clinical practice thanks to the introduction of the Deauville criteria, which is currently the standard method for PET/CT imaging reporting and metabolic response assessment. The introduction of quantitative evaluation of baseline PET/CT images provided new functional indices such as metabolic tumor volume (MTV) that demonstrated good value in predicting patient outcome. Recently, radiomic analysis has allowed the extraction of a wide variety of quantitative data that reflect biological characteristics of disease providing additional promising prognostic biomarkers in lymphomas.

Keywords: 18FDG-PET/CT; Deauville 5-point scale; metabolic tumor volume; radiomics of lymphoma; total lesion glycolysis

Author for Correspondence: Stephane Chauvie, Medical Physics Department, Santa Croce Hospital, 12100 Cuneo, Italy. Email: chauvie.s@ospedale.cuneos.it

Cite this chapter as: Chauvie S, Ceriani L, Zucca E. Radiomics in Malignant Lymphomas. In: Gallamini A, Juwied M. editors. Lymphoma. Brisbane (AU): Exon Publications. Online first 2021 Nov 17.

Doi: https://doi.org/10.36255/exon-publications.lymphoma.2021.radiomics

In: Gallamini A, Juwied M (Editors). Lymphoma. Exon Publications, Brisbane, Australia. ISBN: 978-0-6453320-0-1; Doi: https://doi.org/10.36255/exon-publications.lymphoma.2021

Copyright: The Authors.

License: This open access article is licenced under Creative Commons Attribution-NonCommercial 4.0 International (CC BY-NC 4.0) https://creativecommons.org/licenses/by-nc/4.0/

INTRODUCTION

18F-fluoro-deoxy-glucose positron emission tomography/computed tomography (18FDG-PET/CT) is a widely used and common imaging procedure in oncology. 18FDG-PET/CT scans reporting in lymphoma first requires the visual analysis of whole-body scan describing in a binary scale (present/absent), the area of uptake, and their position in the patient’s body. In recent years, the use of PET/CT for the evaluation of the response to therapy has pushed the imaging specialist to analyze the areas of uptake moving from the binary scale to a discrete or continuous scale (1, 2).

For the response assessment of Hodgkin (HL) and 18FDG-avid non-Hodgkin lymphomas (NHL), the Lugano classifications (3) introduced the discrete Deauville 5-point scale (DS) that defines the areas of uptake in the disease compared to physiological districts (4). One of its practical advantages is to use internal reference organs and hence not depending on factors affecting the estimation of standardized uptake value (SUV), permitting an adherence to PET protocols that is easily achievable by any nuclear medicine center. SUV is indeed the most frequently used continuous scale measuring tumor glucose metabolism. It is defined as the ratio of the decay corrected 18FDG concentration in a volume of interest to the injected dose normalized to the patient’s body weight, or in certain settings, to the lean body mass.

SUV is not used in the Lugano classification, which, formally, is based on visual analysis. However, some researchers tend to complement the visual assessment using SUV to reduce inter-observer variability in DS definition. Hence, they compare the SUV of the lesion to that of physiological organs, in particular when the uptake in the lesion is quite similar to that of liver, to support the visual analysis in the discrimination between score 3 and 4 and between score 4 and 5 (5, 6). Beside its higher precision, SUV has been studied extensively to increase the accuracy of PET/CT evaluation. Indeed, a continuous scale, as opposed to a binary or discrete scale, permits to increase the granularity in the description of the areas of uptake. This is particularly important in the framework of interim restaging, when PET/CT is executed shortly after the beginning of therapy (usually after 2 cycles) or during a biologically targeted treatment, when detecting slighter variations of uptake may be useful. Unfortunately, small variations could be easily diluted in the normal variability of 18FDG uptake in PET scan. Indeed, a variety of physical, technical, and biological factors affect the tracer uptake and can limit the reproducibility of SUV among different exams. In multicenter clinical trials, SUV measurement variation across PET/CT scanners is in the range of 10–25% (6, 7). Hence, the price to pay for an accurate measurement of the tracer uptake when using a continuous scale, is to avoid protocol variation in repeated scans and to cross-calibrate the scanners when the patient performs the scan at different centers (7, 8).

PET METRICS IN PET/CT: MTV AND TLG

Metabolic tumor volume (MTV) and total lesion glycolysis (TLG) are SUV-based functional metrics, both of which measure metabolic activity in an entire tumor mass to reflect disease biology. The MTV reflects the metabolically active volume of a tumor lesion, and it is expressed usually in cm3 or ml. The TLG is calculated by multiplying the MTV and the average SUV estimated in the same lesion, representing an index of metabolic burden. The sum of individual measurements of all single tumor lesions detected in the same patient defines the total MTV (TMTV) and total TLG (TTLG). Several studies demonstrated the prognostic utility of volumetric PET parameters, particularly TMTV and TTLG, in different lymphoma subtypes (918).

In a meta-analysis, Guo et al. (19) analyzed twenty-seven studies including 2,729 patients, demonstrating that high baseline TMTV or TLG predict significantly worse progression-free survival (PFS) and overall survival (OS) in patients with lymphoma. Patients with high baseline TMTV showed a worse prognosis with an HR of 3.05 (95% CI 2.55–3.64, p<0.00001) for PFS and an HR of 3.07 (95% CI 2.47–3.82, p<0.00001) for OS. Patients with high baseline TLG also showed a worse prognosis with an HR of 3.44 (95% CI 2.37–5.01, p<0.00001) for PFS and an HR of 3.08 (95% CI 1.84–5.16, p<0.00001) for OS. A high baseline TMTV and RLG were significantly associated with worse survival in DLBCL patients treated with R-CHOP (OS, pooled HR = 3.52; PFS, pooled HR = 2.93 for TMTV and OS, pooled HR = 3.06; PFS, pooled HR = 2.93 for TLG). The negative effect of high baseline TMTV on PFS was demonstrated in HL (pooled HR = 3.89) (19).

In a more recent systematic review, Frood et al. (20) analyzed forty-one studies (31 DLBCL and 10 HL), confirming the prognostic value of MTV (PFS: HR 2.09– 11.20, OS: HR 2.40–10.32) and TLG (PFS: HR 1.078–11.21, OS: HR 2.40–4.82) in DLBCL and of MTV (PFS: HR 1.2–10.71, OS: HR 1.00–13.20) in HL. Nevertheless, these authors pointed out that most of the analyzed studies were retrospective, underpowered, and heterogeneous in their methodology and lacked external validation of the described models. They also stressed how further work––in protocol harmonization, automated segmentation techniques and optimal cut-off definition––is required to develop robust methodologies, which can be feasible and reproducible in the everyday clinical setting (20). In fact, although PET metrics are potentially useful parameters, they are not yet integrated in clinical setting mainly because of lack of technical standardization (21, 22).

One of the major hurdles is the correct definition of the edges of the tumor lesion based on the distinction between the 18FDG uptakes of the lesion from that of the surrounding tissues. Many different methods have been developed to segment the target region but none of this has proven to be accurate and precise (2325). Segmenting a volume that is above a fixed (e.g., SUV = 2.5 or 41% of SUVmax) threshold is the most used method because of its simplicity and because any segmentation software has this option. The major problem is that it is strongly dependent on image resolution, image noise level, on SUV itself, and on local tumor to background ratio. More advanced techniques have also been developed (26), however, the algorithms are not yet widely available to the medical community. Given the variety of methods used and the degree of operator experience, the variability in the estimation of functional PET parameters can be extremely high (27). Therefore, at present, no universally accepted reproducible and practical method for tumor segmentation exists (21). An initiative to standardize the estimation of MTV in lymphoma patients was launched during the International Workshop on PET in lymphoma and myeloma held in Menton, France, in October 2018 (21). This work is still in progress; its scope is to perform a technical validation of MTV and TLG measurement on 18F-FDG PET/CT images, enabling benchmark reference ranges to be derived from different methods using various software programs. We expect the results of this important initiative to be presented during the 2022 PILM meeting.

So, while several studies clearly demonstrated the prognostic value of MTV and TLG, future clinical trials enrolling patients with different types of lymphoma are warranted to determine whether these novel findings can be integrated into various prognostic models, with the goal of achieving better risk stratification and treatment selection. To the best of our knowledge, there is only one ongoing trial (RAFTING, NCT04866654) using the MTV as a stratification tool for treatment selection in patients with early HL.

RADIOMICS

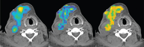
One potential approach to override these problems is to associate other features derived from imaging. A variety of mathematical methods can be used to describe the variability in the distribution of 18FDG uptake (as well as the variability in tissue density), resulting in the identification of several quantitative and semi-quantitative imaging features. This approach as a whole is termed radiomics (Figure 1). In other words, radiomics refer to the extraction of measurable features that derive from the conversion of images into mineable data and to their subsequent analysis. The radiomics process ends testing the correlation of the image features with the patient clinical characteristics and outcome (28). The underlying hypothesis of radiomics is that these quantitative image features related to the shape, morphology and heterogeneity of the lesion reflects the biological properties of the tumor. An example of different radiomics features on a patient’s lesion is shown in Figure 2.

Fig 1

Figure 1. Picture depicting the workflow for radiomics analysis. A real object, as depicted in the first column (upper row) defined by predetermined characteristics (first column, lower row) is imaged with a PET/CT scanner (PET images on the second column upper row fused with CT images, second column, lower row). Then the object is segmented on PET images to define its boundaries (third column) and various features are mathematically extracted––for example, histogram intensity indices such as SUVmax, SUVmean, MTV, TLG, etc. (last column, upper row), shape features such as sphericity, gradients, etc. (last column, central row), and texture features such as contrast, heterogeneity, emphasis, etc. (last column, lower row).

Fig 2

Figure 2. Example of different radiomics features (colored) over-imposed to the CT of a lymphomatous lesion in a DLBCL patient. SUV on the left, emphasis at the center and contrast to the right.

The pioneer work of Aerts et al. showed that radiomics decodes a general prognostic phenotype existing in different cancer types by revealing associations with the underlying gene-expression patterns (29). Indeed, the pattern of 18FDG uptake in a tumor lesion represents several different biological characteristics: vascularization, cellularity, hypoxia, metabolism, cell density, and necrosis. Despite a large number of 18FDG-PET radiomic studies in solid tumors, in particular in lung cancer (28, 3038), it is still unclear which features are relevant and what they represent. Moreover, very few data are available on malignant lymphomas.

Preliminary studies showed that radiomics could discriminate lymphoma from physiological tissues and/or non-lymphomatous lesions. In one of the first works on the prognostic value of radiomics Ben Boallegue et al. showed, in a small mixed cohort of 57 patients with either HL or NHL-Hodgkin lymphoma, that the integration of radiomics features to MTV and histology can improve the early response evaluation (39). These authors hypothesized that radiomic texture and shape features are determined by histopathological characteristics such as cellular heterogeneity, hypoxia or necrosis, and vascularity, which would affect lymphoma response to chemotherapy. In keeping with this hypothesis, the relevance of the metabolic heterogeneity (MH) within 18FDG-PET lesion to discriminate patients with different prognosis was shown by Ceriani et al. in a population of 103 patients with Primary Mediastinal B-cell Lymphoma (PMBCL) enrolled in a prospective multicenter clinical trial (IELSG26) (40).

In diffuse large B-cell lymphoma (DLBCL) some retrospective early studies showed that individual PET radiomic features may anticipate treatment response (41), may correlate with bone marrow involvement (42), and may increase the predictive power of MTV (43). All these studies, however, have important limitations, in particular the small sample size and the variety of treatments.

Subsequent studies confirmed the potential prognostic utility of radiomics in DLBCL. Cotterau et al. studied 95 patients with advanced disease (90% stage 4) and at least two lesions on baseline PET/CT among the patients with intermediate or high-risk international prognostic index (IPI) score treated with aggressive immunochemotherapy regimens (either R-CHOP14 or R-ACVBP) in the LNH073B trial (44). In multivariate analysis, including several radiomic features, MTV and the maximum distance among lesions (Dmax) were the best outcome predictors. Combining MTV and Dmax improved the risk stratification of patients, generating three risk groups with significantly different outcomes (P = 0.0003 for PFS and P = 0.0011 for OS). The high-risk group (18 patients with elevated MTV and Dmax values) had 4-year PFS and OS of 50% and 53%, respectively. The intermediate-risk group (41 patients with 1 adverse factor) had 4-year PFS and OS of 73% and 88%, respectively, while the low-risk group (36 patients with no adverse factors) had 4-year PFS and OS of 94% and 97%, respectively.

Ceriani et al. analyzed baseline PET/CT of 141 patients with DLBCL treated with R-CHOP14 in the prospective SAKK38/07 study demonstrating that elevated MH of the “hottest lesion” significantly predicted poorer outcomes in the subgroups of patients with elevated MTV (16). A model integrating MTV and MH identified high-risk patients with shorter PFS (testing set: HR, 5.6; 95% CI, 1.8–17; P = .0001; validation set: HR, 5.6; 95% CI, 1.7–18; P = .0002) and shorter OS (testing set: HR, 9.5; 95% CI, 1.7–52; P = .0001; validation set: HR, 7.6; 95% CI, 2.0–28 P = .0003) (16).

Only a few retrospective studies thus far have addressed the use of radiomics for a comprehensive disease evaluation in malignant lymphomas, exploring the application of textural analysis (third order metrics). Alas, these studies included different radiomic features, utilized different extraction methods and obtained controversial results.

Parvez et al. tested the radiomics in a single-center cohort of 66 DLBCL patients (41). Their analysis included only 1 to 3 lesions with the highest uptake in each scan. This study failed to identify a radiomics signature as prognosticator of outcome, although a relationship with disease-free survival and OS was found for some individual radiomic features (41).

Lue et al. explored a small cohort of 83 patients, using a whole-tumor image analysis. They found a single heterogeneity-related radiomic feature (GLRLM run length non-uniformity, RLN), to be associated with PFS and OS (45) whilst another larger study of 132 DLBCL patients, confirmed the prognostic value of the MH of the largest tumor lesion (described by a radiomic feature termed Long-Zone High-Grey Level Emphasis, LZHGE), in predicting event-free survival (46).

Finally, two most recent studies, one from the Swiss Group for Clinical Cancer Research (SAKK) (47) and the other from the Key Laboratory of Medical Molecular Imaging of Zhejiang Province, Hangzhou, China explored the radiomics in DLBCL using a similar approach (48). Both these studies applied the least absolute shrinkage and selection operator (LASSO) algorithm to select the features that define the radiomic signatures (RS), both built the RS in a testing set and validated their findings in a separate patient cohort.

In the Swiss study, 107 radiomics features were extracted (using the PyRadiomics Python package) from baseline PET/CT scans of 133 DLBCL patients treated with the R-CHOP14 regimen in the prospective clinical trial (SAKK 38/07). LASSO regression selected four radiomic features (a geometric index of disease dissemination and three heterogeneity descriptors) and discarded all clinical variables, prognostic indexes and standard PET metrics. The linear combination of the selected radiomic features generated a prognostic radiomics score whose prognostic efficacy was validated in an independent cohort of 107 DLBCL patients treated with the R-CHOP21 regimen. The radiomic signature (RS) allowed risk classification of patients with significantly different PFS, and OS in both cohorts showing better predictive accuracy respect to clinical international indices (47).

In the Chinese retrospective study, 152 adult DLBCL patients treated with either the R-CHOP21 or the R-EPOCH regimen were included and divided into a training cohort (n = 100) and a validation cohort (n = 52) according to the time of enrollment. More than a thousand radiomic features were extracted from the TMTV and from the metabolic bulk volume (MBV) in baseline 18FDG PET/CT scans. Specific TMTV- and MBV-based RS were generated, which together with the IPI, were independent predictors of PFS and OS. Hybrid nomograms combining RS with IPI performed better than IPI alone, indicating that the RS could increase the IPI prognostic value (48).

Similarly, few works exist on Hodgkin lymphoma (HL). Milgrom et al. retrospectively analyzed 18FDG-PET scans of 251 patients with in early-stage (Ann Arbor stage I-II) classical HL with mediastinal disease (49). The radiomic analysis was performed using an in-house imaging software on 33 quantitative features (comprising histogram features, gray-level matrices features and basic shape features) extracted from baseline 18F-FDG/PET scans. Based on the five most predictive PET radiomic features, these authors built an imaging-based prognostic model. Two of the incorporated features are indicators of MTV and SUVmax, well-known prognostic markers in classical HL (1921). With the inclusion of three additional features, all radiomic measures of texture, their model predicted the risk of primary refractory disease more accurately than MTV, TLG, or SUVmax. The radiomic model also identified a high-risk subgroup of refractory patients that could not be salvaged (49).

Lue et al. retrospectively analyzed single-scanner pre-therapeutic 18F-FDG/PET scans of 42 HL patients that subsequently underwent chemotherapy or combined radio-chemotherapy (50). This study also focused on survival prognostication by means of overall 450 3D radiomic features extracted from original/normalized and wavelet-decomposed images. In their multivariate Cox regression analysis, only a single gray-level run length matrix feature (intensity non-uniformity) remained prognostic for both OS and PFS, and a single histogram feature (SUV kurtosis) was prognostic for PFS alone. Of note, MTV, was neither prognostic for OS or PFS (50). These results were confirmed in an updated paper of the same investigators (51).

Scanty published data are available for other lymphoma sub-types. Tatsumi et al. analyzed retrospectively 45 FL patients with follicular lymphoma, showing that only low gray-level zone emphasis, among all the studied texture features attained statistical significance to predict complete response. (52)

In a retrospective study of 107 treatment-naïve patients with mantle cell lymphoma (MCL), Mayerhofer et al. used a multilayer perceptron neural network in combination with logistic regression analyses for feature selection. Two radiomic features, SUVmean and Entropy (heterogeneity of glucose metabolism) were significantly predictive of 2-year PFS and their integration with the international prognostic indices for MCL (MIPI and MIPI-b) resulted in better risk models (53). The same group showed that texture features extracted from 18FDG-PET scans could improve the SUV-based prediction of bone marrow involvement in MCL (54).

Wang et al. conducted a retrospective study of 110 extranodal natural killer/T-cell lymphoma (ENKTL) patients (divided into a training and a validation cohort). Forty-one radiomic features (comprising first-order histogram and shape features, grey-level matrices, and conventional metabolic parameters) were extracted from pretreatment PET scans and LASSO regression was used to develop RS signatures that predicted patient outcomes. The radiomics-based models integrating the R-signatures and clinical factors achieved good predictive values. After multivariate Cox regression of clinical variables and metabolic parameters, metabolism-based models were also built for PFS (integrating MTV and IPI) and for OS (integrating SUVmax, MTV, and performance status) and compared with the radiomic-based models. The performance of the metabolism-based model was superior to that of radiomics-based model in both training and validation sets (55).

CONCLUSION

Radiomics applies advanced computational methods to convert medical imaging data into quantitative descriptors of biological lymphoma characteristics that may predict patient survival. First-order radiomic features, such as MTV and TLG are well-known consistent predictors of patient outcomes in several types of lymphomas. Growing evidence indicates that prognostic models incorporating second and higher order radiomics features would more accurately predict outcomes than volumetric PET parameters alone and radiomics seems a promising tool to identify imaging biomarkers that may help tailor treatment to the individual patient treatment (discriminating those who would benefit from escalation vs. de-intensification of therapy) and contribute to improve outcomes. Indeed, radiomics provides a large number of quantitative information that may have a large clinical impact in stratifying pre-therapeutic patient risk and monitoring phenotypic changes during treatment. The extraction of the radiomics indices is simple and non-invasive to obtain, needing only additional mathematical elaboration of the existing images without further exposing the patient to other diagnostic procedures. Nevertheless, the few studies published so far produced inconclusive results due mainly to the limited number of patients enrolled and the lack of a methodological standardization. In fact, a consensus on several critical steps in the radiomics workflow is an unmet need to ensure comparability of results from different studies. We do expect that in the near future new studies can confirm the potential role of 18FDG PET radiomics in selecting new robust imaging biomarkers that––alone or in combination with clinical characteristics and genetic profiles––may enhance the disease characterization and generate novel tools to guide the choice of personalized treatments. However, the differences in biological and clinical characteristics of different lymphoma subtypes and the increasing number of treatment options require further and ideally prospective studies to better understand the role of radiomics in a very heterogeneous group of disease entities.

Conflict of interest: The authors declare no potential conflicts of interest with respect to research, authorship and/or publication of this manuscript.

Copyright and Permission Statement: The authors confirm that the materials included in this chapter do not violate copyright laws. Where relevant, appropriate permissions have been obtained from the original copyright holder(s), and all original sources have been appropriately acknowledged or referenced.

REFERENCES

  1. Meignan M, Gallamini A, Haioun C. Report on the First International Workshop on Interim-PET-Scan in Lymphoma. Leuk Lymphoma. 2009;50(8):1257–60. https://doi.org/10.1080/10428190903040048
  2. Meignan M, Gallamini A, Haioun C, Polliack A. Report on the Second International Workshop on interim positron emission tomography in lymphoma held in Menton, France, 8–9 April 2010. Leuk Lymphoma. 2010;51(12):2171–80. https://doi.org/10.3109/10428194.2010.529208
  3. Cheson BD, Fisher RI, Barrington SF, Cavalli F, Schwartz LH, Zucca E, et al. Recommendations for initial evaluation, staging, and response assessment of Hodgkin and non-Hodgkin lymphoma: the Lugano classification. J Clin Oncol. 2014;32(27):3059–68. https://doi.org/10.1200/JCO.2013.54.8800
  4. Barrington SF, Mikhaeel NG, Kostakoglu L, Meignan M, Hutchings M, Mueller SP, et al. Role of imaging in the staging and response assessment of lymphoma: consensus of the International Conference on Malignant Lymphomas Imaging Working Group. J Clin Oncol. 2014;32(27):3048–58. https://doi.org/10.1200/JCO.2013.53.5229
  5. Barrington SF, Kluge R. FDG PET for therapy monitoring in Hodgkin and non-Hodgkin lymphomas. Eur J Nucl Med Mol Imaging. 2017;44(Suppl 1):97–110. https://doi.org/10.1007/s00259-017-3690-8
  6. Biggi A, Bergesio F, Chauvie S, Bianchi A, Menga M, Fallanca F, et al. Concomitant semi-quantitative and visual analysis improves the predictive value on treatment outcome of interim 18F-fluorodeoxyglucose / Positron Emission Tomography in advanced Hodgkin lymphoma. Q J Nucl Med Mol Imaging. 2017.
  7. Chauvie S, Bergesio F. The Strategies to Homogenize PET/CT Metrics: The Case of Onco-Haematological Clinical Trials. Biomedicines. 2016;4(4). https://doi.org/10.3390/biomedicines4040026
  8. Chauvie S, Bergesio F, Fioroni F, Brambilla M, Biggi A, Versari A, et al. The (68)Ge phantom-based FDG-PET site qualification program for clinical trials adopted by FIL (Italian Foundation on Lymphoma). Phys Med. 2016;32(5):651–6. https://doi.org/10.1016/j.ejmp.2016.04.004
  9. Ceriani L, Martelli M, Zinzani PL, Ferreri AJ, Botto B, Stelitano C, et al. Utility of baseline 18FDG-PET/CT functional parameters in defining prognosis of primary mediastinal (thymic) large B-cell lymphoma. Blood. 2015;126(8):950–6. https://doi.org/10.1182/blood-2014-12-616474
  10. Cottereau AS, Becker S, Broussais F, Casasnovas O, Kanoun S, Roques M, et al. Prognostic value of baseline total metabolic tumor volume (TMTV0) measured on FDG-PET/CT in patients with peripheral T-cell lymphoma (PTCL). Ann Oncol. 2016;27(4):719–24. https://doi.org/10.1093/annonc/mdw011
  11. Kostakoglu L, Chauvie S. PET-Derived Quantitative Metrics for Response and Prognosis in Lymphoma. PET Clin. 2019;14(3):317–29. https://doi.org/10.1016/j.cpet.2019.03.002
  12. Vercellino L, Cottereau AS, Casasnovas O, Tilly H, Feugier P, Chartier L, et al. High total metabolic tumor volume at baseline predicts survival independent of response to therapy. Blood. 2020;135(16):1396–405. https://doi.org/10.1182/blood.2019003526
  13. Meignan M, Cottereau AS, Specht L, Mikhaeel NG. Total tumor burden in lymphoma - an evolving strong prognostic parameter. Br J Radiol. 2021;94(1127):20210448. https://doi.org/10.1259/bjr.20210448
  14. Mikhaeel NG, Smith D, Dunn JT, Phillips M, Moller H, Fields PA, et al. Combination of baseline metabolic tumour volume and early response on PET/CT improves progression-free survival prediction in DLBCL. Eur J Nucl Med Mol Imaging. 2016;43(7):1209–19. https://doi.org/10.1007/s00259-016-3315-7
  15. Moskowitz AJ, Schöder H, Gavane S, Thoren KL, Fleisher M, Yahalom J, et al. Prognostic significance of baseline metabolic tumor volume in relapsed and refractory Hodgkin lymphoma. Blood. 2017;130(20):2196–203. https://doi.org/10.1182/blood-2017-06-788877
  16. Ceriani L, Gritti G, Cascione L, Pirosa MC, Polino A, Ruberto T, et al. SAKK38/07 study: integration of baseline metabolic heterogeneity and metabolic tumor volume in DLBCL prognostic models. Blood Adv. 2020;4(6):1082–92. https://doi.org/10.1182/bloodadvances.2019001201
  17. Cottereau AS, El-Galaly TC, Becker S, Broussais F, Petersen LJ, Bonnet C, et al. Predictive Value of PET Response Combined with Baseline Metabolic Tumor Volume in Peripheral T-Cell Lymphoma Patients. J Nucl Med. 2018;59(4):589–95. https://doi.org/10.2967/jnumed.117.193946
  18. Zhou Y, Zhang X, Qin H, Zhao Z, Li J, Zhang B, et al. Prognostic Values of Baseline (18)F-FDG PET/CT in Patients with Peripheral T-Cell Lymphoma. Biomed Res Int. 2020;2020:9746716. https://doi.org/10.1155/2020/9746716
  19. Guo B, Tan X, Ke Q, Cen H. Prognostic value of baseline metabolic tumor volume and total lesion glycolysis in patients with lymphoma: A meta-analysis. PLoS One. 2019;14(1):e0210224. https://doi.org/10.1371/journal.pone.0210224
  20. Frood R, Burton C, Tsoumpas C, Frangi AF, Gleeson F, Patel C, et al. Baseline PET/CT imaging parameters for prediction of treatment outcome in Hodgkin and diffuse large B cell lymphoma: a systematic review. Eur J Nucl Med Mol Imaging. 2021;48(10):3198–220. https://doi.org/10.1007/s00259-021-05233-2
  21. Barrington SF, Meignan M. Time to Prepare for Risk Adaptation in Lymphoma by Standardizing Measurement of Metabolic Tumor Burden. J Nucl Med. 2019;60(8):1096–102. https://doi.org/10.2967/jnumed.119.227249
  22. Kostakoglu L, Chauvie S. Metabolic Tumor Volume Metrics in Lymphoma. Semin Nucl Med. 2018;48(1):50–66. https://doi.org/10.1053/j.semnuclmed.2017.09.005
  23. Lartizien C, Rogez M, Niaf E, Ricard F. Computer-aided staging of lymphoma patients with FDG PET/CT imaging based on textural information. IEEE J Biomed Health Inform. 2014;18(3):946–55. https://doi.org/10.1109/JBHI.2013.2283658
  24. Ilyas H, Mikhaeel NG, Dunn JT, Rahman F, Moller H, Smith D, et al. Defining the optimal method for measuring baseline metabolic tumour volume in diffuse large B cell lymphoma. Eur J Nucl Med Mol Imaging. 2018;45(7):1142–54. https://doi.org/10.1007/s00259-018-3953-z
  25. Ceriani L, Milan L, Johnson PWM, Martelli M, Presilla S, Giovanella L, et al. Baseline PET features to predict prognosis in primary mediastinal B cell lymphoma: a comparative analysis of different methods for measuring baseline metabolic tumour volume. Eur J Nucl Med Mol Imaging. 2019;46(6):1334–44. https://doi.org/10.1007/s00259-019-04286-8
  26. Zaidi H, El Naqa I. PET-guided delineation of radiation therapy treatment volumes: a survey of image segmentation techniques. Eur J Nucl Med Mol Imaging. 2010;37(11):2165–87. https://doi.org/10.1007/s00259-010-1423-3
  27. Tylski P, Stute S, Grotus N, Doyeux K, Hapdey S, Gardin I, et al. Comparative assessment of methods for estimating tumor volume and standardized uptake value in (18)F-FDG PET. J Nucl Med. 2010;51(2):268–76. https://doi.org/10.2967/jnumed.109.066241
  28. Sollini M, Cozzi L, Antunovic L, Chiti A, Kirienko M. PET Radiomics in NSCLC: state of the art and a proposal for harmonization of methodology. Sci Rep. 2017;7(1):358. https://doi.org/10.1038/s41598-017-00426-y
  29. Aerts HJ, Velazquez ER, Leijenaar RT, Parmar C, Grossmann P, Carvalho S, et al. Decoding tumour phenotype by noninvasive imaging using a quantitative radiomics approach. Nat Commun. 2014;5:4006. https://doi.org/10.1038/ncomms5006
  30. Avanzo M, Stancanello J, Pirrone G, Sartor G. Radiomics and deep learning in lung cancer. Strahlenther Onkol. 2020;196(10):879–87. https://doi.org/10.1007/s00066-020-01625-9
  31. Dissaux G, Visvikis D, Da-Ano R, Pradier O, Chajon E, Barillot I, et al. Pretreatment (18)F-FDG PET/CT Radiomics Predict Local Recurrence in Patients Treated with Stereotactic Body Radiotherapy for Early-Stage Non-Small Cell Lung Cancer: A Multicentric Study. J Nucl Med. 2020;61(6):814–20. https://doi.org/10.2967/jnumed.119.228106
  32. Hyun SH, Ahn MS, Koh YW, Lee SJ. A Machine-Learning Approach Using PET-Based Radiomics to Predict the Histological Subtypes of Lung Cancer. Clin Nucl Med. 2019;44(12):956–60. https://doi.org/10.1097/RLU.0000000000002810
  33. Lucia F, Visvikis D, Desseroit MC, Miranda O, Malhaire JP, Robin P, et al. Prediction of outcome using pretreatment (18)F-FDG PET/CT and MRI radiomics in locally advanced cervical cancer treated with chemoradiotherapy. Eur J Nucl Med Mol Imaging. 2018;45(5):768–86. https://doi.org/10.1007/s00259-017-3898-7
  34. Mu W, Jiang L, Zhang J, Shi Y, Gray JE, Tunali I, et al. Non-invasive decision support for NSCLC treatment using PET/CT radiomics. Nat Commun. 2020;11(1):5228. https://doi.org/10.1038/s41467-020-19116-x
  35. Peng H, Dong D, Fang MJ, Li L, Tang LL, Chen L, et al. Prognostic Value of Deep Learning PET/CT-Based Radiomics: Potential Role for Future Individual Induction Chemotherapy in Advanced Nasopharyngeal Carcinoma. Clin Cancer Res. 2019;25(14):4271–9. https://doi.org/10.1158/1078-0432.CCR-18-3065
  36. Sollini M, Cozzi L, Ninatti G, Antunovic L, Cavinato L, Chiti A, et al. PET/CT radiomics in breast cancer: Mind the step. Methods. 2021;188:122–32. https://doi.org/10.1016/j.ymeth.2020.01.007
  37. Zhang J, Zhao X, Zhao Y, Zhang J, Zhang Z, Wang J, et al. Value of pre-therapy (18)F-FDG PET/CT radiomics in predicting EGFR mutation status in patients with non-small cell lung cancer. Eur J Nucl Med Mol Imaging. 2020;47(5):1137–46. https://doi.org/10.1007/s00259-019-04592-1
  38. Chauvie S, De Maggi A, Baralis I, Dalmasso F, Berchialla P, Priotto R, et al. Artificial intelligence and radiomics enhance the positive predictive value of digital chest tomosynthesis for lung cancer detection within SOS clinical trial. Eur Radiol. 2020;30(7):4134–40. https://doi.org/10.1007/s00330-020-06783-z
  39. Ben Bouallegue F, Tabaa YA, Kafrouni M, Cartron G, Vauchot F, Mariano-Goulart D. Association between textural and morphological tumor indices on baseline PET-CT and early metabolic response on interim PET-CT in bulky malignant lymphomas. Medical physics. 2017;44(9):4608–19. https://doi.org/10.1002/mp.12349
  40. Ceriani L, Milan L, Martelli M, Ferreri AJM, Cascione L, Zinzani PL, et al. Metabolic heterogeneity on baseline 18FDG-PET/CT scan is a predictor of outcome in primary mediastinal B-cell lymphoma. Blood. 2018;132(2):179–86. https://doi.org/10.1182/blood-2018-01-826958
  41. Parvez A, Tau N, Hussey D, Maganti M, Metser U. (18)F-FDG PET/CT metabolic tumor parameters and radiomics features in aggressive non-Hodgkin’s lymphoma as predictors of treatment outcome and survival. Ann Nucl Med. 2018;32(6):410–6. https://doi.org/10.1007/s12149-018-1260-1
  42. Aide N, Talbot M, Fruchart C, Damaj G, Lasnon C. Diagnostic and prognostic value of baseline FDG PET/CT skeletal textural features in diffuse large B cell lymphoma. Eur J Nucl Med Mol Imaging. 2018;45(5):699–711. https://doi.org/10.1007/s00259-017-3899-6
  43. Decazes P, Becker S, Toledano MN, Vera P, Desbordes P, Jardin F, et al. Tumor fragmentation estimated by volume surface ratio of tumors measured on 18F-FDG PET/CT is an independent prognostic factor of diffuse large B-cell lymphoma. Eur J Nucl Med Mol Imaging. 2018;45(10):1672–9. https://doi.org/10.1007/s00259-018-4041-0
  44. Cottereau AS, Nioche C, Dirand AS, Clerc J, Morschhauser F, Casasnovas O, et al. (18)F-FDG PET Dissemination Features in Diffuse Large B-Cell Lymphoma Are Predictive of Outcome. J Nucl Med. 2020;61(1):40–5. https://doi.org/10.2967/jnumed.119.229450
  45. Lue K-H, Wu Y-F, Lin H-H, Hsieh T-C, Liu S-H, Chan S-C, et al. Prognostic Value of Baseline Radiomic Features of 18F-FDG PET in Patients with Diffuse Large B-Cell Lymphoma. Diagnostics. 2021;11(1):36. https://doi.org/10.3390/diagnostics11010036
  46. Aide N, Fruchart C, Nganoa C, Gac AC, Lasnon C. Baseline (18)F-FDG PET radiomic features as predictors of 2-year event-free survival in diffuse large B cell lymphomas treated with immunochemotherapy. Eur Radiol. 2020. https://doi.org/10.1007/s00330-020-06815-8
  47. Ceriani L, Milan L, Cascione L, Gritti G, Dalmasso F, Esposito F, et al. Generation and validation of a PET radiomics model that predicts survival in diffuse large B cell lymphoma treated with R-CHOP14: A SAKK 38/07 trial post-hoc analysis. Hematol Oncol. 2021. https://doi.org/10.1002/hon.2935
  48. Zhang X, Chen L, Jiang H, He X, Feng L, Ni M, et al. A novel analytic approach for outcome prediction in diffuse large B-cell lymphoma by [(18)F]FDG PET/CT. Eur J Nucl Med Mol Imaging. 2021. https://doi.org/10.1007/s00259-021-05572-0
  49. Milgrom SA, Elhalawani H, Lee J, Wang Q, Mohamed ASR, Dabaja BS, et al. A PET Radiomics Model to Predict Refractory Mediastinal Hodgkin Lymphoma. Sci Rep. 2019;9(1):1322. https://doi.org/10.1038/s41598-018-37197-z
  50. Lue KH, Wu YF, Liu SH, Hsieh TC, Chuang KS, Lin HH, et al. Prognostic Value of Pretreatment Radiomic Features of 18F-FDG PET in Patients With Hodgkin Lymphoma. Clin Nucl Med. 2019;44(10):e559-e65. https://doi.org/10.1097/RLU.0000000000002732
  51. Lue KH, Wu YF, Liu SH, Hsieh TC, Chuang KS, Lin HH, et al. Intratumor Heterogeneity Assessed by (18)F-FDG PET/CT Predicts Treatment Response and Survival Outcomes in Patients with Hodgkin Lymphoma. Acad Radiol. 2020;27(8):e183-e92. https://doi.org/10.1016/j.acra.2019.10.015
  52. Tatsumi M, Isohashi K, Matsunaga K, Watabe T, Kato H, Kanakura Y, et al. Volumetric and texture analysis on FDG PET in evaluating and predicting treatment response and recurrence after chemotherapy in follicular lymphoma. Int J Clin Oncol. 2019;24(10):1292–300. https://doi.org/10.1007/s10147-019-01482-2
  53. Mayerhoefer ME, Riedl CC, Kumar A, Gibbs P, Weber M, Tal I, et al. Radiomic features of glucose metabolism enable prediction of outcome in mantle cell lymphoma. Eur J Nucl Med Mol Imaging. 2019;46(13):2760–9. https://doi.org/10.1007/s00259-019-04420-6
  54. Mayerhoefer ME, Riedl CC, Kumar A, Dogan A, Gibbs P, Weber M, et al. [18F]FDG-PET/CT Radiomics for Prediction of Bone Marrow Involvement in Mantle Cell Lymphoma: A Retrospective Study in 97 Patients. Cancers (Basel). 2020;12(5). https://doi.org/10.3390/cancers12051138
  55. Wang H, Zhao S, Li L, Tian R. Development and validation of an (18)F-FDG PET radiomic model for prognosis prediction in patients with nasal-type extranodal natural killer/T cell lymphoma. Eur Radiol. 2020;30(10):5578–87. https://doi.org/10.1007/s00330-020-06943-1