3

Assessment of the Impact of Osteoradionecrosis on Quality-of-Life Measures in Patients with Head and Neck Cancer

Efsun Somay1 Busra Yilmaz2 Erkan Topkan3 Ahmet Kucuk4 Berrin Pehlivan5 Ugur Selek6,7

1Department of Oral and Maxillofacial Surgery, Faculty of Dentistry, Baskent University, Ankara, Turkey; 2Department of Oral and Maxillofacial Radiology, Faculty of Dentistry, Baskent University, Ankara, Turkey; 3Department of Radiation Oncology, Faculty of Medicine, Baskent University, Adana, Turkey; 4Department of Radiation Oncology, Mersin City Hospital, Mersin, Turkey; 5Department of Radiation Oncology, Bahcesehir University, Istanbul, Turkey; 6Department of Radiation Oncology, School of Medicine, Koc University, Istanbul, Turkey; 7Department of Radiation Oncology, MD Anderson Cancer Center, The University of Texas, Houston, TX, USA

Abstract: Osteoradionecrosis of the jaws is a serious complication of radiotherapy that frequently results in facial deformity, pain, fracture, devitalized bone, fistulas, dysesthesia or anesthesia, trismus, difficulty chewing, swallowing, and localized or systemic infections. Osteoradionecrosis is defined as “a potentially severe, delayed radiation-induced injury characterized by bone necrosis, failure to heal, and exposed bone for at least three months in the absence of primary tumor progression or recurrence, or metastatic disease”. The incidence rate of osteonecrosis among patients with head and neck cancers treated with radiotherapy or concurrent chemo-radiotherapy is 2–22%. Although the incidence of osteoradionecrosis of the jaws has decreased as a result of recent improvements in radiotherapy procedures, it is still a very challenging task to predict, prevent, and treat osteoradionecrosis of the jaws and its consequences on patients’ quality of life. Despite the negative impacts of osteoradionecrosis of the jaws on sufferers’ physical appearance and functioning, and social relationships, there is a paucity of research on the quality-of-life that is specific to this condition. This chapter provides a summary of the available data on the physical, social, and emotional effects of osteoradionecrosis of the jaws as determined by general or head and neck cancer-specific quality of life surveys, which may be used to evaluate and treat such patients in radiation oncology and dentistry practices.

Keywords: health-related quality of life; ORNJ; osteoradionecrosis in head and neck cancer; osteoradionecrosis of jaw; university of Washington quality of life scale

Author for Correspondence: Erkan Topkan, Department of Radiation Oncology, Faculty of Medicine, Baskent University, Adana, 01120 Turkey. Email: docdretopkan@gmail.com

Cite this chapter as: Somay E, Yilmaz B, Topkan E, Kucuk A, Pehlivan B, Selek U. Assessment of the Impact of Osteoradionecrosis on Quality-of-Life Measures in Patients with Head and Neck Cancer. In: Sergi CM, editor. Advancements in Cancer Research. Brisbane (AU): Exon Publications; Online first 28 Oct 2022. p. 41–56

Doi: https://doi.org/10.36255/osteoradionecrosis-quality-of-life

In: Sergi CM, editor. Advancements in Cancer Research. Exon Publications, Brisbane, Australia. ISBN: 978-0-6453320-9-4. Doi: https://doi.org/10.36255/advancements-in-cancer-research

Copyright: The Authors.

License: This open access article is licenced under Creative Commons Attribution-NonCommercial 4.0 International (CC BY-NC 4.0) https://creativecommons.org/licenses/by-nc/4.0/

INTRODUCTION

Head and neck cancers (HNC) can be treated with radiation, either as a curative strategy or as an adjuvant to surgery. Depending on the stage and surgical margin status of the disease, radiation treatment (RT) can be used on its own, or in conjunction with chemotherapy in the form of concurrent chemoradiotherapy (CCRT) (1, 2). Severe adverse effects with RT and CCRT, such as osteoradionecrosis of the jaw (ORNJ), can occur in HNC patients (3). ORNJ is a potentially serious, delayed radiation-induced injury characterized by bone tissue necrosis, and the failure of the irradiated bone to heal for 3 to 6 months (4, 5). The incidence of ORNJ in the head and neck ranges from 2–22% (6). ORNJ can be asymptomatic with bone exposure that heals on its own or can be symptomatic with stable severe necrosis with pathologic fracture that requires surgical intervention and restoration (5). In general, the interval between the end of RT and the beginning of ORNJ is 22–47 months, with a median of 36 months (79). ORNJ is thought to appear earlier and with a higher incidence rate following the CCRT than RT alone, despite the fact that these may vary widely depending on the technique and evaluation tools used in the research (10). To the best of our knowledge, there is no proof that ORNJs caused by RT or CCRT differ in severity.

The prevalence of ORNJ has decreased from roughly 20% to as low as 2–8% with the recent development of more advanced RT modalities, such as intensity-modulated RT (IMRT) (6, 11, 12). Among the potential risk factors for ORNJ development are patient-related variables (age, gender, history of smoking, history of alcohol use, diabetes mellitus, performance status, pre-RT dental interventions, pre-RT tooth extraction, post-RT tooth extraction), tumor-related variables (primary tumor site, T-stage, nodal status), and treatment-related variables (pre-RT surgery, pre-RT mandible surgery, induction chemotherapy (ICT), and CCRT, RT technique) (12). ORNJ can, however, arise spontaneously without any discernible underlying reason, albeit this is unusual (13, 14). ORNJ affects the mandible more commonly than other bones in the head and neck area, while maxillary, hyoid, and temporal bone osteoradionecrosis has also been recorded (15). Because of its poor vascularization, higher bone density, vulnerability to trauma, and superficial position resulting in high radiation exposure, mandibular ORNJ is more prevalent following RT for HNCs than other bones (16, 17).

Regardless of the nature of the primary cancer, those HNC patients who require RT or CCRT as part of their cancer therapy should have a thorough preoperative oral cavity and dental assessment. The dentist who does the examination must have prior expertise in the prevention and management of severe problems in HNC patients. Following therapy, the same evaluation procedures such as regular clinical and/or radiological oral and dental examinations, periodontal treatments, and oral hygiene education must be followed on a regular basis.

The aim of this chapter is to review the negative effects of ORNJ on the affected patients’ physical and daily functions as well as their psychosocial status. It also aims to contribute to the oncologic and dental literature by raising awareness and identifying the best-fit assessment tools that may be useful in the regular practice of physicians in related medical fields.

THE INFLUENCE OF ORNJ ON EVERYDAY LIVING AND QOL METRICS

The ORNJ may manifest with a variety of signs and symptoms after RT or CCRT. Common ORNJ symptoms include facial deformity, discomfort, foul breath (halitosis), dysgeusia, dysesthesia or anesthesia, trismus, difficulties with mastication, deglutition, difficulty eating and speaking, intraoral or orocutaneous fistula formation, pathologic fracture, and localized or systemic infections (18) (Figure 1A-C). ORNJ severely worsens patients’ quality of life (QoL) after the oncologic therapy as a result of these serious symptoms and/or their consequences (19). Research on this topic is limited despite the fact that practically all studies demonstrate that ORNJ negatively affects health-related QoL (HRQoL) measurements (2023). The HRQoL assessment gathers data on the psychosocial health of patients as well as the relevance of the specific disease state and its treatment. In light of this, HRQoL-based studies are growing in popularity as useful methods for evaluating functional and psychosocial outcomes in conjunction with relapse and survival rates in a variety of disorders (24).

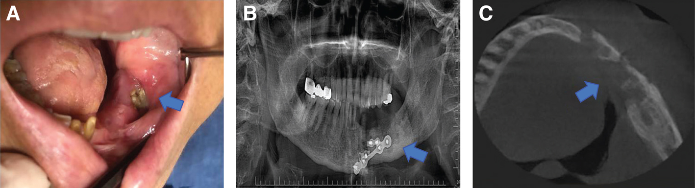
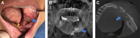
Fig 1

Figure 1. Osteoradionecrosis of the lower jaw in the left retromolar region (blue arrow). A: clinical intra-oral view. B: panoramic radiograph image. C: axial cone-beam computed tomography image.

ORNJ is a serious consequence of RT or CCRT that has a significant negative influence on the QoL of HNC patients (25). These QoL effects are diverse, influencing patients’ subjective well-being on physical, emotional, functional, and social levels. To accurately quantify therapeutic results in ORNJ patients, a complete review of QoL is necessary. ORNJ’s most typical clinical signs are discomfort in the exposed jawbone and the formation of a fistula in the afflicted mucosa (26). However, in the absence of a clear diagnosis of ORNJ, caution should be exercised to avoid a misdiagnosis of ORNJ in patients presenting with intraoral or cutaneous fistula. As previously indicated, the most severe side effects that influence patients’ quality of life are trismus, anesthesia or dysesthesia, dysgeusia, halitosis, periodontal issues, difficulties eating or chewing, physical deformity, and pathological fractures. (3, 26, 27). Emphatically, all these symptoms and ORNJ repercussions result in significant impairments in virtually all facets of the QoL ratings of the affected individuals, including the physical, psychological, social, and financial domains.

One of the most disturbing symptoms impacting QoL in ORNJ patients is unbearable pain (28, 29). The majority of patients have severe pain in the early and intermediate stages of ORNJ before the bone loses viability. As the clinical picture deteriorates, patients may lose their ability to experience pain due to an excessive loss of sensory pain nerve fibers in the late stages of ORNJ. Pain is normally a negative symptom that interferes with patients’ activities such as eating, drinking, swallowing, chewing, and social life (30). However, it is also an indication that the ailment has not progressed too far and that the bone retains vital features (31, 32). Additionally, the ORNJ patient may have intense and refractory pain that frequently wakes them up and interferes with their sleep cycles, resulting in mood swings and persistent exhaustion (33).

Another common symptom of ORNJ is intra-oral or extra-oral fistulation of the commensurate tissues on the exposed bone (26). ORNJ progression may result in pathological fractures, as well as difficult-to-treat local or systemic infections (34). ONJ-related fistulas, necrotic bone sequestration, and pathological jaw fractures can make swallowing and chewing difficult or even impossible (28). ORNJ-related pathological fractures are a difficult to manage group of fractures that almost always require surgical intervention (35). As a result, lengthier hospitalization periods may be required, raising treatment costs and putting patients in financial jeopardy (36).

The results of a cross-sectional study by Yang et al. confirmed that trismus was among the most severe symptoms that reduced QoL for ORNJ patients receiving anti-cancer therapies (23). In this study, the incidence rate of trismus was 84.2%, of which 48.4% were classified as severe trismus (23). According to the authors, the mouth opening of ORNJ patients tended to further decrease with time following RT. Despite the fact that the mechanism is not clearly understood, some research suggests that ORNJ is one of the well-known reasons of trismus (37, 38). Because dental therapies and oral care practices are hard to carry out in such individuals, the permissive microenvironment created by dental or periodontal infections may also contribute to the ORNJ genesis (39). It has been repeatedly found that restricted mouth opening negatively affects QoL related to oral functions, including pain, eating, chewing, taste, saliva production, and dry mouth, as well as an increased occurrence of jaw-associated issues and dietary limitations (40, 41). Furthermore, extremely reduced mouth opening can lead to malnutrition or cachexia, which can have a detrimental influence on patients’ health and QoL and possibly risk their lives in practically all cancer types (42). Likewise, individuals with limited mouth opening avoid social eating and being integrated in the social environment, resulting in loneliness, social isolation, and psychiatric illnesses (43). Furthermore, ORNJ or trismus-induced halitosis has a negative influence on patients’ quality of life in terms of social isolation, diminished relationships with social and sexual partners (44).

ORNJ patients may suffer from further physical or psychological issues as a result of this very disabling consequence of RT or CCRT. Affecting their daily lives and nutritional habits, patients’ food consumption might be hampered by tooth and periodontal disorders, difficulties chewing and swallowing, and limited mouth opening (36). Radiation caries are produced by a decrease in regular dental care and brushing frequency, as well as a decrease in saliva buffer capacity and flow rate. As a result, severe caries in the teeth and periodontal tissue infection may occur, creating a favorable condition for the development of ORNJ (45, 46). Surgical resection can be performed to treat the infection and clear the necrotic tissue in the ORNJ area (47), but everyday tasks such as eating, chewing, and speaking may be compromised owing to jaw bone distortion, numerous tooth loss, and cosmetic and functional abnormalities in the facial area. People who have facial defects may lose confidence and become socially alienated. In a study of 109 individuals with ORNJ, there were decreases in mood, anxiety, and overall QoL indicators in 28%, 30%, and 50% of these patients, respectively (48).

The inferior alveolar nerve originates from mandibular nerve (cranial nerve V3) fibers. The inferior alveolar nerve enters the mandibular canal inferiorly. The inferior alveolar nerve extends downward and forward in the mandibular canal, often below the apices of the teeth until it separates into terminal incisive and mental branches below the first and second premolars. The nerve goes forward into the body of the jaw, innervating the molars and premolars, as well as the gingiva that surrounds them. Anesthesia of the inferior alveolar nerve (49), which may or may not be accompanied by ORNJ-related dysesthesia in some additional cases, is one of the ORNJ presenting symptoms recorded in 7.4% of patients (19, 27). Because anesthesia and dysesthesia impair the patient’s motor and sensory skills, they can result in dysfunctional eating, drinking, and speaking. Injury to the relevant areas when eating may occur as a result of deterioration of motor functions and loss of pain perception, resulting in chronic ulceration and non-healing ulcers, favoring the development of ORNJ if this injury persists for lengthy periods of time.

ORNJ, as well as accompanying symptoms and functional deficits, may have a variety of implications on the patient’s QoL, as indicated by the traits described above. Moreover, ORNJ may decrease the survival of such patients by causing weight loss on the road to lethal cachexia, uncontrolled resistant infections, or aspiration and intubation difficulties (50). As a result, it is imperative to diagnose and treat ORNJ as promptly as feasible in order to enhance QoL measurements and, in certain circumstances, survival expectancies in afflicted patients. The use of QoL assessments may also be effective in reducing certain patient groups’ psychological and social issues (Figure 2). As a result, in addition to implementing preventative measures, symptoms and sequelae of ORNJ must be systematically examined and handled in order to enhance QoL measurements and survival estimates in this patient population.

Fig 2

Figure 2. The typical implications of jaw osteoradionecrosis on health-related quality of life.

MEASUREMENT TOOLS FOR EVALUATION OF QOL IN ORNJ PATIENTS

Despite recent breakthroughs in RT technologies, ORNJ is still a prevalent and challenging complication of RT and CCRT in patients with HNCs. Hence, ORNJ continues to occur in a notable proportion of HNC patients. Treatment alternatives are available to supplement its complicated pathophysiology and current hypotheses of ORN generation. ORNJ’s adverse effects on the patient’s physical, functional, psychological, and social aspects are difficult to manage since they are often unpredictable (47). In this challenging setting, discussing treatment results with patients and their caregivers can be aided by outcome information on ORNJ patients, such as patient-reported health-related quality of life (HRQoL). As a rule of thumb, it should always be remembered that patients are the most dependable data source for QoL evaluations. To the best of our knowledge, only a few studies with relatively small cohort sizes have attempted to determine how different therapies for ORNJ influence HRQoL subdomains (51). It may be useful to record pre-treatment QoL scores in many areas, even though ORNJ management is mostly focused on presenting signs and symptoms such as pain intensity, disfigurement, trismus, and nutritional habits and alterations. For discussions between patients and their doctors about management regimens and the likelihood of their effectiveness, outcome data for ORNJ patients, in particular HRQoL, is essential in this situation. The patients’ and their caregivers’ trust in the treating physician and the management techniques that were jointly chosen may rise via such a communication strategy.

There is a paucity of prospective studies specifically examining how ORNJ affects QoL. This depressing reality contrasts sharply with the value of QoL evaluations in aiding the management of ORNJ symptoms and comprehending patients’ views of RT toxicity. A variety of questionnaires are used to evaluate the QoL of patients with HNC both before and after therapy. The University of Washington Quality of Life scale (UWQoL), version 4, has been utilized for yearly postal surveys since 2000. It has been rigorously verified using other QoL rating instruments and is well established for usage in HNC patients. Because it is brief and easy to administer, the UWQoL is widely recommended as the currently available most ideal approach for rating HNC patients’ QoL (27). The UWQoL is divided into 12 single-question sections: pain, appearance, activity, recreation, swallowing, chewing, speaking, shoulder, taste, saliva, mood, and anxiety, with answers ranging from 0 (the worst possible response) to 100 (the best possible response). This questionnaire was developed in the United States of America and has since been translated and verified in numerous languages throughout the world (27). Rogers et al. (51) observed significant variations in HRQoL in 71 individuals with mandibular ORNJ using the UW-QoL. At 1-year evaluations, all patients with stage III ORNJ had more difficulties chewing and swallowing than those with stage I or II ORNJ, most likely because of the detrimental effects of RT and bone necrosis. The findings of this pioneering study indicated that ORNJ patients had vastly higher rates of pain, aesthetics, activity, recreation, swallowing, and chewing problems than non-ORNJ patients. These pivotal discoveries underline the value of a multidisciplinary approach in addressing the inherently different but connected problems brought on by the devastating ORNJ.

There are some retrospective studies on HRQoL in patients with ORNJ and these have yielded contradictory results (5154). Previous studies typically employed questionnaires to characterize the influence of HNC therapy on patients’ HRQoL, such as a survey developed by the European Organization for Research and Treatment of Cancer (EORTC) (33, 5557). The popular QoL surveys QLQ-C30 and QLQ-HN35 are commonly used for this purpose (58, 59). In a study of 17 patients, Danielson et al. (60) employed the QLQ-C30 and QLQ-HN35 modules to evaluate patient outcomes following reconstructive surgery for mandibular osteoradionecrosis. The most compelling outcome of this study was a consistent decrease in pain-related domains following microvascular reconstruction procedures, as evaluated by the EORTC, QLQC30, and QLQ HN35 modules. Emotional (P = 0.01) and social functioning (P = 0.004) ratings improved, as did tiredness (P = 0.04), appetite loss (P = 0.02), and pain (P = 0.02) scores, as measured by the QLQ-C30. The QLQ-H&N35 (P = 0.04) corroborated pain alleviation, as did better ratings for feeling sick (P = 0.001) and sexual problems (P = 0.04). Although further research is needed, this preliminary study reveals that microvascular restoration following mandibular osteoradionecrosis may enhance HRQoL, with a focus on pain reduction.

The appearance and clinical effects of medication-related osteonecrosis of the jaw (MRONJ) and ORNJ are comparable, despite variations in patient variables, imaging findings, etiology, and pathogenesis (61). While ORNJ-specific QoL surveys are limited in the literature, the same questionnaires used to measure MRONJ-related symptoms can also be used to assess ORNJ effects, viewing these similarities. For instance, Miksad et al. developed a phone call-based questionnaire to identify MRONJ-related QoL effects through collaboration with oncology, oral medicine, oral surgery, psychiatry, and QoL specialists (62). To assess the applicability of the recently produced questionnaire, a chart review was conducted. Before and after MORNJ, and oral health-specific QoL were assessed using the Oral Health Impact Profile (OHIP), a validated psychometric measure. The Visual Analog Scale (VAS), EQ-5D, and time trade-off (TTO) questions were used to determine preference values (utilities) for each of the four typical health conditions that were defined for cancer and MRONJ. Throughout and after the survey, the psychological discomfort of 34 MRONJ-positive cancer patients was assessed. Regarding pain, eating disorders, self-consciousness, malnutrition, missed meals, irritability, and decreased life satisfaction, OHIP ratings were considerably lower. When VAS, TTO, and EQ-5D measures were included in the OHIP evaluation, EQ-5D scores significantly increased with deteriorating MRONJ: pain/discomfort and anxiety/depression were the most significant contributors of worsened QoL measures. Similarly, Tenore et al. (63) examined the connection between MRONJ and QoL in 20 cancer patients using the recently developed 12-item Short Form Survey (SF-12). During their usual outpatient appointment, the lead investigator administered the SF-12 questionnaire, which is a shorter version of the SF-36. Physical functioning (2 items), role physical (2 items), bodily pain (1 item), general health (1 item), vitality (1 item), social functioning (1 item), role emotional (2 items), and mental health (2 items) are the eight scales measured by this survey’s 12 items. Responses differed both across and within the scales. The SF-12 questionnaire’s Physical and Mental Component Summary (PCS and MCS) ratings were calculated using established scoring methods. The PCS and MCS scores are the two most relevant aggregate summary metrics, with low PCS and MCS scores indicating poor health (64). According to the findings of this study and the study by Miksad et al. (62), it is wise to infer that QoL will be compromised more severely as the MRONJ stage progresses. The study’s findings also emphasized the potential importance of incorporating physical and psychological examinations in the care of MRONJ patients (64). In another study, Capocci et al. (65) revealed that physical and mental health ratings in stage III MRONJ patients were considerably poorer than in those with stage I and II disease. One of the most notable advantages of the SF-12 is that no additional training is required to operate it. The SF-12 can also be administered in a number of forms, including static (paper), online, and interactive voice response.

As shown by the research cited above, there is currently no questionnaire designed specifically to assess QoL problems in HNC cancer patients with mutilating ORNJ. This unfortunate truth emphasizes the urgent need for the creation of straightforward, succinct, but thorough ORNJ-specific questionnaires in order to ascertain the genuine effects of this tragically serious RT complication in HNC patients. Nevertheless, it makes sense to suggest using MRONJ-based QoL questionnaires for ORNJ patient evaluations in a similar way until the availability of such specialized surveys (Table 1).

TABLE 1 Commonly used questionnaires to assess quality of life in patients with osteonecrosis of the jaw

Questionnaire Features
UWQoL 1. Pain
2. Appearance
3. Activity
4. Recreation
5. Swallowing
6. Chewing
7. Speech
8. Shoulder
9. Taste
10. Saliva
11. Mood
12. Anxiety
EORTC-QLQ-C30 Survey

A. Functioning scales
1. Physical
2. Role
3. Cognitive
4. Emotional
5. Social
B. Global QoL
C. Symptom scales and or/items
1. Fatigue
2. Nausea and vomiting
3. Pain
4. Dyspnoea
5. Sleep disturbance
6. Appetiteloss
7. Constipation
8. Diarrhoea
D. Financial impact

EORTC- QLQ-HN35 survey

A. Symptom scales
1. Pain
2. Swallowing
3. Taste/smell
4. Speech
5. Social eating
6. Social contacts
7. Sexuality
B. Symptom items
1. Teeth problems
2. Trismus
3. Dry mouth
4. Sticky saliva
5. Cough
6. Feeling ill

SF-12 questionnaire 1. Physical functioning
2. Role physical
3. Body pain
4. General health
5. Vitality
6. Social functioning
7. Role emotional
8. Mental health

EORTC-QLQ –C30: European Organization for Research and Treatment of Cancer-Quality of life-C30 Survey; HN35: Head and neck 35 module; SF-12: Short form survey; UWQoL: University of Washington quality of life scale.

DISCUSSION

The frequency of HNC has significantly grown recently, and most patients receive RT that is frequently combined with surgery and/or chemotherapy. Because of its painful nature and difficulties in management, ORNJ has been proven to significantly reduce the patient’s QoL. The absolute number of patients with ORNJ is expected to increase in the future despite improvements in RT and diagnostic methods because prolonged survival times have increased the likelihood that late RT and CCRT-related issues will manifest more frequently than before. Research on this crucial subject is currently lacking, although managing this debilitating complication and improving patients’ QoL necessitate a comprehensive study of the detrimental consequences of ORNJ on HRQoL. Patients with ORNJ experience a plethora of problems, including dysphagia, dentition, activity restrictions, trismus, teeth and gums, dry mouth, halitosis, tinnitus, ear obstruction, and difficulties hearing, according to the few data that are currently available (22, 23). Various questionnaires are frequently employed to identify and assess these deleterious repercussions on patients’ QoL, but the dearth of ORNJ-specific assessments makes the accurate determination of QoL measurements in such populations problematic.

According to the World Health Organization definition, “Quality of life is defined as an individual’s perception of their position in life in the context of the culture and value systems in which they live and in relation to their goals, expectations, standards and concerns. It is a broad ranging concept affected in a complex way by the person’s physical health, psychological state, level of independence, social relationships, and their relationship to salient features of their environment.” (66). Therefore, assessing QoL in a specific patient is a multifaceted and challenging endeavor that must include the patient’s physical condition, psychological state, level of independence, social interactions, and relationship to salient characteristics of their environment. Confirming this claim, Hacker defined the QoL as “Although no consensus has been reached regarding the definition and/or measurement of QoL outcomes, there are two major areas of theoretical agreement: (i) the individual is the most suitable judge of his/her own QoL; and (ii) QoL is multidimensional, encompassing all aspects of a person’s life” (67) (Figure 3).

Fig 3

Figure 3. A graphical representation of the influence of osteoradionecrosis of the jaw on affected patients’ quality of life measures.

Although there is more retrospective research on the symptoms and treatment options of ORNJ, studies examining MRONJ-related QoL are more prevalent in the literature, with no prospective studies currently available. For each evaluation, it is crucial to remember that the patient is the major focus of ORNJ’s QoL surveys. As a result, all the patient’s concerns should be covered in the inquiries, which should also be as unprejudiced as feasible. Given these considerations, Chieng et al. (48) sought to document patient complaints and HRQoL in an ORNJ cohort over 12 years. Between 2008 and 2020, patients went to routine follow-up clinics where the patient-reported outcome measures (PROM) evaluation was utilized as a standard procedure before consultations. Since, PROM was incorporated into routine follow-up in this study, it was possible to record patients’ HRQoL prior to the ORNJ diagnosis and conduct repeated assessments over 12 years with few patients missing out. Unfortunately, whilst the great majority of ORNJ patients were referred by ENT (ear-nose-throat) experts, not every patient had real longitudinal follow-up. Looking at the coin from the opposite side, the necessity for a questionnaire that can be applied across all medical disciplines to aid in patient follow-up and standard ORNJ diagnosis and treatment has been brought to light by this routine medical practice reality.

The FACT-HN and EORTC QLQ, and EORTC-QLQ-HN 35 are two comprehensive and well-known QoL measures that are now accessible for HNC patients, despite the fact that they are not specific to ORNJ (6870). In clinics with a heavier workload, it might, however, be challenging to execute the lengthier FACT and QLQ-C30 surveys and their original generic versions. As a result, the UWQOL questionnaire, a self-administered questionnaire that assesses HRQoL, was created with the need for a concise, user-friendly, and comprehensive tool that adequately addresses general and HNC-specific QoL issues over the past seven days (71). Currently, this questionnaire is the most effective method for assessing and contrasting changes in QoL in HNC patients with communication problems and/or malfunctions in both routine clinical practice and longitudinal studies. However, while it is practical and gives helpful information on the general health of the HNC patient, it lacks particular queries regarding ORNJ and its repercussions, stressing the urgent need for the development of ORNJ-specific surveys.

Based on the available evidence, developing ORNJ-specific QoL questionnaires that cover the physical, psychological, and social impacts of ORNJ in afflicted individuals sound critical. Because the median duration from RT or CCRT completion to the emergence of ORNJ is around 36 months, and the risk increases with time, long-term prospective QoL research is necessary to represent the full impact of ORNJ on HRQoL measurements. Such ORNJ-specific questionnaires may allow us to quickly diagnose ORNJ-related ailments and begin relevant treatment procedures. This arduous effort, however, will require a multidisciplinary approach comprising radiation oncologists, medical oncologists, oral and maxillofacial surgeons, oral and maxillofacial radiologists, clinical nurses, nutritionists, psychotherapists, physiotherapists, and speech and language therapists.

CONCLUSION

The currently available HRQoL surveys used to assess how ORNJ impacts patients’ QoL vary and nearly always depict the disease in general rather than in the context of a specific patient, rendering data comparability difficult. As a result, using validated questionnaires to measure the impact of ORNJ on QoL from the patient’s perspective is critical. Prospective randomized clinical studies will, without a doubt, be necessary to provide more reliable data on how ORNJ interacts with daily activities and to guide further QoL research. It would be beneficial to identify the onset time and duration of the symptom using well-established questionnaires to assist physicians in deciding the ideal time to manage a given symptom and educate and inform patients. Future research with these objectives and appropriate methodologies will indeed provide valuable data and the best management techniques in light of ORNJ’s harmful implications. Finally, the results presented herein should be interpreted with care since the research covered in this chapter is often exploratory cohort studies conducted retrospectively. Hence, there may have been a source of bias influencing their responses, as many concerns may have gone unnoticed before the QoL assessments.

Conflict of Interest: The authors declare no potential conflict of interest with respect to research, authorship and/or publication of this chapter.

Copyright and Permission Statement: The authors confirm that the materials included in this chapter do not violate copyright laws. Where relevant, appropriate permissions have been obtained from the original copyright holder(s), and all original sources have been appropriately acknowledged or referenced

REFERENCES

  1. Jacinto JK, Co J, Mejia MB, Regala EE. The evidence on effectiveness of weekly vs. triweekly cisplatin concurrent with radiotherapy in locally advanced head and neck squamous cell carcinoma (HNSCC): a systematic review and meta-analysis. Br. J. Radiol. 2017;90(1079):20170442. https://doi.org/10.1259/bjr.20170442
  2. Schick U, Huguet F, Pointreau Y, Pradier O. Radiotherapy for head and neck squamous cell carcinoma: state of the art and future directions. Cancer Radiother. 2017;21(6–7):498–04. https://doi.org/10.1016/j.canrad.2017.07.032
  3. O’Dell K, Sinha U. Osteoradionecrosis. Oral Maxillofac Surg Clin North Am. 2011;23(3):455–64. https://doi.org/10.1016/j.coms.2011.04.011
  4. Schwartz HC, Kagan AR. Osteoradionecrosis of the mandible: scientific basis for clinical staging. Am J Clin Oncol. 2002;25(2):168–71. https://doi.org/10.1097/00000421-200204000-00013
  5. Marx R. Osteoradionecrosis: a new concept in its pathophysiology. J Oral Maxillofac Surg. 1983; 41:283–88. https://doi.org/10.1016/0278-2391(83)90294-X
  6. Beech A, Farrier J. Use of the Integra skin regeneration system in an intraoral mandibular defect in osteoradionecrosis. Int J Oral Maxillofac Surg. 2016;45:1159–61. https://doi.org/10.1016/j.ijom.2016.03.016
  7. Lee IJ, Koom WS, Lee CG, Kim YB, Yoo SW, Keum KC. et al. Risk factors and dose-effect relationship for mandibular osteoradionecrosis in oral and oropharyngeal cancer. Int J Radiat Oncol Biol. Phys 2009;75(4):1084–91. https://doi.org/10.1016/j.ijrobp.2008.12.052
  8. Oh HK, Chambers MS, Martin JW, Lim HJ, Park HJ. Osteoradionecrosis of the mandible: treatment outcomes and factors influences the progress of osteoradionecrosis. J Oral Maxillofac Surg. 2009;67:1378–86. https://doi.org/10.1016/j.joms.2009.02.008
  9. Alam DS, Nuara M, Christian J. Analysis of outcomes of vascularized flap reconstruction in patients with advanced mandibular osteoradionecrosis. Otolaryngol Head Neck Surg. 2009;141:196–01. https://doi.org/10.1016/j.otohns.2009.03.013
  10. Ajila V, Hegde S. Osteoradionecrosis - a review of clinical features and management Gulhane Med J. 2020;62:213–23. https://doi.org/10.4274/gulhane.galenos.2020.1076
  11. Owosho AA, Tsai CJ, Lee RS, Freymiller H, Kadempour A, Varthis S.et al. The prevalence and risk factors associated with osteoradionecrosis of the jaw in oral and oropharyngeal cancer patients treated with intensity-modulated radiation therapy (IMRT): The Memorial Sloan Kettering Cancer Center experience. Oral Oncol. 2017;64:44–51. https://doi.org/10.1016/j.oraloncology.2016.11.015
  12. Kubota H, Miyawaki D, Mukumoto N, Ishihara T, Matsumura M, Hasegawa T. et al. Risk factors for osteoradionecrosis of the jaw in patients with head and neck squamous cell carcinoma. Radiat Oncol. 2021;5;16(1):1. https://doi.org/10.1186/s13014-020-01701-5
  13. Reuther T, Schuster T, Mende U, Ku¨bler A. Osteoradionecrosis of the jaws as a side effect of radiotherapy of head and neck tumour patients-a report of a thirty-year retrospective review. Int J Oral Maxillofac Surg. 2003;32(3):289e95. https://doi.org/10.1054/ijom.2002.0332
  14. Kluth EV, Jain PR, Stuchell RN, Frich JC. A study of factors contributing to the development of osteoradionecrosis of the jaws. J Prosthet Dent. 1988;59(2):194e201. https://doi.org/10.1016/0022-3913(88)90015-7
  15. Epstein J, Wong FL, Dickens A. Bone and gallium scans in post radiation osteoradionecrosis of the jaws. Head Neck.1992;14:288–92. https://doi.org/10.1002/hed.2880140406
  16. Bras J, de Jonge HK, van Merkesteyn JP. Osteoradionecrosis of the mandible: pathogenesis. Am J Otolaryngol. 1990;11(4):244–50. https://doi.org/10.1016/0196-0709(90)90084-9
  17. Shafer WG, Hine MK, Levy BM: A Textbook of Oral Pathology, 4th ed. Philadelphia, PA, Saunders, 1983, pp 564–69.
  18. Epstein JB, Wong FL, Stevenson-Moore P. Osteoradionecrosis: clinical experience and a proposal for classification. J Oral Maxillofac Surg. 1987;45:104–10. https://doi.org/10.1016/0278-2391(87)90399-5
  19. Schweyen R, Kuhnt T, Wienke A, Eckert A, Hey J. The impact of oral rehabilitation on oral health-related quality of life in patients receiving radiotherapy for the treatment of head and neck cancer. Clinical Oral Investigations. 2017;21(4):1123–30. https://doi.org/10.1007/s00784-016-1874-4
  20. Wang L, Su YX, Liao GQ. Quality of life in osteoradionecrosis patients after mandible primary reconstruction with free fibula flap. Oral Surg Oral Med Oral Pathol Oral Radiol Endod. 2009;108(2):162–68. https://doi.org/10.1016/j.tripleo.2009.03.005
  21. Harding S, Courtney D, Hodder S, Bryson P. Effects of hyperbaric oxygen therapy on quality of life in maxillofacial patients with type III osteoradionecrosis. J Oral Maxillofac Surg. 2012;70(12):2786–92. https://doi.org/10.1016/j.joms.2012.04.011
  22. Wong ATT, Lai SY, Gunn GB, Beadle BM, Fuller CD, Barrow MP, et al. Symptom burden and dysphagia associated with osteoradionecrosis in long-term oropharynx cancer survivors: A cohort analysis. Oral Oncol.2017;66:75–80. https://doi.org/10.1016/j.oraloncology.2017.01.006
  23. Yang D, Zhou F, Fu X, Hou J, Lin L, Huang Q, Yeh CH. Symptom distress and interference among cancer patients with osteoradionecrosis of jaw: A cross-sectional study. Int J Nurs Sci. 2019;3;6(3):278–82. https://doi.org/10.1016/j.ijnss.2019.05.006
  24. Murphy BA, Ridner S, Wells N, Dietrich M. Quality of life research in head and neck cancer: a review of the current state of the science. Crit Rev Oncol Hematol. 2007;62(3):251–67. https://doi.org/10.1016/j.critrevonc.2006.07.005
  25. De Felice F, Tombolini V, Musio D, Polimeni A. Radiation Therapy and Mandibular Osteoradionecrosis: State of the Art. Curr Oncol Rep. 2020,9;22(9):89. https://doi.org/10.1007/s11912-020-00954-3
  26. Lyons A, Ghazali N. Osteoradionecrosis of the jaws: current understanding of its pathophysiology and treatment. Br J Oral Maxillofac Surg. 2008;46(8):653–60. https://doi.org/10.1016/j.bjoms.2008.04.006
  27. Laraway DC, Rogers SN. A structured review of journal articles reporting outcomes using the University of Washington Quality of Life Scale. Br J Oral Maxillofac Surg. 2012;50(2):122–31. https://doi.org/10.1016/j.bjoms.2010.12.005
  28. Store G, Boysen M. Mandibular osteoradionecrosis: clinical behaviour and diagnostic aspects. Clin Otolaryngol Allied Sci. 2000;25:378–84. https://doi.org/10.1046/j.1365-2273.2000.00367.x
  29. Hiraoka Y, Akashi M, Wanifuchi S, Kusumoto J, Shigeoka M, Hasegawa T. et al. Association between pain severity and clinic histopathologic findings in the mandibular canal and inferior alveolar nerve of patients with advanced mandibular osteoradionecrosis. Oral Surg Oral Med Oral Pathol Oral Radiol. 2018;126(3):264–71. https://doi.org/10.1016/j.oooo.2018.03.017
  30. Bovero A, Leombruni P, Miniotti M, Rocca G, Torta R. Spirituality, quality of life, psychological adjustment in terminal cancer patients in hospice. Eur J Cancer Care (Engl). 2016;25(6):961–69. https://doi.org/10.1111/ecc.12360
  31. Akashi M, Hashikawa K, Wanifuchi S, Kusumoto J, Shigeoka M, Furudoi S. et al. Heterogeneity of necrotic changes 2 between cortical and cancellous bone in mandibular osteoradionecrosis: A 3 histopathological analysis of resection margin after segmental mandibulectomy. 4 Biomed Res Int 2017;2017:3125842. https://doi.org/10.1155/2017/3125842
  32. Yagihashi S, Yamagishi S, Wada R. Pathology and pathogenetic mechanisms of 6 diabetic neuropathy: correlation with clinical signs and symptoms. Diabetes Res 7 Clin Pract.2007;77 Suppl 1:S184–89. https://doi.org/10.1016/j.diabres.2007.01.054
  33. Bouquot JE, McMahon RE. Neuropathic pain in maxillofacial osteonecrosis. J Oral Maxillofac Surg. 2000;58:1003–20. https://doi.org/10.1053/joms.2000.8744
  34. Chronopoulos A, Zarra T, Ehrenfeld M, Otto S. Osteoradionecrosis of the jaws: definition, epidemiology, staging and clinical and radiological findings. A concise review. International Dental Journal. 2017;68(1):22–30. https://doi.org/10.1111/idj.12318
  35. Sawhney R, Ducic Y. Management of Pathologic Fractures of the Mandible Secondary to Osteoradionecrosis. Otolaryngology-Head and Neck Surgery. 2012;148(1): 54–8. doi:10.1177/0194599812463186. https://doi.org/10.1177/0194599812463186Î
  36. Park L, Lilic N, Addison B, Patel R. Cost analysis of osteoradionecrosis. J Laryngol Otol. 2017;131(4):303–8. https://doi.org/10.1017/S0022215116009956
  37. Bhandari S, Soni BW, Bahl A, Ghoshal S. Radiotherapy-induced oral morbidities in head and neck cancer patients. Spec Care Dentist. 2020;40(3):238–250. https://doi.org/10.1111/scd.12469
  38. Jawad H, Hodson NA, Nixon PJ. A review of dental treatment of head and neck cancer patients, before, during and after radiotherapy: part 1. Br Dent J. 2015;218(2):65–8. https://doi.org/10.1038/sj.bdj.2015.28
  39. Pauli N, Johnson J, Finizia C, Andréll P. The incidence of trismus and long-term impact on health-related quality of life in patients with head and neck cancer. Acta Oncol. 2013;52(6):1137–45. https://doi.org/10.3109/0284186X.2012.744466
  40. Scott B, Butterworth C, Lowe D, Rogers SN. Factors associated with restricted mouth opening and its relationship to health-related quality of life in patients attending a Maxillofacial Oncology clinic. Oral Oncol. 2008;44:430–38. https://doi.org/10.1016/j.oraloncology.2007.06.015
  41. Johnson J, van As-Brooks CJ, Fagerberg-Mohlin B, Finizia C. Trismus in head and neck cancer patients in Sweden: incidence and risk factors. Med Sci Monit. 2010; 16:CR278–82.
  42. Kent ML, Brennan MT, Noll JL, Fox PC, Burri SH, Hunter JC. Radiation-Induced trismus in head and neck cancer patients. Support Care Canc. 2008;16(3):305–9. https://doi.org/10.1007/s00520-007-0345-5
  43. Hammerlid E, Taft C. Health-related quality of life in long-term head and neck cancer survivors: a comparison with general population norms. Br J Cancer. 2001;84(2):149–56. https://doi.org/10.1054/bjoc.2000.1576
  44. Cousins N, MacAulay F, Lang H, MacGillivray S, Wells M. A systematic review of interventions for eating and drinking problems following treatment for head and neck cancer suggests a need to look beyond swallowing and trismus. Oral Oncol. 2013;49(5):387–400. https://doi.org/10.1016/j.oraloncology.2012.12.002
  45. Kielbassa AM, Hinkelbein W, Hellwig E, Meyer-L€uckel H. Radiation-related damage to dentition. Lancet Oncol. 2006;7:326–35. https://doi.org/10.1016/S1470-2045(06)70658-1
  46. Koga DH, Salvajoli JV, Alves FA. Dental extractions and radiotherapy in head and neck oncology: review of the literature. Oral Dis. 2008;14:40–4. https://doi.org/10.1111/j.1601-0825.2006.01351.x
  47. Rice N, Polyzois I, Ekanayake K, Omer O, Stassen LF. The management of osteoradionecrosis of the jaws--a review. Surgeon. 2015;13(2):101–9. https://doi.org/10.1016/j.surge.2014.07.003
  48. Chieng CY, Davies A, Aziz A, Lowe D, Rogers SN. Health related quality of life and patient concerns in patients with osteoradionecrosis. Br J Oral Maxillofac Surg. 2021;59(9):1061–66. https://doi.org/10.1016/j.bjoms.2021.02.011
  49. Ribeiro GH, Minamisako MC, Rath IBDS, Santos AMB, Simões A, Pereira KCR. et al. Osteoradionecrosis of the jaws: case series treated with adjuvant low-level laser therapy and antimicrobial photodynamic therapy. J Appl Oral Sci. 2018;26:e20170172. https://doi.org/10.1590/1678-7757-2017-0172
  50. Eisbruch A, Schwartz M, Rasch C, Vineberg K, Damen E, Van As CJ. et al. Dysphagia and aspiration after chemoradiotherapy for head-and-neck cancer: Which anatomic structures are affected and can they be spared by IMRT? Int J Radiat Oncol Biol Phys. 2004;60:1425–39. https://doi.org/10.1016/j.ijrobp.2004.05.050
  51. Rogers SN, D’Souza JJ, Lowe D, Kanatas A. Longitudinal evaluation of health-related quality of life after osteoradionecrosis of the mandible. Br J Oral Maxillofac Surg. 2015;53(9):854–7. https://doi.org/10.1016/j.bjoms.2015.07.008
  52. Jacobson AS, Zevallos J, Smith M, Lazarus CL, Husaini H, Okay D. et al. Quality of life after management of advanced osteoradionecrosis of the mandible. Int J Oral Maxillofac Surg. 2013;42(9):1121–28. https://doi.org/10.1016/j.ijom.2013.03.022
  53. Chang EI, Leon P, Hoffman WY, Schmidt BL. Quality of life for patients requiring surgical resection and reconstruction for mandibular osteoradionecrosis: 10-year experience at the University of California San Francisco. Head Neck. 2012;34(2):207–12. https://doi.org/10.1002/hed.21715
  54. Zavalishina L, Karra N, Zaid WS, El-Hakim M. Quality of life assessment in patients after mandibular resection and free fibula flap reconstruction. J Oral Maxillofac Surg. 2014;72(8):1616–26. https://doi.org/10.1016/j.joms.2014.02.018
  55. Hoxbroe MS, Gronhoj C, Hoxbroe MJ, Friborg J, von Buchwald C. Quality of life in survivors of oropharyngeal cancer: A systematic review and meta-analysis of 1366 patients. Eur J Cancer. 2017;78: 91–102. https://doi.org/10.1016/j.ejca.2017.03.006
  56. Bjordal K, de Graeff A, Fayers PM, Hammerlid E, van Pottelsberghe C, Curran D. et al. A 12 country field study of the EORTC QLQ-C30 (version 3.0) and the head and neck cancer specific module (EORTC QLQ-H&N35) in head and neck patients. EORTC Quality of Life Group. Eur J Cancer. 2000;36(14):1796–07. https://doi.org/10.1016/S0959-8049(00)00186-6
  57. Al-Hayder S, Elberg JJ, Charabi B. Clinical outcome and health-related quality-of-life following microsurgical reconstruction in patients with oral and oropharyngeal cancer. Acta Otolaryngol. 2017;137(5):541–45. https://doi.org/10.1080/00016489.2016.1249945
  58. Aaronson NK, Ahmedzai S, Bergman B, Bullinger M, Cull A, Duez NJ. et al. The European Organization for Research and Treatment of Cancer QLQ-C30: a quality-of-life instrument for use in international clinical trials in oncology. J Natl Cancer Inst. 1993;85(5):365–76. https://doi.org/10.1093/jnci/85.5.365
  59. Kyrgidis A, Triaridis S, Kontos K, Patrikidou A, Andreadis C, Constantinidis J. et al. Quality of life in breast cancer patients with bisphosphonate-related osteonecrosis of the jaws and patients with head and neck cancer: a comparative study using the EORTC QLQ-C30 and QLQ-HN35 questionnaires. Anticancer Res. 2012;32(8):3527–34
  60. Danielsson D, Munck-Wikland E, Hagel E, Halle M. Quality of life after microvascular mandibular reconstruction for osteoradionecrosis-A prospective study. Head Neck. 2019;41(7):2225–30. https://doi.org/10.1002/hed.25681
  61. Akashi M, Wanifuchi S, Iwata E, Takeda D, Kusumoto J, Furudoi S. et al. Differences between osteoradionecrosis and medication-related osteonecrosis of the jaw. Oral Maxillofac Surg. 2018;22(1):59–63. https://doi.org/10.1007/s10006-017-0667-5
  62. Miksad RA, Woo S, Dodson T, Treister NS, Maytal G, August M. et al. Quality of life implications of osteonecrosis of the jaw in cancer patients: a pilot study. Journal of Clinical Oncology 2008; 26 (Suppl15): 17557–17557. https://doi.org/10.1200/jco.2008.26.15_suppl.17557
  63. Tenore G, Mohsen A, Rossi AF, Palaia G, Rocchetti F, Cassoni A et al. Does Medication-Related Osteonecrosis of the Jaw Influence the Quality of Life of Cancer Patients? Biomedicines. 2020;8(4):95. https://doi.org/10.3390/biomedicines8040095
  64. Hagell P, Westergren A, Årestedt K. Beware of the origin of numbers: Standard scoring of the SF-12 and SF-36 summary measures distorts measurement and score interpretations. Res. Nurs. Health 2017;40:378–86. https://doi.org/10.1002/nur.21806
  65. Capocci M, Romeo U, Guerra F, Mannocci A, Tenore G, Annibali S. et al. Medication-related osteonecrosis of the jaws (MRONJ) and quality of life evaluation: a pilot study. Clin. Ter. 2017, 168, e253-e257.
  66. The WHOQOL Group Study protocol for the World Health Organization project to develop a quality of life assessment instrument (WHOQOL) Quality of Life Research. 1993;2:153–59. https://doi.org/10.1007/BF00435734
  67. Hacker ED. Technology and quality of life outcomes. Seminars in Oncology Nursing. 2010;26:47–58. https://doi.org/10.1016/j.soncn.2009.11.007
  68. Chang JT, Chang CH, Juang YY, Hsiao JC, Lin CY, Huang SF. et al. Internal consistency of the traditional Chinese character version of the Functional Assessment of Cancer Therapy-Head and Neck (FACT-H&N). Chang Gung Med J. 2008;31:384e94.
  69. Singer S, Wollbrück D, Wulke C, Dietz A, Klemm E, Oeken J. et al. Validation of the EORTC QLQ-C30 and EORTC QLQ-H&N35 in patients with laryngeal cancer after surgery. Head Neck.2009;31:64e76. https://doi.org/10.1002/hed.20938
  70. Bower WF, Vlantis AC, Chung TM, Cheung SK, Bjordal K, van Hasselt CA. Quality of life in head and neck cancer patients after surgical resection: translation into Cantonese and validation of the EORTC QLQ-H&N35. Acta Otolaryngol. 2009;129:779e85. https://doi.org/10.1080/00016480802398970
  71. Hassan SJ, Weymuller Jr EA. Assessment of quality of life in head and neck cancer patients. Head Neck 1993;15:485e96. https://doi.org/10.1002/hed.2880150603