1

Pathogenesis and Pathology of Pediatric Lymphoma

Weijie Li

Department of Pathology and Laboratory Medicine, Children’s Mercy Hospital, University of Missouri-Kansas City School of Medicine, Kansas City, USA

Abstract: Lymphoma is the third most common pediatric neoplasm. In the United States, there are close to 2000 new lymphoma cases diagnosed in children every year. Common pediatric lymphomas include Hodgkin lymphoma, Burkitt lymphoma, lymphoblastic lymphoma, diffuse large B-cell lymphoma, and anaplastic large cell lymphoma. Advances in understanding the biology of these lymphomas have led to significantly improved therapeutic outcome and made lymphoma one of the most curable pediatric cancers. There are a few newly proposed or revised entities of lymphoma in the most recent WHO classification, which include Burkitt-like lymphoma with 11q aberration, large B-cell lymphoma with IRF4 rearrangement, pediatric type follicular lymphoma and systemic EBV (Epstein-Barr virus) + T-cell lymphoma of childhood. These new entities are relatively common in children and are not well known. They can be a diagnostic challenge to a pathologist who is not familiar with them. This chapter describes common pediatric lymphomas as well as these new WHO entities with the focus on the epidemiology, pathogenesis, and pathology.

Keywords: diffuse large B-cell lymphoma; Hodgkin lymphoma; lymphoblastic lymphoma; non-Hodgkin lymphoma; pediatric lymphoma

Author for correspondence: Weijie Li, Department of Pathology and Laboratory Medicine, Children’s Mercy Hospital, Kansas City, USA. Email: wli@cmh.edu

Cite this chapter as: Li W. Pathogenesis and Pathology of Pediatric Lymphoma. In: Gallamini A, Juwied M. editors. Lymphoma. Brisbane (AU): Exon Publications. Online first 2021 Nov 16.

Doi: https://doi.org/10.36255/exon-publications.lymphoma.2021.pediatric-lymphoma

In: Gallamini A, Juwied M (Editors). Lymphoma. Exon Publications, Brisbane, Australia. ISBN: 978-0-6453320-0-1; Doi: https://doi.org/10.36255/exon-publications.lymphoma.2021

Copyright: The Authors.

License: This open access article is licenced under Creative Commons Attribution-NonCommercial 4.0 International (CC BY-NC 4.0) https://creativecommons.org/licenses/by-nc/4.0/

INTRODUCTION

Lymphoma is the third most common pediatric neoplasm after leukemia and brain tumor, accounting for 10–15% of cancers in children. In the United States, the incidence of lymphoma in children is approximately 25 per million, and there are close to 2000 new lymphoma cases diagnosed in children every year (13). There are two groups of lymphomas: Hodgkin lymphoma (HL) and non-Hodgkin lymphoma (NHL). HL is a B-cell lymphoma and can be further divided into classic HL (CHL) and nodular lymphocyte predominant HL (NLPHL) based on pathology. CHL is characterized by the presence of large mononuclear Hodgkin (H) cells and binucleated or multinucleated Reed-Steinberg (RS) cells in a background with mixed inflammatory cells, while NLPHL is characterized by the presence of popcorn-shaped lymphocyte-predominant (LP) cells in the background of a nodular pattern of B-cell growth. NHL is a collection of a heterogenous group of lymphoid neoplasms deriving from B-, T- or NK-cells. Common NHLs in children include Burkitt lymphoma (BL), lymphoblastic lymphoma (LBL), diffuse large B-cell lymphoma (DLBCL) and anaplastic large cell lymphoma (ALCL). There are a few newly proposed or revised lymphoma entities in the most recent WHO classification of hematopoietic tumors (4), which include Burkitt-like lymphoma with 11q aberration (BLL-11q), large B-cell lymphoma with IRF4 rearrangement (LBL-IRF4), pediatric-type follicular lymphoma (PTFL) and systemic systemic EBV (Epstein-Barr virus) + T-cell lymphoma of childhood (EBV+TLC). These new entities are relatively common in children and are not well known. They can be a diagnostic challenge to a pathologist who is not familiar with them. There has been a tremendous amount of research work done in the field of these lymphomas during last several decades. The advances in the understanding of the biology of these lymphomas have led to significantly improved therapeutic outcome and made pediatric lymphomas one of the most curable pediatric cancers. The 5-year disease-free survival after completion of therapy exceeds 85% for most pediatric lymphomas. This chapter describes pediatric lymphomas with the focus on the epidemiology, pathogenesis, and pathology.

EPIDEMIOLOGY

The age-adjusted annual incidence rates of pediatric lymphomas are listed in Table 1. In the United States, HL accounts for approximately 7% of all pediatric neoplasms. It is the most common lymphoma in patients aged 10 to 19 years and is the most common malignancy among adolescents 15 to 19 years old. The annual incidence rate of HL gradually increases with age in children and adolescents, ranging from 1 per million in patients aged 1–4 years to 30.5 per million in adolescents. Approximately 90% of HL cases are CHL, and 10% are NLPHL. Based on histological features, CHL can be further separated into four subtypes: nodular sclerosis CHL (NSCHL), mixed cellularity CHL (MCCHL), lymphocyte-rich CHL (LRCHL) and lymphocyte-depleted CHL (LDCHL). The age distributions of the CHL subtypes vary greatly. NSCHL has a peak among individuals aged 15 to 35 years, and is the most common CHL subtype, accounting for approximately 50% of all HL cases in patients younger than 10 years of age, and 70–75% in patients aged 10–19 years. MCCHL accounts for approximately 30% of all HL cases in patients younger than 10 years of age, and 15% in patients aged 10–19 years. MCCHL is mostly EBV-positive and is associated with low socio-economic status, and non-European ethnicity. LRCHL accounts for 14% of all HL cases in patients younger than 10 years of age, and 6% in patients aged 10–19 years. LDCHL is very rare in children (<2%). There is a male predilection for most HL subtypes except for NSCHL, in which the incidence is slightly higher in females. Individuals with a history of infectious mononucleosis have a higher risk for CHL, especially for the MCCHL subtype. Incidence rate for HL is approximately 30% higher among white children than that among black and Hispanic children. Asian/Pacific Islanders have the lowest incidence rates (2). The incidence of HL has not increased over the past decades.

TABLE 1 Pediatric Lymphoma Incidence by Histologic Group, Sex and Age (average annual rate per million, all races, age-adjusted to 2000 US Std Population standard, SEER, 18 registries, 2000-2018).

# Both sexes Male Female
<1 1–4 5–9 10–14 15–19 <1 1–4 5–9 10–14 15–19 <1 1–4 5–9 10–14 15–19
HL 0 1.0 4.3 11.9 30.5 0 1.4 6.1 13.3 29.4 0 0.6 2.4 10.4 31.7
NHL
 BL 0.4 3.2 4.1 3.1 2.8 0.4 4.2 6.3 4.8 4.1 0.3 2.1 1.7 1.3 1.4
 LBL* 0.3 1.5 1.7 1.2 1.2 0.3 1.7 1.9 1.5 1.7 0.4 1.4 1.4 1.0 0.7
 DLBCL 0.2 0.7 1.0 3.0 6.5 0.4 0.8 1.4 3.5 7.5 0 0.6 0.6 2.4 5.6
 ALCL 0 0.4 0.8 1.3 1.6 0 0.5 1.1 1.5 2.0 0.1 0.2 0.6 1.0 1.2
 Others 0.9 2.3 3.9 5.3 7.6 0.8 3.1 5.3 6.7 10 0.9 1.5 2.5 3.8 5.1

ALCL, anaplastic large cell lymphoma; BL, Burkitt lymphoma; DLBCL, diffuse large B-cell lymphoma; HL, Hodgkin lymphoma; LBL, lymphoblastic lymphoma; NHL, non-Hodgkin lymphoma; # Age: years old; * LBL cases with significant bone marrow involvement (lymphoblastic leukemia) are excluded.

NHLs also show variability in incidence rates according to sex and age (Table 1). The overall incidence rate of NHL increases with age, and most NHLs show male predilection. BL is the most common NHL in children younger than 14 years of age, and its incidence is much higher in males than in females (M/F = 2–4). Children aged 5–14 years have higher incidence rate than those younger than 5 years of age and adolescents. In contrast to BL, the incidence rates of DLBCL and ALCL rise steadily with age, and DLBCL is the most common NHL in adolescents with an incidence rate of 6.5 per million. LBL occurs at similar frequency across all 1- to 19-year age groups. Approximately 90% LBL cases are of T-lymphoblast origin, while 10% arise from B-lymphoblasts. Since WHO classification (4) has combined LBL and acute lymphoblastic leukemia (ALL) together as one group (ALL/LBL), some pathologists do not separate them apart anymore, therefore, the actual incidence of LBL (with no significant bone marrow involvement) is hard to estimate, and the numbers extracted by SEER may not reflect the exact numbers of LBL cases. ALCL is extremely rare in infants, and its incidence rate increases steadily from 0.4 per million in patients aged 1–4 years to 1.6 per million in patients aged 14–19 years. Overall, ALCL represents 10–15% of NHLs and 30%–40% of large cell lymphomas in the pediatric population. The incidence of NHL among white children is slightly higher than that among black children, and the differences in incidence rates between white and black children appear greatest for children aged 5–9 years of age and 15–19 years of age. There is a strong association of endemic BL (eBL) with EBV and malaria in equatorial Africa and in Papua New Guinea, where BL is the most common pediatric malignancy, accounting for nearly half of the childhood malignancy.

ETIOLOGY AND PATHOGENESIS

Thanks to many years’ hard work of the researchers worldwide, our understanding of the etiology and pathogenesis of lymphomas has advanced significantly, although the exact mechanisms of how these lymphomas develop remain largely unclear. B-cells go through several physiological gene rearrangements/alterations during their development and maturation. The knowledge of normal B-cell development and activation (Figure 1A) will be helpful to understand the pathogenesis of B-cell lymphoma, which accounts for the majority of pediatric lymphoma cases.

Fig 1

Figure 1. Normal B-cell development and simplified pathogenesis of B-cell lymphomas. A, B-cells develop and mature in the bone marrow where B-cell receptor (BCR) gene is rearranged and BCR is counter-selected for autoreactivity (eliminated by apoptosis if self-reactive). The positively selected B cells become mature naive B cells that leave the bone marrow. Upon encountering cognate antigen, some activated B cells differentiate into short-lived plasma cells secreting low-affinity antibodies and providing a rapid initial response to the antigen. Some activated B cells migrate into lymphoid follicles and initiate a germinal center (GC), where GC-B cells go through somatic hypermutation (SHM) and class switch recombination (CSR), both of which are dependent on the activity of activation-induced cytidine deaminase (AID). After several cycles of proliferation, mutation, and positive selection, GC-B cells differentiate into either high-affinity antibody-secreting plasma cells or memory B cells and leave the GC. B, With further mutations, the B-cell precursors with gene defect gain dysregulated signals of growth, survival and differentiation, and eventually develop into B-lymphoblastic lymphoma. The DNA modification processes of GC-B cells make them prone to chromosome translocations and mutations. The GC-B cells with translocation involving MYC gene and deregulated signal pathways of growth and survival eventually develop into Burkitt lymphoma. With additional genetic lesions, GC-B cells with translocations and/or mutations involving other oncogenes and/or tumor suppressor genes develop into diffuse large B-cell lymphoma of GC-B type. GC-B cells with deregulated NF-κB pathway driven by EBV proto-oncogene LMP1 in EBV+ cases or certain mutations in EBV- cases develop into Hodgkin (H) cells. Chromosome disorganization and multinucleation due to cell cycle deregulation and telomere deprotection lead H cells to develop into Reed-Steinberg (RS) cells. The H and RS cells further their survival by attracting a supportive microenvironment through releasing cytokines and growth factors and suppressing local immune response. Eventually Hodgkin lymphoma is developed. ↑- increased signaling or activity; x- inhibited process.

Normal B-cell development and activation

The physiological processes of normal B-cell development and activation are schematically summarized in Figure 1A. B cells develop in the bone marrow where the production of a functional and unique B-cell receptor (BCR) through V(D)J recombination is the central process. When a B cell precursor expresses functional immunoglobulin (Ig) heavy and light chains that can form a stable BCR, the stage of immature B-cell is reached. At this stage, the BCR expressed is IgM isotype, and the cell is counter-selected for autoreactivity. If reactive to autoantigens, the B cells are driven into an anergic state or are eliminated by apoptosis (negative selection). The positively selected B cells with functional BCRs become mature naive B cells. These cells coexpress IgM and IgD through differential splicing of the variable region of heavy chain gene (VH) exon to the and constant region exons. Mature naive B cells leave bone marrow and circulate as resting lymphocytes in peripheral blood and secondary lymphoid tissues.

After cognate antigen encounter, mature naive B cells undergo transformation, proliferate, and eventually become antibody-secreting plasma cells or memory B cells. Some activated B cells differentiate into short-lived plasma cells, which secret low-affinity antibodies (mostly IgM) and provide a rapid initial response to antigen. Some activated B cells migrate together with activated T helper cells into lymphoid follicles and initiate a germinal center (GC) reaction. GC displaces the locally residing naive B lymphocytes and compacts them into a mantle zone surrounding the GC. GCs are highly dynamic structures with two histologically distinct zones: the dark zone (DZ) and the light zone (LZ). The DZ consists of rapidly proliferating centroblasts in a network with follicular dendritic cells (FDCs) and follicular T helper cells (FTHs), while the LZ consists of mainly centrocytes. The DZ is the site where GC-B cells modify the variable region of their Ig genes (VIg) by the process of somatic hypermutation (SHM). SHM introduces mostly single-nucleotide substitutions to change the affinity of BCR to the antigen, and this process is dependent on activation-induced cytidine deaminase (AID) that converts cytidine into uracil in the affected DNA strand (5). Since uracil is not a normal component of DNA, these sites are subsequently targeted by error-prone DNA repair mechanisms (6). SHM also affects some non-Ig genes at a much lower rate. The centroblasts acquiring mutations migrate into the LZ, where low-affinity BCR is negatively selected by the induction of apoptosis in the corresponding centrocytes. Another important DNA recombination process in GC-B cells is the class switch recombination (CSR), which replaces and genes with Cα, Cε, or genes in humans. This process is also dependent on AID and is mediated by DNA double-strand breaks in the switch regions upstream of the CH genes. CSR leads to changes in BCR signaling competence and modified functions of the antibody (7). After multiple cycles of proliferation, mutation, and positive selection, GC-B cells differentiate into either high-affinity antibody-secreting plasma cells or resting memory B cells and leave GC. Upon re-encountering the antigen, quiescent memory B cells can quickly be reactivated to participate in improved secondary immune responses.

Hodgkin lymphoma

It has been known for a long time that HL is associated with EBV infection, although not all HL cases are positive for EBV. The positive rate of EBV infection is highest (~75%) in MCCHL and LDCHL, and lowest (5%) in NLPHL. NSCHL and LRCHL fall in between. Like in many other malignancies, immunodeficiency or immunosuppression status is a risk factor for HL. Genetic susceptibility likely plays a role in some HL cases, which is supported by the findings of significantly increased relative risk for HL in monozygotic twins (8), and different incidence rates among populations of different ethnic origins regardless of socioeconomic status (9).

The cellular origin of HL tumor cells has been proved to be GC-B cells by microdissection and subsequent analysis of Ig genes. HRS cells and LP cells from nearly all HL cases have detectable rearrangements of Ig heavy and ⁄ or light chain genes. Additionally, the VIg genes of the tumor cells show evidence of SHM (10). In the cases with EBV infection, crippled GC-B cells with nonfunctional BCRs are rescued through LMP1 expression (11). LMP1 is a multifunctional oncoprotein known to cause constitutive activation of the NF-κB pathway, which leads to inhibition of apoptosis and provides other survival benefits. Activation of NF-κB pathway is a typical feature of all CHL cases. Gene mutations affecting this pathway are commonly seen in EBV-negative HL cases. However, the exact “first-hit” contributing to the development of EBV-negative CHL remains unclear. It has been known for a long time that LMP1 and cyclin A are involved in the formation of HRS cells (12, 13). The exact mechanism how early clonal lymphoid precursors (14) are transformed to malignant HRS cells remains elusive. Recent studies show that telomere deprotection likely plays an important role in the evolution of H-cells to RS-cells (15). Disruption in the shelterin protein complex leads to telomere shortening, disorganized chromosome fusions, and ultimately the formation of multinucleated telomere-poor RS cells (Figure 1B). The HRS cell further enhances its own survival by attracting a supportive microenvironment through releasing cytokines and growth factors and suppressing local immune response. Unique to HL, the malignant cells usually account for <5% of total cells in the affected tissue, while the majority of the cells in the tissue are nonneoplastic lymphocytes, myeloid cells, and stromal cells. The microenvironment works in a way promoting tumor cell survival, angiogenesis, and immune system suppression. HRS cells show significant down-regulation of β2-microglobulin and major histocompatibility complex molecules, which are required for the cytotoxic response by T cells (16), and upregulation of PD-L1 to create a state of so-called “T cell exhaustion” (17). These are also the important mechanisms how HRS cells escape the immune system.

NLPHL is different from CHL in histology and phenotype. The cell origin of LP cells is also GC-B cells. The frequency of EBV positivity is very low in NLPHL, which excludes the significant role of EBV infection in the pathogenesis of NLPHL. Same as HRS cells, LP cells show significant deregulation of NF-κB signaling pathway (18), which is likely also the key molecular change leading to the development of this lymphoma.

Non-Hodgkin lymphoma

The etiology of pediatric NHL is largely unknown. In a small portion of the cases, pediatric NHL is linked to the disorders of immune dysfunction. Primary immune disorders, such as Wiskott-Aldrich syndrome, ataxia-telangiectasia, X linked lymphoproliferative syndrome, acquired immunodeficiency syndrome (AIDS) from HIV infection, and immunocompromised status, such as post organ or bone marrow transplantation, are associated with an increased risk of NHL. The NHL cases associated with these conditions are commonly related to EBV infection. EBV is also associated with eBL and is the driving factor to the development of EBV+ TLC.

As aforementioned, the development of B cells in the bone marrow is initiated by random recombination of genes that encode IgV to form the BCR. In GC, the GC-B cells undergo two additional DNA modifications: SHM and CSR (Figure 1A). These processes are tightly controlled; however, they can go awry and result in translocations and mutations, and subsequently lead to the development of a B-cell lymphoma (Figure 1B).

The pathogenesis of BL has been well studied. The cell origin of BL is GC-B cells, the DZ centroblasts more specifically, as evidenced by the presence of highly mutated VIg sequences and the expression of a related transcriptional signature (19, 20). BL includes three clinical variants: sporadic BL (sBL), eBL, and immunodeficiency-associated BL (ID-BL). All BL cases are associated with chromosomal translocations involving the MYC gene located on chromosome 8q24. T(8;14)(q24;q32) MYC/IgH is seen in ~80% cases; in the remaining 20% of cases, either Igk (2p12) or Igλ (22q11) is involved as a partner gene. These translocations show a high degree of molecular heterogeneity and breakpoint variation, which likely reflect the distinct mechanism of Ig gene remodeling (CSR vs SHM) involved in their generation (21). The consequence of these translocations is the constitutive overexpression of MYC proto-oncogene. MYC is normally absent in most GC-B cells, due to or partially due to BCL6-mediated transcriptional repression. MYC is an important transcriptional factor regulating the transcription of many target genes that function in controlling cell cycle, cell growth, apoptosis, cellular metabolism, and biosynthesis. Overexpression of MYC leads to significantly enhanced signal for cell growth and survival. Furthermore, deregulation of MYC also causes genomic instability and thus contributes to the occurrence of additional genetic lesions. Gene mutations of the transcription factor TCF-3 and its negative regulator ID3 are highly recurrent in all three subtypes of BL, and they promote tonic (antigen-independent) BCR signaling and sustain survival of the tumor cells by activating the PI3K pathway (Figure 1B) (22). In addition, TCF-3 can promote cell-cycle progression by transactivating CCND3, which itself shows gain-of-function mutations in 38% of sBL. Other common genetic lesions detected include the loss or inactivation of tumor suppressor genes such as TP53 and CDKN2B by mutation, deletion, or hypermethylation. EBV infection may contribute to the development of BL since it is present in virtually all cases of eBL and in ~30% of sBL and ID-BL. However, BL tumor cells lack the expression of both EBV transforming antigens LMP1 and EBNA2, which questions the pathogenetic role of this virus in BL.

DLBCL is heterogeneous with respect to morphology, phenotype, biology, and clinical presentation. Based on gene expression profiling, DLBCL can be divided into two main molecular subgroups: GC-B and activated B-cell (ABC). Approximately 10–15% of cases cannot be included in either of the subtypes and remain unclassified. The relative proportions of the GC-B subtype and the ABC subtype vary according to geographical location, age group, and methodology used, but are generally about 60% and 40%, respectively. DLBCL in children is predominantly GC-B type (23). Genetic lesions detected in GC-B DLBCL include the chromosomal translocations and mutations related to aberrant SHM or CSR, which lead to deregulated expression of protooncogenes (Figure 1B). Other genetic lesions commonly detected in GC-B DLBCL include deletions of the tumor suppressor PTEN gene, mutations of EZH2 gene, and mutations of the S1PR2 adaptor protein GNA13. BCL6, a transcriptional repressor, is a master regulator of GC-B cell differentiation, and it seems playing an important role in the pathogenesis of GC-B DLBCL. The 5′ sequence of BCL6 gene is mutated in ~70% of DLBCL cases (24), and the mutations resemble the activity of the physiologic SHM of normal GC-B cells (25). However, functional analysis of the mutations has revealed a subset specifically associated with GC-B DLBCL. And these mutations deregulate BCL6 transcription by disrupting its negative auto-regulatory circuit (26). The deregulation of BCL6 contributes to the development of certain DLBCL cases by enforcing the tumor cell proliferation, suppressing proper DNA damage responses, and blocking terminal differentiation.

LBL is an aggressive neoplasm of T- or B-precursors, resembling ALL biologically, morphologically, and phenotypically, and it has been grouped together with ALL as one category in the recent WHO classification (4). The etiology of ALL/LBL is mostly unknown. There is an increased risk of B-ALL/LBL in children with Down syndrome and other constitutional genetic disorders, such as germline mutations of ETV6 and TP53, which supports the “two-hits” hypothesis. The occurrence of B-ALL/LBL results from a series of gene mutations. The “first hit” might start at the early stem cell stage, followed by processes of clonal expansion and further mutations. A clone with dysregulated signals in proliferation, survival and differentiation eventually develops into B-ALL/LBL (Figure 1B). A good example is B-ALL/LBL with ETV6- RUNX1. The translocation was detected in the neonatal blood spots of children who developed this disease many years later (27). T-ALL/LBL is thought to result from the malignant transformation of immature thymocytes that develop in thymus. Same as B-ALL-LBL, the oncogenesis of T-ALL/LBL is also a multistep process resulting from the accumulation of genetic alterations in oncogenes and tumor suppressor genes. These genetic lesions work together and lead to disrupted key pathways responsible for the control of cell growth and survival. The most common genetic lesion in pediatric T-ALL/LBL is the deletion of the CDKN2A locus on chromosome 9p22 (70% of cases), which contains the genes coding for p14/INK4A and 16/ARF, two tumor suppressors functioning in cell cycle regulation and P53-mediated apoptosis. NOTCH1 is the most prevalent oncogene involved in T-ALL/LBL. Over 60% of the cases show aberrant activation of the NOTCH1 signaling pathway (28). In addition, about 40% of T-ALL/LBL cases harbor chromosomal translocations juxtaposing transcription factor oncogenes next to T-cell receptor β (TCRB) or the TCR α-δ (TCRAD) locus. These T-ALL/LBL-specific transcription factor oncogenes include T-cell acute lymphocytic leukemia 1 (TAL1), lymphoblastic leukemia-derived sequence 1 (LYL1) and homeobox-11 (HOX11) and several others (29). Genetic differences between T-ALL and T-LBL have been detected, especially in genes related to cell adhesion, chemotaxis, and angiogenesis (30, 31).

ALCL is an aggressive T-cell neoplasm with no clearly established risk factors. In children, ALCL is predominantly anaplastic lymphoma kinase (ALK) positive with aberrant ALK activity resulting from the chromosomal translocation involving the ALK gene located on chromosome 2p23. Systemic ALK-negative ALCL and cutaneous ALCL are very rare in children. The most common translocation is t(2;5) (p23;q35), which results in the juxtaposition of the ALK gene to the nucleophosmin (NPM) gene. This fusion results in the overexpression of ALK, a constitutively active oncogenic tyrosine kinase with both proliferative and anti-apoptotic effects. Multiple alternative fusion partners for ALK have been described with no significant difference in outcome. Some studies indicate that the t(2;5) or variant translocations may occur in hematopoietic stem cells or early T-cell progenitors as a “first hit”. The cells with this ALK deregulation can survive in the thymus with a crippled TCR rearrangement. These ‘primed’ cells may not be detected for years until a “second hit” occurs and tumor is then formed (32).

PATHOLOGY

Most of the pediatric lymphomas have well-defined histomorphology and immunophenotype. Some of them also have diagnostic or characteristic cytogenetic abnormalities. Accurate pathologic diagnosis of these lymphomas needs the correlation between histomorphology and immunophenotype. In some cases, cytogenetic/molecular findings are also indispensable for accurate diagnosis or WHO classification.

Hodgkin lymphoma (HL)

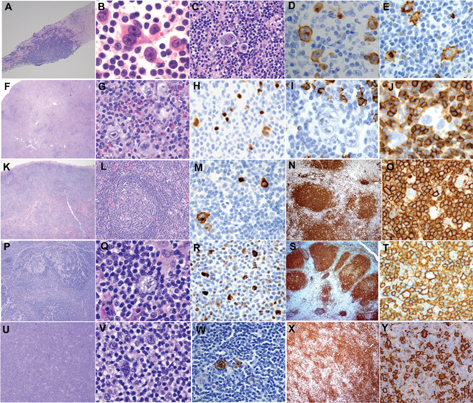
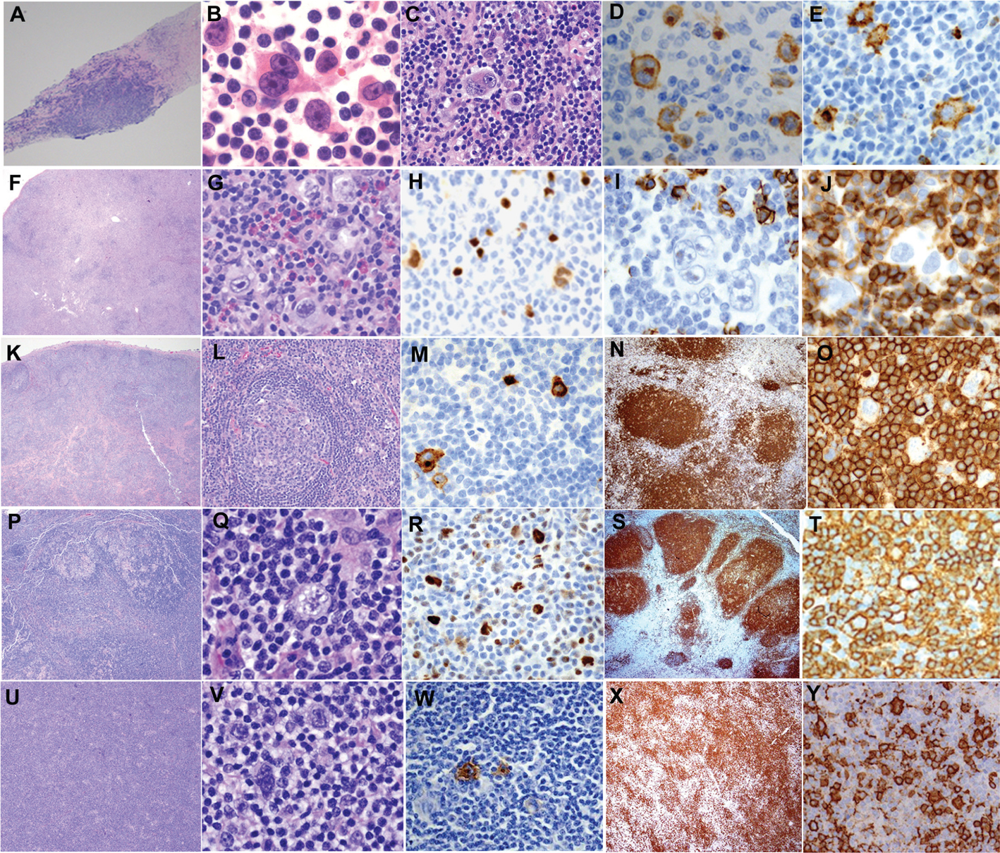
CHL is characterized by the presence of HRS cells in a mixed inflammatory background comprising small lymphocytes, histiocytes, plasma cells, eosinophils, and neutrophils (Figure 2). HRS cells have either multiple (at least 2) large nuclei (RS cells) or a single large nucleus (H cells). Both H and RS cells typically have large eosinophilic inclusion-like nucleoli (Figure 2B, C and G). Some HRS cells have condensed cytoplasm and pyknotic reddish nuclei, which are known as mummified cells. In formalin-fixed tissue, the cytoplasm of the HRS cells frequently show retraction of the membrane, resulting in that the tumor cells seem sitting in the lacunae (Figure 2C). Therefore, these cells are called lacunar cells. Necrotizing or nonnecrotizing epithelioid granulomas can be seen in some CHL cases. LP cells of NLPHL have polylobated nuclei with shape resembling popcorn, inconspicuous or small nucleoli and moderately abundant cytoplasm (Figure 2Q and V). The HRS cells are positive for CD30 in all CHL case, positive for CD15 in ~75% of the cases, and usually negative for CD45 and CD20. Most CHL cases are negative for B-cell markers except for PAX5, which is usually weakly positive. CD20 expression is seen in ~20% of CHL cases and is usually weak and variable. Expression of EBV markers (EBER and LMP1) in HRS cells can be seen in some CHL cases. LP cells usually express B-cell markers and are negative for CD30 and CD15.

Fig 2

Figure 2. Histologic and immunophenotypic features of Hodgkin lymphoma. A-E, Nodular sclerosis classic Hodgkin lymphoma shows a nodular lesion with collagenous band (A, H&E stain), large mononuclear Hodgkin cells and bi- or multinucleated Reed-Steinberger cells with prominent large nucleoli admixed with mixed background inflammatory cells (B, H&E-stained touch imprint; C, H&E-stained section). The Hodgkin/ Reed-Steinberger (HRS) cells are positive for CD30 with membrane and Golgi pattern (D) and CD15 (E). F-J, Mixed cellularity classic Hodgkin lymphoma shows a diffuse pattern (F, H&E stain) and HRS cells in the background composed of a mixture of inflammatory cells (G, H&E stain). The HRS cells are positive for PAX5 (H), and negative for CD20 (I) and CD45 (J). K-O, Lymphocytes-rich classic Hodgkin lymphoma shows a nodular pattern and scattered HRS cells located in the nodules, but outside the germinal center (K and L, H&E stain). The HRS cells are positive for CD30 (M) and negative for CD20 (N and O). P-T, Classical nodular lymphocyte predominant Hodgkin lymphoma (NLPHL) shows distorted B-cell rich nodules (P, H&E stain; S, CD20 IHC stain) and popcorn-shaped LP cells in the nodule (Q, H&E stain). The LP cells are positive for BCL6 (R) and CD20 (T). U-Y, Variant NLPHL shows diffuse B-cell rich pattern (U, H&E stain; X, CD20 IHC stain) and scattered LP cells with surrounding small lymphocytes (V, H&E stain). The LP cells are positive for EMA (W) and CD20 (Y).

There are four CHL subtypes: NSCHL, MCCHL, LRCHL and LDCHL. NSCHL (Figure 2 A-E) is characterized by the presence of HRS cells and lacunar cells in the nodules surrounded by collagen bands. Capsule is usually thickened. To confidently call a case NSCHL, at least one nodule should be appreciated. The HRS cells show typical CHL phenotype: CD30+CD15+/-CD20-CD45-PAX+. Grading for NSCHL based on the proportion of HRS cells or the characteristics of the background infiltrate may predict prognosis based on an old study (33). However, the widely used needle biopsy makes this grading impractical; the significantly improved outcome of current therapy makes the grading no longer useful for prognostic prediction (34). A syncytial variant of NSCHL, characterized by large clusters of lacunar cells in the nodules, is likely associated with a more aggressive behavior (35). MCCHL (Figure 2 F-J) is characterized by the presence of HRS cells in a diffuse inflammatory background. Fine interstitial fibrosis may be present, but collagenous bands are absent and capsular fibrosis is typically not seen. Lymph node architecture is usually completely effaced, although interfollicular growth pattern may be rarely seen. The HRS cells usually show typical CHL phenotype and are commonly positive for EBER and LMP1. The composition of background cells varies greatly, and one of these cell types may be predominate. LRCHL (Figure 2 K-O) is characterized by a nodular or occasionally a diffuse cellular background composed of mainly small lymphocytes with no neutrophils and eosinophils. The nodules of the nodular variant are composed of small lymphocytes and may have GCs, which are often regressed. The HRS cells are mostly located within the nodules, but outside the GCs. The HRS cells show typical CHL phenotype, but more likely express GC transcription factors such as BOB1, OCT2 and BCL6 than other CHL subtypes. In diffuse LRCHL cases, the small lymphocytes of the cellular background can be mainly T cells and can be admixed with histiocytes. LDCHL is a diffuse form of CHL, rich in HRS cells and/or lacking non-neoplastic lymphocytes. Histiocytes are usually abundant. The immunophenotype of the tumor cells is similar to other CHL subtypes, and EBV is commonly detected.

NLPHL is usually characterized by a nodular or a nodular and diffuse proliferation of small lymphocytes with scattered large LP cells. The LP cells are surrounded by PD1+ FTH cells (FTH rosettes). In typical cases (Figure 2 P-T), the LP cells reside in large B-cell-rich nodules. Fan Z, et al. (36) described six distinct histopathological patterns: (A) B-cell-rich nodular; (B) serpiginous nodular; (C) nodular with prominent extranodular LP cells; (D) T-cell-rich nodular; (E) T-cell/histiocyte-rich large B-cell lymphoma (THRLBCL)-like; (F) diffuse B-cell-rich (Figure 2 U-Y). Patterns C, D, E and F are associated more often with advanced disease and a higher relapse rate (37). For lesions appearing diffuse on H&E staining, IHC stains are needed to detect the presence of LP cells, small reactive B-cells, and residual follicular structures. The detection of one such area is sufficient to exclude THRLBCL. LP cells express most B-cell markers such as CD20, CD79a and PAX5, as well as OCT2, BOB1 and BCL6. EMA is also commonly expressed. CD30 and CD15 are usually negative.

The diagnosis of HL is based on histomorphology and immunophenotype by IHC staining. Flow cytometry is not useful to detect HL due to the low proportion and large size of the tumor cells, and lymphocyte-rosettes on tumor cell surface. By flow cytometry, the findings associated with HL include increased CD4-to-CD8 ratio in CHL and increased CD4/8 double positive T-cell population in NLPHL. These findings are neither specific nor sensitive. The cytogenetic and molecular testing is usually not performed for clinical purpose. The HRS cells and LP cells are required for the diagnosis of CHL and NLPHL, respectively, but they must be seen in an appropriate cellular background and show a correct phenotype, since they are not specific to HL and can be seen in other lymphomas or viral infection. Careful evaluation of the tumor cell phenotype is important to make the distinction between LRCHL and NLPHL, and rule out other morphologic mimickers of HL.

Lymphoblastic lymphoma (LBL)

Histologically, LBL is characterized by sheets of variably and mostly medium-sized blasts with round or irregular nuclei, finely dispersed nuclear chromatin, inconspicuous or prominent nucleoli and scant basophilic cytoplasm (Figure 3). There are frequent mitoses and apoptotic figures. Presence of scattered tingible body macrophages with a so-called starry-sky appearance is common. Morphologically, T-LBL is not distinguishable from B-LBL. Phenotypically, all T-LBL cases should express surface and/or cytoplasmic CD3, a T-cell lineage-defining marker. T-LBL is usually positive for terminal deoxynucleotidyl transferase (TdT) and is variably positive for pan-T-cell markers of CD2, CD4, CD5, CD7 and CD8. Besides TdT, markers indicating the T-cell-precursor nature include CD99, CD34 and CD1a. Sometimes, the precursor nature of T-LBL has to rely on CD4/8 double-positivity or CD4/8 double-negativity. COG study (38) showed that the immunoprofile of T-LBL was similar to that of T-ALL except for a higher incidence of CD4/CD8 double positivity. Early-T-precursor ALL (ETP-ALL) was recognized as a subtype of very high-risk ALL associated with increased rate of induction failures by initial study (39). Study with current treatment protocols didn’t reveal a significant difference in prognosis (40). ETP is defined by the immunophenotype: negative for CD1a and CD8, and positive for at least one of the myeloid /stem cell markers, negative for CD5 or positive on <75% of the blast population. The ETP phenotype appears to occur in T-LBL with similar frequency (38). B-LBL commonly expresses B-cell markers (CD19, CD79a and CD22), CD10, TdT, and variably expresses CD20 (mature B-cell marker) and CD34. Aberrant expression of myeloid antigens, such as CD13 and CD33, is seen in some cases.

Fig 3

Figure 3. Histologic and immunophenotypic features of lymphoblastic lymphoma. A-J, T-cell lymphoblastic lymphoma shows sheets of monotonous medium-sized blasts with round, oval or irregular nuclei, granular nuclear chromatin, frequent mitotic and apoptotic figures (A, H&E-stained touch imprint; B, H&E-stained section), positivity for CD3 (C), TdT (D) and CD99 (E) by IHC; and positivity for CD45 , CD4, CD8, CD1a, CD7 , CD2, CD5, TdT and cytoplasmic CD3 by flow cytometry (FCM) (F-J). K-T, B-cell lymphoblastic lymphoma shows similar cytomorphology (K, H&E stain), positivity for TdT (M), CD10 (N) and PAX5 (O), and negativity for CD3 (L) by IHC; positivity for CD19, CD10, CD38 and CD34, and negativity for CD45, CD20, CD33, kappa and lambda by FCM (P-T).

The diagnosis of LBL is based on the characteristic histopathology (sheets of monotonous blasts) and immunophenotype of precursor-T or -B cell. Flow cytometry is more useful than IHC stains to characterize the phenotype and give accurate lineage classification at diagnosis, and to monitor residual disease after treatment. Cytogenetic study is also important since the results are indispensable to WHO classification and are critical for risk-stratification and risk-adapted treatment. The involved lymph nodes usually show complete architecture effacement, and the diagnosis is usually straightforward. In rare cases, T-LBL may show interfollicular growth pattern with preserved nodal architecture, and no detectable clonal TCR gene rearrangement (41). These features are typical for indolent T-lymphoblastic proliferation (42), which is a non-neoplastic T-lymphoblast proliferation with no need for chemotherapy. Comprehensive workup including cytogenetic/molecular testing should be performed for these cases to make the distinction.

Burkitt lymphoma and Burkitt-like lymphoma with 11q aberration (BL and BLL-11q)

Morphologically, typical BL (Figure 4A) shows sheets of monomorphic medium-sized tumor cells with round nuclei, finely dispersed nuclear chromatin, and multiple basophilic small to intermediate-sized nucleoli. The cytoplasm is moderately abundant and highly basophilic with multiple lipid vacuoles better visualized on Wright’s and/or Giemsa-stained air-dried smears or imprint slides. There are many mitotic and apoptotic figures, and frequent scattered intermixed tingible body macrophages resulting in starry-sky pattern. The immunophenotype of typical BL is that of GC-B cells, positive for IgM, CD19, CD20, CD22, CD79a, CD10 and BCL6. BCL2 is usually negative. The Ki67 proliferative index is nearly 100%. The diagnosis of BL is based on characteristic morphology and phenotype, and the presence of MYC rearrangement by karyotype or fluorescence in situ hybridization (FISH) analysis. Theoretically, all BL cases should carry MYC rearrangement. It is controversial to make a diagnosis of BL when MYC rearrangement is not detectable. In practice, without MYC rearrangement, the diagnosis of BL should always be questioned, and a new WHO entity, BLL-11q, should be considered (4, 43).

Fig 4

Figure 4. Pathology of Burkitt lymphoma (BL) and Burkitt-like lymphoma with 11q aberration (BLL-11q). A, Classical BL shows sheets of monomorphic medium-sized tumor cells with round nuclei, finely dispersed chromatin, and multiple basophilic small to intermediate-sized nucleoli, frequent mitoses and apoptotic bodies, and scattered tingible body macrophages resulting in a starry-sky appearance, and 100% Ki-67 positivity. Tumor cells are positive for CD20, CD10, BCL6. Fluorescence in situ hybridization (FISH) analysis using MYC break-apart probe shows MYC rearrangement. B, BLL-11q shows sheets of medium-sized tumor cells with mild nuclear pleomorphism, expression of CD20, high Ki-67 proliferation index (close to 100%) and lack of starry-sky appearance. Microarray analysis shows segmental gains within 11q with adjacent terminal loss. Solid blue bar represents area of gain (green arrow) and amplification (black arrow), and solid red bar indicates area of loss (red arrow) within chromosome 11.

BLL-11q (Figure 4B) comprises cases with morphologic, phenotypic, and gene expression resemblance to BL, but lacking MYC translocation (MYC-) and harboring characteristic proximal 11q gains and distal 11q loss. Usually, the cases show more or less atypical features in morphology or phenotype. BLL-11q cases occur over a wide age range but are more common in children and young adults. The actual incidence of this entity in children is not known, but it seems not uncommon (43, 44). BLL-11q cases are more frequently nodal than BL and tend to present as a single dominant mass or conglomerate mass at low stage. The prognosis appears to be favorable, similar to classical BL. The diagnosis of BLL-11q is based on the presence of characteristic gain/loss patterns of 11q, together with BL/BL-like morphology, GC-B phenotype, and lack of MYC rearrangement. The characteristic 11q aberration is key to making the diagnosis, but its presence alone is not diagnostic since it can also be present in BL or DLBCL (45). The most sensitive modality for detecting this characteristic cytogenetic finding is DNA microarray. FISH and chromosome analysis can detect 11q aberration in some cases, but both methods show lower sensitivity (43). DNA microarray or FISH analysis should be performed on all MYC- high grade mature B-cell lymphomas with BL/BL-like morphology. Based on one study (46), the immunophenotype of BLL-11q was similar to that of BL except for a characteristically lower expression of CD38, and coexpression of CD16/CD56. This characteristic expression profile may be useful to screen such cases for DNA microarray/FISH analysis for 11q abnormalities.

Diffuse large B-cell lymphoma (DLBCL)

DLBCL is a heterogeneous group of tumors that are characterized by a relatively large cell size, B-cell phenotype, and a diffuse pattern of growth (Figure 5). The size of the tumor cells’ nuclei is usually the same as or larger than the nuclei of normal macrophage or more than twice the size of a small lymphocyte. DLBCLs have been subdivided into morphological variants, molecular subtypes, and distinct disease entities. The cases that do not meet the criteria for subdivision are classified as DLBCL, NOS.

Fig 5

Figure 5. Histologic and immunophenotypic features of diffuse large B-cell lymphoma. A-E, Diffuse large B-cell lymphoma, NOS, non-germinal center B-cell type, shows sheets of large mostly immunoblast-type tumor cells (A) positive for CD20 (B), BCL6 (D) and MUM1 (E) and negative for CD10 (C). F-J, Primary mediastinal large B-cell lymphoma shows pleomorphic medium to large sized tumor cells in a sclerotic background (F). The tumor cells are positive for CD20 (G), CD30 (H), BCL6 (I) and high Ki67 positivity (J). K-O, Large B-cell lymphoma with IRF4 rearrangement shows sheets of monomorphic medium-sized tumor cells with fine chromatin, multiple basophilic small nucleoli and frequent mitosis (K), diffuse positivity for CD20 (L), MUM1 (M), BCL6 (N), and IRF4 gene rearrangement (O).

Three common morphologic variants have been recognized. The centroblastic type is the most common variant, with medium to large tumor cells, round to oval nuclei, vesicular or fine chromatin, 2-4 nuclear membrane-bound nucleoli and scant basophilic or amphophilic cytoplasm. The immunoblastic variant has a single centrally located nucleolus and moderately abundant basophilic cytoplasm. The anaplastic variant is characterized by very large anaplastic pleomorphic nuclei that may resemble HRS cells of HL. Some cases may show a mixture of two or three of these morphologic variants. DLBCLs typically express B-cell markers such as CD19, CD20 (Figure 5B), CD22, PAX5 and CD79a, but may lack one or more of these. Surface or cytoplasmic Ig can be detected in most of the cases. CD30 may be expressed in some cases, especially in the anaplastic variant. The Ki67 proliferation index is typically higher than 40%. EBV is detected mostly in the DLBCL cases associated with primary immunodeficiency, transplant, or HIV infection. Without these conditions, the presence of EBV should lead to a diagnosis of EBV-positive DLBCL, NOS, which is often CD30-positive.

Based on gene expression profiling, two molecular (cell-of-origin) subtypes of DLBCL have been identified: GC-B and ABC. GC-B DLBCL has a significantly better outcome than ABC DLBCL (47). The DLBCL cases in children are predominantly GC-B type (23) and have a much better outcome than adults. Enrolment of DLBCL cases in some clinical trials requires the determination of cell-of-origin status. Therefore, cell of origin should be determined for all cases of DLBCL, NOS, at diagnosis. Since gene expression profiling technologies are not widely available, IHC method is considered an acceptable alternative, although IHC method has issues of both reproducibility and accuracy. There are many IHC algorithms proposed. The one most commonly used is the Hans algorithm, which uses three markers (CD10, BCL6, and IRF4/MUM1) to distinguish the GC-B from the non-GC-B subtype (Figure 5C-5E). Each marker is considered positive if ≥ 30% of the tumor cells stained positively. Based on this IHC algorithm, GC-B subtype is defined when the tumor cells are CD10+ regardless of the results of the other two makers, or CD10-BCL6+MUM-.

Primary mediastinal large B-cell lymphoma (PMBL) is one of the most common distinct subtypes of DLBCL that occur in children, especially in older female children. PMBL originates from thymic B-cells in the mediastinum, with distinctive clinical, immunophenotypic, genotypic, and molecular features. Histologically, it is composed of medium to large pleomorphic tumor cells with abundant pale cytoplasm, which reside in a sclerotic background (Figure 5F). The tumor cells usually express B-cell markers CD79a, CD19, CD20 (Figure 5G), PAX5, and CD22, but commonly lack Ig. CD30 (Figure 5H) is present in most of the cases; CD15 is usually negative. The tumor cells are commonly positive for MUM1, BOB1, OCT2 and CD23, and variably positive for BCL2 and BCL6 (Figure 5I). Expression of CD10 is not common. Gene expression profiling has identified similarities between PMBL and CHL, including the activation of NF-κB pathway (48). PMBL is associated with a more favorable prognosis than GC-B and ABC types of DLBCL, and the cure rate is high with current treatment protocol.

The diagnosis of DLBCL is based on histomorphology, phenotype and tumor location. Clinical information and cytogenetic/molecular testing results are needed for further WHO classification in some cases. Flow cytometry is useful for immunophenotyping and clonality assessment if fresh sample is available, although IHC stains are used more ubiquitously for immunophenotyping.

Anaplastic large cell lymphoma (ALCL)

ALCL is a T-cell NHL with characteristic morphologic and phenotypic features. Almost all pediatric ALCL cases demonstrate the translocation involving the ALK oncogene, and hence are ALK+ ALCL. Although the histomorphology of ALK+ALCL cases varies, all cases contain a variable proportion of large tumor cells with eccentric horseshoe-shaped or kidney-shaped nuclei and eosinophilic cytoplasm. These cells are called “hallmark” cells. Several morphologic patterns of ALCL have been described. The common pattern (60%) (Figure 6A and 6B) is composed of mostly large tumor cells with frequent hallmark cells. Some tumor cells may resemble HRS cells. The lymph node may be diffusely involved or partially involved with a sinusoidal pattern. The lymphohistiocytic pattern (10%) (Figure 6I) is composed of tumor cells admixed with frequent reactive histiocytes. The small-cell pattern (5–10%) reveals predominantly small to medium-sized tumor cells with irregular nuclei. The tumor cells of some cases may have pale cytoplasm and central nuclei with a so-called “fried-egg” appearance. Hallmark cells are often found around the vessels. This subtype more likely has circulating tumor cells and typically has a more aggressive course. The Hodgkin-like pattern (3%) mimics NSCHL. In about 15% cases, multiple patterns can be seen in the same specimen. Relapse can have morphologic pattern different from that seen initially.

Fig 6

Figure 6. Histologic and immunophenotypic features of anaplastic large cell lymphoma (ALCL). A, H&E-stained touch imprint slide of the common type reveals many large pleomorphic tumor cells with round or irregular nuclei, dispersed nuclear chromatin and moderately abundant eosinophilic cytoplasm. Hallmark cells and mitoses are present. B, H&E-stained section reveals many large pleomorphic tumor cells and some scattered small lymphocytes. C, Tumor cells are positive for CD30, which is stronger in large cells. D, ALK1 is expressed in the variably sized tumor cells with a nuclear and cytoplasmic pattern. E, Tumor cells are positive for EMA. F-H, Flow cytometry study reveals an abnormal cell population (red) positive for CD4, CD3 (partial) and negative for CD5. The abnormal cell population is monotypic (TRBC1+ only) indicating a monoclonal proliferation. The reactive T cells (yellow) are polytypic (mixed TRBC1+ and TRBC1- cells) indicating the polyclonal nature. I, Lymphohistiocytic variant of ALCL shows frequent histiocytes. J, Many tumor cells are present in the peripheral blood, mimicking acute monocytic leukemia morphologically. K, ALCL causes leukemoid reaction mimicking juvenile myelomonocytic leukemia morphologically. L, Fluorescence in situ hybridization (FISH) analysis using ALK break-apart probe reveals ALK gene rearrangement.

The tumor cells of all ALCL cases are positive for CD30 with an immunoreactivity of cell membrane and Golgi pattern (Figure 6C). CD30 stains variably among tumor cells, usually strong in large cells. Most cases are positive for EMA (Figure 6E). ALK can be detected by IHC staining in all ALK+ALCL cases. And the staining pattern varies according to the translocations. In cases carrying the t(2;5) (NPM1-ALK) translocation, ALK staining of the large tumor cells is both cytoplasmic and nuclear (Figure 6D). Most cases express one or more T-cell antigens, which include CD4 (Figure 6F), CD5, CD2, CD7 and CD3 (Figure 6G). More than half of the cases are also positive for CD45, CD25, CD43, TIA1 and granzyme B. Some cases may have no detectable T-cell antigen, which is so-called null-cell phenotype.

The diagnosis of ALCL is based on morphology and phenotype. Conventional cytogenetic study and FISH analysis (Figure 6L) are also helpful, but they are not necessary for the diagnosis. Due to the presence of null-cell phenotype, flow cytometry may fail to identify the lymphoma cell population, and therefore IHC staining on tissue section is more useful for the diagnosis. Since ALK expression is essentially absent in almost all postnatal human tissue, the detection of ALK by IHC staining can be an alternative for cytogenetic study indicating a translocation involving ALK gene. IHC staining for ALK is very useful to detect scattered tumor cells in bone marrow for staging or to monitor residual disease after treatment. ALCL can present in a leukemic phase mimicking acute monocytic leukemia morphologically (Figure 6J), or occasionally cause leukemoid reaction mimicking juvenile myelomonocytic leukemia morphologically (Figure 6K) (49).

Large B-cell lymphoma with IRF4 rearrangement (LBL-IRF4)

LBL-IRF4 is a new provisional entity proposed in the most recent WHO classification (4). It most commonly affects children and young adults, mainly involves the Waldeyer’s ring and cervical lymph nodes, and usually presents as low stage disease. The actual incidence of this entity is not known, but it seems not uncommon in children (44). Histologically, the tumor cells are medium to large with finely clumped chromatin and small to intermediate basophilic nucleoli (Figure 5K). A starry-sky pattern is usually absent, although proliferation rate is usually high by Ki-67 immunostaining. These lymphomas may have a diffuse growth pattern, follicular growth pattern, or follicular/diffuse pattern resembling FL grade 3B or DLBCL. The tumor cells are positive for B-cell markers (CD19, CD20, CD22, CD79a, PAX-5), and characteristically show high levels of IRF4/MUM1(Figure 5M) and BCL6 (Figure 5N). Over 50% of the cases are also positive for BCL2 and CD10. Despite the high levels of IRF4/MUM1, these cases have a GC-B signature by gene expression profiling. Most cases have a cytogenetically cryptic rearrangement of IRF4 with an Ig heavy chain locus. BCL6 alterations may be detected in some cases, but essentially all cases lack MYC and BCL2 rearrangement. Most cases have shown good response to chemotherapy (50). The diagnosis of LBL-IRF4 is based on high grade morphologic features, characteristic immunophenotype (GC-B cells with diffuse and strong expression of MUM1 and BCL6), and the presence of IRF4 rearrangements (Figure 5O). The diagnosis of LBL-IRF4 should be suspected in high-grade FL or DLBCL cases with strong and diffuse expression of MUM1, especially in Waldeyer’s ring and cervical regions, and should be confirmed by FISH analysis for IRF4 rearrangement.

PEDIATRIC-TYPE FOLLICULAR LYMPHOMA (PTFL)

Pediatric FL was recognized many years ago as an indolent disease affecting predominantly males and was recognized as a distinct entity in 2008 WHO classification. Since it occurs in adults as well, its name has been changed to pediatric-type FL (PTFL) in most recent WHO classification (4). PTFL often presents as an isolated adenopathy in the head and neck regions. Histologically, it is characterized by large expansile, highly proliferative follicles containing medium-sized blastoid tumor cells with no or rare centroblasts /centrocytes (Figure 7 A and B). A serpiginous growth pattern of the follicles is often seen. Partial involvement with a rim of normal node at the edge of the biopsy can be seen in some cases. The follicles often show a starry-sky appearance and attenuated or absent mantle zones. The tumor cells have a GC-B phenotype, positive for B-cell markers (Figure 7C, 7J, 7L) and GC markers (CD10 and BCL6) (Figure 7D, 7F), and usually negative for BCL2 expression (Figure 7G). A small portion of the cases show weak BCL2 staining. Ki-67 staining usually reveals a high proliferation index without evidence of polarization in the follicles (Figure 7H). IRF4/MUM1 is negative, and strong positivity should raise the concern for LBL-IRF4. PTFL cases lack the characteristic BCL2 gene rearrangement detectable in most adult FL cases. They also lack BCL6 and MYC rearrangements. Most PTFL cases are present at low stage and may not require treatment other than excision. The differences and comparison between PTFL and adult FL are listed in Table 2. The presence of any component of DLBCL or advanced-stage disease excludes PTFL. The diagnosis of PTFL is based on characteristic morphology, phenotype, and cytogenetic findings. In practice, detection of a BCR monoclonality by PCR or flow cytometry testing is critical to make the distinction between PTFL and florid follicular hyperplasia in some cases.

Fig 7

Figure 7. Histologic and immunophenotypic features of pediatric type follicular lymphoma (PTFL). A, The nodal architecture is partially effaced by ill-defined, coalescent follicles with starry-sky pattern. Residual normal nodal tissue with germinal centers is on the right side. B, High power view shows sheets of medium-sized blastoid cells within the abnormal follicles. There are frequent mitoses and apoptotic bodies. C-H, IHC stains reveal that the tumor cells are diffusely positive for CD20 (C), CD10 (D), BCL6 (F) and mostly negative for BCL2 (G). CD21 (E) highlights the distorted follicular dendritic meshwork (FDMW) in the abnormal follicles (left) and intact FDMW in normal follicles (right). Ki67 staining reveals high (>90%) proliferation index. I-L, Flow cytometry study reveals a kappa-restricted B-cell population (red) with expression of CD45, CD10, CD20, CD38 and CD19.

TABLE 2 Comparison between pediatric follicular lymphoma and usual type follicular lymphoma

Pediatric type Usual type
Staging I–II Mostly III/IV
Grading 3 1–2 > 3
Morphology Starry sky appearance, monotonous blastoid cells Mixtures of centrocytes and centroblasts, no starry sky appearance
Ki67 positivity >30% <30%
BCL2 rearrangement No Yes
BCL2 stain Negative or weakly + Mostly +
Clonality Monoclonal Monoclonal

Systemic Epstein-Barr virus + T-cell lymphoma of childhood (EBV+TLC)

EBV+TLC is characterized by a clonal proliferation of EBV-infected T cell, usually with an activated cytotoxic phenotype. It typically presents with fever, hepatosplenomegaly and cytopenia shortly after primary acute EBV infection or in the setting of chronic active EBV infection (CAEBV). Same as CAEBV, EBV+TLC occurs more frequently in Asians, and in native populations from Central and South America and Mexico with no sex predilection. It is a life-threatening condition with rapid progression to multiorgan failure and death, usually within days to weeks. Hence, its name has been changed from systemic EBV+ T-cell lymphoproliferative disease of childhood in the previous edition of WHO classification to the current one (4). A hemophagocytic lymphohistiocytosis (HLH) is nearly always present. The infiltrating lymphocytes show a broad cytological spectrum ranging from small or medium-sized benign-looking lymphocytes to large, atypical lymphocytes with irregular nuclei and prominent nucleoli. The tumor cells typically express CD2, CD3, CD8 and TIA1, and are positive for EBV. Cases transformed from CAEBV are usually CD4-positive. Clonal TCR gene rearrangement is detected in most cases. No consistent chromosomal aberrations have been identified. The diagnosis of EBV+TLC is based on the clinical presentation and identification of an abnormal clonal EBV+ T-cell population. Acute EBV-associated HLH with no abnormal clonal T-cell population should not be diagnosed as EBV-TCL.

CONCLUSION

There have been tremendous advances in the study of pediatric lymphoma during the past decades, although the pathogenesis of these lymphomas remains not fully understood. These advances have led to optimized treatment strategy and significantly improved therapeutic outcome of these diseases, and the creation of a few new entities in WHO classification. The pathologic features of these lymphomas are well defined, and the diagnosis usually needs the correlation of histology, immunophenotype and the findings of other proper ancillary tests,

Acknowledgement: The author thanks Cindi Vandendaele (Certified Tumor Registrar) from Children’s Mercy Kansas City for her help in getting the incidence data from SEER.

Conflict of Interest: The author declares no potential conflicts of interest with respect to research, authorship and/or publication of this manuscript.

Copyright and Permission Statement: The author confirms that the materials included in this chapter do not violate copyright laws. Where relevant, appropriate permissions have been obtained from the original copyright holder(s), and all original sources have been appropriately acknowledged or referenced.

REFERENCES

  1. Siegel DA, King J, Tai E, Buchanan N, Ajani UA, Li J. Cancer incidence rates and trends among children and adolescents in the United States, 2001-2009. Pediatrics. 2014;134(4):e945–55. https://doi.org/10.1542/peds.2013-3926
  2. Ward E, DeSantis C, Robbins A, Kohler B, Jemal A. Childhood and adolescent cancer statistics, 2014. CA Cancer J Clin. 2014;64(2):83–103. https://doi.org/10.3322/caac.21219
  3. Ries LAG, Smith MA, Gurney JG, Linet M, Tamra T, Young JL, et al. Cancer Incidence and Survival among Children and Adolescents: United States SEER Program 1975-1995, National Cancer Institute, SEER Program. NIH Pub. No. 99-4649. Bethesda, MD, 1999.
  4. Swerdlow SH, Campo E, Harris NL, Jaffe ES, Pileri SA, Stein H, et al. World Health Organization Classification of Tumours of Haematopoietic and Lymphoid Tissues. Revised 4th ed. International Agency for Research on Cancer; Lyon, France: 2017.
  5. Pavri R, Nussenzweig MC. AID targeting in antibody diversity. Adv Immunol. 2011;110:1–26. https://doi.org/10.1016/B978-0-12-387663-8.00005-3
  6. Di Noia JM, Neuberger MS. Molecular mechanisms of antibody somatic hypermutation. Annu Rev Biochem. 2007;76:1–22. https://doi.org/10.1146/annurev.biochem.76.061705.090740
  7. Manis JP, Tian M, Alt FW. Mechanism and control of class-switch recombination. Trends Immunol. 2002;23(1):31–9. https://doi.org/10.1016/S1471-4906(01)02111-1
  8. Mack TM, Cozen W, Shibata DK, Weiss LM, Nathwani BN, Hernandez AM, et al. Concordance for Hodgkin’s disease in identical twins suggesting genetic susceptibility to the young-adult form of the disease. N Engl J Med. 1995;332(7):413–8. https://doi.org/10.1056/NEJM199502163320701
  9. Stiller CA. What causes Hodgkin’s disease in children? Eur J Cancer. 1998;34(4):523–8. https://doi.org/10.1016/S0959-8049(97)10096-X
  10. Küppers R. Molecular biology of Hodgkin’s lymphoma. Adv Cancer Res. 2002;84:277–312. https://doi.org/10.1016/S0065-230X(02)84009-X
  11. Mancao C, Altmann M, Jungnickel B, Hammerschmidt W. Rescue of “crippled” germinal center B cells from apoptosis by Epstein-Barr virus. Blood. 2005;106(13):4339–44. https://doi.org/10.1182/blood-2005-06-2341
  12. Knecht H, McQuain C, Martin J, Rothenberger S, Drexler HG, Berger C, et al. Expression of the LMP1 oncoprotein in the EBV negative Hodgkin’s disease cell line L-428 is associated with Reed-Sternberg cell morphology. Oncogene. 1996;13(5):947–53.
  13. Chang KC, Chang Y, Jones D, Su IJ. Aberrant expression of cyclin a correlates with morphogenesis of reed-sternberg cells in Hodgkin lymphoma. Am J Clin Pathol. 2009;132(1):50–9. https://doi.org/10.1309/AJCPBDFR5L5UOAUZ
  14. Jones RJ, Gocke CD, Kasamon YL, Miller CB, Perkins B, Barber JP, et al. Circulating clonotypic B cells in classic Hodgkin lymphoma. Blood. 2009;113(23):5920–6. https://doi.org/10.1182/blood-2008-11-189688
  15. Bienz M, Ramdani S, Knecht H. Molecular Pathogenesis of Hodgkin Lymphoma: Past, Present, Future. Int J Mol Sci. 2020;21(18):6623. https://doi.org/10.3390/ijms21186623
  16. Reichel J, Chadburn A, Rubinstein PG, Giulino-Roth L, Tam W, Liu Y, et al. Flow sorting and exome sequencing reveal the oncogenome of primary Hodgkin and Reed-Sternberg cells. Blood. 2015;125(7):1061–72. https://doi.org/10.1182/blood-2014-11-610436
  17. Meti N, Esfahani K, Johnson NA. The Role of Immune Checkpoint Inhibitors in Classical Hodgkin Lymphoma. Cancers (Basel). 2018;10(6):204. https://doi.org/10.3390/cancers10060204
  18. Brune V, Tiacci E, Pfeil I, Döring C, Eckerle S, van Noesel CJ, et al. Origin and pathogenesis of nodular lymphocyte-predominant Hodgkin lymphoma as revealed by global gene expression analysis. J Exp Med. 2008;205(10):2251–68. https://doi.org/10.1084/jem.20080809
  19. Dave SS, Fu K, Wright GW, Lam LT, Kluin P, Boerma EJ, et al. Molecular diagnosis of Burkitt’s lymphoma. N Engl J Med. 2006;354(23):2431–42. https://doi.org/10.1056/NEJMoa055759
  20. Hummel M, Bentink S, Berger H, Klapper W, Wessendorf S, Barth TF, et al. A biologic definition of Burkitt’s lymphoma from transcriptional and genomic profiling. N Engl J Med. 2006;354(23):2419–30. https://doi.org/10.1056/NEJMoa055351
  21. Küppers R, Dalla-Favera R. Mechanisms of chromosomal translocations in B cell lymphomas. Oncogene. 2001;20(40):5580–94. https://doi.org/10.1038/sj.onc.1204640
  22. Schmitz R, Young RM, Ceribelli M, Jhavar S, Xiao W, Zhang M, et al. Burkitt lymphoma pathogenesis and therapeutic targets from structural and functional genomics. Nature. 2012;490(7418):116–20. https://doi.org/10.1038/nature11378
  23. Oschlies I, Klapper W, Zimmermann M, Krams M, Wacker HH, Burkhardt B, et al. Diffuse large B-cell lymphoma in pediatric patients belongs predominantly to the germinal-center type B-cell lymphomas: a clinicopathologic analysis of cases included in the German BFM (Berlin-Frankfurt-Munster) Multicenter Trial. Blood. 2006;107(10):4047–52. https://doi.org/10.1182/blood-2005-10-4213
  24. Migliazza A, Martinotti S, Chen W, Fusco C, Ye BH, Knowles DM, et al. Frequent somatic hypermutation of the 5’ noncoding region of the BCL6 gene in B-cell lymphoma. Proc Natl Acad Sci U S A. 1995;92(26):12520–4. https://doi.org/10.1073/pnas.92.26.12520
  25. Shen HM, Michael N, Kim N, Storb U. The TATA binding protein, c-Myc and survivin genes are not somatically hypermutated, while Ig and BCL6 genes are hypermutated in human memory B cells. Int Immunol. 2000;12(7):1085–93. https://doi.org/10.1093/intimm/12.7.1085
  26. Pasqualucci L, Migliazza A, Basso K, Houldsworth J, Chaganti RS, Dalla-Favera R. Mutations of the BCL6 proto-oncogene disrupt its negative autoregulation in diffuse large B-cell lymphoma. Blood. 2003;101(8):2914–23. https://doi.org/10.1182/blood-2002-11-3387
  27. Wiemels JL, Cazzaniga G, Daniotti M, Eden OB, Addison GM, Masera G, et al. Prenatal origin of acute lymphoblastic leukaemia in children. Lancet. 1999;354(9189):1499–503. https://doi.org/10.1016/S0140-6736(99)09403-9
  28. Weng AP, Ferrando AA, Lee W, Morris JP 4th, Silverman LB, Sanchez-Irizarry C, et al. Activating mutations of NOTCH1 in human T cell acute lymphoblastic leukemia. Science. 2004;306(5694):269–71. https://doi.org/10.1126/science.1102160
  29. Huang FL, Liao EC, Li CL, Yen CY, Yu SJ. Pathogenesis of pediatric B-cell acute lymphoblastic leukemia: Molecular pathways and disease treatments. Oncol Lett. 2020;20(1):448–454. https://doi.org/10.3892/ol.2020.11583
  30. Raetz EA, Perkins SL, Bhojwani D, Smock K, Philip M, Carroll WL, et al. Gene expression profiling reveals intrinsic differences between T-cell acute lymphoblastic leukemia and T-cell lymphoblastic lymphoma. Pediatr Blood Cancer. 2006;47(2):130–40. https://doi.org/10.1002/pbc.20550
  31. Basso K, Mussolin L, Lettieri A, Brahmachary M, Lim WK, Califano A, et al. T-cell lymphoblastic lymphoma shows differences and similarities with T-cell acute lymphoblastic leukemia by genomic and gene expression analyses. Genes Chromosomes Cancer. 2011;50(12):1063–75. https://doi.org/10.1002/gcc.20924
  32. Turner SD, Lamant L, Kenner L, Brugières L. Anaplastic large cell lymphoma in paediatric and young adult patients. Br J Haematol. 2016;173(4):560–72. https://doi.org/10.1111/bjh.13958
  33. Wijlhuizen TJ, Vrints LW, Jairam R, Breed WP, Wijnen JT, Bosch LJ, et al. Grades of nodular sclerosis (NSI-NSII) in Hodgkin’s disease. Are they of independent prognostic value? Cancer. 1989;63(6):1150–3. https://doi.org/10.1002/1097-0142(19890315)63:6<1150::AID-CNCR2820630618>3.0.CO;2-4
  34. Kwan A, Chadwick N, Hancock B. Improving Survival of Patients With Hodgkin Lymphoma Over 4 Decades: Experience of the British National Lymphoma Investigation (BNLI) With 6834 Patients. Clin Lymphoma Myeloma Leuk. 2017;17(2):108–119. https://doi.org/10.1016/j.clml.2016.11.004
  35. Sethi T, Nguyen V, Li S, Morgan D, Greer J, Reddy N. Differences in outcome of patients with syncytial variant Hodgkin lymphoma compared with typical nodular sclerosis Hodgkin lymphoma. Ther Adv Hematol. 2017;8(1):13–20. https://doi.org/10.1177/2040620716676256
  36. Fan Z, Natkunam Y, Bair E, Tibshirani R, Warnke RA. Characterization of variant patterns of nodular lymphocyte predominant hodgkin lymphoma with immunohistologic and clinical correlation. Am J Surg Pathol. 2003;27(10):1346–56. https://doi.org/10.1097/00000478-200310000-00007
  37. Gloghini A, Bosco A, Ponzoni M, Spina M, Carbone A. Immunoarchitectural patterns in nodular lymphocyte predominant Hodgkin lymphoma: pathologic and clinical implications. Expert Rev Hematol. 2015;8(2):217–23. https://doi.org/10.1586/17474086.2015.991388
  38. Patel JL, Smith LM, Anderson J, Abromowitch M, Campana D, Jacobsen J, et al. The immunophenotype of T-lymphoblastic lymphoma in children and adolescents: a Children’s Oncology Group report. Br J Haematol. 2012;159(4):454–61. https://doi.org/10.1111/bjh.12042
  39. Coustan-Smith E, Mullighan CG, Onciu M, Behm FG, Raimondi SC, Pei D, et al. Early T-cell precursor leukaemia: a subtype of very high-risk acute lymphoblastic leukaemia. Lancet Oncol. 2009;10(2):147–56. https://doi.org/10.1016/S1470-2045(08)70314-0
  40. Patrick K, Wade R, Goulden N, Mitchell C, Moorman AV, Rowntree C, et al. Outcome for children and young people with Early T-cell precursor acute lymphoblastic leukaemia treated on a contemporary protocol, UKALL 2003. Br J Haematol. 2014;166(3):421–4. https://doi.org/10.1111/bjh.12882
  41. Li W, Kats A, Cooley LD, Farooqi MS, August K. T-lymphoblastic leukemia/lymphoma with interfollicular growth pattern and Castleman-like morphologic features. J Hematopathol 2021; 14: 163–169. https://doi.org/10.1007/s12308-021-00446-8
  42. Ohgami RS, Arber DA, Zehnder JL, Natkunam Y, Warnke RA. Indolent T-lymphoblastic proliferation (iT-LBP): a review of clinical and pathologic features and distinction from malignant T-lymphoblastic lymphoma. Adv Anat Pathol. 2013;20(3):137–40. https://doi.org/10.1097/PAP.0b013e31828d17ec
  43. Zhang L, Brown LE, Bowen LM, McCarthy LC, Cooley LD, Repnikova E, et al. Application of 2016 WHO classification in the diagnosis of paediatric high-grade MYC-negative mature B-cell lymphoma with Burkitt-like morphological features. J Clin Pathol. 2020;73(9):563–570. https://doi.org/10.1136/jclinpath-2019-206267
  44. Au-Yeung RKH, Arias Padilla L, Zimmermann M, Oschlies I, Siebert R, Woessmann W, et al. Experience with provisional WHO-entities large B-cell lymphoma with IRF4-rearrangement and Burkitt-like lymphoma with 11q aberration in paediatric patients of the NHL-BFM group. Br J Haematol. 2020;190(5):753–763. https://doi.org/10.1111/bjh.16578
  45. Grygalewicz B, Woroniecka R, Rymkiewicz G, Rygier J, Borkowska K, Kotyl A, et al. The 11q-Gain/Loss Aberration Occurs Recurrently in MYC-Negative Burkitt-like Lymphoma With 11q Aberration, as Well as MYC-Positive Burkitt Lymphoma and MYC-Positive High-Grade B-Cell Lymphoma, NOS. Am J Clin Pathol. 2017;149(1):17–28. https://doi.org/10.1093/ajcp/aqx139
  46. Rymkiewicz G, Grygalewicz B, Chechlinska M, Blachnio K, Bystydzienski Z, Romejko-Jarosinska J, et al. A comprehensive flow-cytometry based immunophenotypic characterization of Burkitt-like lymphoma with 11q aberration. Mod Pathol 2018;31:732–43. https://doi.org/10.1038/modpathol.2017.186
  47. Read JA, Koff JL, Nastoupil LJ, Williams JN, Cohen JB, Flowers CR. Evaluating cell-of-origin ­subtype methods for predicting diffuse large B-cell lymphoma survival: a meta-analysis of gene expression profiling and immunohistochemistry algorithms. Clin Lymphoma Myeloma Leuk. 2014;14(6):460–467.e2. https://doi.org/10.1016/j.clml.2014.05.002
  48. Rosenwald A, Wright G, Leroy K, Yu X, Gaulard P, Gascoyne RD, et al. Molecular diagnosis of primary mediastinal B cell lymphoma identifies a clinically favorable subgroup of diffuse large B cell lymphoma related to Hodgkin lymphoma. J Exp Med. 2003;198(6):851–62. https://doi.org/10.1084/jem.20031074
  49. Li W, Repnikova E. ALK-positive anaplastic large-cell lymphoma with marked leukemoid reaction and hemophagocytic lymphohistiocytosis. Blood. 2016;127(16):2041. https://doi.org/10.1182/blood-2016-01-695288
  50. Quintanilla-Martinez L, Sander B, Chan JK, Xerri L, Ott G, Campo E, et al. Indolent lymphomas in the pediatric population: follicular lymphoma, IRF4/MUM1+ lymphoma, nodal marginal zone lymphoma and chronic lymphocytic leukemia. Virchows Arch. 2016;468(2):141–57. https://doi.org/10.1007/s00428-015-1855-z