2

Papillary Urothelial Neoplasms: Clinical, Histologic, and Prognostic Features

Yanhong Yu1 Michelle R. Downes1,2

1Department of Laboratory Medicine and Pathobiology, University of Toronto, Toronto, ON, Canada; 2Division of Anatomic Pathology, Precision Diagnostics & Therapeutics Program- Laboratory Medicine, Sunnybrook Health Sciences Centre, Toronto, ON, Canada

Abstract: Primary bladder neoplasms can be divided into two broad categories: flat and papillary lesions. In this chapter, we provide a review of non-invasive papillary urothelial neoplasms of the bladder: urothelial papilloma, inverted urothelial papilloma, papillary urothelial neoplasm of low malignant potential (PUNLMP), non-invasive low grade papillary urothelial carcinoma, and non-invasive high grade papillary urothelial carcinoma. The following is discussed for each entity: clinical features, etiology, microscopic description, ancillary tests, molecular alterations, and prognostic factors.

Keywords: inverted urothelial papilloma; non-invasive papillary urothelial carcinoma; papillary urothelial neoplasm of low malignant potential; papillary urothelial neoplasms; PUNLMP

Author for correspondence: Yanhong Yu, Department of Laboratory Medicine and Pathobiology, University of Toronto, Toronto, ON, Canada. Email: yanhong.yu@mail.utoronto.ca

Cite this chapter as: Yu Y, Downes MR. Papillary Urothelial Neoplasms: Clinical, Histologic, and Prognostic Features. In: Barber N and Ali A, editors. Urologic Cancers. Brisbane (AU): Exon Publications. ISBN: 978-0-6453320-5-6. Online first 27 May 2022.

Doi: https://doi.org/10.36255/exon-publications-urologic-cancers-papillary-urothelial-neoplasms

In: Barber N, Ali A (Editors). Urologic Cancers. Exon Publications, Brisbane, Australia. ISBN: 978-0-6453320-5-6. Doi: https://doi.org/10.36255/exon-publications-urologic-cancers

Copyright: The Authors.

License: This open access article is licenced under Creative Commons Attribution-NonCommercial 4.0 International (CC BY-NC 4.0) https://creativecommons.org/licenses/by-nc/4.0/

INTRODUCTION

Non-invasive urothelial neoplasms of the bladder can be divided into two categories: those that are flat and those with papillary configuration. Papillary neoplasms can further be sub-divided into urothelial papilloma, inverted urothelial papilloma, papillary urothelial neoplasm of low malignant potential (PUNLMP), non-invasive low grade papillary urothelial carcinoma, and non-invasive high grade papillary urothelial carcinoma. This chapter discusses each of the aforementioned entities in detail including their clinical features, etiology, microscopic description, ancillary tests, molecular alterations and prognostic factors.

UROTHELIAL PAPILLOMA

Urothelial papilloma is a neoplasm with papillae which contains delicate fibrovascular cores lined by normal urothelium. Urothelial papilloma is a rare benign papillary urothelial neoplasm that accounts for less than 4% of non-invasive urothelial neoplasms (1). It has been described in a wide age range, but patients tend to be younger, and it can be seen in children (2). The exact etiology is largely unknown at this time (3). It is believed that urothelial papilloma shares similar etiologic factors with other urological neoplasms which include smoking (4), occupational exposure to chlorinated hydrocarbons, polycyclic aromatic hydrocarbons, aromatic amines, and arsenic (5, 6). These neoplasms are exophytic lesions with a papillary configuration and normal thickness urothelium (Figure 1A). Dilated lymphatic channels may be found in the fibrovascular cores. There should be no architectural disorder with cells oriented perpendicular to the basement membrane. Umbrella cells are usually present and may display nucleomegaly and multinucleation.

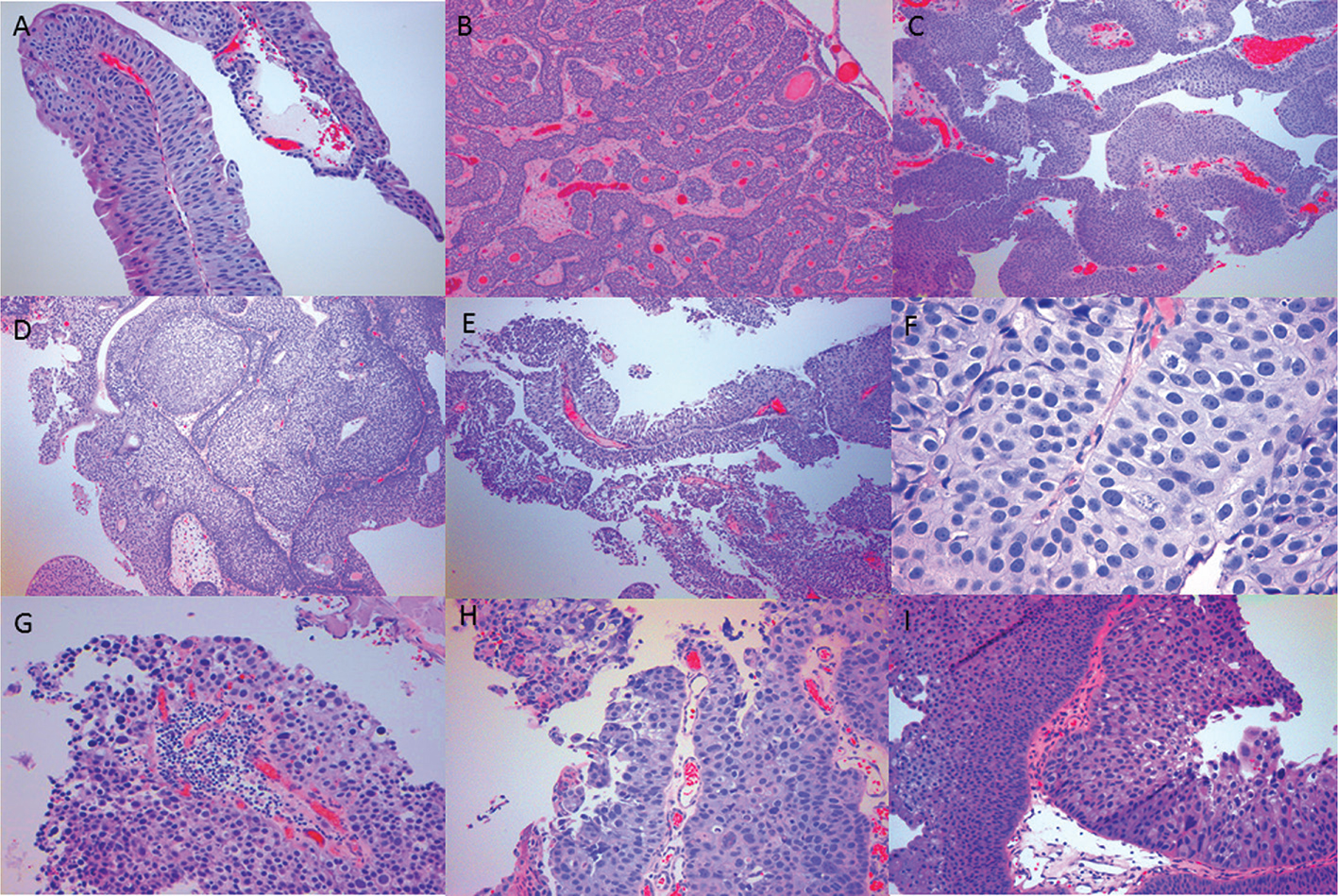
Fig 1

Figure 1. Papillary Urothelial Neoplasms. A, Urothelial papilloma with normal thickness urothelium, no architectural disorder and bland cytology. B, Inverted urothelial papilloma with an endophytic growth pattern with urothelium organized in trabeculae and anastomosing cords. C, Papillary urothelial neoplasm of low malignant potential (PUNLMP) has thickened urothelium, orderly architecture and uniform cytology. D, An inverted form of PUNLMP. E, Low grade non-invasive papillary urothelial carcinoma with long, slender papillae, higher magnification (F) shows mild loss of polarity, mild cytologic pleomorphism and mitoses in the lower half of the urothelium. G and H, High grade non-invasive papillary urothelial carcinoma with complex papillae with and fused architecture. Architectural disorder and nuclear pleomorphism are visible on low power. I, Concurrent low grade and high-grade lesions can be found.

Cytologically, the urothelial cells are bland with no atypia. Mitoses are absent. Immunohistochemistry is not required for the diagnosis. These lesions show positive CK20 expression in the umbrella cells only, similar to the expression of normal urothelium (Table 1). MIB-1 proliferation is usually low (<5%) (1). Urothelial papillomas have FGFR3 mutations (7). Alterations involving TP53 have not been described. The recurrence rate of urothelial papilloma varies from 8 to 14% and the rate of progression to cancer is less than 1% (1, 2, 8). For non-muscle invasive bladder neoplasms, the WHO/ISUP histologic grade correlates with the biological behaviour; higher grade tumours have higher likelihood of recurrence and progression. In the different iterations of the WHO/ISUP grading systems, papilloma is considered a benign neoplasm with a favourable clinical course.

TABLE 1 Expected Immunoprofile of Papillary Urothelial Neoplasms

Entity Immunoprofile
Papilloma CK20+ in umbrella cells only, low Ki-67 proliferation
Inverted papilloma CK20-, low Ki-67 proliferation
Papillary urothelial neoplasm of low malignant potential (PUNLMP) CK20+ (superficial), FGFR3+/-, low Ki-67 proliferation
Non-invasive low grade papillary urothelial carcinoma GATA-3+, p63+, high molecular weight cytokeratin+, CK5/6+ (basal layer) and CK7+. Can have STAG2 loss. Mismatch repair proteins can be lost (Lynch syndrome-associated tumours)
Non-invasive high grade papillary urothelial carcinoma GATA3+, CK5/6+, CK7+, CK20+, high molecular weight cytokeratin+, p63+; compared to low grade lesions, can have increased p53 and Ki-67 expression

INVERTED UROTHELIAL PAPILLOMA

Inverted urothelial papilloma is a non-invasive urothelial neoplasm with an endophytic or inverted growth pattern and absent or minimal cytological atypia. This is a rare and benign entity. Inverted urothelial papillomas (Figure 1B) are rare and account for less than 1% of all urothelial neoplasms in the bladder (1). Patients typically present in in their fifth to sixth decade and there is a stronger predilection for males than females (ratio of 5.8 to 1) (9, 10). The most common clinical presentations include hematuria and less commonly, lower urinary tract obstructive symptoms. The most common sites are bladder neck, trigone, lateral and posterior wall (1). On cystoscopy they may appear as raised, polypoid lesions with a smooth surface. The treatment is surgical resection via transurethral approach. Etiology is similar to other urothelial papillary neoplasms which include smoking, occupational exposure to chlorinated hydrocarbons, polycyclic aromatic hydrocarbons, aromatic amines, and arsenic (46).

Histologically, these neoplasms exhibit trabeculae and anastomosing cords of urothelium with an endophytic growth pattern that invaginate into the lamina propria (Figure 1B). Peripheral palisading of the basal cell layer may be seen. There should be a smooth interface with the stroma. The urothelium has normal thickness and lacks cytoarchitectural atypia. Immunohistochemistry is not required for the diagnosis. These neoplasms are usually CK20 negative and show low Ki-67 proliferation index (Table 1). Genetic alterations which have been reported in inverted urothelial papillomas include: FGFR3 mutations, 9p deletions, 9q deletions, 17p deletions, and HRAS mutations (1113). For non-invasive urothelial neoplasms, the WHO/ISUP histologic grade is a strong prognostic factor. As with conventional urothelial papilloma, inverted papilloma is deemed a benign neoplasm and is not assigned a WHO/ISUP histologic grade. This is a benign neoplasm and reported recurrence rate is less than 1 percent (1).

PAPILLARY UROTHELIAL NEOPLASM OF LOW MALIGNANT POTENTIAL

Papillary urothelial neoplasm of low malignant potential (PUNLMP) is a papillary urothelial neoplasm with increased thickness urothelium and minimal cytologic atypia. PUNLMP is a rare tumour, the prevalence is approximately 3 per 100,000 people per year (1). There is a strong male predominance, the male-to-female ratio is 5:1; the mean patient age is 64.6 years (3). The clinical presentation is usually gross or microscopic hematuria. Urine cytology is negative in the majority of cases. On cystoscopy, single or multiple intraluminal bladder papillary masses of variable size may be visualized. The most common locations for PUNLMPs are the lateral and posterior walls of the bladder, although it may be found anywhere along the urinary tract that has urothelium. Treatment option is surgical via transurethral resection. The etiology is similar to other papillary urothelial neoplasms. Specific factors include smoking (4), occupational exposure to certain chemicals such as chlorinated hydrocarbons, polycyclic aromatic hydrocarbons, aromatic amines, and arsenic (5, 6).

Histologically, PUNLMPs are papillary neoplasms with thicker and/or more cellular urothelium (Figure 1C). The architecture has no loss of order or polarity (1418). The cytology is uniform and monotonous with cells appearing similar to each other. There may be some nuclear crowding and slight enlargement compared to the normal counterparts. Nucleoli should be inconspicuous, and chromatin is evenly distributed. Mitotic activity should be extremely rare and limited to the basal layer (1). An inverted form may also occur (Figure 1D). Immunohistochemistry is not required for the diagnosis of PUNLMP. Some non-recurrent lesions may show strong positive staining pattern in FGFR3, superficial staining for CK20 and low MIB-1 proliferation index (Table 1) (14). The genetic and cytogenetic changes in PUNLMPs include mutations in FGFR3, TERT promoter mutations and chromosome 9 loss (1, 15, 16). Tumours with nuclear expression of TP53 are correlated with early-onset disease (age less than 45 years old) (17). The WHO/ISUP histologic grade is an important prognostic factor for non-muscle invasive urothelial neoplasms. Very few studies in the literature have looked at prognostic factors specifically for PUNLMPs. A recent study has shown that PUNLMPs have a recurrence rate of 18% and progression rate of 2% (18). Nevertheless, these lesions have a favourable outcome (1). Due to the risk of recurrence, patients typically have long-term follow up (19).

NON-INVASIVE LOW GRADE PAPILLARY UROTHELIAL CARCINOMA

Non-invasive low grade papillary urothelial carcinomas have low grade architectural and cytologic abnormality. It is essential that high grade features and invasion through the basement membrane are absent. The incidence of low grade papillary urothelial carcinomas is 5 per 100,000 people per year (3). There is a higher predilection for male (3:1 male-to-female ratio) and the median age is 70 years Patients with Lynch syndrome may present with earlier stage and low-grade disease (20). Most of the lesions are found in the lateral and posterior walls of the bladder. Painless gross or microscopic hematuria is the most common clinical presentation. Patients who present with gross hematuria may have more advanced disease (21). Patients may initially be diagnosed via cystoscopy, CT urography, ultrasound, or urine cytology. Intraluminal masses, hydronephrosis or filling defects may be detected on imaging (22). Treatment options include transurethral surgical resection and intravesical therapy such as Bacille-Calmette-Guerin or mitomycin C (23). Smoking has been associated with low grade papillary urothelial carcinoma (4). Other etiologic factors include occupational exposure to certain chemicals such as chlorinated hydrocarbons, polycyclic aromatic hydrocarbons, aromatic amines, and arsenic (5, 6).

Histologically, low grade papillary urothelial carcinoma has fibrovascular cores lined by neoplastic urothelium (Figure 1E). Long and slender papillae usually show minimal branching or fusing. At low magnification, the architecture appears mostly orderly. At higher magnification, mild loss of polarity can be seen with some mild cytologic pleomorphism. There may be slight difference in cell size but no significant nucleomegaly or nuclear pleomorphism. Nuclear contour may be slightly irregular. Mitoses may be seen and are usually in the lower half of the urothelium (Figure 1F). There should be no atypical mitotic figures. Inverted growth patterns with both endophytic and exophytic components may also be present. Immunohistochemistry is not routinely utilized in the diagnosis of low grade papillary urothelial carcinomas. GATA-3 is positive in 97.5% of papillary urothelial neoplasms (24). These lesions can show positive staining in p63, high molecular weight cytokeratin, CK5/6 in the basal layer, and CK7 (2528). STAG2 has been reported to show negative staining in upper tract urothelial malignancies (29). Mismatch repair proteins can be lost in Lynch syndrome-associated tumours (Table 1).

The initial step in the proposed pathogenesis of low-grade urothelial carcinoma involves loss of chromosome 9, which subsequently causes normal urothelium to become hyperplastic. Further genetic alterations such as FGFR3 mutations, which then activates downstream mitogenic activated protein (MAP) kinase pathway, leading to further development of low grade papillary urothelial carcinoma (15). Mutations in the TERT promoter has been shown to be present in 50% of low grade papillary urothelial carcinomas; and these are more likely associated with FGFR3 mutated tumours (16). STAG2, a cohesion complex gene, has been shown to have inactivating mutations in 32 to 36% of low grade and low tumour stage lesions (29). Other genetic alterations include mutations in CCND1, loss of 11p chromosome, PIK3CA mutations and microRNA alterations (30). Epigenetic silencing via promoter hypermethylation of select tumour suppressor genes have also been reported (31). Adverse prognostic factors for low grade papillary urothelial carcinoma, beyond the WHO/ISUP histologic grade, include multifocal disease, tumour size and the presence of concomitant urothelial carcinoma in situ (1, 23). Multifocal disease is associated with disease progression and higher disease associated mortality. Urothelial carcinoma in situ is associated with higher recurrence rate. High MIB-1 proliferation index is associated with poor prognosis (32). Mutations in FGFR3 and PIK3CA associated tumours show lower rates of recurrence (33); while tumours with PTEN deletions show increased rates of recurrence (34).

NON-INVASIVE HIGH GRADE PAPILLARY UROTHELIAL CARCINOMA

Non-invasive high grade papillary urothelial carcinomas are urothelial neoplasms with a papillary configuration and moderate to severe cytoarchitectural disorder. There is no invasion through the basement membrane. There is a stronger predilection for male than female (male-to-female ratio 6 to 8:1) and the mean age of patients is 70 years (1). These lesions are most commonly found in the lateral and posterior walls of the bladder; but it may arise from anywhere on the urinary tract with urothelium. For lesions arising from the renal pelvis, 85% are papillary and 66% are high grade (35). Patients typically present with intermittent, painless hematuria; gross hematuria is associated with higher pathologic stage diseases (21). High grade papillary urothelial carcinomas are associated with high rate of progression to invasion. Patients are diagnosed via cystoscopy, imaging modalities such as CT urography, ultrasound, or urine cytology. On cystoscopy, single or multiple exophytic lesions may be seen. Imaging typically shows filling defects, hydronephrosis or intraluminal masses (22). Treatment options include surgical transurethral resection tumour, intravesical immunotherapy with Bacillus Calmette-Guerin or intravesical chemotherapy with mitomycin C or thiotepa. Similar etiologic factors have been implicated in both high grade and low grade non-invasive papillary urothelial carcinomas: smoking (4), occupational exposure to chlorinated hydrocarbons, polycyclic aromatic hydrocarbons, aromatic amines, and arsenic (5, 6).

Non-invasive high grade papillary urothelial carcinomas show complex papillae with solid to fused architecture (Figures 1G and H). Neoplastic urothelium line fibrovascular cores. On low power, the architectural disorder and nuclear pleomorphism are visible. The neoplastic cells tend to be crowded and overlapping, with dyscohesion and partial denudation of the epithelium. The nuclei are enlarged with irregular and coarse chromatin. Prominent nucleoli can be present. Mitotic activity may be brisk and atypical forms can be found. Inverted growth pattern with both endophytic and exophytic patterns may also be seen (36).

It is important to note that concurrent low-grade lesions can be found (Figure 1I). Grade heterogeneity is common and can be found in up to one third of non-invasive papillary urothelial carcinomas (37, 38). The grade of the lesion is assigned based on the highest-grade component identified. The general accepted approach is to designate a lesion “high grade” if there is at least 5% high grade histology identified (39). If a lesion comprises less than 5% high grade, it is reported as low-grade tumour with a quantification of the high-grade component present. This is important since such tumours may be more akin to low grade neoplasms in prognosis (38, 40); however, this is still debated (41, 42). Immunohistochemistry is not required for the diagnosis of non-invasive high grade papillary urothelial carcinomas. These lesions are positive for GATA3, CK5/6, CK7, CK20, high molecular weight cytokeratin, and p63 (Table 1). Compared to low grade lesions, high grade papillary urothelial carcinomas can have increased p53 and MIB-1 expression (43). A subset of high-grade lesions will show loss of staining in CK5/6 (44).

Non-invasive high grade urothelial carcinomas have genetic or epigenetic alterations involving the TP53 gene or CDKN2A gene. Somatic mutations in TERT have been reported to be present in 70–80% of non-invasive urothelial carcinomas (1). Mutations in PIK3CA, TSC1, HRAS, APC genes have been reported. Epigenetic silencing via promoter hypermethylation of select tumour suppressor genes are also identified (31). MicroRNA changes and loss of chromosome 9 have been described (30).

The WHO/ISUP histologic grade is an important prognostic factor for non-invasive high grade papillary urothelial carcinomas (45). The presence of nuclear anaplasia is correlated with disease progression and faster recurrence (1). Other adverse prognostic factors include multifocal disease and the presence of concomitant urothelial carcinoma in situ (1). Multifocal disease is associated with disease progression and higher disease associated mortality. Urothelial carcinoma in situ is associated with higher recurrence rate. High MIB-1 proliferation index is associated with poor prognosis (32). Tumours with PTEN deletions show increased rates of recurrence (34). Tumours with TP53 and RB mutations have worse prognosis (46).

CONCLUSION

Papillary urothelial neoplasms are commonly encountered genitourinary specimens by the surgical pathologist. Familiarity and an understanding with the clinical features, etiologic factors, histologic appearance, relevant ancillary workup, molecular alterations, and prognosis is important for arriving at the correct diagnosis and guiding appropriate clinical management. A brief overview of what is currently known about papillary urothelial neoplasms is provided in this chapter.

Conflict of Interest: The authors declare no potential conflicts of interest with respect to research, authorship and/or publication of this manuscript.

Copyright and Permission Statement: The authors confirm that the materials included in this chapter do not violate copyright laws. Where relevant, appropriate permissions have been obtained from the original copyright holder(s), and all original sources have been appropriately acknowledged or referenced.

REFERENCES

  1. Humphrey PA, Moch H, Cubilla AL, Ulbright TM, Reuter VE. The 2016 WHO Classification of Tumours of the Urinary System and Male Genital Organs-Part B: Prostate and Bladder Tumours. Eur Urol. 2016;70(1):106–19. https://doi.org/10.1016/j.eururo.2016.02.028
  2. McKenney JK, Amin MB, Young RH. Urothelial (transitional cell) papilloma of the urinary bladder: a clinicopathologic study of 26 cases. Mod Pathol. 2003;16(7):623–9. https://doi.org/10.1097/01.MP.0000073973.74228.1E
  3. Holmäng S, Hedelin H, Anderström C, Holmberg E, Busch C, Johansson SL. Recurrence and progression in low grade papillary urothelial tumors. J Urol. 1999;162(3 Pt 1):702–7. https://doi.org/10.1097/00005392-199909010-00019
  4. van Osch FH, Jochems SH, van Schooten FJ, Bryan RT, Zeegers MP. Quantified relations between exposure to tobacco smoking and bladder cancer risk: a meta-analysis of 89 observational studies. Int J Epidemiol. 2016;45(3):857–70. https://doi.org/10.1093/ije/dyw044
  5. Chavan S, Bray F, Lortet-Tieulent J, Goodman M, Jemal A. International variations in bladder cancer incidence and mortality. Eur Urol. 2014;66(1):59–73. https://doi.org/10.1016/j.eururo.2013.10.001
  6. Steinmaus C, Ferreccio C, Acevedo J, Yuan Y, Liaw J, Durán V, et al. Increased lung and bladder cancer incidence in adults after in utero and early-life arsenic exposure. Cancer Epidemiol Biomarkers Prev. 2014;23(8):1529–38. https://doi.org/10.1158/1055-9965.EPI-14-0059
  7. van Rhijn BW, Montironi R, Zwarthoff EC, Jöbsis AC, van der Kwast TH. Frequent FGFR3 mutations in urothelial papilloma. J Pathol. 2002;198(2):245–51. https://doi.org/10.1002/path.1202
  8. Magi-Galluzzi C, Epstein JI. Urothelial papilloma of the bladder: a review of 34 de novo cases. Am J Surg Pathol. 2004;28(12):1615–20. https://doi.org/10.1097/00000478-200412000-00010
  9. Picozzi S, Casellato S, Bozzini G, Ratti D, Macchi A, Rubino B, et al. Inverted papilloma of the bladder: a review and an analysis of the recent literature of 365 patients. Urol Oncol. 2013;31(8):1584–90. https://doi.org/10.1016/j.urolonc.2012.03.009
  10. Isaac J, Lowichik A, Cartwright P, Rohr R. Inverted papilloma of the urinary bladder in children: case report and review of prognostic significance and biological potential behavior. J Pediatr Surg. 2000;35(10):1514–6. https://doi.org/10.1053/jpsu.2000.16429
  11. Eiber M, van Oers JM, Zwarthoff EC, van der Kwast TH, Ulrich O, Helpap B, et al. Low frequency of molecular changes and tumor recurrence in inverted papillomas of the urinary tract. Am J Surg Pathol. 2007;31(6):938–46. https://doi.org/10.1097/01.pas.0000249448.13466.75
  12. Lott S, Wang M, Zhang S, MacLennan GT, Lopez-Beltran A, Montironi R, et al. FGFR3 and TP53 mutation analysis in inverted urothelial papilloma: incidence and etiological considerations. Mod Pathol. 2009;22(5):627–32. https://doi.org/10.1038/modpathol.2009.28
  13. McDaniel AS, Zhai Y, Cho KR, Dhanasekaran SM, Montgomery JS, Palapattu G, et al. HRAS mutations are frequent in inverted urothelial neoplasms. Hum Pathol. 2014;45(9):1957–65. https://doi.org/10.1016/j.humpath.2014.06.003
  14. Barbisan F, Santinelli A, Mazzucchelli R, Lopez-Beltran A, Cheng L, Scarpelli M, et al. Strong immunohistochemical expression of fibroblast growth factor receptor 3, superficial staining pattern of cytokeratin 20, and low proliferative activity define those papillary urothelial neoplasms of low malignant potential that do not recur. Cancer. 2008;112(3):636–44. https://doi.org/10.1002/cncr.23212
  15. Knowles MA. Molecular pathogenesis of bladder cancer. Int J Clin Oncol. 2008;13(4):287–97. https://doi.org/10.1007/s10147-008-0812-0
  16. Wang CC, Huang CY, Jhuang YL, Chen CC, Jeng YM. Biological significance of TERT promoter mutation in papillary urothelial neoplasm of low malignant potential. Histopathology. 2018;72(5):795–803. https://doi.org/10.1111/his.13441
  17. Weyerer V, Schneckenpointner R, Filbeck T, Burger M, Hofstaedter F, Wild PJ, et al. Immunohistochemical and molecular characterizations in urothelial carcinoma of bladder in patients less than 45 years. J Cancer. 2017;8(3):323–31. https://doi.org/10.7150/jca.17482
  18. Pan CC, Chang YH, Chen KK, Yu HJ, Sun CH, Ho DM. Prognostic significance of the 2004 WHO/ISUP classification for prediction of recurrence, progression, and cancer-specific mortality of non-muscle-invasive urothelial tumors of the urinary bladder: a clinicopathologic study of 1,515 cases. Am J Clin Pathol. 2010;133(5):788–95. https://doi.org/10.1309/AJCP12MRVVHTCKEJ
  19. Fujii Y, Kawakami S, Koga F, Nemoto T, Kihara K. Long-term outcome of bladder papillary urothelial neoplasms of low malignant potential. BJU Int. 2003;92(6):559–62. https://doi.org/10.1046/j.1464-410X.2003.04415.x
  20. Urakami S, Inoshita N, Oka S, Miyama Y, Nomura S, Arai M, et al. Clinicopathological characteristics of patients with upper urinary tract urothelial cancer with loss of immunohistochemical expression of the DNA mismatch repair proteins in universal screening. Int J Urol. 2018;25(2):151–6. https://doi.org/10.1111/iju.13481
  21. Ramirez D, Gupta A, Canter D, Harrow B, Dobbs RW, Kucherov V, et al. Microscopic haematuria at time of diagnosis is associated with lower disease stage in patients with newly diagnosed bladder cancer. BJU Int. 2016;117(5):783–6. https://doi.org/10.1111/bju.13345
  22. Trinh TW, Glazer DI, Sadow CA, Sahni VA, Geller NL, Silverman SG. Bladder cancer diagnosis with CT urography: test characteristics and reasons for false-positive and false-negative results. Abdom Radiol (NY). 2018;43(3):663–71. https://doi.org/10.1007/s00261-017-1249-6
  23. Sylvester RJ, Rodríguez O, Hernández V, Turturica D, Bauerová L, Bruins HM, et al. European Association of Urology (EAU) Prognostic Factor Risk Groups for Non-muscle-invasive Bladder Cancer (NMIBC) Incorporating the WHO 2004/2016 and WHO 1973 Classification Systems for Grade: An Update from the EAU NMIBC Guidelines Panel. Eur Urol. 2021;79(4):480–8. https://doi.org/10.1016/j.eururo.2020.12.033
  24. Naik M, Rao BV, Fonseca D, Murthy SS, Giridhar A, Sharma R, et al. GATA-3 Expression in all Grades and Different Variants of Primary and Metastatic Urothelial Carcinoma. Indian J Surg Oncol. 2021;12(Suppl 1):72–8. https://doi.org/10.1007/s13193-019-01026-0
  25. Epstein JI, Egevad L, Humphrey PA, Montironi R, Group MotIIiDUP. Best practices recommendations in the application of immunohistochemistry in the prostate: report from the International Society of Urologic Pathology consensus conference. Am J Surg Pathol. 2014;38(8):e6-e19. https://doi.org/10.1097/PAS.0000000000000238
  26. Ramos D, Navarro S, Villamón R, Gil-Salom M, Llombart-Bosch A. Cytokeratin expression patterns in low-grade papillary urothelial neoplasms of the urinary bladder. Cancer. 2003;97(8):1876–83. https://doi.org/10.1002/cncr.11265
  27. Akhtar M, Rashid S, Gashir MB, Taha NM, Al Bozom I. CK20 and CK5/6 Immunohistochemical Staining of Urothelial Neoplasms: A Perspective. Adv Urol. 2020;2020:4920236. https://doi.org/10.1155/2020/4920236
  28. Rajcani J, Kajo K, Adamkov M, Moravekova E, Lauko L, Felcanova D, et al. Immunohistochemical characterization of urothelial carcinoma. Bratisl Lek Listy. 2013;114(8):431–8. https://doi.org/10.4149/BLL_2013_091
  29. Miyakawa J, Morikawa T, Miyama Y, Nakagawa T, Kawai T, Homma Y, et al. Loss of Stromal Antigen 2 (STAG2) Expression in Upper Urinary Tract Carcinoma: Differential Prognostic Effect According to the Ki-67 Proliferating Index. Ann Surg Oncol. 2017;24(13):4059–66. https://doi.org/10.1245/s10434-017-6097-7
  30. Qureshi A, Fahim A, Kazi N, Farsi Kazi SA, Nadeem F. Expression of miR-100 as a novel ancillary non-invasive biomarker for early detection of bladder carcinoma. J Pak Med Assoc. 2018;68(5):759–63.
  31. Kandimalla R, van Tilborg AA, Zwarthoff EC. DNA methylation-based biomarkers in bladder cancer. Nat Rev Urol. 2013;10(6):327–35. https://doi.org/10.1038/nrurol.2013.89
  32. Geelvink M, Babmorad A, Maurer A, Stöhr R, Grimm T, Bach C, et al. Diagnostic and Prognostic Implications of FGFR3. Int J Mol Sci. 2018;19(9). https://doi.org/10.3390/ijms19092548
  33. López-Knowles E, Hernández S, Malats N, Kogevinas M, Lloreta J, Carrato A, et al. PIK3CA mutations are an early genetic alteration associated with FGFR3 mutations in superficial papillary bladder tumors. Cancer Res. 2006;66(15):7401–4. https://doi.org/10.1158/0008-5472.CAN-06-1182
  34. Kulac I, Arslankoz S, Netto GJ, Ertoy Baydar D. Reduced immunohistochemical PTEN staining is associated with higher progression rate and recurrence episodes in non-invasive low-grade papillary urothelial carcinoma of the bladder. Virchows Arch. 2018;472(6):969–74. https://doi.org/10.1007/s00428-018-2302-8
  35. Genega EM, Kapali M, Torres-Quinones M, Huang WC, Knauss JS, Wang LP, et al. Impact of the 1998 World Health Organization/International Society of Urological Pathology classification system for urothelial neoplasms of the kidney. Mod Pathol. 2005;18(1):11–8. https://doi.org/10.1038/modpathol.3800268
  36. Grignon DJ. The current classification of urothelial neoplasms. Mod Pathol. 2009;22 Suppl 2:S60–9. https://doi.org/10.1038/modpathol.2008.235
  37. Cheng L, Neumann RM, Nehra A, Spotts BE, Weaver AL, Bostwick DG. Cancer heterogeneity and its biologic implications in the grading of urothelial carcinoma. Cancer. 2000;88(7):1663–70. https://doi.org/10.1002/(SICI)1097-0142(20000401)88:7<1663::AID-CNCR21>3.0.CO;2–8
  38. Gofrit ON, Pizov G, Shapiro A, Duvdevani M, Yutkin V, Landau EH, et al. Mixed high and low grade bladder tumors--are they clinically high or low grade? J Urol. 2014;191(6):1693–6. https://doi.org/10.1016/j.juro.2013.11.056
  39. May M, Brookman-Amissah S, Roigas J, Hartmann A, Störkel S, Kristiansen G, et al. Prognostic accuracy of individual uropathologists in noninvasive urinary bladder carcinoma: a multicentre study comparing the 1973 and 2004 World Health Organisation classifications. Eur Urol. 2010;57(5):850–8. https://doi.org/10.1016/j.eururo.2009.03.052
  40. Reis LO, Taheri D, Chaux A, Guner G, Mendoza Rodriguez MA, Bivalacqua TJ, et al. Significance of a minor high-grade component in a low-grade noninvasive papillary urothelial carcinoma of bladder. Hum Pathol. 2016;47(1):20–5. https://doi.org/10.1016/j.humpath.2015.09.007
  41. Ho P, Moran GW, Wang V, Li G, Virk RK, McKiernan JM, et al. The effect of tumor grade heterogeneity on recurrence in non-muscle invasive bladder cancer. Urol Oncol. 2022;40(2):60.e11–60.e16. https://doi.org/10.1016/j.urolonc.2021.07.003
  42. Downes MR, Weening B, van Rhijn BW, Have CL, Treurniet KM, van der Kwast TH. Analysis of papillary urothelial carcinomas of the bladder with grade heterogeneity: supportive evidence for an early role of CDKN2A deletions in the FGFR3 pathway. Histopathology. 2017;70(2):281–9. https://doi.org/10.1111/his.13063
  43. Amin MB, Trpkov K, Lopez-Beltran A, Grignon D, Group MotIIiDUP. Best practices recommendations in the application of immunohistochemistry in the bladder lesions: report from the International Society of Urologic Pathology consensus conference. Am J Surg Pathol. 2014;38(8):e20–34. https://doi.org/10.1097/PAS.0000000000000240
  44. Jung M, Lee JH, Kim B, Park JH, Moon KC. Transcriptional Analysis of Immunohistochemically Defined Subgroups of Non-Muscle-Invasive Papillary High-Grade Upper Tract Urothelial Carcinoma. Int J Mol Sci. 2019;20(3). https://doi.org/10.3390/ijms20030570
  45. Downes MR, Lajkosz K, Kuk C, Gao B, Kulkarni GS, van der Kwast TH. The impact of grading scheme on non-muscle invasive bladder cancer progression: potential utility of hybrid grading schemes. Pathology. 2022. https://doi.org/10.1016/j.pathol.2021.10.005
  46. Goussia AC, Papoudou-Bai A, Charchanti A, Kitsoulis P, Kanavaros P, Kalef-Ezra J, et al. Alterations of p53 and Rb Pathways Are Associated with High Proliferation in Bladder Urothelial Carcinomas. Anticancer Res. 2018;38(7):3985–8. https://doi.org/10.21873/anticanres.12685