1

Molecular Imaging of Parkinson’s Disease

Gbenga Shogbesan Harry W. Schroeder III Domnique Newallo Lance T. Hall

Department of Radiology and Imaging Sciences, Nuclear Medicine and Molecular Imaging Emory University Hospital, 1364 Clifton Rd NE, Atlanta, GA, USA

Abstract: Parkinson’s disease is a chronic debilitating disease of the central nervous system. Diagnosis by clinical examination alone is limited because there are other disease conditions such as essential tremors, multiple systemic atrophy, and progressive supranuclear palsy that may present with similar symptoms. The signs and symptoms in these patients are called parkinsonian syndrome, usually before a definitive diagnosis is made. Imaging has played an important role in early diagnosis and management of the disease. Molecular imaging, as discussed in this chapter, is essential for early detection and enabling clear distinction between other similar disease entities that may mimic Parkinson’s disease. Furthermore, systemic manifestations of Parkinson’s disease can also be detected in some cases, as discussed in this chapter.

Keywords: molecular imaging; Parkinson’s disease; positron emission tomography scan; progressive supranuclear palsy; single photon emission computed tomography

Author for correspondence: Gbenga Shogbesan, Department of Radiology and Imaging Sciences, Nuclear Medicine and Molecular Imaging, Emory University Hospital, 1364 Clifton Rd NE, Atlanta, GA, USA. Email: shogbesang@gmail.com

Cite this chapter as: Shogbesan G, Schroeder HW III, Newallo D, Hall LT. Molecular Imaging of Parkinson’s Disease. In: Hall LT. editor. Molecular Imaging and Therapy. Brisbane (AU): Exon Publications. Online first 01 Aug 2023.

Doi: https://doi.org/10.36255/molecular-imaging-of-parkinsons-disease

In: Hall LT. editor. Molecular Imaging and Therapy. Brisbane (AU): Exon Publications. ISBN: 978-0-6458663-9-1. Doi: https://doi.org/10.36255/molecular-imaging

Copyright: The Authors.

License: This open access article is licensed under Creative Commons Attribution-NonCommercial 4.0 International (CC BY-NC 4.0) https://creativecommons.org/licenses/by-nc/4.0/

INTRODUCTION

Parkinson’s disease (PD) is a chronic neurodegenerative disease with predominant motor symptoms and was first described in the essay ‘The shaking palsy’ written by James Parkinson in 1817 (1). The diagnosis of PD is based on clinical diagnostic criteria; however, previous studies showed that 10% to 20% of subjects suspected of PD were clinically misdiagnosed when compared with pathological results, which is the gold standard (25).

The pathological hallmark of PD is a profound loss of nigrostriatal dopamine cells and an accumulation of intracellular inclusions called Lewy bodies, which consist of alpha-synuclein aggregates (6). The clinical presentation of PD can be heterogeneous due to the underlying dopaminergic and nondopaminergic pathophysiology, and these can overlap with other varieties of parkinsonism, including the parkinsonian variant of multiple system atrophy (MSA), progressive supranuclear palsy (PSP), and essential tremor (ET) (7).

Over the years, there has been a progressive increase in knowledge and understanding of the pathophysiology of PD. This has fueled the exploration of neuroimaging biomarkers with single-photon emission computed tomography (SPECT), positron emission tomography (PET), and magnetic resonance imaging (MRI) to improve diagnostic accuracy when the clinical diagnosis is uncertain. Additionally, the use of neuroimaging biomarkers may provide additional differential diagnoses, help with selection of the most appropriate treatment, and monitor response to therapy. Despite significant evidence for the utility of neuroimaging in assessing patients with PD, none of the currently available neuroimaging techniques is specifically recommended for the routine diagnosis of PD (7). This chapter presents an overview of the various neuroimaging techniques/biomarkers used in the diagnosis of PD and compares the published diagnostic accuracies where applicable.

SINGLE-PHOTON EMISSION COMPUTED TOMOGRAPHY (SPECT)

The early stages of PD can present with atypical or inconspicuous symptoms, leading to a complicated and delayed diagnosis. Consequently, there is a pressing demand for an objective biomarker that can facilitate accurate diagnosis of PD and appropriate treatment. Single photon emission computerized tomography (SPECT) is an invaluable resource for clinicians, enabling them not only to identify PD in its early stages, but also to distinguish between movement disorders related to parkinsonian syndromes (PS) and essential tremor (ET).

123I-iofluopane SPECT (DaTScan)

123I-iofluopane SPECT (DaTScan), a tropane-based radiotracer, is used to assess the availability of the presynaptic dopamine transporter which is known to be depleted in individuals with Parkinson’s disease. Clinical parkinsonism occurs when patients have lost 40%–50% of the posterior putamen dopamine terminal function (8, 9).

In healthy individuals, DaTScan images appear as ‘comma-shaped’ regions of activity in the striatum (caudate anteriorly and putamen posteriorly). An abnormal scan is seen in conditions with nigrostriatal degeneration such as parkinsonian syndromes (PS), including MSA and PSP (1012). An abnormal scan may appear as (i) asymmetrically reduced putamen activity, (ii) symmetrically reduced putamen activity with relative preservation of caudate activity, (iii) absence of putamen activity with unilateral or bilateral reduced caudate activity, and (iv) fairly uniform involvement of putamen and caudate unilaterally (5, 13). The posterior putamen shows earlier and more severe signal loss than the anterior putamen or caudate in PD (14).

DaTScan has shown significantly higher specificity compared to the clinical diagnosis of PD. In a multicenter study in Europe in which patients were followed for 36 months, baseline DaTScan showed a mean sensitivity of 79% and specificity of 97% compared to baseline clinical diagnosis with a sensitivity of 83% and specificity of 93%, leading to overdiagnosis of PD in about 15% of subjects (15). Multiple other studies have shown a range of values in agreement with this with high sensitivity (87–98%) and specificity (80–100%) in the differentiation of PD from nondegenerative forms of parkinsonism, such as essential tremor, vascular, and drug-induced parkinsonism (1618).

The principal use of DaTScan to rule out other causes of tremor has contributed to patient management and boosts physician confidence. Marshall et al. reported 11 patients who were clinically diagnosed with PD and were treated with dopaminergic agents, but further evaluation with a DaTScan revealed a negative result which led to subsequent withdrawal from antiparkinsonian therapy (19). Withdrawal was achieved without clinical deterioration, suggesting that dopaminergic imaging may be valuable when inappropriate use of antiparkinsonian medication is suspected (20).

The challenge with the use of DaTScan in the management of PD remains the difficulty of differentiating between PD from other parkinsonism conditions such as MSA and PSP, which also demonstrate abnormal findings in DaTScan images. Nocker et al. reported that MSA patients present with higher rates of signal reduction in the caudate and anterior putamen relative to PD, a finding consistent with a faster rate of disease progression in MSA (21). A more symmetric pattern of DAT loss was observed in PSP (22, 23) with an index of asymmetry higher in PD (23). Despite all these findings, DaTScan is still limited in differentiating PD from other neurological disorders. However, it has contributed immensely to decision making in the management of individuals with PD.

123I-Metaiodobenzylguanidine (MIBG) SPECT

MIBG, an analogue of noradrenaline storage with which it shares a similar metabolic pathway, has been used in cardiac scintigraphy to evaluate sympathetic nerve function (24). The sympathetic nervous system is impaired in PD (25). Individuals with PD showed reduced uptake on the 123I-MIBG scan (2628) (Figure 1). In a study of 391 patients with Parkinson-like symptoms, the MIBG scan showed a sensitivity of 87.7% and a specificity of 37.4%. This study also reported a decrease in MIBG uptake in 66.5% of individuals without PD (29). The MIBG scan can differentiate PD and MSA with a sensitivity and specificity of 100% (30). The importance of MIBG use in PD is to differentiate PD from other neurological disorders (7).

Fig 1

Figure 1. 123I-MIBG scintigraphy. Early anterior planar images of myocardial 123I-MIBG scintigraphy in control patient (A) and patient with idiopathic Parkinson’s disease (IPD) (B). Regions of interest enclosing 123I-MIBG uptake were placed in the mediastinum and heart (labeled with M and H, respectively). Cardiac uptake is less in patients with IPD.
Source: J Nucl Med. 2006;47(7):1099–101. Published with permission.

POSITRON EMISSION TOMOGRAPHY SCAN

Throughout its development, PET scanning has demonstrated its indispensability in research and clinical domains, highlighting its immense significance. Its remarkable capacity to identify and visualize pathological alterations in movement disorders has firmly established it as a fundamental instrument for diagnosis and assessment. Moreover, PET imaging has provided us with the tools necessary to evaluate groundbreaking treatments and has emerged as a powerful methodology for capturing dynamic changes occurring across the various stages of movement disorders. This extraordinary capability substantially amplifies the precision and effectiveness of diagnosis.

18F-fluoro-3,4-dihydroxyphenylalnine (F-DOPA) PET Scan

18F-fluoro-3,4-dihydroxyphenylalnine (F-DOPA) is a positron emission tomography (PET) agent that measures dopamine precursor uptake for the assessment of presynaptic dopaminergic integrity and has been shown to accurately reflect the monoaminergic disturbances in PD (31). F-DOPA brain imaging demonstrated a decrease in the caudate nucleus uptake in early stage of idiopathic PD with associated frontal lobe impairment such as attention suppression (32) (Figure 2). Several studies have shown high sensitivity and specificity of F-DOPA PET. For example, a study by Biju et al. reported sensitivity and specificity of 90%–100% and 91% respectively (33). Recently, Ibrahim et al. also reported sensitivity of 95.4% and specificity of 100% (34). There is a strong correlation between the findings on the F-DOPA PET scan in the putamen and the severity of the disease evaluated with the Unified Parkinson Disease Rating Scale (UPDRS) (35, 36) as well as bradykinesia and rigidity (37).

Fig 2

Figure 2. Transverse 18F-DOPA PET images. Healthy control (left) and patient with idiopathic PD (right). In PD, there is asymmetric loss of uptake of the tracer, and more pronounced loss in the caudal putamen than in the rostral putamen and the caudate nucleus.
Source: Am J Transl Res 2011;3(4):323-41. Published with permission.

18F-fluorodeoxyglucose (FDG) PET Scan

18F-fluorodeoxyglucose (FDG) PET demonstrates the regional pattern of glucose metabolism in the body. Its diagnostic use is somewhat limited due to the presence of high background physiological activity because the brain primarily utilizes glucose for its metabolism. In the evaluation of PD, there is increased activity in the basal ganglia, pons, and cerebellum with a concurrent reduction in the glucose metabolism in premotor, pre-supplementary motor, and parietal cortices. These patterns are different from atypical degenerative forms of parkinsonism and make them valuable in the differential diagnosis of PD (38).

[1-(2-chlorophenyl)-N-methyl-N-(1-methylpropyl)-3-isoquinoline carboxamide] (PK11195) PET

PK11195,[1-(2-chlorophenyl)-N-methyl-N-(1-methylpropyl)-3-isoquinoline carboxamide], is a selective ligand for peripheral benzodiazepine sites (PBBS). In vivo and in the absence of invading blood-borne cells, the de novo expression of PBBS occurs primarily in activated microglia (39). The selectivity of [11C](R)-PK11195 makes it a useful positron emission tomography (PET) marker of PBBS expressed by activated microglia in degenerative brain lesions (12, 4042). Activated microglia were first reported in the substantia nigra of PD patients post-mortem (43). A study reported the presence of microglial activation in the putamen, hippocampus, cingulate, and temporal cortex in post-mortem tissue of PD patients (44). In a retrospective study of 18 patients with clinical diagnosis of IPD who underwent 11C](R)-PK11195 PET, widespread microglial activation was reported in the brainstem, basal ganglia, and frontal areas with no correlation with disease severity, rated both clinically and with [18F]-DOPA PET, or disease duration (45). Although an earlier study in recently diagnosed PD patients reported increased microglia activation in the midbrain but not in other regions of the brain (46).

A recent study concluded that PK11195 PET scan can discriminate between PD patients and healthy volunteers (HV). The study reported a 24% difference in the substantia nigra between PD and HV with a repeatability coefficient of 13%, showing that it will be possible to estimate responses in longitudinal, within subject trials of novel neuroprotective drugs (47). The idea that neuroinflammation may drive the neurodegenerative process in PD was supported by PET imaging with 11C-PK11195 showing increased midbrain uptake that correlates with a reduction in DaT in the putamen and with greater severity of motor symptoms (45).

Cyclic nucleotide phosphodiesterase 10 A (PDE10 A) PET Scan

Cyclic nucleotide phosphodiesterase 10 A (PDE10 A) is a dual substrate specific enzyme involved in the hydrolysis of the cyclic nucleotides adenosine monophosphate (cAMP) and guanosine monophosphate acid (cGMP) (48, 49). These substances are important intracellular second messengers that mediate a variety of responses by binding to effectors that include protein kinases, ion channels, and exchange proteins directly activated by cAMP (50) and phosphodiesterase, determining both acute and long-term changes in cellular function. Inhibition of PDE10A has the potential to facilitate dopamine D1 receptor (D1R) mediated signaling (by enhancing the concentration of cAMP induced by the Gs-coupled D1R) and reduce dopamine D2 receptor (D2R) signaling (by decreasing the cAMP induced by the Gi-coupled D2R) (51). Post-mortem analysis of the brain of patients with PD showed a downregulation of PDE10 A in the striatal regions. The decline can be attributed in this case to the activation of a compensatory mechanism for both dopaminergic receptors (52). In the study of PDE10A PET imaging using [11C]IMA107 as radioligand, compared to a healthy control, brain images of individuals with PD demonstrated decreased PDE10A in the caudate, putamen and globus pallidus (Figure 3). The findings were also correlated with a longer duration of the disease and a higher Unified Parkinson Disease Rating Score (UPDRS) (53).

Fig 3

Figure 3. 11C-IMA107 binding. PDE10A availability, visualized by 11C-IMA107 binding in the striatum of a healthy control (A), a presymtomatic Huntington disease mutation carrier (B), and a patient with Parkinson’s disease (C).
Source: Brain: 2015; 138: 3003–3015. Published with permission.

MAGNETIC RESONANCE IMAGING (MRI)

MRI provides clinicians with structural and functional information of the human brain noninvasively. Advanced quantitative MRI techniques have shown promise in detecting pathological changes related to different stages of PD. Collectively, advanced MRI techniques at high and ultrahigh magnetic fields help to better understand the nature and progression of PD (54).

The traditional T1 and T2 weighted sequences have limited role in the identification of dopaminergic deficits in PD but can identify lesions associated with other forms of parkinsonism and should be considered for differential diagnosis (7). Certain anatomical structures stand out in each of these sequences to differentiate PD from atypical parkinsonian syndromes. For example, hypointense putamen on T2 MRI is seen in MSA unlike PD with a sensitivity of 88% and a specificity of 89% (55). Similarly, atrophy of the cerebellar peduncles (56) and frontal cortex helps to differentiate PSP from PD with a sensitivity of 74–79% and a specificity of 91–95% (7).

Structural damage can be quantified by diffusion-weighted imaging, which maps the restriction to the free diffusion of water molecules resulting from the local architecture of brain tissue (57). Substantia nigra diffusion is altered in PD (58). A study by Schocke et al. using single tensor diffusion weighted imaging (DWI) modeling was able to demonstrate patients with PSP and MSA were different from those with PD with 90–100% sensitivity and specificity (59).

Magnetic resonance spectroscopy (MRS)

Magnetic resonance spectroscopy (MRS) allows direct monitoring of energy metabolism in the brain (60). In individuals with PD, MRS is used to assess metabolites such as lactate (metabolic product of glycolysis, elevation of which can indicate transient changes in physiological state), N-acetyl aspartate (NAA, a marker of neuronal injury), choline-containing compound (Cho, marker of demyelination and cell proliferation), creatine (Cr, a marker of energy metabolism), myoinositol (mins, a marker for osmotic stress or astrogliosis), glutathione (GSH), and neurotransmitters such as glutamate/glutamine (61, 62). MRS at high and ultrahigh magnetic fields benefits from an increased signal-to-noise ratio and excellent spatial separation. Excellent spatial separation will result in a significant increase in the number of detectable metabolites with high specificity (63). In a study conducted using 3T MRI, the levels of glutamine, N-acetyl aspartate, and glutathione were lower in the substantia nigra of PD and there was an increase in choline. The same study also reported a higher GABA/glutamine ratio in the cerebral cortex (64). Using 7T MRI to evaluate the brain of PD patients, an increase in the GABA level was reported in the pons (64%) and putamen (32%) (65).

Iron-sensitive magnetic resonance imaging (MRI) sequences

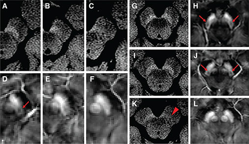
The innovation of ultrahigh magnetic field MRI and new sequences have improved structural imaging of the substantia nigra, improving qualitative and quantitative measure of structural damage (56). These advanced forms of MRI are now being utilized to study the iron content of the substantia nigra. Normally, there is a regional variability in iron concentration in the brain until the end of the second decade (66). About 80% of the iron of substantia nigra is stored as soluble ferritin and insoluble hemosiderin, while the remaining 20% is bound to neuromelanin in ferric form (6769). MRI evaluation of patients with PD is based on the assessment of changes in iron metabolism in the substantial nigra. In PD brain, there is an abnormality in the nigrosome 1 which is the largest subregion of the substantia nigra pars compacta. Detection of abnormality of nigrosome 1 on 3T MRI scan provided an accuracy of 94.6% in comparison to clinical assessment and laterality (70). MRI demonstration of hypointensity in the nigrosome 1 in PD is due to loss of neurons containing neuromelanin, iron depletion, change in iron oxidation state, or a combination of both (71) (Figure 4).

Fig 4

Figure 4. NM-MRI and QSM images. (A-C) represent the normal, possible abnormal and definitely abnormal SN on NM-MRI, respectively. Nigrosome-1 (N1) could be visualized in the dorsal part of the healthy SN on QSM images (D, arrow). D-F) represent that N1 was present, indecisively present and absent, respectively. (G-H), a control subject, female 65 years, neuromelanin was normal (G) and N1 was present (H, arrow) in bilateral SN. (I, J), an essential tremor (ET) patient, 59 years, female, neuromelanin was normal (I) and N1 was present (J, arrow) in bilateral SN. (K, L), a denovo PD patient, 75 years female, neuromelanin was definitely abnormal in unilateral SN (K, arrowhead) and N1 was absent in bilateral SN (L). Combined Visualization of Nigrosome-1 and neuromelanin in Substantia Nigra (SN) Using 3T MRI for the Differential Diagnosis of Essential Tremor and de novo Parkinson’s Disease.
Source: Front Neurol. 2019 Feb 12;10:100. Published with permission.

CONCLUSION

The diagnosis of Parkinson disease is primarily a clinical diagnosis. However, the utilization of imaging remains essential in differentiating idiopathic PD from other forms of parkinsonism. Imaging will continue to contribute to overall management of PD, emergence of new therapeutics and monitoring of response to treatment.

Acknowledgement: We express our deep gratitude to our families, who have been our greatest support and cheerleaders during the process of putting this work together. Great thanks to the authors who have done earlier scientific work on Parkinson’s Disease providing the framework on which this publication stands.

Conflict of Interest: The authors declare that they have no potential conflict of interest with respect to research, authorship, and / or publication of this chapter.

Copyright and Permission Statement: The authors confirm that the materials included in this chapter do not violate copyright laws. Where relevant, appropriate permissions have been obtained from the original copyright holder(s), and all original sources have been appropriately acknowledged or referenced. Where relevant, informed consent has been obtained from patients or their caregivers according to applicable national or institutional policies.

REFERENCES

  1. Parkinsons J.. An Essay on the Shaking Palsy. J. neuropsychiatry. 2002;14(2):223–236. https://doi.org/10.1176/jnp.14.2.223
  2. Hughes AJ, Daniel SE, Kilford L, Lees AJ. Accuracy of clinical diagnosis of idiopathic Parkinson’s disease: a clinico-pathological study of 100 cases. J Neurol Neurosurg Psychiatry. 1992;55(3):181–4. https://doi.org/10.1136/jnnp.55.3.181
  3. Hughes AJ, Ben-Shlomo Y, Daniel SE, Lees AJ. What features improve the accuracy of clinical diagnosis in Parkinson’s disease: a clinicopathologic study. Neurology. 1992;42(6):1142–6. https://doi.org/10.1212/WNL.42.6.1142
  4. Meara J, Bhowmick BK, Hobson P. Accuracy of diagnosis in patients with presumed Parkinson’s disease. Age Ageing. 1999;28(2):99–102. https://doi.org/10.1093/ageing/28.2.99
  5. Catafau AM, Tolosa E. Impact of dopamine transporter SPECT using 123I-Ioflupane on diagnosis and management of patients with clinically uncertain Parkinsonian syndromes. Mov Disord. 2004;19(10):1175–82. https://doi.org/10.1002/mds.20112
  6. Helmich RC, Vaillancourt DE, Brooks DJ. The Future of Brain Imaging in Parkinson’s Disease. J Parkinsons Dis. 2018;8(s1):S47–s51. https://doi.org/10.3233/JPD-181482
  7. Pagano G, Niccolini F, Politis M. Imaging in Parkinson’s disease. Clinical Medicine. 2016;16(4):371–5. https://doi.org/10.7861/clinmedicine.16-4-371
  8. Morrish PK, Sawle GV, Brooks DJ. Clinical and [18F] dopa PET findings in early Parkinson’s disease. J Neurol Neurosurg Psychiatry. 1995;59(6):597–600. https://doi.org/10.1136/jnnp.59.6.597
  9. Marek K, Innis R, van Dyck C, Fussell B, Early M, Eberly S, et al. [123I]beta-CIT SPECT imaging assessment of the rate of Parkinson’s disease progression. Neurology. 2001;57(11):2089–94. https://doi.org/10.1212/WNL.57.11.2089
  10. Plotkin M, Amthauer H, Klaffke S, Kühn A, Lüdemann L, Arnold G, et al. Combined 123I-FP-CIT and 123I-IBZM SPECT for the diagnosis of parkinsonian syndromes: study on 72 patients. J Neural Transm (Vienna). 2005;112(5):677–92. https://doi.org/10.1007/s00702-004-0208-x
  11. Im JH, Chung SJ, Kim JS, Lee MC. Differential patterns of dopamine transporter loss in the basal ganglia of progressive supranuclear palsy and Parkinson’s disease: analysis with [(123)I]IPT single photon emission computed tomography. J Neurol Sci. 2006;244(1–2):103–9. https://doi.org/10.1016/j.jns.2006.01.006
  12. Klaffke S, Kuhn AA, Plotkin M, Amthauer H, Harnack D, Felix R, et al. Dopamine transporters, D2 receptors, and glucose metabolism in corticobasal degeneration. Mov Disord. 2006;21(10):1724–7. https://doi.org/10.1002/mds.21004
  13. Djang DS, Janssen MJ, Bohnen N, Booij J, Henderson TA, Herholz K, et al. SNM practice guideline for dopamine transporter imaging with 123I-ioflupane SPECT 1.0. J Nucl Med. 2012;53(1):154–63. https://doi.org/10.2967/jnumed.111.100784
  14. Kim YJ, Ichise M, Ballinger JR, Vines D, Erami SS, Tatschida T, et al. Combination of dopamine transporter and D2 receptor SPECT in the diagnostic evaluation of PD, MSA, and PSP. Mov Disord. 2002;17(2):303–12. https://doi.org/10.1002/mds.10042
  15. Marshall VL, Reininger CB, Marquardt M, Patterson J, Hadley DM, Oertel WH, et al. Parkinson’s disease is overdiagnosed clinically at baseline in diagnostically uncertain cases: a 3-year European multicenter study with repeat [123I]FP-CIT SPECT. Mov Disord. 2009;24(4):500–8. https://doi.org/10.1002/mds.22108
  16. Benamer HTS, Patterson J, Grosset DG, Booij J, de Bruin K, van Royen E, et al. Accurate differentiation of parkinsonism and essential tremor using visual assessment of [(123) I]-FP-CIT SPECT imaging: The [(123) I]-FP-CIT study group. Mov Disord. 2000;15(3):503–10. https://doi.org/10.1002/1531-8257(200005)15:3<503::AID-MDS1013>3.0.CO;2-V
  17. Asenbaum S, Pirker W, Angelberger P, Bencsits G, Pruckmayer M, Brücke T. [123I]beta-CIT and SPECT in essential tremor and Parkinson’s disease. J Neural Transm (Vienna). 1998;105(10–12):1213–28. https://doi.org/10.1007/s007020050124
  18. Jennings DL, Seibyl JP, Oakes D, Eberly S, Murphy J, Marek K. (123I) beta-CIT and single-photon emission computed tomographic imaging vs clinical evaluation in Parkinsonian syndrome: unmasking an early diagnosis. Arch Neurol. 2004;61(8):1224–9. https://doi.org/10.1001/archneur.61.8.1224
  19. Marshall VL, Patterson J, Hadley DM, Grosset KA, Grosset DG. Successful antiparkinsonian medication withdrawal in patients with Parkinsonism and normal FP-CIT SPECT. Movement disorders: official journal of the Movement Disorder Society. 2006;21(12):2247–50. https://doi.org/10.1002/mds.21159
  20. David JB. Imaging Approaches to Parkinson Disease. Journal of Nuclear Medicine. 2010;51(4):596. https://doi.org/10.2967/jnumed.108.059998
  21. Nocker M, Seppi K, Donnemiller E, Virgolini I, Wenning GK, Poewe W, et al. Progression of dopamine transporter decline in patients with the Parkinson variant of multiple system atrophy: a voxel-based analysis of [123I]β-CIT SPECT. Eur J Nucl Med Mol Imaging. 2012;39(6):1012–20. https://doi.org/10.1007/s00259-012-2100-5
  22. Antonini A, Benti R, De Notaris R, Tesei S, Zecchinelli A, Sacilotto G, et al. 123I-Ioflupane/SPECT binding to striatal dopamine transporter (DAT) uptake in patients with Parkinson’s disease, multiple system atrophy, and progressive supranuclear palsy. Neurol Sci. 2003;24(3):149–50. https://doi.org/10.1007/s10072-003-0103-5
  23. Filippi L, Manni C, Pierantozzi M, Brusa L, Danieli R, Stanzione P, et al. 123I-FP-CIT in progressive supranuclear palsy and in Parkinson’s disease: a SPECT semiquantitative study. Nucl Med Commun. 2006;27(4):381–6. https://doi.org/10.1097/01.mnm.0000202858.45522.df
  24. Wieland DM, Brown LE, Rogers WL, Worthington KC, Wu JL, Clinthorne NH, et al. Myocardial imaging with a radioiodinated norepinephrine storage analog. J Nucl Med. 1981;22(1):22–31.
  25. Gross M, Bannister R, Godwin-Austen R. Orthostatic hypotension in Parkinson’s disease. Lancet. 1972;1(7743):174–6. https://doi.org/10.1016/S0140-6736(72)90571-5
  26. Yoshita M, Hayashi M, Hirai S. Decreased myocardial accumulation of 123I-meta-iodobenzyl guanidine in Parkinson’s disease. Nucl Med Commun. 1998;19(2):137–42. https://doi.org/10.1097/00006231-199802000-00007
  27. Iwasa K, Nakajima K, Yoshikawa H, Tada A, Taki J, Takamori M. Decreased myocardial 123I-MIBG uptake in Parkinson’s disease. Acta Neurol Scand. 1998;97(5):303–6. https://doi.org/10.1111/j.1600-0404.1998.tb05957.x
  28. Braune S, Reinhardt M, Bathmann J, Krause T, Lehmann M, Lücking CH. Impaired cardiac uptake of meta-[123I]iodobenzylguanidine in Parkinson’s disease with autonomic failure. Acta Neurol Scand. 1998;97(5):307–14. https://doi.org/10.1111/j.1600-0404.1998.tb05958.x
  29. Nagayama H, Hamamoto M, Ueda M, Nagashima J, Katayama Y. Reliability of MIBG myocardial scintigraphy in the diagnosis of Parkinson’s disease. J Neurol Neurosurg Psychiatry. 2005;76(2):249–51. https://doi.org/10.1136/jnnp.2004.037028
  30. Braune S, Reinhardt M, Schnitzer R, Riedel A, Lücking CH. Cardiac uptake of [123I]MIBG separates Parkinson’s disease from multiple system atrophy. Neurology. 1999;53(5):1020–5. https://doi.org/10.1212/WNL.53.5.1020
  31. Pavese N, Brooks DJ. Imaging neurodegeneration in Parkinson’s disease. Biochimica et Biophysica Acta (BBA) - Molecular Basis of Disease. 2009;1792(7):722–9. https://doi.org/10.1016/j.bbadis.2008.10.003
  32. Brück A, Portin R, Lindell A, Laihinen A, Bergman J, Haaparanta M, et al. Positron emission tomography shows that impaired frontal lobe functioning in Parkinson’s disease is related to dopaminergic hypofunction in the caudate nucleus. Neurosci Lett. 2001;311(2):81–4. https://doi.org/10.1016/S0304-3940(01)02124-3
  33. Biju G, de la Fuente-Fernández R. Dopaminergic function and progression of Parkinson’s disease: PET findings. Parkinsonism Relat Disord. 2009;15 Suppl 4:S38–40. https://doi.org/10.1016/S1353-8020(09)70833-8
  34. Ibrahim N, Kusmirek J, Struck AF, Floberg JM, Perlman SB, Gallagher C, et al. The sensitivity and specificity of F-DOPA PET in a movement disorder clinic. Am J Nucl Med Mol Imaging. 2016;6(1):102–9.
  35. Brooks DJ, Salmon EP, Mathias CJ, Quinn N, Leenders KL, Bannister R, et al. The relationship between locomotor disability, autonomic dysfunction, and the integrity of the striatal dopaminergic system in patients with multiple system atrophy, pure autonomic failure, and Parkinson’s disease, studied with PET. Brain. 1990;113 (Pt 5):1539–52. https://doi.org/10.1093/brain/113.5.1539
  36. Broussolle E, Dentresangle C, Landais P, Garcia-Larrea L, Pollak P, Croisile B, et al. The relation of putamen and caudate nucleus 18F-Dopa uptake to motor and cognitive performances in Parkinson’s disease. J Neurol Sci. 1999;166(2):141–51. https://doi.org/10.1016/S0022-510X(99)00127-6
  37. Brooks DJ, Piccini P. Imaging in Parkinson’s disease: the role of monoamines in behavior. Biol Psychiatry. 2006;59(10):908–18. https://doi.org/10.1016/j.biopsych.2005.12.017
  38. Tang CC, Poston KL, Eckert T, Feigin A, Frucht S, Gudesblatt M, et al. Differential diagnosis of parkinsonism: a metabolic imaging study using pattern analysis. Lancet Neurol. 2010;9(2):149–58. https://doi.org/10.1016/S1474-4422(10)70002-8
  39. Banati RB, Myers R, Kreutzberg GW. PK (‘peripheral benzodiazepine’) - binding sites in the CNS indicate early and discrete brain lesions: microautoradiographic detection of [3H]PK 11195 binding to activated microglia. Journal of Neurocytology. 1997;26(2):77–82. https://doi.org/10.1023/A:1018567510105
  40. Cagnin A, Brooks DJ, Kennedy AM, Gunn RN, Myers R, Turkheimer FE, et al. In-vivo measurement of activated microglia in dementia. Lancet. 2001;358(9280):461–7. https://doi.org/10.1016/S0140-6736(01)05625-2
  41. Cagnin A, Myers R, Gunn RN, Lawrence AD, Stevens T, Kreutzberg GW, et al. In vivo visualization of activated glia by [11C] (R)-PK11195-PET following herpes encephalitis reveals projected neuronal damage beyond the primary focal lesion. Brain. 2001;124(Pt 10):2014–27. https://doi.org/10.1093/brain/124.10.2014
  42. Gerhard A, Banati RB, Goerres GB, Cagnin A, Myers R, Gunn RN, et al. [11C](R)-PK11195 PET imaging of microglial activation in multiple system atrophy. Neurology. 2003;61(5):686–9. https://doi.org/10.1212/01.WNL.0000078192.95645.E6
  43. McGeer PL, Itagaki S, Boyes BE, McGeer EG. Reactive microglia are positive for HLA-DR in the substantia nigra of Parkinson’s and Alzheimer’s disease brains. Neurology. 1988;38(8):1285–91. https://doi.org/10.1212/WNL.38.8.1285
  44. Imamura K, Hishikawa N, Sawada M, Nagatsu T, Yoshida M, Hashizume Y. Distribution of major histocompatibility complex class II-positive microglia and cytokine profile of Parkinson’s disease brains. Acta Neuropathol. 2003;106(6):518–26. https://doi.org/10.1007/s00401-003-0766-2
  45. Gerhard A, Pavese N, Hotton G, Turkheimer F, Es M, Hammers A, et al. In vivo imaging of microglial activation with [11C](R)-PK11195 PET in idiopathic Parkinson’s disease. Neurobiol Dis. 2006;21(2):404–12. https://doi.org/10.1016/j.nbd.2005.08.002
  46. Ouchi Y, Yoshikawa E, Sekine Y, Futatsubashi M, Kanno T, Ogusu T, et al. Microglial activation and dopamine terminal loss in early Parkinson’s disease. Ann Neurol. 2005;57(2):168–75. https://doi.org/10.1002/ana.20338
  47. Kang Y, Mozley PD, Verma A, Schlyer D, Henchcliffe C, Gauthier SA, et al. Noninvasive PK11195-PET Image Analysis Techniques Can Detect Abnormal Cerebral Microglial Activation in Parkinson’s Disease. J Neuroimaging. 2018;28(5):496–505. https://doi.org/10.1111/jon.12519
  48. Jäger R, Russwurm C, Schwede F, Genieser HG, Koesling D, Russwurm M. Activation of PDE10 and PDE11 phosphodiesterases. J Biol Chem. 2012;287(2):1210–9. https://doi.org/10.1074/jbc.M111.263806
  49. Gross-Langenhoff M, Hofbauer K, Weber J, Schultz A, Schultz JE. cAMP is a ligand for the tandem GAF domain of human phosphodiesterase 10 and cGMP for the tandem GAF domain of phosphodiesterase 11. J Biol Chem. 2006;281(5):2841–6. https://doi.org/10.1074/jbc.M511468200
  50. Chappie T, Humphrey J, Menniti F, Schmidt C. PDE10A inhibitors: an assessment of the current CNS drug discovery landscape. Curr Opin Drug Discov Devel. 2009;12(4):458–67.
  51. Fujishige K, Kotera J, Omori K. Striatum- and testis-specific phosphodiesterase PDE10A isolation and characterization of a rat PDE10A. Eur J Biochem. 1999;266(3):1118–27. https://doi.org/10.1046/j.1432-1327.1999.00963.x
  52. Geerts H, Spiros A, Roberts P. Phosphodiesterase 10 inhibitors in clinical development for CNS disorders. Expert Rev Neurother. 2017;17(6):553–60. https://doi.org/10.1080/14737175.2017.1268531
  53. Niccolini F, Foltynie T, Reis Marques T, Muhlert N, Tziortzi AC, Searle GE, et al. Loss of phosphodiesterase 10A expression is associated with progression and severity in Parkinson’s disease. Brain. 2015;138(Pt 10):3003–15. https://doi.org/10.1093/brain/awv219
  54. Al-Radaideh AM, Rababah EM. The role of magnetic resonance imaging in the diagnosis of Parkinson’s disease: a review. Clin Imaging. 2016;40(5):987–96. https://doi.org/10.1016/j.clinimag.2016.05.006
  55. Righini A, Antonini A, Ferrarini M, de Notaris R, Canesi M, Triulzi F, et al. Thin section MR study of the basal ganglia in the differential diagnosis between striatonigral degeneration and Parkinson disease. J Comput Assist Tomogr. 2002;26(2):266–71. https://doi.org/10.1097/00004728-200203000-00018
  56. Prange S, Metereau E, Thobois S. Structural Imaging in Parkinson’s Disease: New Developments. Curr Neurol Neurosci Rep. 2019;19(8):50. https://doi.org/10.1007/s11910-019-0964-5
  57. Vaillancourt DE, Spraker MB, Prodoehl J, Abraham I, Corcos DM, Zhou XJ, et al. High-resolution diffusion tensor imaging in the substantia nigra of de novo Parkinson disease. Neurology. 2009;72(16):1378–84. https://doi.org/10.1212/01.wnl.0000340982.01727.6e
  58. Schocke MF, Seppi K, Esterhammer R, Kremser C, Jaschke W, Poewe W, et al. Diffusion-weighted MRI differentiates the Parkinson variant of multiple system atrophy from PD. Neurology. 2002;58(4):575–80. https://doi.org/10.1212/WNL.58.4.575
  59. Schulz J, Pagano G, Fernández Bonfante JA, Wilson H, Politis M. Nucleus basalis of Meynert degeneration precedes and predicts cognitive impairment in Parkinson’s disease. Brain. 2018;141(5):1501–16. https://doi.org/10.1093/brain/awy072
  60. Pyatigorskaya N, Gallea C, Garcia-Lorenzo D, Vidailhet M, Lehericy S. A review of the use of magnetic resonance imaging in Parkinson’s disease. Ther Adv Neurol Disord. 2014;7(4):206–20. https://doi.org/10.1177/1756285613511507
  61. Boska MD, Lewis TB, Destache CJ, Benner EJ, Nelson JA, Uberti M, et al. Quantitative 1H magnetic resonance spectroscopic imaging determines therapeutic immunization efficacy in an animal model of Parkinson’s disease. J Neurosci. 2005;25(7):1691–700. https://doi.org/10.1523/JNEUROSCI.4364-04.2005
  62. Di Costanzo A, Trojsi F, Tosetti M, Schirmer T, Lechner SM, Popolizio T, et al. Proton MR spectroscopy of the brain at 3 T: an update. Eur Radiol. 2007;17(7):1651–62. https://doi.org/10.1007/s00330-006-0546-1
  63. Oz G, Terpstra M, Tkác I, Aia P, Lowary J, Tuite PJ, et al. Proton MRS of the unilateral substantia nigra in the human brain at 4 tesla: detection of high GABA concentrations. Magn Reson Med. 2006;55(2):296–301. https://doi.org/10.1002/mrm.20761
  64. Emir UE, Tuite PJ, Öz G. Elevated pontine and putamenal GABA levels in mild-moderate Parkinson disease detected by 7 tesla proton MRS. PLoS One. 2012;7(1):e30918. https://doi.org/10.1371/journal.pone.0030918
  65. Hallgren B, Sourander P. The effect of age on the non-haemin iron in the human brain. J Neurochem. 1958;3(1):41–51. https://doi.org/10.1111/j.1471-4159.1958.tb12607.x
  66. Harder SL, Hopp KM, Ward H, Neglio H, Gitlin J, Kido D. Mineralization of the deep gray matter with age: a retrospective review with susceptibility-weighted MR imaging. AJNR Am J Neuroradiol. 2008;29(1):176–83. https://doi.org/10.3174/ajnr.A0770
  67. Schenck JF, Zimmerman EA. High-field magnetic resonance imaging of brain iron: birth of a biomarker? NMR Biomed. 2004;17(7):433–45. https://doi.org/10.1002/nbm.922
  68. Gerlach M, Double KL, Ben-Shachar D, Zecca L, Youdim MB, Riederer P. Neuromelanin and its interaction with iron as a potential risk factor for dopaminergic neurodegeneration underlying Parkinson’s disease. Neurotox Res. 2003;5(1–2):35–44. https://doi.org/10.1007/BF03033371
  69. Noh Y, Sung YH, Lee J, Kim EY. Nigrosome 1 Detection at 3T MRI for the Diagnosis of Early-Stage Idiopathic Parkinson Disease: Assessment of Diagnostic Accuracy and Agreement on Imaging Asymmetry and Clinical Laterality. AJNR Am J Neuroradiol. 2015;36(11):2010–6. https://doi.org/10.3174/ajnr.A4412
  70. Kwon DH, Kim JM, Oh SH, Jeong HJ, Park SY, Oh ES, et al. Seven-Tesla magnetic resonance images of the substantia nigra in Parkinson disease. Ann Neurol. 2012;71(2):267–77. https://doi.org/10.1002/ana.22592
  71. Blazejewska AI, Schwarz ST, Pitiot A, Stephenson MC, Lowe J, Bajaj N, et al. Visualization of nigrosome 1 and its loss in PD: pathoanatomical correlation and in vivo 7 T MRI. Neurology. 2013;81(6):534–40. https://doi.org/10.1212/WNL.0b013e31829e6fd2