9

Utility of FDG PET/CT in Non-Prostate Male Genitourinary Pathology

Harry W. Schroeder III Bruce J. Barron

Department of Radiology and Imaging Sciences, Emory University, Atlanta, GA, USA

Abstract: Much has been written about the utility of FDG PET/CT (fluorodeoxyglucose positron emission tomography/computed tomography) in frequently encountered malignancies such as lung cancer, breast cancer, and gastrointestinal cancers. Although less common, FDG PET/CT can be a useful modality in the evaluation and staging of cancers of the male GU (genitourinary) tract. Similar to its application with the more common malignancies, FDG PET/CT can provide helpful information when evaluating for sites of disease such as recurrent, nodal, and/or metastatic disease in the setting of these GU cancers. This chapter reviews the utility of PET/CT in the evaluation of non-prostate male GU pathologies such as the penis and testicles. Some very rare tumors as well as infectious and/or inflammatory conditions that can affect the GU system are also described.

Keywords: FDG PET/CT; non-prostate male genitourinary pathology; penile cancer; seminal vesicle cancer; testicular cancer

Author for correspondence: Bruce J. Barron, Department of Radiology and Imaging Sciences, Emory University, Atlanta, GA, USA. Email: bruce.j.barron@emory.edu

Cite this chapter as: Schroeder HW III, Barron BJ. Utility of FDG PET/CT in Non-Prostate Male Genitourinary Pathology. In: Hall LT. editor. Molecular Imaging and Therapy. Brisbane (AU): Exon Publications. Online first 29 Aug 2023.

Doi: https://doi.org/10.36255/molecular-imaging-of-non-prostate-male-genitourinary-pathology

In: Hall LT. editor. Molecular Imaging and Therapy. Brisbane (AU): Exon Publications. ISBN: 978-0-6458663-9-1. Doi: https://doi.org/10.36255/molecular-imaging

Copyright: The Authors.

License: This open access article is licensed under Creative Commons Attribution-NonCommercial 4.0 International (CC BY-NC 4.0) https://creativecommons.org/licenses/by-nc/4.0/

INTRODUCTION

Although they are not encountered as often, non-prostate male genitourinary malignancies are an important indication for the use of FDG PET/CT. One would think that carcinoma of the testicle, scrotum, or penis could be detected early. Commonly, the male GU exam is listed as deferred. Many cases are detected after the patient palpates an abnormality or has pain but perhaps could have been detected by routine physical examination. This chapter provides a summary of the male GU anatomy and discusses the utility of FDG PET/CT in the evaluation of some of these male GU non-prostate pathologies such as cancers occurring in sites such as the penis and testicles.

ANATOMY

The penis is composed of a central corpus spongiosum and 2 surrounding cavernous corpora (Figure 1). These contain blood vessels necessary for erection. This unit extends until the glans penis. These corpora surround the urethra. The glans is often covered by a retractable foreskin unless the patient has been circumcised (1). The inguinal canal houses the testicular artery and veins and the genitofemoral nerve. The two testicles descend through their respective inguinal canals to their place within the scrotum. Occasionally, the canal may contain an undescended or contracted testicle. Undescended testicles have a propensity to develop cancer. Surrounding the testicle are the efferent ductules and the epididymis, which is a highly convoluted duct along which sperm can pass to the vas deferens. The vas deferens (spermatic duct) is a long muscular tubular structure which travels into the pelvic cavity just behind the bladder and connects to the urethra via the ejaculatory duct. Through these, mature sperm are transmitted to the urethra in preparation for ejaculation (1). The anatomic placement of the seminal vesicles is at the posterosuperior aspect of the base of the prostate. Ejaculatory ducts form a direct extension into prostate tissue (1). Seminal vesicle size is variable and not generally of concern except for asymmetry in size. Hypoplasia of seminal vesicles and congenital cysts may be seen in a small number of patients.

Fig 1

Figure 1. Anatomy of the Human Male Reproductive System. This figure is reproduced – with new figure legend title appropriate for current article – from Wikimedia Commons 2021 under the terms of the Creative Commons Attribution 4.0 International (CC BY-SA 4.0) License (https://creativecommons.org/licenses/by-sa/4.0/deed.en). Wumingbai. File: Human male reproductive system en.svg: Wikimedia Commons; 2021 [Available from: https://commons.wikimedia.org/wiki/File:Human_male_reproductive_system_en.svg]

PENILE CANCER

In the Western World, primary penile cancer is uncommon, and the overall incidence is less than 1 in 100,000 men. There is worldwide variance in incidence, possibly due to levels of hygiene, social, and religious practices. The incidence of penile cancer increases with age, peaking in the sixth decade, but it can occur in younger men, especially in association with human papilloma virus (HPV). HPV has been identified in 70–100% of intraepithelial neoplasms. Other potential risk factors include cigarette smoking, especially if HPV-positive, smegma, UV light treatment for psoriasis, and phimosis. Some studies show HIV as an additional risk factor. Protective factors include neonatal circumcision, public health advancements such as improved hygiene, HPV vaccination, and genital shielding in UVA therapy. There are approximately 2200 cases of penile cancer in the United States per year, associated with approximately 440 deaths per year. Penile cancer is generally a squamous cell carcinoma, starting anywhere on the penis, predominantly on the foreskin. This type approximates up to 95% of penile cancers. Other etiologies, such as basaloid carcinoma, warty carcinoma, papillary carcinoma, and mixed carcinoma are less frequently seen. Verrucous carcinoma (Buschke-Lowenstein Tumor) looks like a large genital wart and has slow growth. Carcinoma in situ is the earliest stage of squamous carcinoma. In the glans, erythroplasia of Queyrat is found and when in the shaft, it is called Bowen’s disease. A rare form of adenocarcinoma of the penis called Paget disease of the penis, arises from sweat glands. Melanoma, sarcoma, and basal cell carcinoma in the penis are rare with basal cell carcinoma accounting for less than 2% and melanoma and sarcoma accounting for less than 3% (28).

The most common forms of presentation are balanoposthitis, verrucous lesion, or an indurated plaque, and the most common site is in the glans. The majority of cases occur in men over the age of 65. (7) There are several premalignant lesions, one third of which transform into invasive SCC. The penile cancer lesion is often readily seen but can be hidden by phimosis. Often, penile cancer is found on imaging during evaluation of inguinal adenopathy. Penile examination should be part of the annual physical, but many times examination of the genitalia is deferred. Similarly, examination of the genitalia on PET/CT should not be glossed over, since some penile cancers can be identified on PET/CT obtained for other indications. Uptake in the region of the glans is not always related to urinary contamination. Surgical options depend on the invasiveness of the tumor. Rarely, penectomy may be required. At the time of presentation, up to 50% have adenopathy, especially inguinal and iliac chain nodes. Distant metastases can be seen in 10% of the cases. Guidelines provide optimal therapy options for individual stages of disease (9).

Multiple imaging modalities have been used to stage penile cancer. Imaging findings, combined with fine needle aspiration and sentinel node detection and biopsy have improved staging. PET/CT is not indicated in the initial diagnosis of penile cancer and is reserved for when adenopathy is present (5). PET/CT is useful in recurrent disease and in evaluating enlarged lymph nodes noted on physical exam or on other imaging (Figure 2). Although physical examination is the basis for staging primary penile cancer, imaging may be helpful when organ saving surgery is being considered. In a Brazilian study, high standardized uptake values (SUVs) were noted in more advanced tumors and aggressive pathological conditions (10). Ultrasound with Doppler was helpful for detecting corporal invasion. The combined use of FDG-PET and sentinel node biopsy was very sensitive (94%). In penile cancers both the primary tumors and lymph node metastases show high FDG uptake. Nearly all penile cancers are FDG avid, but some very small tumors may not be detected on PET (11). Urinary excretion of tracer can interfere with an accurate diagnosis. Urine leakage may hide a true lesion. In one study, sensitivity of detecting the primary lesion was 75%, although the number of patients was small. The sensitivity of detecting malignant inguinal lymph node metastasis was 80%, with specificity of 100%. Similar sensitivity was found in pelvic node basin nodes (6, 12, 13).

Fig 2

Figure 2. Penile base, surgical site, and lymph nodes. FDG PET/CT demonstrates hypermetabolic activity within the penile base (thick solid arrow), surgical site (thick open arrow), and bilateral inguinal lymph nodes (thin arrows). This patient was status post partial penectomy and chemotherapy for penile squamous cell carcinoma. Findings on PET/CT were consistent with progression of disease and poor response to chemotherapy.

In our clinical practice, most patients have had prior surgery (penectomy or circumcision) before they are imaged with FDG PET. Uptake appearing within the foreskin or shaft may represent residual or recurrent tumor as opposed to artifact. Depending on findings, treatment may consist of cryosurgery, circumcision, excision, Mohs surgery, penectomy, lymph node dissection, radiation therapy, and/or systemic chemotherapy, immunotherapy, and targeted therapy.

Metastases to the penis such as from prostate cancer or colorectal cancer is a rare occurrence, usually suggesting a worse prognosis. Kotake et al reviewed patients with penile metastases from prostate cancer and found that 41% died within 6 months (5, 14). Most penile metastases were in the corpora cavernosa. Mearini et al proposed several mechanisms for the development of penile metastases: direct invasion, implantation after instrumentation, retrograde venous flow, and arterial or lymphatic dissemination (5).

With the advent of prostate specific membrane antigen (PSMA) imaging agents such as F-18 PSMA or Ga-68 PSMA, penile metastases from prostate cancer can be detected earlier. Reports in the literature are few; one report demonstrated that 5 out of 8 asymptomatic penile metastases were diagnosed with PSMA PET. Penile metastasis from prostate cancer is an uncommon event, more often seen in the late stage of the disease and generally portends a poor prognosis as noted above. It remains to be seen if earlier detection of penile metastases from prostate cancer with PSMA PET will translate into a survival advantage (15).

SEMINAL VESICLE CANCER INVOLVEMENT

Comparatively little is written about pathological conditions of seminal vesicles. Neoplasia, both primary and metastatic disease, and changes related to aging can be seen on imaging. Abnormalities are generally seen as incidental findings on PET/CT examinations ordered for other etiologies. Calcification may be seen in older men and those with diabetes. Normally there is no FDG uptake in the seminal vesicles. Uptake may be mistaken for distal ureteral activity or a bladder diverticulum. Unilateral or bilateral seminal vesicle uptake raises concern for possible malignancy or less commonly infection. Rarely urinary reflux into the vesicles can be seen after prostatectomy (Figure 3A).

Fig 3

Figure 3. Seminal vesicles. FDG PET/CT demonstrates uptake within the bilateral seminal vesicles (thick solid arrows) in one patient (row 3A) and within an enlarged right seminal vesicle (thick solid arrow) in another patient (row 3B). Biopsy was negative in the first patient suggesting that activity likely represented urinary reflux of radiotracer (3A). Biopsy was positive for a plasmacytoma in the second patient (3B).

Involvement of the seminal vesicles is generally secondary. The most common neoplastic involvement of the seminal vesicles is direct extension of metastasis from prostate, bladder, or rectal cancer, often present upon the initial examination. Metastases from malignancies such as Merkel cell, lymphoma, and hepatocellular cancer have been seen. We present a documented case of plasmacytoma in a seminal vesicle (Figure 3B). Primary malignant neoplasms of the seminal vesicles are relatively rare: adenocarcinoma, sarcoma, leiomyosarcoma, and angiosarcoma are among those noted. A review of the literature showed only approximately 60 reported cases of adenocarcinoma of the seminal vesicles (1619). In the presence of an adjacent malignancy such as prostate cancer, direct extension should be considered. In other settings, metastatic disease or primary seminal vesicle cancer should be considered. As PET/CT findings are usually incidental, there are no established protocols/guidelines for PET/CT imaging of seminal vesicles.

Benign inflammatory changes and amyloid of the seminal vesicles can also cause uptake. Infections of the seminal vesicles are generally in association with prostatitis or epididymitis. Bacterial infections are the most common cause. TB and parasitic disease may be seen in endemic areas. Amyloid deposition of the seminal vesicles can be seen in 20% of men over the age of 75 (16, 17, 20). Unilateral agenesis of the seminal vesicles is often associated with ipsilateral renal agenesis. Bilateral seminal vesicle or vas deferens agenesis can be seen in patients with mutation of the cystic fibrosis gene (17, 18).

TESTICULAR CANCER

Testicular carcinoma represents only 1% of all neoplastic lesions in men but is the most common malignancy in the 15- to 34-year-old cohort. The incidence has been increasing to a current level of 3 to 10 per 100,000 men. A positive family history, contralateral testicular cancer, childhood leukemia, testicular dysgenesis, Klinefelter’s syndrome, and cryptorchidism increases the risk of developing testicular carcinoma. The risk appears to be lower in African Americans (2124).

Testicular stromal tumors may arise from Sertoli cells and Leydig cells (sex cords), which are rare. Approximately 10% of these are malignant. However, a 95% majority are derived from germ cells. These include seminomas and nonseminomatous tumors (embryonal carcinoma, yolk sac tumors, choriocarcinoma, teratoma, and mixed germ-cell tumors) (25). One classification scheme divides human germ cell tumors into five types. Three are relevant to males. Type 1 includes teratomas and yolk sac tumors seen in neonates and infants. Type II includes seminomas and non-seminomas found predominantly in adolescents and young adults. Type III tumors include spermatocytic seminomas seen in the elderly. Seminomas and nonseminomas are thought to arise from precursors, carcinoma in-situ or gonadoblastomas, resulting from disturbed gonadal physiology. Testicular germ cell tumors can begin as a non-invasive form called carcinoma in situ. At this point in time, the cells appear abnormal but are still within the walls of the seminiferous tubules. This form does not always progress to invasive cancer (25, 26).

Seminomas are seen predominantly in men aged 25 to 45 years of age. A spermatocytic seminoma may be seen in older men and has much slower growth. A low percentage of seminomas can increase serum human chorionic gonadotropin (HCG) levels. Seminomas can rarely be seen in androgen insensitivity syndrome. Seminoma is the most common pure germ cell tumor (26).

The four main types of non-seminomas are as follows: embryonal carcinoma (which can increase alpha fetoprotein (AFP) and HCG levels), yolk sac carcinoma (which can increase AFP, generally responds well to chemotherapy, and is the most common form of testicular cancer in infancy with the pure form rarely seen in adults), choriocarcinoma (which can increase HCG, is rare, and quickly metastasizes to lung, brain, and bones), and teratoma (which does not increase HCG or AFP). Most are mixed tissues and may contain some elements of seminoma. Mixed tumors have a better prognosis than pure choriocarcinomas. Embryonal carcinoma is present in approximately 40% of testicular tumors (2628).

Diagnosis is often made by self-examination or after an injury leading to physical examination. Testicular cancer may present with testicular discomfort, and physical exam may reveal a mass. Occasionally decreased libido and breast tenderness may be present. Levels of AFP, HCG, and lactate dehydrogenase can help determine if the tumor is of germ cell origin. There is no evidence that screening reduces mortality (21, 26).

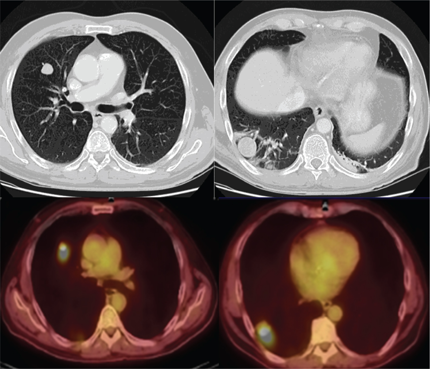
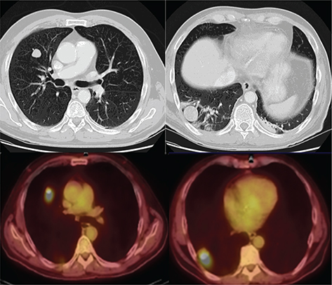
Germ cell tumors can spread via both lymphatic and hematogenous routes with frequency depending on tumor type (Figure 4 and Figure 5); for example, seminomas often spread solely via the lymphatic route whereas choriocarcinomas often spread hematogenously to sites such as lungs, liver, and brain. Sentinel node mapping is often useful for surgical excision. There are different lymphatic drainage patterns for the right versus left testicle. On the right, the main nodes are interaortocaval chain at the L2 level. For the left, the primary nodes are the left paraaortic nodes. Some crossovers can be seen in the cisterna chyli and thoracic duct, which can then spread to the mediastinal and supraclavicular nodes (23, 2628).

Fig 4

Figure 4. Lymph nodes. FDG PET/CT demonstrates hypermetabolic activity within left supraclavicular (thick solid arrow) and periaortic lymph nodes (thick open arrow). This patient was undergoing restaging for a history of seminoma. Findings on PET/CT were consistent with retroperitoneal and left supraclavicular nodal disease.

Fig 5

Figure 5. Pulmonary nodules. FDG PET/CT demonstrates hypermetabolic activity within two right lung pulmonary nodules. This patient was status post left testicular mass resection revealing a nonseminomatous germ cell tumor with pathologic staging of pT4 Nx Mx. Findings on PET/CT were consistent with pulmonary metastases resulting in final staging of T4 N0 M1.

Ultrasound, with approximately 100% sensitivity, is generally the main modality used for diagnosis. Ultrasound can differentiate intra- versus extratesticular involvement and whether the lesion is cystic or solid. Magnetic resonance imaging (MRI) plays a secondary role. The role of FDG-PET/CT in the evaluation of testicular cancer has been controversial. After surgery, CT is the main modality for follow-up. PET/CT of the primary tumor is rarely used. Shao et. al. demonstrated that PET/CT could differentiate between benign and malignant testicular masses with a sensitivity of approximately 90% and specificity of approximately 80% (22, 23, 25). Carcinoma in-situ is thought to be a precursor of germ cell cancers. The utility of PET/CT at this stage is yet to be defined as normal testicular activity on F-18-FDG scans is very variable. Cook et. al. determined FDG PET/CT to be useful in the setting of equivocal primary staging CT scans, in ruling out active disease in the setting of residual masses after chemotherapy, and in locating active sites of disease in the setting of rising tumor markers and a negative CT scan (29). For seminomas PET/CT staging has been reported to have a sensitivity of 92% and a specificity of 84% when compared to standard staging models. For non-seminomas, the sensitivity was lower at 77%. PET/CT resulted in a change in management in a quarter of cases (29 out of 121 cases) (23, 30). PET/CT is advantageous in evaluating post-chemotherapy residual retroperitoneal lymph nodes. Seminoma patients with a residual nodal mass exceeding 3 cm can represent a serious challenge. FDG PET/CT is recommended by the European Association of Urology (EAU) in evaluation of residual masses after seminoma excision. FDG-PET/CT proved to be superior to standard imaging in predicting viable tumors. A negative predictive value of 94% was determined when evaluating lesions >3 cm. EAU does not have a recommendation for use of PET/CT in non-seminomas (29, 31).

The testicle can also be the primary site of involvement in lymphomas and rarely in sarcoid. Primary testicular lymphoma is a form of extra-nodal lymphoma that originates in the testicle. Okuyucu et. al. used PET/CT to follow patients and determine overall survival. Mean overall survival was 44.5 months and disease-free survival was 35.5 months. This entity comprises about 1% of non-Hodgkin lymphomas. It generally occurs in those over 60 years of age and is usually a diffuse large B-cell lymphoma. Typically, the patients present with a painless testicular mass. At presentation, bilateral testicular disease is found in less than approximately 35% of cases, and approximately 60 to 80% of patients have stage I/II disease. Some of the most often encountered metastatic sites include the CNS (central nervous system), contralateral testicle, lung, bone marrow, skin, and pleura (32).

Adenocarcinomas of the rete testis, sperm-carrying tubules in the testis, is a very rare tumor type which tends to grow and rapidly metastasize outside of the testicle and has a poor prognosis (33). Another very rare tumor, testicular mesothelioma may have asbestos exposure as one of its risk factors (34). Paratesticular rhabdomyosarcoma is also in the category of rare tumors. It originates from the mesenchymal tissue of the spermatic cord, epididymis, and testes. Surgery, radiation therapy and chemotherapy are often successful, resulting in high survival rates of approximately 94%. These tumors tend to metastasize via a lymphatic route (35, 36). Vary rarely, testicular plasmacytomas have also been seen (37).

Metastatic disease to the testicle is rare. The lower temperature of the testicles is thought to be a deterrent for metastatic disease. Lymphoma, melanoma, prostate cancer, and pancreatic cancer are examples of malignancies that have been noted to metastasize to the testis. Generally, the metastatic disease is not limited to the testis (38).

MISCELLANEOUS SITES

Disease states of the epididymis are generally due to infection, sometimes due to sexually transmitted disease or viruses such as the mumps. Tuberculosis of the epididymis can be unilateral or bilateral. The epididymis can also be involved with sarcoid and idiopathic epididymo-orchitis. Other infections can also involve the epididymis especially in immunosuppressed men (39). Diseases of the scrotum may reflect inflammation in surrounding tissues, melanoma, sarcoid, and rarely amyloid. Eccrine sweat gland carcinoma and scrotal sac metastases from prostate cancer have been described (40, 41).

The urachus is the remnant of an embryologic structure connecting the fetal bladder and allantois. Generally, the remnant appears as a fibrous band arising from the superior and anterior portion of the bladder. In children, the remnant can remain patent, allowing urine to flow out of the umbilical opening. Cysts of the urachus are uncommon and generally have no abnormal FDG avidity unless infected. Urachal adenocarcinoma is very aggressive and has often metastasized by the time of diagnosis. Urachal abscesses and infection have been reported. Pelvic images should also be viewed in the sagittal projection to evaluate for a urachal remnant (4244).

CONCLUSION

There are many common malignancies involving the chest, abdomen, and/or pelvis that are evaluated with FDG PET/CT such as lymphoma, lung cancer, breast cancer, and melanoma. Prostate cancer is also a common malignancy evaluated with PET/CT although PSMA being the preferred molecular imaging agent. Less commonly encountered are non-prostate diseases involving the male GU tract. This chapter provides a review of the utility of FDG PET/CT in the evaluation of some of these non-prostate cancers occurring in sites such as the penis and testicles.

ACKNOWLEDGMENT

Special thanks to Dr. Bital Savir-Baruch, Dr. Jaime Montilla-Soler, and Dr. Yoram Baum for their contributions.

Conflict of Interest: The authors declare that they have no potential conflict of interest with respect to the research, authorship, and/or publication of this chapter.

Copyright and Permission Statement: The authors confirm that the materials included in this chapter do not violate copyright laws. Where relevant, appropriate permissions have been obtained from the original copyright holder(s), and all original sources have been appropriately acknowledged or referenced. Where relevant, informed consent has been obtained from patients or their caregivers according to applicable national or institutional policies.

REFERENCES

  1. Hansen JT. Netter’s clinical anatomy. 5. ed. Philadelphia (USA): Elsevier, Inc; 2022.
  2. Chaux A, Netto GJ, Rodriguez IM, Barreto JE, Oertell J, Ocampos S, et al. Epidemiologic profile, sexual history, pathologic features, and human papillomavirus status of 103 patients with penile carcinoma. World J Urol. 2013;31(4):861–7. https://doi.org/10.1007/s00345-011-0802-0
  3. Khalil MI, Kamel MH, Dhillon J, Master V, Davis R, Hajiran AJ, et al. What you need to know: updates in penile cancer staging. World J Urol. 2021;39(5):1413–9. https://doi.org/10.1007/s00345-020-03302-z
  4. Amini AP, Brookes TS, Shah H, Bhate K, Alnajjar H, Muneer A, et al. The association between penile cancer and HIV infection: A literature review. Int J STD AIDS. 2023;34(4):214–28. https://doi.org/10.1177/09564624221148622
  5. Mearini L, Colella R, Zucchi A, Nunzi E, Porrozzi C, Porena M. A review of penile metastasis. Oncol Rev. 2012;6(1):e10. https://doi.org/10.4081/oncol.2012.e10
  6. Board CNE. Penile Cancer: Introduction: Cancer.Net; 2021 [Available from: https://www.cancer.net/cancer-types/penile-cancer/introduction.
  7. Rando Sous A, Perez-Utrilla Perez M, Aguilera Bazan A, Tabernero Gomez A, Cisneros Ledo J, De la Pena Barthel J. A review of penile cancer. Adv Urol. 2009;2009:415062. https://doi.org/10.1155/2009/415062
  8. Vanthoor J, Vos G, Albersen M. Penile cancer: potential target for immunotherapy? World J Urol. 2021;39(5):1405–11. https://doi.org/10.1007/s00345-020-03510-7
  9. Hakenberg OW, Comperat EM, Minhas S, Necchi A, Protzel C, Watkin N. EAU guidelines on penile cancer: 2014 update. Eur Urol. 2015;67(1):142–50. https://doi.org/10.1016/j.eururo.2014.10.017
  10. Salazar A, Junior EP, Salles PGO, Silva-Filho R, Reis EA, Mamede M. (18)F-FDG PET/CT as a prognostic factor in penile cancer. Eur J Nucl Med Mol Imaging. 2019;46(4):855–63. https://doi.org/10.1007/s00259-018-4128-7
  11. de Vries HM, Brouwer OR, Heijmink S, Horenblas S, Vegt E. Recent developments in penile cancer imaging. Curr Opin Urol. 2019;29(2):150–5. https://doi.org/10.1097/MOU.0000000000000585
  12. Ottenhof SR, Vegt E. The role of PET/CT imaging in penile cancer. Transl Androl Urol. 2017;6(5):833–8. https://doi.org/10.21037/tau.2017.04.36
  13. Scher B, Seitz M, Reiser M, Hungerhuber E, Hahn K, Tiling R, et al. 18F-FDG PET/CT for staging of penile cancer. J Nucl Med. 2005;46(9):1460–5.
  14. Kotake Y, Gohji K, Suzuki T, Watsuji T, Kusaka M, Takahara K, et al. Metastases to the penis from carcinoma of the prostate. Int J Urol. 2001;8(2):83–6. https://doi.org/10.1046/j.1442-2042.2001.00245.x
  15. Fan J, Liang H, Zhang X, Chen X, Duan X, Li L, et al. Case Report: (18)F-PSMA PET/CT May Improve the Clinical Management of Penile Metastases From Prostate Cancer. Front Oncol. 2021;11:683343. https://doi.org/10.3389/fonc.2021.683343
  16. Jager GJ, Ruijter ET, de la Rosette JJ, van de Kaa CA. Amyloidosis of the seminal vesicles simulating tumor invasion of prostatic carcinoma on endorectal MR images. Eur Radiol. 1997;7(4):552–4. https://doi.org/10.1007/s003300050202
  17. Kim B, Kawashima A, Ryu JA, Takahashi N, Hartman RP, King BF, Jr. Imaging of the seminal vesicle and vas deferens. Radiographics. 2009;29(4):1105–21. https://doi.org/10.1148/rg.294085235
  18. Bhat A, Banerjee I, Kryvenko ON, Satyanarayana R. Primary seminal vesicle adenocarcinoma: a lethal yet cryptic malignancy with review of literature. BMJ Case Rep. 2019;12(12). https://doi.org/10.1136/bcr-2019-232994
  19. Cauvin C, Moureau-Zabotto L, Chetaille B, Hilgers W, Denoux Y, Jacquemier J, et al. Primary leiomyosarcoma of the seminal vesicle: case report and review of the literature. BMC Cancer. 2011;11:323. https://doi.org/10.1186/1471-2407-11-323
  20. Catania R, Dasyam N, Furlan A, Borhani AA. Cross-sectional imaging of seminal vesicles and vasa deferentia. Abdom Radiol (NY). 2020;45(7):2049–62. https://doi.org/10.1007/s00261-019-02368-7
  21. Alexander LL, Leonard JM. Men’s Health Issues: NetCE; 2022 [Available from: https://www.netce.com/courseoverview.php?courseid=2392.
  22. Shao D, Gao Q, Tian XW, Wang SY, Liang CH, Wang SX. Differentiation and diagnosis of benign and malignant testicular lesions using 18F-FDG PET/CT. Eur J Radiol. 2017;93:114–20. https://doi.org/10.1016/j.ejrad.2017.05.001
  23. Dotzauer R, Thomas C, Jager W. The use of F-FDG PET/CT in testicular cancer. Transl Androl Urol. 2018;7(5):875–8. https://doi.org/10.21037/tau.2018.09.08
  24. Woodward PJ, Sohaey R, O’Donoghue MJ, Green DE. From the archives of the AFIP: tumors and tumorlike lesions of the testis: radiologic-pathologic correlation. Radiographics. 2002;22(1):189–216. https://doi.org/10.1148/radiographics.22.1.g02ja14189
  25. Looijenga LH. Testicular germ cell tumors. Pediatr Endocrinol Rev. 2014;11 Suppl 2:251–62.
  26. team ACSmaec. What Is Testicular Cancer?: American Cancer Society; 2018 [Available from: https://www.cancer.org/cancer/testicular-cancer/about/what-is-testicular-cancer.html.
  27. Makovnik M, Rejlekova K, Uhrin I, Mego M, Chovanec M. Intricacies of Radiographic Assessment in Testicular Germ Cell Tumors. Front Oncol. 2020;10:587523. https://doi.org/10.3389/fonc.2020.587523
  28. Ueno T, Tanaka YO, Nagata M, Tsunoda H, Anno I, Ishikawa S, et al. Spectrum of germ cell tumors: from head to toe. Radiographics. 2004;24(2):387–404. https://doi.org/10.1148/rg.242035082
  29. Cook GJ, Sohaib A, Huddart RA, Dearnaley DP, Horwich A, Chua S. The role of 18F-FDG PET/CT in the management of testicular cancers. Nucl Med Commun. 2015;36(7):702–8. https://doi.org/10.1097/MNM.0000000000000303
  30. Ambrosini V, Zucchini G, Nicolini S, Berselli A, Nanni C, Allegri V, et al. 18F-FDG PET/CT impact on testicular tumours clinical management. Eur J Nucl Med Mol Imaging. 2014;41(4):668–73. https://doi.org/10.1007/s00259-013-2624-3
  31. Patrikidou A, Cazzaniga W, Berney D, Boormans J, de Angst I, Di Nardo D, et al. European Association of Urology Guidelines on Testicular Cancer: 2023 Update. Eur Urol. 2023. https://doi.org/10.1016/j.eururo.2023.04.010
  32. Okuyucu K, Ince S, Alagoz E, Atas E, Arslan N. Utility of FDG PET/CT in the Management of Primary Testicular Lymphoma. Mol Imaging Radionucl Ther. 2018;27(2):61–5. https://doi.org/10.4274/mirt.14227
  33. Tian Y, Yao W, Yang L, Wang J, Wazir R, Wang K. Primary adenocarcinoma of the rete testis: A case report and review of the literature. Oncol Lett. 2014;7(2):455–7. https://doi.org/10.3892/ol.2013.1708
  34. Akin Y, Bassorgun I, Basara I, Yucel S. Malignant mesothelioma of tunica vaginalis: an extremely rare case presenting without risk factors. Singapore Med J. 2015;56(3):e53–5. https://doi.org/10.11622/smedj.2015053
  35. Kumar R, Kapoor R, Khosla D, Kumar N, Ghoshal S, Mandal AK, et al. Paratesticular rhabdomyosarcoma in young adults: A tertiary care institute experience. Indian J Urol. 2013;29(2):110–3. https://doi.org/10.4103/0970-1591.114030
  36. Amougou B, Eyongeta D, Engbang JP, Beyeme TS, Cisse D, Ngandeu MJ, et al. [Paratesticular rhabdomyosarcoma: about a case and literature review]. Pan Afr Med J. 2021;39:71.
  37. Schiavo C, Mann SA, Mer J, Suvannasankha A. Testicular plasmacytoma misdiagnosed as orchitis. BMJ Case Rep. 2018;2018. https://doi.org/10.1136/bcr-2017-222046
  38. Hou G, Jiang Y, Cheng X. Testicular Metastasis of Pancreatic Carcinoma on FDG-PET/CT. Clin Nucl Med. 2020;45(1):85–6. https://doi.org/10.1097/RLU.0000000000002820
  39. Ran P, Liang X, Zhang Y, Sun P, Dong A. FDG PET/CT in a Case of Bilateral Tuberculous Epididymo-orchitis. Clin Nucl Med. 2019;44(9):757–60. https://doi.org/10.1097/RLU.0000000000002606
  40. Kim JS. F-18 FDG PET/CT Imaging of Eccrine Sweat Gland Carcinoma of the Scrotum with Extensive Regional and Distant Metastases. Asia Ocean J Nucl Med Biol. 2017;5(2):104–8.
  41. Tripathy S, Prakash S, Angamathu M, Kumar A, Shamim SA. Scrotal Sac Metastasis in Adenocarcinoma Prostate: Findings on 68Ga-PSMA PET/CT. Clin Nucl Med. 2020;45(10):e451–e2. https://doi.org/10.1097/RLU.0000000000003103
  42. Qin J, Li W, Chen Y, Xing J. Primary urachal actinomycosis: A case report. Asian J Surg. 2019;42(6):721–2. https://doi.org/10.1016/j.asjsur.2019.02.010
  43. Nakajo M, Jinnouchi S, Arimura H, Kitajima S, Tateno R, Nakajo M. FDG PET/CT findings of urachal abscess. Clin Nucl Med. 2008;33(8):579–81. https://doi.org/10.1097/RLU.0b013e31817dead5
  44. Das JP, Vargas HA, Ghafoor S, Goh AC, Ulaner GA. Clinical Utility of (18)F-FDG PET/CT for Staging and Treatment Planning in Urachal Adenocarcinoma. J Nucl Med. 2021;62(5):643–7. https://doi.org/10.2967/jnumed.120.251561