4

Molecular Imaging of Lung and Pleural Tumors

Thangalakshmi Sivathapandi1 Jaykanth Amalchandran2 Amol Takalkar1 Lance T. Hall1

1Nuclear Medicine and Molecular Imaging, Department of Radiology and Imaging Sciences, Emory University, Atlanta, Georgia, USA; 2Department of Nuclear Medicine and Molecular Imaging, Apollo Proton Cancer Center, Chennai, India

Abstract: The thorax has many important structures within, therefore a deep knowledge of its anatomy and developing a search pattern in thoracic imaging are critical in disease identification and characterization of disease. With the increase in clinical utilization of molecular imaging techniques, along with the continuous development of new radiopharmaceuticals, the role of molecular imaging and targeted radiotherapy of thoracic tumors is expanding. PET/CT and PET / MRI imaging play an imminent role in thoracic oncology such as pulmonary nodule evaluation, initial disease staging, therapy planning, response evaluation, and post treatment monitoring for disease recurrence. The purpose of this chapter is to give an overview of the various clinical uses, advantages, pitfalls, and advancements in molecular imaging and therapy of lung and pleural tumors.

Keywords: lung cancer; molecular imaging; PET/CT; pleural tumor; pulmonary nodule

Author for correspondence: Thangalakshmi Sivathapandi, Nuclear Medicine and Molecular Imaging, Department of Radiology and Imaging Sciences, Emory University, Atlanta, Georgia, USA. Email: thangalakshmi.sivathapandi@emory.edu

Cite this chapter as: Sivathapandi T, Amalchandran J, Takalkar A, Hall1 LT. Molecular Imagining Lung and Pleural Tumors. In: Hall LT. editor. Molecular Imaging and Therapy. Brisbane (AU): Exon Publications. Online first 10 Jul 2023.

Doi: https://doi.org/10.36255/molecular-imaging-of-lung-and-pleural-tumors

In: Hall LT. editor. Molecular Imaging and Therapy. Brisbane (AU): Exon Publications. ISBN: 978-0-6458663-9-1. Doi: https://doi.org/10.36255/molecular-imaging

Copyright: The Authors.

License: This open access article is licensed under Creative Commons Attribution-NonCommercial 4.0 International (CC BY-NC 4.0) https://creativecommons.org/licenses/by-nc/4.0/

INTRODUCTION

Fluorodeoxyglucose positron emission tomography in combination with computed tomography (FDG PET/CT) plays a well-recognized role in oncology, especially in the evaluation and management of thoracic tumors (1). Lung cancer is the common fatal malignancy in men and women and more than 50% of primary lung cancer patients have metastasis at the time of diagnosis. Therefore, it is essential to stage and evaluate patients with lung cancer before starting appropriate therapy. Molecular imaging has various roles in the staging, treatment planning, response assessment, and restaging of lung tumors. The prompt and accurate characterization of solitary pulmonary nodules by imaging is mandatory, as it contributes approximately 20% of primary lung tumors (2, 3).

This chapter reviews the role of molecular imaging in the evaluation of solitary pulmonary nodules, lung cancers, and pleural tumors. It discusses in detail the utility of different radiopharmaceuticals, indications, advantages, and pitfalls of molecular imaging in the evaluation of these tumors. This chapter also provides information on non-FDG PET radiopharmaceuticals, advancements in imaging techniques such as artificial intelligence, and changes in response assessment, especially with immunotherapies, in thoracic tumor imaging.

MOLECULAR IMAGING OF SOLITARY PULMONARY NODULES

Solitary pulmonary nodules (SPNs) are common clinical findings, often incidental, that may represent malignant disease in the lung. SPNs are defined as single, well defined pulmonary nodules with a diameter less than 3 cm and surrounded by normal lung tissue that is not associated with atelectasis or adenopathy (4).

The detection of SPNs is rapidly increasing mainly due to the increased use of multidetector computed tomography (MDCT) and low-dose chest computed tomography (LDCT) screening protocols (2). It is important to characterize these nodules as benign or malignant, as 96% of the nodules detected on LDCT are nonmalignant and further evaluation of these nodules can add to the cost, and procedure-related complications. The average risk of malignancy for nodules greater than 3 mm is 3% (3, 4). Chest CT, 18F- fluorodeoxyglucose positron emission tomography – computed tomography (18F-FDG PET/CT), or tissue sampling are acceptable to investigate solitary pulmonary nodules (5).

Contrast enhancement CT and 18F-FDG PET/CT are the two preferred noninvasive techniques used to characterize indeterminate SPNs. In nodule-enhancing CT lesions that have enhancement greater than 15 Hounsfield units (HU) from the unenhanced level to the peak contrast-enhancement are considered ‘likely malignant’, whereas those nodules that have enhancement less than 15 HU are considered ‘likely benign’. A recent multicenter CT analysis of nodule enhancement using these criteria showed a sensitivity of 98% and a specificity of 58% (6).

Role of 18F-FDG PET/CT

18F-FDG PET/CT has been widely studied for its use in the accurate characterization of SPNs because it localizes to the lesion proportionate to its metabolic activity. An example of an FDG avid SPN is shown in Figure 1. Solitary pulmonary nodules in PET/CT are analyzed qualitatively and quantitatively. Qualitatively, metabolic activity in the SPN is visually compared with the activity of the mediastinal blood pool; SNPs with metabolic activity greater than the mediastinal blood pool are likely malignant. For quantitative assessment, a standardized uptake value (SUV) can be used and SUV greater than 2.5 defines the SPNs as malignant with a relatively high degree of sensitivity and specificity (7). However, this 2.5 threshold is arbitrary as newer PET scanners generally provide higher uptake values than older machines. Additionally, the SUV is underestimated for small nodules due to the partial-volume effect, and for lower lung nodules near the diaphragm due to respiratory motion. Furthermore, in the past, when FDG PET imaging was a new modality, the 2.5 threshold was used, although it has been proven to be suboptimal subsequently, as low-grade malignancies can have low SUVs and active infectious/inflammatory etiologies can have high SUVs. However, SUV on 18F-FDG PET/CT correlates well with Ki-67 (a marker of cell proliferation) and the intensity of FDG uptake/SUV has a correlation with grade and aggressiveness of the lesion and consequently prognostic significance. Using these criteria, recent studies have shown a sensitivity of 92–96% and a specificity of 77–90% using 18F-FDG PET/CT for detecting malignancy (8). A multicenter study by Lowe et al. showed sensitivities of 100% and 80%, and specificities of 74% and 95%, for visual and SUV analyses of SPNs, respectively (9). A recent meta-analysis of studies using 18F-FDG PET/CT for the evaluation of SPNs showed a sensitivity of 96.8% and a specificity of 77.8% (7).

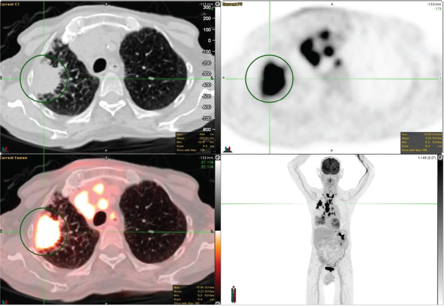
Fig 1

Figure 1. Right upper lung pulmonary nodule that was pathologically confirmed as invasive moderately differentiated adenocarcinoma. FDG PET/CT images include axial CT (top left panel), axial PET (top right panel), fused axial PET/CT (bottom left panel), and maximum intensity projection (MIP) PET image (bottom right panel). In the green circle, there is a right upper lobe pulmonary nodule on CT with intense FDG uptake on PET. There was additional mild to moderately FDG-avid lymph nodes (not on the included PET/CT images and faintly seen on the MIP image) that were suspicious for metastatic disease.

18F-FDG PET/CT is used as an adjunctive imaging modality for nodules measuring more than 8 mm (5). PET should be included in a global strategy for characterizing SPNs that considers not only their size, doubling time, morphology, and density, but also the clinical likelihood of malignancy.

Qualitative interpretation of 18F-FDG PET/CT through a comparison of SPN and metabolic activity of the mediastinal blood pool provides the best balance of sensitivity and specificity for the accurate diagnosis of malignant nodules. SUV analysis can then be reserved for those patients in whom the qualitative interpretation is equivocal. Nodules with greater metabolic activity than the mediastinal blood pool are likely malignant and should undergo further invasive resection or biopsy. SPNs that have activity less than the mediastinal blood pool are likely benign, but due to imperfect sensitivity, these nodules should be examined with serial radiologic imaging for further workup of malignant conditions. Sometimes, the attenuation-corrected images used in modern hybrid PET-CT machines can result in an underestimation of the positron counts in peripheral tissue and low-density regions, especially in lung tissue, and prevent the proper visualization of small nodules. Hence, it may be helpful to view both attenuation-corrected and nonattenuation-corrected images.

18F-FDG PET/CT demonstrates excellent performance in classifying SPNs as benign or malignant. Combining anatomical and metabolic imaging is synergistic by maintaining the sensitivity of CT and the specificity of PET, resulting in an overall significantly improved accuracy. 18F-FDG PET/CT can ultimately lead to considerable cost savings by reducing the number of biopsies and surgical interventions. Not all patients can undergo biopsy due to comorbidities or not being a surgical candidate or inaccessible to bronchoscopy. In such a scenario, radiation oncologists may prefer to treat lesions based on PET findings and clinical evaluation without biopsy confirmation. Furthermore, a pulmonary nodule in a patient with a known primary malignancy could represent a metastatic nodule of that primary malignancy, as shown in Figure 2.

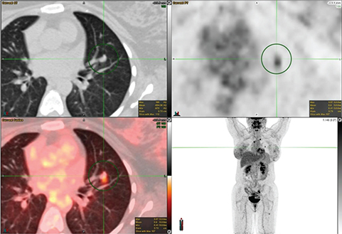
Fig 2

Figure 2. Breast cancer with metastatic pulmonary nodules. FDG PET/CT images include axial CT (top left panel), axial PET (top right panel), fused axial PET/CT (bottom left panel), and PET image with maximum intensity projection (MIP) (bottom right panel). In the green circle, there is a small sub-centimeter left upper lobe pulmonary nodule with mildly increased FDG uptake (SUV max of 3.7) above the background of the mediastinal blood pool. There were additional sites of FDG-avid pulmonary nodules and breast nodules (not included on the PET/CT images though some can be seen on the MIP image) that were most suspicious of metastatic disease.

Pitfalls of 18F FDG PET/CT in the assessment of SPNs

18F- FDG PET/CT can show false negative findings mainly because of the size of the nodules, and also due to the resolution of the camera (10). 18F-FDG PET/CT can also have false negative findings in malignant lesions with low metabolic activity, as seen in low-grade neoplasms such as lepidic adenocarcinoma and typical carcinoid (11). 18F-FDG PET/CT can have false positive findings in infection and inflammation. Histoplasmosis, sarcoidosis, foreign body reaction to talc, caseating granuloma, and nonspecific benign abnormalities in the resection margin are examples that can result in false positive studies. However, these false negative and false positive nodules could be mitigated by correlating imaging findings with other important clinical parameters such as history, physical examination, risk factors, and laboratory studies.

Moreover, the uptake level and SUV measurement in the small nodules is affected by its location, partial volume effect, and respiratory blurring (12). SUV max is underestimated in small nodules, as the spatial resolution of a modern scanner is not suitable to evaluate nodules with a diameter less than approximately 0.7 cm (13). Another concern is that 18F-FDG PET/CT may detect additional findings of little clinical significance and addressing these findings can further increase the cost of care.

Delayed imaging

To overcome false positive and false negative findings in the analysis of SPNs using 18F-FDG PET/CT, dual time point imaging could be used as an adjunct to the regular protocol; however, its diagnostic value is still debatable. A meta-analyses conducted in 2012 concluded that the overall diagnostic accuracy was similar for single and dual time point scans (14) .

Other radiopharmaceuticals

18F-fluorothymidine (FLT) is a thymidine analog. The level of FLT uptake is an indicator of the tumor proliferation rate. In a small series of patients who underwent PET, the specificity of FLT was found to be greater than that of FDG, but its use led to a decrease in sensitivity and a higher false negative rate (15). Other molecular imaging agents of potential interest are 18F-fluorodihydroxyphenylalanine (FDOPA) and various somatostatin analogs such as 68Ga-DOTATOC and 68Ga-DOTANOC for neuroendocrine tumors, fluor-estradiol (FES), and prostate membrane specific agents (PSMA) for specific situations (16).

Respiratory gating

To minimize the ‘volume dilution’ or ‘partial volume’ effect, various respiratory gating techniques have been developed to synchronize PET data acquisition and breathing cycles. These have provided encouraging results mainly for lower lung nodules near the diaphragm. There are many different gating modalities. However, gating is associated with several disadvantages. For example, in addition to its high cost, it also extends scan time and therefore increases the likelihood of patient movement (17).

SPN calculator

There are online SPN calculators available that also include parameters to predict the risk of malignancy. The combination of visually interpreted 18F-FDG PET/CT scans and clinical pre-test factors appear to yield the best accuracy.

MOLECULAR IMAGING OF LUNG CANCER

Lung cancer continues to be the leading cause of cancer death worldwide (18). In 2021, an estimated total of 235,760 new cases of lung cancer were diagnosed. These incident cases place lung cancer as the second most common cancer (excluding non-melanoma skin cancers) in males and females (19).

Lung cancers are traditionally divided into non–small cell lung carcinoma (NSCLC) and small cell carcinoma (small cell lung carcinoma, SCLC), with the former accounting for 80% of the cases and the latter accounting for the remaining 20%. The introduction of immunohistochemistry and molecular markers in the classification of lung cancer has led to a more precise pathologic and genetic classification, allowing for better therapeutic strategies. For convenience, lung tumors could be broadly classified as neuroendocrine and non-neuroendocrine tumors (Table 1).

TABLE 1 Classification of lung tumors

Non-neuroendocrine Neuroendocrine
  1. Adenocarcinoma and its variants

    - Lepidic

    - Acinar

    - Papillary

    - Invasive mucinous, etc.

  2. Squamous cell carcinoma

  3. Miscellaneous

    - Spindle cell carcinoma

    - Carcinosarcoma

  1. Neuroendocrine tumors

    - Typical carcinoid

    - Atypical carcinoid

  2. Neuroendocrine carcinoma

    - Small cell neuroendocrine carcinoma

    - Large cell neuroendocrine carcinoma

Heterogeneity in FDG avidity of lung cancer subtypes

The FDG avidity of lung cancer is mainly dependent on two factors: tumor size, and histology. For nodules greater than 8 mm, 18F-FDG PET/CT has a high negative predictive value in excluding malignancy (20). Squamous cell carcinoma tends to have a higher uptake as shown in Figure 3. Low-grade adenocarcinoma, mucinous adenocarcinoma, colloid carcinoma, and typical carcinoid can have very low FDG avidity. Bronchoalveolar carcinoma (BAC), a well-differentiated subtype tends to have peak SUV (1.5 ± 0.2) lower than all other non-BAC adenocarcinomas (SUV, 3 ±1.5). False positive FDG uptake can be seen in infectious and inflammatory lesions.

Fig 3

Figure 3. Right upper lung mass that was pathologically confirmed as squamous cell carcinoma. FDG PET/CT images include axial CT (top left panel), axial PET (top right panel), fused axial PET/CT (bottom left panel), and maximum intensity projection (MIP) PET image (bottom right panel). In the green circle, there is a lobulated and spiculated right upper lobe mass on CT with intense FDG uptake on PET.

Staging

Accurate staging of lung cancer is mandatory after the diagnosis for appropriate patient management. Many guidelines such as the National Comprehensive Cancer Network (NCCN), the ESMO Clinical Practice Guidelines, the American College of Radiology Appropriateness Criteria, the guidelines of the Society of Nuclear Medicine and Molecular Imaging, and the guidelines of the American College of Chest Physicians recommend 18F-FDG PET/CT for evaluation of patients with stage I to stage IV NSCLC (2124). For the staging of NSCLC, the most standardized and recognized system is the TNM system, where T denotes the size of the primary tumor, its location and level of invasion; N indicates the status of regional lymph nodes; and M refers to the presence or absence of more distal metastases (25). FDG PET/CT plays a vital role in the staging of T, N, and M of lung cancer and an example of FDG avid primary and metastatic tumors is shown in Figure 4.

Fig 4

Figure 4. Right upper lobe lung mass that was pathologically confirmed as poorly differentiated non-small cell lung cancer. FDG PET/CT images include axial CT (top left panel), axial PET (top right panel), fused axial PET/CT (bottom left panel), and maximum intensity projection (MIP) PET image (bottom right panel). In the green circle, there is a spiculated pleural based right upper lobe mass with surrounding interlobular septal thickening on CT with intense FDG uptake on PET. There are additional FDG-avid metastatic foci within the lungs and mediastinal lymph nodes.

T staging

For T staging, 18F-FDG PET/CT has limited added diagnostic value as all patients probably had contrast-enhanced CT for initial staging, which provides better anatomic lesion characterization.

N staging

The detection of hilar and/or mediastinal lymph node involvement is an important determinant of prognosis in patients with NSCLC, especially when there is no distant metastasis. Lymph nodes measuring more than 1 cm in the short axis or nodes with FDG uptake greater than the mediastinal blood pool are considered pathological. As infectious and inflammatory lymph nodes could have false-positive enlargement or false-positive uptake of FDG, NCCN guidelines recommend pathologic evaluation of abnormal nodes on CT and/or PET/CT.

M staging

Distant metastases (M1) occur in 11%–36% of patients with NSCLC, with common sites including the adrenal glands, liver, brain, bones, and abdominal lymph nodes. 18F-FDG PET/CT plays a vital role in the detection of distant metastases that are not well appreciated on conventional anatomic imaging modalities (26, 27). Detection of such findings can lead to a more precise staging of the disease and can have an impact on treatment planning. Studies have shown that whole body 18F-FDG PET/CT done before staring the appropriate treatment had altered the therapeutic management in up to 41% of lung cancer patients (28). 18F-FDG PET/CT altered the staging, mostly upstaging, in almost 50% of patients who were being considered for surgical intervention (29) and thus it could lead to less aggressive therapy and decrease the ‘futile thoracotomy rate’ (30).

Pleural metastases

Studies have reported high sensitivity with acceptable specificity for 18F-FDG PET/CT detection of pleural metastases if pleural FDG avidity exceeds mediastinal background uptake. A false-positive uptake can occur under conditions that cause inflammation, such as infection or pleurodesis. A nodular pleural thickening or involvement of the adjacent chest wall on a CT scan are often indicative of pleural metastasis (31).

Bone metastases

PET / CT scan is more sensitive and specific than bone scan for detecting bone marrow metastases, with a high positive predictive value. 18F-FDG PET/CT scan can detect abnormal metabolic activity in metastatic lesions before structural imaging can detect changes in morphology. In NSCLC, focal FDG uptake in the bone marrow without lytic or sclerotic changes on CT has a 61% probability of metastatic disease. According to NCCN guidelines, routine bone scans are not recommended for the staging of NSCLC (32).

Adrenal metastases

18F-FDG PET/CT exhibited good sensitivity and specificity in assessing adrenal masses in patients with lung cancer. Metastases that involve bleeding, necrosis, or lesions less than 1 cm in diameter may have a false negative result with lack of significant FDG uptake. False positive FDG uptake may be detected in infections such as tuberculosis, adrenal hyperplasia, and adrenal adenoma. If this is the only suspected metastatic site, a tissue diagnosis is recommended. In CT, regions of interest (ROI) that encompass two-thirds of the circumference of the adrenal gland and CT attenuation values below 10 Hounsfield units (HU) are highly specific for adenomas (33).

Brain metastases

18F-FDG PET/CT can be useful in detecting brain metastases, however there is a decrease in sensitivity due to the high physiological background 18F-FDG uptake of normal brain parenchyma. While some report that 18F-FDG-PET appears to provide no new information on the existence of metastatic disease in the brain compared to other imaging techniques such as MRI (34) it can be very useful in detecting unsuspected brain metastases when other modalities such as MRI are not available. Currently, the standard of care for all patients with clinical stage IB is to assess the brain using a dedicated MRI of the brain.

18F FDG PET/CT staging of SCLC

Small cell lung cancer (SCLC), an aggressive neuroendocrine tumor of the lungs with early metastases, often shows intense FDG avidity. SCLC is basically classified into two types as limited-stage disease and extensive stage, and it is very important to stage them appropriately for selecting therapy for each category. In general, radiation therapy is preferred for limited disease, and systemic therapy is preferred for extensive disease. A meta-analysis found that 18F-FDG PET/CT upstaged the disease with a change in management in approximately 15% of cases (35). NCCN guidelines and ACR appropriateness criteria suggest staging with 18F-FDG PET/CT for patients considered for curative intent therapy with limited stage disease (36).

Monitoring response to therapy

The treatment of NSCLC is multidisciplinary in nature, involving surgery, radiation therapy, and systemic therapy. Imaging can play an important role in predicting the outcome of treatment regimens (37). There are many limitations of using anatomic imaging alone for response assessment, especially in the setting of radiotherapy and novel immunotherapies. In post radiotherapy patients, pulmonary atelectasis, radiation-induced fibrosis, and inflammatory changes related to radiation pneumonitis may conceal primary tumor sites and give difficulty in evaluating response assessment. Even in the presence of a reduction in tumor size with CT alone, it is difficult to accurately assess the response to treatment. Studies have shown that CT is suboptimal in restaging the mediastinum after therapy (38). 18F-FDG PET/CT has a clear and well-defined role in monitoring treatment response. 18F-FDG PET/CT can assess both the anatomical and metabolic component of tumor response in a single study. By using metabolic criteria to assess treatment response, 18F-FDG PET/CT can help differentiate tumor from scarring. Metabolic changes in the tumor after therapy precede anatomical changes on CT, especially in lung tumor volume, which again favors 18F-FDG PET/CT as the imaging modality for the evaluation of response in lung tumors. Studies have shown that 18F-FDG PET/CT is more sensitive and specific in the evaluation of residual malignant disease or recurrence after intervention (39).

Timing of post-treatment 18F-FDG PET/CT

The ideal time to obtain an 18F-FDG PET/CT in the post-treatment setting is variable and depends on several factors, especially the type of therapy used for treatment. For chemotherapy, obtaining a PET/CT 1-2 weeks after the completion of chemotherapy may be adequate for metabolic evaluation, with the best results occurring 3-4 weeks after the initiation of treatment. However, the ideal time to obtain an 18F-FDG PET/CT after radiotherapy is less straightforward, although generally at least a 6-12-week interval after the completion of radiotherapy is recommended to allow radiation-related inflammation to subside (39). The timing may vary for different molecular imaging agents.

Response assessment criteria

Imaging treatment response assessment in oncology can be assessed with qualitative or quantitative/semiquantitative methods. Validated qualitative criteria for the evaluation of lung cancer response are the Hopkins criteria, Mac Mannus score, Deauville score, and Kremer score. Quantitative criteria used are RECIST1.1, PERCIST1.0 and EORTC. Although maximum standardized uptake value corrected for body weight (SUVmax) is the most used metabolic quantitative measurement for assessing tumor burden and treatment response, change in SUV peak, metabolic tumor volumes (MTV) and tumor lesion glycolysis have been found to be powerful predictors of response to chemotherapy in prospective trials (40). 18F-FDG PET/CT also helps in predicting the prognosis along with assessing treatment response. It has been observed that patients who achieve complete resolution of metabolic activity after treatment likely have a good prognosis in comparison with those with residual metabolic activity after completion of treatment (25).

Challenges of immunotherapy

New emerging response patterns such as pseudo progression, hyper progression, and durable response cannot always be properly categorized using traditional response criteria. Therefore, new response criteria specific to immunotherapy, both anatomical and metabolic, have been proposed. Traditional metrics such as SUV and tumor size are not always adequate in metabolic imaging with 18F-FDG PET / CT due to the therapeutic effect of immunotherapy. PECRIT, PERCIMT, imPERCIST, and iPERCIST are a few of the immunotherapy response assessment criteria. The RECIST working group created a modified criteria known as iRECIST to assess tumor response to immunotherapy regimens. Using FDG PET/CT scans taken at baseline and eight weeks after the start of immunotherapy, iPERCIST combines aspects from the iRECIST and PERCIST criteria. Patients identified as responders showed considerably superior survival than nonresponders using the iPERSIST criteria (90% survival vs 11% at 1 year), with SULpeak serving as the primary FDG indicator (41). One of the main issues of checkpoint inhibitors is inflammatory responses due to the recruitment of neutrophils and macrophages, which in turn activate T lymphocytes at the tumor site. As a result, 18F-FDG PET/CT cannot be regarded as a specific imaging modality. Recent imaging techniques, such as Immuno-PET, which combine radioactive elements with monoclonal antibodies, may be helpful in determining the response assessment in these cases (42).

18F-FDG PET/CT plays a role in the diagnosis of immunotherapy-related inflammatory side effects. As some of the adverse effects are easily identifiable by CT (such as pneumonitis and colitis) and others by PET, it is crucial to emphasize the significance of combined hybrid imaging in the detection of these adverse effects (i.e., hypophysitis, thyroiditis, and diffuse pancreatitis). Additionally, accurate documentation of these findings in 18F-FDG-PET/CT reports is crucial because the patients may be asymptomatic in the initial phases of inflammation (43).

Role in follow-up and surveillance

Routine surveillance PET scans are not recommended in the long-term follow-up of patients treated with definitive therapy for NSCLC (23). However, 18F-FDG PET/CT could be useful in identifying true malignant relapse and offering prognostic information. When possible, pathological examination should be used to confirm PET-positive regions because benign diseases like inflammation and fibrosis can show hypermetabolic activity. In the context of previous stereotactic body radiation therapy (SBRT), higher SUVs on scans obtained more than 6 months after treatment have been shown to be associated with a higher local recurrence rate (44).

Challenges and pitfalls

Although 18F-FDG PET/CT has been shown to be useful in the evaluation of lung cancer, it has certain limitations. Inflammatory lung pathologies can produce false positive results. Despite the proven usefulness of 18F-FDG PET/CT in determining therapeutic response, caution must be exercised when measuring uptake during or immediately after treatment. Radiation therapy has been shown to trigger inflammatory reactions that are extremely FDG avid. Increased 18F-FDG PET/CT activity can be seen at tumor locations even after successful treatment for many weeks after chemotherapy and for several months after radiation.

Although rare, false negative 18F-FDG PET/CT results are also possible. PET sensitivity of PET is diminished in small lesions. According to a phantom investigation, nodules smaller than 0.7 cm in diameter are unlikely to be identified due to respiratory movements during imaging or partial volume effects caused by the scan’s poor resolution (45). False negative 18F-FDG PET/CT results have also been demonstrated in individuals with high serum glucose levels and low-metabolism neoplasms, including primary lung carcinoids and bronchoalveolar cell carcinomas (46).

One of the drawbacks of SUVmax in response evaluation is that it does not take into account the anatomical distribution of metabolic activity. Furthermore, studies have shown that the SUVmax cutoff value used to distinguish between favorable and unfavorable prognosis is quite wide, ranging from 2.4 to 20 due to different factors, such as uptake time, patient obesity, blood glucose level, image noise, and technical issues (47).

Role of PET/MRI in lung cancer imaging

High soft tissue contrast and the ability to multiparametric tissue characterization through diffusion-weighted and dynamic contrast-enhanced sequences make MRI an attractive tool for whole-body cancer staging. Based on the known discrepancies between CT and MRI, it is believed that small lung nodules may be more difficult to see on PET/MRI than on PET / CT.

Compared to PET/CT, PET/MRI did not offer any improvements in the T and N-staging of lung cancer. The detection sensitivity of FDG-avid lung nodules and nodules larger than 10 mm was equivalent on PET / MRI and PET/CT, whereas PET/CT had a greater detection rate of non-FDG-avid lung nodules smaller than 5 mm. PET/MRI still has a lower overall detection rate for lung nodules in various types of cancer than PET/CT (48). On the other hand, lung cancer has a propensity to spread to the brain, adrenal glands, and bone marrow, where MRI can find metastases that PET/CT miss and is more accurate than CT. Furthermore, MRI has an advantage over CT in terms of reduced exposure to ionizing radiation, especially when repeat exams are necessary for patient management. With the development of faster and newer sequences that provide whole body imaging, as well as functional imaging sequences such as magnetic resonance spectroscopy (MRS), perfusion-weighted imaging (PWI) and diffusion-weighted imaging (DWI), MRI has also advanced in its ability to characterize disease. In terms of tumor definition and characterization, combined PET/MRI may be especially helpful for planning radiation treatment. Using diffusion-weighted imaging during PET/MRI may boost diagnostic confidence in the ability to distinguish recurrent disease from post-treatment changes (48).

Novel PET radiopharmaceuticals in lung cancers

The preferred imaging modality for the staging and planning of lung cancer is 18F-FDG PET/CT. However, the diagnostic performance of 18F-FDG can be limited in some patients in distinguishing between inflammatory and malignant lesions and evaluating tumor uptake in organs with high physiological uptake of FDG. Therefore, the need for additional radiopharmaceuticals with more specific uptake in malignant cells is desirable. Various molecular imaging agents are being evaluated to assess the management of lung cancer (40, 4951) (Table 2). These molecular imaging agents may provide additional biological details about tumors and metastases, representing a significant step towards individualized cancer diagnosis and treatment.

TABLE 2 Molecular imaging agents in lung cancer

Target Molecular Imaging Agents Advantages
Metabolism [18F]fluoropropyl-L-glutamate For diagnostic use; similar to F18 FDG (40)
Proliferation Thymidine analogue High specificity, especially useful in relapse evaluation
[18F]FLT PET/CT
Amino acid analogue Has high specificity, role in prognostic assessment
D-[18F]Fluoromethyltyrosine (D-FMT)
[F18F-alpha-methyltyrosine (FAMT)
Choline Useful in targeting localized radiotherapy
Cholinefluoromethyl-(1,2-2H4)-choline(D4-FCH)
Angiogenesis RGD-based agents labelled with 68Ga or 18F Has high specificity for lymph nodes (49);
Helpful in selecting patients for antiangiogenic treatment
Hypoxia [18F]Fluoromisonidazole (FMISO) Useful for assessing prognosis as high uptake is associated with poor prognosis (50); being evaluated for use in RT planning
[18F]Fluoroazomycin arabinoside (FAZA)
Copper (II)-diacetyl-bis(A/4-methylthiosemicarbazone) (ATSM)
Tumor Microenvironment [68Ga] Fibroblast activating protein inhibitor (FAPI) Has great diagnostic potential; faster imaging protocol compared to F18 FDG; normal organ uptake is lower; tumor uptake is equivalent to or higher (51)
[68Ga]Pentixafor Needs further research and investigation
Others Many treatment-specific tracers Potential to assess treatment response and histology

F18 FDG-PET/CT radiomics and artificial intelligence in lung cancer

Clinical evaluation of 18F-FDG PET/CT images is performed visually and semi-quantitatively. Still, some of the characteristics of the lesions and surrounding tissues adjacent to the lesions are not easily visible in images and are hard to estimate using the software in current use. Many research studies have investigated the utility of radiomics in various aspects of NSCLC. To create more precise predictive models, machine learning (ML) and artificial intelligence (AI) are used.

Artificial intelligence-assisted reconstructions are an extension of iterative reconstruction that applies noise reduction in post-processing to improve image quality. In addition to blur reduction and automatic image capture protocol customization based on patient anatomy, machine learning is also used in image acquisition to minimize noise and correct respiratory motion. Efforts are being made to develop an AI-Augmented Response Assessment system using a futuristic software product that merges a DICOM viewer (or plugs into an existing PACS product) and several unrelated machine learning technologies (52). Radiomics and AI are increasingly investigated in NSCLC in recent years to improve the diagnostic performance of F18 FDG-PET/CT in lung cancer for individualized disease management in different clinical scenarios, such as early diagnosis, staging, prognostication, noninvasive evaluation of biomarkers and response assessment.

In summary, F18-FDG PET/CT is a vital tool in the diagnosis, staging, and assessment of the therapeutic response in lung cancer. The advantages of F18-FDG PET over invasive and surgical lung cancer assessment and anatomic imaging modalities have already been shown to change the management plans of many lung cancer patients, despite its limitations. Rapid technological advancements in PET, such as the development of integrated PET/CT scanners and research with novel PET radiopharmaceuticals, will help keep PET at the forefront of lung cancer imaging in the future.

PLEURAL TUMORS

Mesothelioma is the most common primary tumor of the pleura. The median survival time for malignant pleural mesothelioma is typically less than 12 months in most series (53). Other pleural tumors are uncommon; less than 5% of pleural tumors are solitary fibrous tumors of the pleura (54). Both pleural lipoma and pleural liposarcoma are uncommon cancers. Intensity-modulated radiation, chemotherapy, surgical debulking or decortication, and immunotherapy are some of the multimodal therapeutic regimens used to treat malignant pleural diseases (55).

The use of 18F-FDG PET/CT is beneficial in the treatment of many solid human tumors because it can help determine whether a pleural lesion is benign or malignant, primary or metastatic, localized or disseminated, and can also help determine prognosis and evaluation of therapy (56)

Malignant pleural mesothelioma

Malignant mesothelioma is an invasive cancer and has a well-established link to asbestos exposure. Due to the nonspecific presenting symptoms and relative rarity of malignant mesothelioma compared to other conditions of the chest, it may take two to three months to make a diagnosis of malignant mesothelioma after the development of symptoms (most frequently dyspnea or chest wall pain) (57). Malignant pleural mesothelioma has three primary histologic subtypes: epithelioid, biphasic or mixed, and sarcomatoid (58). The clinical characteristics of various histological subtypes of malignant pleural mesothelioma vary. Compared to the epithelioid type, the non-epithelioid types have a worse prognosis (59). For adult symptomatic patients who are not eligible for surgery or as a supplement to surgery, current recommendations allow chemotherapy with pemetrexed and cisplatin. After diagnosis, the median survival time for those with malignant pleural mesothelioma is still 7 to 10 months (60).

Imaging of malignant pleural mesothelioma

Malignant pleural mesothelioma has a propensity to infiltrate locally along tissue planes, making imaging of the disease difficult. Initial abnormalities are frequently found by identifying a region of pleural thickening using imaging techniques such as chest radiography and CT. Additional benign lesions, such as pleural plaques, benign asbestos-related pleural effusions, and diffuse pleural thickening, may develop after previous asbestos exposure. The primary imaging method for malignant pleural mesothelioma has been contrast-enhanced chest CT, although it has limitations in terms of determining the extent of local invasion and separating benign from malignant soft tissue abnormalities. The soft tissue contrast resolution of MRI is preferable for determining the anatomic extent of the main tumor but may have limitations for detecting localized or distant metastases.

Due to their low sensitivity (normal-sized nodes can contain microscopic metastases) and low specificity (enlarged lymph nodes may be reactive), CT and MRI cannot be used to accurately determine lymph node staging (61). For effective care of malignant pleural mesothelioma, early diagnosis and thorough staging are essential. In a randomized experiment involving 43 patients with mesothelioma, those who received early therapy had better survival rates than those who had delayed treatment (62). Accurate staging and therapy response monitoring are crucial in selecting the treatment protocol given the development of novel treatments and multimodal treatment alternatives.

Role of FDG PET/CT in the imaging of malignant pleural mesothelioma

A unilateral circumferential or nearly circumferential pleural and fissural thickening with FDG avidity and SUV value more than 2.0-2.2 is a typical 18F-FDG PET/CT observation in malignant pleural mesothelioma (63). Using a SUV max cutoff value of 2.0, Bénard et al. (63) showed that benign from malignant diseases could be distinguished with a sensitivity of 91% and a specificity of 100%. Another study with 83 patients found that combined 18F-FDG PET/CT had 100% sensitivity, 94.8% specificity and 97.5% accuracy in detecting malignant disease, supported by histopathologic testing (64). The findings were confirmed by recent research of individuals exposed to asbestos, which showed that malignant benign pleural disease could be distinguished by 18F-FDG PET/CT with a sensitivity of 94% and specificity of 100% using an SUV cutoff value of 2.2 (65).

Staging of malignant pleura mesothelioma

When choosing patients for aggressive surgical procedures and multimodal therapy, staging is crucial. Imaging has played an essential role in detecting incurable disease and preventing unnecessary surgery. This includes determining if a tumor is T3 (resectable) or T4 (unresectable), as well as determining whether a N3 node or distant metastases are present. 18F-FDG PET/CT has been shown to be superior to other imaging modalities in the detection of metastases from malignant pleural mesothelioma (66). Patients who underwent extrapleural pneumonectomy in conjunction with adjuvant chemotherapy and radiation in a study by Sugarbaker et al. (67) had a significantly better prognosis than patients who underwent multimodal imaging with positive regional lymph nodes. A prospective trial by Erasmus et al. (68), 18F-FDG PET/CT identified locally progressed tumor and extrathoracic metastases not seen on conventional imaging, preventing surgery in 41% of patients. For the assessment of the categories T4 and N2/N3, PET/CT has likewise demonstrated superior accuracy over mediastinoscopy (69).

Therapy planning and response monitoring

The irregular morphology and asymmetric development pattern of malignant pleural mesotheliomas make it challenging to measure tumor burden on anatomic imaging, and 18F-FDG PET/CT is increasingly being used for therapy planning and response evaluation. Another useful tool for treatment planning and monitoring outcome in patients receiving radiation therapy is the FDG-avid tumor volume. In retrospective research by Pehlivan et al. (70), 12 of 13 patients exhibited a statistically significant decrease in mean gross tumor volume when the delineation was performed using a PET/CT scanner as opposed to a CT scanner. This led to significant reductions in both the planning target volume, which includes an additional margin to ensure that the desired dose can be delivered to the clinical target volume; the clinical target volume was equal to gross tumor volume plus a margin intended to treat subclinical or microscopic disease.

It has been shown that 18F-FDG PET/CT can identify therapeutic response before morphological changes are discernible on CT. Studies have revealed that, in contrast to CT evaluations showing stable illness, a decrease in PET uptake compared to pretreatment values suggests that chemotherapy has had an effect (71).

Solitary fibrous tumor of the pleura

Less than 5% of all pleural tumors are solitary fibrous tumors. These tumors are typically smooth, spherical, and occasionally pedunculated tumors that most frequently arise from the visceral pleura (72). These tumors often progress benignly, although they can develop malignant or sarcomatous degeneration.

Solitary fibrous tumors, unlike malignant pleural mesothelioma, have a similar prevalence in men and women and are not associated with asbestos exposure. The most frequent presentation is an incidental recognition of an asymptomatic mass. The preferred method of treating a malignant solitary fibrous tumor of the pleura is still surgical excision. In about 30% of cases, relapse can occur. Long-term survival is adversely affected by incomplete resection and malignant pleural effusion at diagnosis (73).

Imaging of solitary fibrous tumor of the pleura

The preferred test for a single pleural fibrous tumor is a thoracic CT. A solitary fibrous tumor’s CT findings depend on its size; smaller masses are frequently rounded, well-circumscribed, and homogenously enhanced following IV contrast injection. Larger tumors may exhibit heterogeneous enhancement and calcification in certain locations. There are no pathognomonic CT characteristics that indicate malignancy, despite the greater prevalence of low-attenuation regions within malignant solitary fibrous tumors. High resolution MRIs can highlight the fibrous nature of the lesion and help to distinguish the tumor from nearby structures. CT and MRI are equally effective in detecting a single pleural fibrous tumor (74).

The distinction between benign and malignant solitary fibrous tumors can affect how patients are managed since some centers utilize a policy of careful waiting for benign lesions. In distinguishing benign from malignant fibrous pleural illness, PET has demonstrated remarkable accuracy. Preoperative 18F-FDG PET/CT can also be utilized to locate distant metastases and schedule surgery.

Pleural lipoma or liposarcoma

Like other liposarcomas, pleural liposarcomas are formed from remnants of primitive mesenchymal tissue. Older males are more likely to develop primary pleural liposarcoma, and the myxoid histologic subtype is the most prevalent (75). To differentiate primary pleural sarcoma from mediastinal sarcomas or metastases from other sites, imaging is essential. When a liposarcoma invades nearby intercostal muscles, it may cause pain or soft tissue edema (72). A well-defined lobulated mass with irregular edges or diffuse fatty masses with scattered foci of soft tissue density are typical CT findings of liposarcoma; the degree of contrast enhancement heterogeneity increases with the amount of myxoid material (76). By showing the attenuation or signal properties of macroscopic fat, CT and MRI can both confirm this diagnosis.

Pleural metastases

The most common type of pleural cancer involves metastatic pleural involvement. Bronchogenic carcinoma (40%), breast cancer (20%), lymphoma (10%), and gastrointestinal and genitourinary malignancies are the most common underlying primary diseases (77). The preferred imaging technique for monitoring patients who have received treatment for lung cancer is CT. Both pleural effusion and dry pleural dissemination, such as tiny nodules along the costal, mediastinal, or diaphragmatic pleural surfaces and nodules or irregular thickening in fissures, are CT findings of pleural involvement of lung cancer. PET has been shown to have a sensitivity of 88–100% and a specificity of 67–94% for detecting malignant pleural effusion or other metastases in patients with NSCLC (78). When the contrast-enhanced CT finding is indeterminate, 18F-FDG-PET/CT has been shown to have sensitivity and specificity close to 100% in the diagnosis of pleural dissemination of lung adenocarcinoma (79).

Pitfalls of PET/CT pleural imaging

It is essential to be aware of the potential challenges associated with 18F-FDG PET/CT when evaluating pleural illness to prevent misdiagnosis. Pleural thickening can be seen in infectious pulmonary processes, including pneumonia and pleuritis, that have moderate to severe FDG avidity. Therefore, collecting clinical history that may point to an infection as well as previous imaging studies is vital. In individuals with lung cancer, pleural empyema has been documented as a false-positive mimic of pleural metastases. FDG uptake and pleural thickening may be related to inflammatory changes after talc pleurodesis, however, hyperdensity on CT scans suggests the cause (80). While FDG activity may continue or increase for several years after pleurodesis, CT changes of pleural thickening stabilize 5 months after pleurodesis (81). In addition to these difficulties, it can be challenging to distinguish malignancies with limited metabolic uptake, such as epithelial mesothelioma.

CONCLUSION

In addition to anatomical imaging of lung and pleural malignancies, 18F-FDG PET/CT provides special functional information. This approach has shown promise in helping to stage, monitor therapy response, and prognosis evaluation. 18F-FDG PET/CT has become increasingly important in the management of lung and pleural malignancies. Despite conflicting reports on the prognostic significance of SUV max, increasing evidence indicates the significance of volume-based PET parameters, such as metabolic tumor volume and total lesion glycolysis, in assessment of prognosis.

Conflict of Interest: The authors declare that they have no potential conflict of interest with respect to research, authorship, and / or publication of this chapter.

Copyright and Permission Statement: The authors confirm that the materials included in this chapter do not violate copyright laws. Where relevant, appropriate permissions have been obtained from the original copyright holder(s), and all original sources have been appropriately acknowledged or referenced. Where relevant, informed consent has been obtained from patients or their caregivers according to applicable national or institutional policies.

REFERENCES

  1. Grootjans W, de Geus-Oei LF, Meeuwis AP, van der Vos CS, Gotthardt M, Oyen WJ, et al. Amplitude-based optimal respiratory gating in positron emission tomography in patients with primary lung cancer. Eur Radiol. 2014;24(12):3242–50. https://doi.org/10.1007/s00330-014-3362-z
  2. Swensen SJ, Jett JR, Hartman TE, Midthun DE, Sloan JA, Sykes AM, et al. Lung cancer screening with CT: Mayo Clinic experience. Radiology. 2003;226(3):756–61. https://doi.org/10.1148/radiol.2263020036
  3. Soardi GA, Perandini S, Motton M, Montemezzi S. Assessing probability of malignancy in solid solitary pulmonary nodules with a new Bayesian calculator: improving diagnostic accuracy by means of expanded and updated features. Eur Radiol. 2015;25(1):155–62. https://doi.org/10.1007/s00330-014-3396-2
  4. Gould MK, Donington J, Lynch WR, Mazzone PJ, Midthun DE, Naidich DP, et al. Evaluation of individuals with pulmonary nodules: when is it lung cancer? Diagnosis and management of lung cancer, 3rd ed: American College of Chest Physicians evidence-based clinical practice guidelines. Chest. 2013;143(5 Suppl):e93S-e120S. https://doi.org/10.1378/chest.12–2351
  5. MacMahon H, Naidich DP, Goo JM, Lee KS, Leung ANC, Mayo JR, et al. Guidelines for Management of Incidental Pulmonary Nodules Detected on CT Images: From the Fleischner Society 2017. Radiology. 2017;284(1):228–43. https://doi.org/10.1148/radiol.2017161659
  6. Swensen SJ, Viggiano RW, Midthun DE, Muller NL, Sherrick A, Yamashita K, et al. Lung nodule enhancement at CT: multicenter study. Radiology. 2000;214(1):73–80. https://doi.org/10.1148/radiology.214.1.r00ja1473
  7. Gould MK, Maclean CC, Kuschner WG, Rydzak CE, Owens DK. Accuracy of positron emission tomography for diagnosis of pulmonary nodules and mass lesions: a meta-analysis. JAMA. 2001;285(7):914–24. https://doi.org/10.1001/jama.285.7.914
  8. Wahidi MM, Govert JA, Goudar RK, Gould MK, McCrory DC, American College of Chest P. Evidence for the treatment of patients with pulmonary nodules: when is it lung cancer?: ACCP evidence-based clinical practice guidelines (2nd edition). Chest. 2007;132(3 Suppl):94S-107S. https://doi.org/10.1378/chest.07-1352
  9. Lowe VJ, Fletcher JW, Gobar L, Lawson M, Kirchner P, Valk P, et al. Prospective investigation of positron emission tomography in lung nodules. J Clin Oncol. 1998;16(3):1075–84. https://doi.org/10.1200/JCO.1998.16.3.1075
  10. Marom EM, Sarvis S, Herndon JE, 2nd, Patz EF, Jr. T1 lung cancers: sensitivity of diagnosis with fluorodeoxyglucose PET. Radiology. 2002;223(2):453–9. https://doi.org/10.1148/radiol.2232011131
  11. Higashi K, Ueda Y, Seki H, Yuasa K, Oguchi M, Noguchi T, et al. Fluorine-18-FDG PET imaging is negative in bronchioloalveolar lung carcinoma. J Nucl Med. 1998;39(6):1016–20.
  12. Tan BB, Flaherty KR, Kazerooni EA, Iannettoni MD, American College of Chest P. The solitary pulmonary nodule. Chest. 2003;123(1 Suppl):89S-96S. https://doi.org/10.1378/chest.123.1_suppl.89S
  13. Kinahan PE, Fletcher JW. Positron emission tomography-computed tomography standardized uptake values in clinical practice and assessing response to therapy. Semin Ultrasound CT MR. 2010;31(6):496–505. https://doi.org/10.1053/j.sult.2010.10.001
  14. Lin YY, Chen JH, Ding HJ, Liang JA, Yeh JJ, Kao CH. Potential value of dual-time-point (1)(8)F-FDG PET compared with initial single-time-point imaging in differentiating malignant from benign pulmonary nodules: a systematic review and meta-analysis. Nucl Med Commun. 2012;33(10):1011–8. https://doi.org/10.1097/MNM.0b013e32835710d6
  15. Buck AK, Halter G, Schirrmeister H, Kotzerke J, Wurziger I, Glatting G, et al. Imaging proliferation in lung tumors with PET: 18F-FLT versus 18F-FDG. J Nucl Med. 2003;44(9):1426–31.
  16. Lococo F, Cesario A, Paci M, Filice A, Versari A, Rapicetta C, et al. PET/CT assessment of neuroendocrine tumors of the lung with special emphasis on bronchial carcinoids. Tumour Biol. 2014;35(9):8369–77. https://doi.org/10.1007/s13277-014-2102-y
  17. van Elmpt W, Hamill J, Jones J, De Ruysscher D, Lambin P, Ollers M. Optimal gating compared to 3D and 4D PET reconstruction for characterization of lung tumours. Eur J Nucl Med Mol Imaging. 2011;38(5):843–55. https://doi.org/10.1007/s00259-010-1716-6
  18. Collaborators GBDRTC. Global, regional, and national burden of respiratory tract cancers and associated risk factors from 1990 to 2019: a systematic analysis for the Global Burden of Disease Study 2019. Lancet Respir Med. 2021;9(9):1030–49. https://doi.org/10.1016/S2213-2600(21)00164-8
  19. Siegel RL, Miller KD, Fuchs HE, Jemal A. Cancer Statistics, 2021. CA Cancer J Clin. 2021;71(1):7–33. https://doi.org/10.3322/caac.21654
  20. Zukotynski KA, Gaudet VC, Uribe CF, Chiam K, Benard F, Gerbaudo VH. Clinical Applications of Artificial Intelligence in Positron Emission Tomography of Lung Cancer. PET Clin. 2022;17(1):77–84. https://doi.org/10.1016/j.cpet.2021.09.001
  21. Kandathil A, Kay FU, Butt YM, Wachsmann JW, Subramaniam RM. Role of FDG PET/CT in the Eighth Edition of TNM Staging of Non-Small Cell Lung Cancer. Radiographics. 2018;38(7):2134–49. https://doi.org/10.1148/rg.2018180060
  22. Ettinger DS, Wood DE, Aisner DL, Akerley W, Bauman JR, Bharat A, et al. NCCN Guidelines Insights: Non-Small Cell Lung Cancer, Version 2.2021. J Natl Compr Canc Netw. 2021;19(3):254–66.
  23. Postmus PE, Kerr KM, Oudkerk M, Senan S, Waller DA, Vansteenkiste J, et al. Early and locally advanced non-small-cell lung cancer (NSCLC): ESMO Clinical Practice Guidelines for diagnosis, treatment and follow-up. Ann Oncol. 2017;28(suppl_4):iv1-iv21. https://doi.org/10.1093/annonc/mdx222
  24. Expert Panel on Thoracic I, de Groot PM, Chung JH, Ackman JB, Berry MF, Carter BW, et al. ACR Appropriateness Criteria((R)) Noninvasive Clinical Staging of Primary Lung Cancer. J Am Coll Radiol. 2019;16(5S):S184–S95. https://doi.org/10.1016/j.jacr.2019.02.008
  25. Rohren EM, Lowe VJ. Update in PET imaging of nonsmall cell lung cancer. Semin Nucl Med. 2004;34(2):134–53. https://doi.org/10.1053/j.semnuclmed.2003.12.004
  26. Higashi K, Matsunari I, Ueda Y, Ikeda R, Guo J, Oguchi M, et al. Value of whole-body FDG PET in management of lung cancer. Ann Nucl Med. 2003;17(1):1–14. https://doi.org/10.1007/BF02988253
  27. Haberkorn U, Schoenberg SO. Imaging of lung cancer with CT, MRT and PET. Lung Cancer. 2001;34 Suppl 3:S13–23. https://doi.org/10.1016/S0169-5002(01)00369-5
  28. Mac Manus MP, Hicks RJ. PET scanning in lung cancer: current status and future directions. Semin Surg Oncol. 2003;21(3):149–55. https://doi.org/10.1002/ssu.10032
  29. Coleman RE. PET in lung cancer. J Nucl Med. 1999;40(5):814–20.
  30. van Tinteren H, Hoekstra OS, Smit EF, van den Bergh JH, Schreurs AJ, Stallaert RA, et al. Effectiveness of positron emission tomography in the preoperative assessment of patients with suspected non-small-cell lung cancer: the PLUS multicentre randomised trial. Lancet. 2002;359(9315):1388–93. https://doi.org/10.1016/S0140-6736(02)08352-6
  31. Li Y, Mu W, Li Y, Song X, Huang Y, Jiang L. Predicting the nature of pleural effusion in patients with lung adenocarcinoma based on (18)F-FDG PET/CT. EJNMMI Res. 2021;11(1):108. https://doi.org/10.1186/s13550-021-00850-2
  32. Taira AV, Herfkens RJ, Gambhir SS, Quon A. Detection of bone metastases: assessment of integrated FDG PET/CT imaging. Radiology. 2007;243(1):204–11. https://doi.org/10.1148/radiol.2431052104
  33. Akkus G, Guney IB, Ok F, Evran M, Izol V, Erdogan S, et al. Diagnostic efficacy of 18F-FDG PET/CT in patients with adrenal incidentaloma. Endocr Connect. 2019;8(7):838–45. https://doi.org/10.1530/EC-19-0204
  34. Palm I, Hellwig D, Leutz M, Rentz K, Hellwig A, Kirsch CM, et al. [Brain metastases of lung cancer: diagnostic accuracy of positron emission tomography with fluorodeoxyglucose (FDG-PET)]. Med Klin (Munich). 1999;94(4):224–7. https://doi.org/10.1007/BF03044859
  35. Gould MK, Kuschner WG, Rydzak CE, Maclean CC, Demas AN, Shigemitsu H, et al. Test performance of positron emission tomography and computed tomography for mediastinal staging in patients with non-small-cell lung cancer: a meta-analysis. Ann Intern Med. 2003;139(11):879–92. https://doi.org/10.7326/0003-4819-139-11-200311180-00013
  36. Martucci F, Pascale M, Valli MC, Pesce GA, Froesch P, Giovanella L, et al. Impact of (18)F-FDG PET/CT in Staging Patients With Small Cell Lung Cancer: A Systematic Review and Meta-Analysis. Front Med (Lausanne). 2019;6:336. https://doi.org/10.3389/fmed.2019.00336
  37. Erdi YE, Macapinlac H, Rosenzweig KE, Humm JL, Larson SM, Erdi AK, et al. Use of PET to monitor the response of lung cancer to radiation treatment. Eur J Nucl Med. 2000;27(7):861–6. https://doi.org/10.1007/s002590000258
  38. Stroobants S, Verschakelen J, Vansteenkiste J. Value of FDG-PET in the management of non-small cell lung cancer. Eur J Radiol. 2003;45(1):49–59. https://doi.org/10.1016/S0720-048X(02)00282-6
  39. Bury T, Corhay JL, Duysinx B, Daenen F, Ghaye B, Barthelemy N, et al. Value of FDG-PET in detecting residual or recurrent nonsmall cell lung cancer. Eur Respir J. 1999;14(6):1376–80. https://doi.org/10.1183/09031936.99.14613769
  40. Horn KP, Thomas HMT, Vesselle HJ, Kinahan PE, Miyaoka RS, Rengan R, et al. Reliability of Quantitative 18F-FDG PET/CT Imaging Biomarkers for Classifying Early Response to Chemoradiotherapy in Patients With Locally Advanced Non-Small Cell Lung Cancer. Clin Nucl Med. 2021;46(11):861–71. https://doi.org/10.1097/RLU.0000000000003774
  41. Goldfarb L, Duchemann B, Chouahnia K, Zelek L, Soussan M. Monitoring anti-PD-1-based immunotherapy in non-small cell lung cancer with FDG PET: introduction of iPERCIST. EJNMMI Res. 2019;9(1):8. https://doi.org/10.1186/s13550-019-0473-1
  42. Natarajan A, Mayer AT, Xu L, Reeves RE, Gano J, Gambhir SS. Novel Radiotracer for ImmunoPET Imaging of PD-1 Checkpoint Expression on Tumor Infiltrating Lymphocytes. Bioconjug Chem. 2015;26(10):2062–9. https://doi.org/10.1021/acs.bioconjchem.5b00318
  43. Prigent K, Aide N. (18)F-Fludeoxyglucose PET/Computed Tomography for Assessing Tumor Response to Immunotherapy and Detecting Immune-Related Side Effects: A Checklist for the PET Reader. PET Clin. 2020;15(1):1–10. https://doi.org/10.1016/j.cpet.2019.08.006
  44. Zhang X, Liu H, Balter P, Allen PK, Komaki R, Pan T, et al. Positron emission tomography for assessing local failure after stereotactic body radiotherapy for non-small-cell lung cancer. Int J Radiat Oncol Biol Phys. 2012;83(5):1558–65. https://doi.org/10.1016/j.ijrobp.2011.10.035
  45. Coleman RE, Laymon CM, Turkington TG. FDG imaging of lung nodules: a phantom study comparing SPECT, camera-based PET, and dedicated PET. Radiology. 1999;210(3):823–8. https://doi.org/10.1148/radiology.210.3.r99mr18823
  46. Hamblen SM, Lowe VJ. Clinical 18F-FDG oncology patient preparation techniques. J Nucl Med Technol. 2003;31(1):3–7; quiz 8–10.
  47. Na F, Wang J, Li C, Deng L, Xue J, Lu Y. Primary tumor standardized uptake value measured on F18-Fluorodeoxyglucose positron emission tomography is of prediction value for survival and local control in non-small-cell lung cancer receiving radiotherapy: meta-analysis. J Thorac Oncol. 2014;9(6):834–42. https://doi.org/10.1097/JTO.0000000000000185
  48. Dahlsgaard-Wallenius SE, Hildebrandt MG, Johansen A, Vilstrup MH, Petersen H, Gerke O, et al. Hybrid PET/MRI in non-small cell lung cancer (NSCLC) and lung nodules-a literature review. Eur J Nucl Med Mol Imaging. 2021;48(2):584–91. https://doi.org/10.1007/s00259-020-04955-z
  49. Zheng K, Liang N, Zhang J, Lang L, Zhang W, Li S, et al. 68Ga-NOTA-PRGD2 PET/CT for Integrin Imaging in Patients with Lung Cancer. J Nucl Med. 2015;56(12):1823–7. https://doi.org/10.2967/jnumed.115.160648
  50. Kinoshita T, Fujii H, Hayashi Y, Kamiyama I, Ohtsuka T, Asamura H. Prognostic significance of hypoxic PET using (18)F-FAZA and (62)Cu-ATSM in non-small-cell lung cancer. Lung Cancer. 2016;91:56–66. https://doi.org/10.1016/j.lungcan.2015.11.020
  51. Giesel FL, Kratochwil C, Schlittenhardt J, Dendl K, Eiber M, Staudinger F, et al. Head-to-head intra-individual comparison of biodistribution and tumor uptake of (68)Ga-FAPI and (18)F-FDG PET/CT in cancer patients. Eur J Nucl Med Mol Imaging. 2021;48(13):4377–85. https://doi.org/10.1007/s00259-021-05307-1
  52. Marcus C, Tajmir SH, Rowe SP, Sheikhbahaei S, Solnes LB. (18)F-FDG PET/CT for Response Assessment in Lung Cancer. Semin Nucl Med. 2022;52(6):662–72. https://doi.org/10.1053/j.semnuclmed.2022.04.001
  53. Steele JP, Klabatsa A, Fennell DA, Pallaska A, Sheaff MT, Evans MT, et al. Prognostic factors in mesothelioma. Lung Cancer. 2005;49 Suppl 1:S49–52. https://doi.org/10.1016/j.lungcan.2005.03.009
  54. Dalton WT, Zolliker AS, McCaughey WT, Jacques J, Kannerstein M. Localized primary tumors of the pleura: an analysis of 40 cases. Cancer. 1979;44(4):1465–75. https://doi.org/10.1002/1097-0142(197910)44:4<1465::AID-CNCR2820440441>3.0.CO;2-Y
  55. Sterman DH, Haas A, Moon E, Recio A, Schwed D, Vachani A, et al. A trial of intrapleural adenoviral-mediated Interferon-alpha2b gene transfer for malignant pleural mesothelioma. Am J Respir Crit Care Med. 2011;184(12):1395–9. https://doi.org/10.1164/rccm.201103-0554CR
  56. Wilcox BE, Subramaniam RM, Peller PJ, Aughenbaugh GL, Nichols Iii FC, Aubry MC, et al. Utility of integrated computed tomography-positron emission tomography for selection of operable malignant pleural mesothelioma. Clin Lung Cancer. 2009;10(4):244–8. https://doi.org/10.3816/CLC.2009.n.033
  57. Bonomo L, Feragalli B, Sacco R, Merlino B, Storto ML. Malignant pleural disease. Eur J Radiol. 2000;34(2):98–118. https://doi.org/10.1016/S0720-048X(00)00168-6
  58. Makis W, Ciarallo A, Hickeson M, Rush C, Novales-Diaz JA, Derbekyan V, et al. Spectrum of malignant pleural and pericardial disease on FDG PET/CT. AJR Am J Roentgenol. 2012;198(3):678–85. https://doi.org/10.2214/AJR.11.7076
  59. Sugarbaker DJ, Flores RM, Jaklitsch MT, Richards WG, Strauss GM, Corson JM, et al. Resection margins, extrapleural nodal status, and cell type determine postoperative long-term survival in trimodality therapy of malignant pleural mesothelioma: results in 183 patients. J Thorac Cardiovasc Surg. 1999;117(1):54–63; discussion -5. https://doi.org/10.1016/S0022-5223(99)70469-1
  60. Muers MF, Stephens RJ, Fisher P, Darlison L, Higgs CM, Lowry E, et al. Active symptom control with or without chemotherapy in the treatment of patients with malignant pleural mesothelioma (MS01): a multicentre randomised trial. Lancet. 2008;371(9625):1685–94. https://doi.org/10.1016/S0140-6736(08)60727-8
  61. Knuuttila A, Halme M, Kivisaari L, Kivisaari A, Salo J, Mattson K. The clinical importance of magnetic resonance imaging versus computed tomography in malignant pleural mesothelioma. Lung Cancer. 1998;22(3):215–25. https://doi.org/10.1016/S0169-5002(98)00083-X
  62. O’Brien ME, Watkins D, Ryan C, Priest K, Corbishley C, Norton A, et al. A randomised trial in malignant mesothelioma (M) of early (E) versus delayed (D) chemotherapy in symptomatically stable patients: the MED trial. Ann Oncol. 2006;17(2):270–5. https://doi.org/10.1093/annonc/mdj073
  63. Benard F, Sterman D, Smith RJ, Kaiser LR, Albelda SM, Alavi A. Metabolic imaging of malignant pleural mesothelioma with fluorodeoxyglucose positron emission tomography. Chest. 1998;114(3):713–22. https://doi.org/10.1378/chest.114.3.713
  64. Orki A, Akin O, Tasci AE, Ciftci H, Urek S, Falay O, et al. The role of positron emission tomography/computed tomography in the diagnosis of pleural diseases. Thorac Cardiovasc Surg. 2009;57(4):217–21. https://doi.org/10.1055/s-2008-1039314
  65. Yildirim H, Metintas M, Entok E, Ak G, Ak I, Dundar E, et al. Clinical value of fluorodeoxyglucose-positron emission tomography/computed tomography in differentiation of malignant mesothelioma from asbestos-related benign pleural disease: an observational pilot study. J Thorac Oncol. 2009;4(12):1480–4. https://doi.org/10.1097/JTO.0b013e3181c0a7ff
  66. Gerbaudo VH, Sugarbaker DJ, Britz-Cunningham S, Di Carli MF, Mauceri C, Treves ST. Assessment of malignant pleural mesothelioma with (18)F-FDG dual-head gamma-camera coincidence imaging: comparison with histopathology. J Nucl Med. 2002;43(9):1144–9.
  67. Sugarbaker DJ, Strauss GM, Lynch TJ, Richards W, Mentzer SJ, Lee TH, et al. Node status has prognostic significance in the multimodality therapy of diffuse, malignant mesothelioma. J Clin Oncol. 1993;11(6):1172–8. https://doi.org/10.1200/JCO.1993.11.6.1172
  68. Erasmus JJ, Truong MT, Smythe WR, Munden RF, Marom EM, Rice DC, et al. Integrated computed tomography-positron emission tomography in patients with potentially resectable malignant pleural mesothelioma: Staging implications. J Thorac Cardiovasc Surg. 2005;129(6):1364–70. https://doi.org/10.1016/j.jtcvs.2004.10.034
  69. Sorensen JB, Ravn J, Loft A, Brenoe J, Berthelsen AK, Nordic Mesothelioma G. Preoperative staging of mesothelioma by 18F-fluoro-2-deoxy-D-glucose positron emission tomography/computed tomography fused imaging and mediastinoscopy compared to pathological findings after extrapleural pneumonectomy. Eur J Cardiothorac Surg. 2008;34(5):1090–6. https://doi.org/10.1016/j.ejcts.2008.07.050
  70. Pehlivan B, Topkan E, Onal C, Nursal GN, Yuksel O, Dolek Y, et al. Comparison of CT and integrated PET-CT based radiation therapy planning in patients with malignant pleural mesothelioma. Radiat Oncol. 2009;4:35. https://doi.org/10.1186/1748-717X-4-35
  71. Carretta A, Landoni C, Melloni G, Ceresoli GL, Compierchio A, Fazio F, et al. 18-FDG positron emission tomography in the evaluation of malignant pleural diseases - a pilot study. Eur J Cardiothorac Surg. 2000;17(4):377–83. https://doi.org/10.1016/S1010-7940(00)00377-8
  72. Ayres J, Gleeson F. Imaging of the pleura. Semin Respir Crit Care Med. 2010;31(6):674–88. https://doi.org/10.1055/s-0030-1269827
  73. Lococo F, Cesario A, Cardillo G, Filosso P, Galetta D, Carbone L, et al. Malignant solitary fibrous tumors of the pleura: retrospective review of a multicenter series. J Thorac Oncol. 2012;7(11):1698–706. https://doi.org/10.1097/JTO.0b013e3182653d64
  74. Song SW, Jung JI, Lee KY, Kim MY, Park SH. Malignant solitary fibrous tumor of the pleura: computed tomography-pathological correlation and comparison with computed tomography of benign solitary fibrous tumor of the pleura. Jpn J Radiol. 2010;28(8):602–8. https://doi.org/10.1007/s11604-010-0484-3
  75. Okby NT, Travis WD. Liposarcoma of the pleural cavity: clinical and pathologic features of 4 cases with a review of the literature. Arch Pathol Lab Med. 2000;124(5):699–703. https://doi.org/10.5858/2000-124-0699-LOTPC
  76. Hoshi M, Matsumoto S, Manabe J, Tanizawa T, Shigemitsu T, Koyanagi H, et al. Surgery for dedifferentiated liposarcoma, presenting two radiologically and pathologically distinctive patterns. Jpn J Clin Oncol. 2006;36(7):462–7. https://doi.org/10.1093/jjco/hyl073
  77. Qureshi NR, Gleeson FV. Imaging of pleural disease. Clin Chest Med. 2006;27(2):193–213. https://doi.org/10.1016/j.ccm.2006.02.001
  78. Gupta NC, Rogers JS, Graeber GM, Gregory JL, Waheed U, Mullet D, et al. Clinical role of F-18 fluorodeoxyglucose positron emission tomography imaging in patients with lung cancer and suspected malignant pleural effusion. Chest. 2002;122(6):1918–24. https://doi.org/10.1378/chest.122.6.1918
  79. Jung MY, Chong A, Seon HJ, Choi S, Kim YH, Shin SS, et al. Indeterminate pleural metastasis on contrast-enhanced chest CT in non-small cell lung cancer: improved differential diagnosis with (18)F-FDG PET/CT. Ann Nucl Med. 2012;26(4):327–36. https://doi.org/10.1007/s12149-012-0575-6
  80. Kwek BH, Aquino SL, Fischman AJ. Fluorodeoxyglucose positron emission tomography and CT after talc pleurodesis. Chest. 2004;125(6):2356–60. https://doi.org/10.1378/chest.125.6.2356
  81. Nguyen NC, Tran I, Hueser CN, Oliver D, Farghaly HR, Osman MM. F-18 FDG PET/CT characterization of talc pleurodesis-induced pleural changes over time: a retrospective study. Clin Nucl Med. 2009;34(12):886–90. https://doi.org/10.1097/RLU.0b013e3181bece11