1

Invasive Urothelial Carcinoma: Subtypes and Divergent Differentiation

Michelle R. Downes1,2

1Division of Anatomic Pathology, Precision Diagnostics & Therapeutics Program- Laboratory Medicine, Sunnybrook Health Sciences Centre, Toronto, ON, Canada; 2Laboratory Medicine and Pathobiology, University of Toronto, Toronto, ON, Canada

Abstract: Invasive urothelial carcinoma is the most frequent type of bladder cancer and may occur in pure or classical form or with the presence of variant or subtype histology and/or evidence of divergent morphology such as squamous, glandular, or trophoblastic differentiation. Increasingly, it is recognized that certain subtypes impact patient prognosis and outcome hence the need to correctly recognize and document their presence. Certain subtypes and divergent features correlate with the emerging molecular bladder cancer subtypes, which can also influence patient management decisions. The pathologist therefore plays a crucial role in providing clinically relevant information, mostly derived from hematoxylin and eosin slides, which will guide urologists and oncologists in terms of risk stratification and treatment planning.

Keywords: bladder cancer; divergent differentiation of urothelial carcinoma; invasive urothelial carcinoma; molecular classification of urothelial carcinoma; subtypes of urothelial carcinoma

Author for correspondence: Michelle R. Downes, Division of Anatomic Pathology, Precision Diagnostics & Therapeutics Program- Laboratory Medicine, Sunnybrook Health Sciences Centre, Toronto, ON, Canada. Email: michelle.downes@sunnybrook.ca

Cite this chapter as: Downes MR. Invasive Urothelial Carcinoma: Subtypes and Divergent Differentiation. In: Barber N and Ali A, editors. Urologic Cancers. Brisbane (AU): Exon Publications. ISBN: 978-0-6453320-5-6. Online first 02 May 2022.

Doi: https://doi.org/10.36255/exon-publications-urologic-cancers-urothelial-carcinoma

In: Barber N, Ali A (Editors). Urologic Cancers. Exon Publications, Brisbane, Australia. ISBN: 978-0-6453320-5-6. Doi: https://doi.org/10.36255/exon-publications-urologic-cancers

Copyright: The Authors.

License: This open access article is licenced under Creative Commons Attribution-NonCommercial 4.0 International (CC BY-NC 4.0) https://creativecommons.org/licenses/by-nc/4.0/

INTRODUCTION

Bladder cancer is worldwide, the ninth most common adult solid organ malignancy and the fifth most frequent in North America (1, 2). Overwhelmingly, it is a male predominant disease with males more frequently impacted than females in an approximate ratio of 4:1. Diagnosis often occurs in the seventh or eighth decade however can occur earlier including in the pediatric population. The most frequent histologic type of bladder cancer is urothelial carcinoma, not otherwise specified (NOS) which recapitulates the usual urothelial lining of the bladder, urethra and upper urinary tracts. This represents ~80–90% of all bladder cancers worldwide (3). Invasive urothelial carcinoma shows morphologic and molecular heterogeneity along with variability in patient outcome. It can exist in a pure or classical form or may have components of either subtype histology or divergent differentiation (Table 1).

TABLE 1 List of histologic subtypes (variants) and divergent differentiation with assigned molecular subtypes

Subtype Histology Proposed Molecular Subtype Prognosis
Micropapillary Luminal Poor
Plasmacytoid Luminal Poor
Nested Luminal or basal Variable
Microcystic Luminal or basal Good
Lymphoepithelioma-like Basal Good
Clear cell Luminal or basal -
Lipid rich Luminal -
Giant cell - -
Divergent Differentiation
Squamous Basal
Glandular Luminal
Trophoblastic -
Other
Neuroendocrine Neuronal Poor
Sarcomatoid Basal Poor
Poorly differentiated - Poor

Subtype (variant) histology and divergent differentiation are used inter-changeably by some authors, however they are two different processes. The term subtype is now preferred over variant given the use of the word “variant” in molecular terminology and the different implication that this carries. A subtype refers to specific histology features that are urothelial in appearance but have distinct architectural features (e.g., micropapillary or plasmacytoid growth pattern). These subtypes, also referred to as variants by some authors, retain expression of usual markers of urothelial differentiation (4). In contrast, divergent differentiation (also referred to as aberrant differentiation) is used when the histology is no longer urothelial but exhibits a different histogenesis such as squamous, glandular or trophoblastic. These components can also acquire markers of this new histogenesis. With increasing divergence, acquisition of sarcomatoid or neuroendocrine features may be seen. Both subtypes and divergent differentiation may be found within a single tumor.

MICROPAPILLARY UROTHELIAL CARCINOMA

This subtype is frequently admixed with either conventional urothelial carcinoma or another subtype. There is a male predominance of this subtype which often has co-existent carcinoma in situ. The diagnostic features are of small, cohesive nests of carcinoma that are present within an empty space or lacuna which can resemble lymphovascular space invasion. These clusters lack fibrovascular cores and show peripheral orientation of nuclei (Figure 1A). Cytologic atypia may be present and so called “ring forms” are characteristic-cells with cytoplasmic vacuoles with indented nuclei (Figure 1B). Interobserver reproducibility is moderate for diagnosis of this subtype (kappa: 0.54 among expert urologic pathologists) (5). This subtype expresses typical markers of urothelial differentiation (e.g., CK7, GATA-3, Uroplakin III along with p63 and pankeratin). CA125 may also be expressed and micropapillary subtype consistently shows higher rates of ERBB2 amplifications than conventional urothelial carcinoma (6, 7). Much interest exists in utilizing the Her-2 neu/ERBB2 status as a predictive biomarker however the discordance in Her-2 status by immunostaining and molecular analysis along with lack of urothelial specific reporting guidelines have made this challenging (8, 9). Micropapillary subtype is reported to be associated with poor prognosis (10, 11) and some clinicians will advocate for cystectomy when even a small component is identified (12) although this has been challenged in more recent literature (13).

Fig 1

Figure 1. Patterns of urothelial carcinoma. Panel 1A low power micropapillary urothelial carcinoma with 1B highlighting cytoplasmic vacuoles and ring forms. 1C shows solid pattern of plasmacytoid urothelial carcinoma with signet forms in 1D. Small nested subtype urothelial carcinoma is present in 1E and with 1F highlighting extension deep within lamina propria. Low power (1G) and high power (1H) of lymphoepithelioma-like subtype. 1I shows medium power of clear cell subtype of urothelial carcinoma.

PLASMACYTOID UROTHELIAL CARCINOMA

This aggressive subtype occurs with conventional urothelial carcinoma in ~50% of cases. It typically presents at an advanced stage with peritoneal spread and frequent positive margins after surgical resection (14, 15). Morphologically, the cells resemble plasma cells with eccentric nuclei and eosinophilic or clear cytoplasm (Figure 1C). Signet ring features with intra-cellular mucin are now recognized as a type of plasmacytoid carcinoma (Figure 1D) when they exist in the absence of extracellular mucin (signet ring cells with extracellular mucin are classified as adenocarcinoma in the bladder). Plasmacytoid carcinoma can grow in linear chains, as single cells or as a solid-sheet like pattern. While the cells are often cytologically bland, increasing atypia can be noted. The presence of a desmoplastic stromal response portends a worse prognosis (16). By immunohistochemistry, the cells express markers of urothelial lineage (e.g., CK7, GATA-3, Uroplakin III along with p63 and pankeratin) along with the plasma cell marker CD138 (17); however, MUM-1 is consistently negative. CDH1 mutations with loss of e-cadherin expression can be seen at a higher frequency than in conventional urothelial carcinoma (70% vs 11%) (18). Outcomes for this subtype are poor with frequent recurrences and lack of chemosensitivity (19, 20) and worse cancer specific mortality than conventional urothelial carcinoma (10).

NESTED UROTHELIAL CARCINOMA

This subtype is also known as a “deceptively bland variant/subtype” of urothelial carcinoma. It may occur as a small nested form (more common) or less frequently as a large nested morphology. The histologic features are of bland nests of urothelial cells (Figure 1E) that recapitulate von Brunn nests. Occasionally there are tubular forms present. There is frequently no atypia or mitotic activity in the superficial portion of these tumors (Figure 1F) with minimal atypia and occasional mitoses observed in the deeper aspects (21). This presents a challenge in superficial resection samples where the diagnosis may be overlooked. Invasion into muscularis propria is most helpful in reaching the correct diagnosis. The large nested subtype is infrequent and often presents with overlying papillary tumor which has an inverted component (22). Similar to other subtypes, both the small and large nested subtypes express typical urothelial markers. The identification of TERT promoter mutations are helpful in distinguishing this subtype from benign mimics (23). One small study to date found CTNNB1 and JAK3 mutations in nested subtype (24). The outcome for the nested urothelial carcinoma is often poor as it is frequently diagnosed late (25, 26) although when stage matched with conventional urothelial carcinoma, it does no worse (25, 26).

MICROCYSTIC UROTHELIAL CARCINOMA

Similar to the aforementioned nested variant, the microcystic subtype also belongs in the “deceptively bland variant/subtype” category and can be admixed with the nested subtype. The morphology of this subtype includes tubular structures along with macro- and microcysts. Typically the urothelial lining is bland and cuboidal but focal higher grade areas can be seen. The lumen may contain calcifications and secretions. Distinguishing microcystic from urothelial carcinoma with a glandular component may be challenging. Further pitfalls with this entity include misinterpretation as cystitis cystica et glandularis or a grade group 1 prostatic adenocarcinoma. This subtype expresses usual markers of urothelial lineage and also MUC5AC (21) and similar to nested subtype, identification of a TERT promoter mutation can be helpful in ruling out a benign lesion. The clinical outcome for these patients is often poor (27).

LYMPHOEPITHELIOMA-LIKE UROTHELIAL CARCINOMA

This subtype is so called as it morphologically resembles a lymphoepithelioma of the pharynx. It exhibits a male predominance and can occur as a pure form or admixed with conventional urothelial carcinoma. Unlike lymphepithelioma of the pharynx, no association with Epstein Barr virus has been reported (28, 29). The morphology consists of sheets or nests of large pleomorphic cells arranged in a syncytial manner with indistinct cell borders (Figure 1G). The nuclei are large with prominent nucleoli. An intense inflammatory infiltrate is present comprised of lymphocytes, histiocytes, plasma cells and polymorphs (Figure 1H). Occasionally the inflammation is neutrophil or eosinophil predominant. The differential diagnosis of this entity includes lymphoma and chronic inflammatory processes. The urothelial component expresses pankeratin (helpful to exclude a lymphoproliferative process), CK7, GATA-3 and p63. CK20 is usually negative (21, 29). This subtype exhibits intact mismatch repair expression and has high programmed death-ligand 1 expression (30). In pure form, lymphoepithelioma-like carcinoma is reported to have a good prognosis and response to platinum-based chemotherapy (31) but when co-occurring with conventional urothelial carcinoma, prognosis is determined by the conventional component (29).

CLEAR CELL (GLYCOGEN-RICH) UROTHELIAL CARCINOMA

This infrequent subtype consists of a carcinoma comprised mostly of cells with voluminous clear cytoplasm that resemble clear cell carcinomas of renal origin (Figure 1I). Similar to other subtypes it can exist with a conventional component. The clear appearance is due to cytoplasmic glycogen, which is sensitive to diastase digestion as part of a periodic-acid Schiff with diastase stain. This subtype stains for urothelial markers which helps in differentiation from clear cell adenocarcinomas and metastatic clear cell renal cell carcinomas. There is limited information on the prognostic impact of this subtype due to its rarity however some literature suggests it imparts a worse prognosis (32, 33).

LIPID-RICH UROTHELIAL CARCINOMA

This rare subtype of urothelial carcinoma shows lipid vacuoles which can indent the nucleus and impart a lipoblast-like appearance. The lipid-rich component typically constitutes up to half of the carcinoma. Immunohistochemical analysis demonstrates expression of urothelial markers and electron microscopy confirms the presence of lipid in the vacuoles (34). This subtype is associated with advanced stage and poor prognosis (34).

GIANT CELL UROTHELIAL CARCINOMA

This is another rare subtype that is highly pleomorphic and aggressive. There is a male predominance and it typically occurs with conventional urothelial carcinoma. The morphology consists of pleomorphic giant cells and undifferentiated urothelial carcinoma. There is frequent multinucleation, necrosis and atypical mitoses (35). Urothelial markers are expressed. Patients are frequently late stage at presentation.

UROTHELIAL CARCINOMA WITH SQUAMOUS DIFFERENTIATION

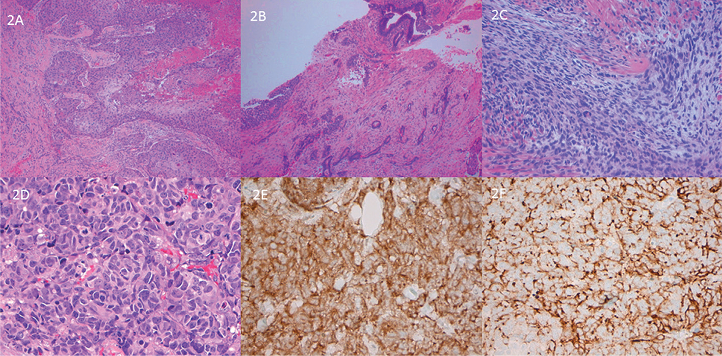
Squamous differentiation is the most frequent line of divergent histology seen in high grade urothelial carcinoma (Figure 2A) and may be present in ~30% of such cases (36). The presence of keratinization and intercellular bridges define squamous histology. The presence of any urothelial carcinoma component (including carcinoma in situ) should be recorded and cases reported as urothelial carcinoma with squamous differentiation as it is thought that pure squamous cell carcinomas show less response to conventional chemotherapy (37, 38). The approximate percentage of the squamous component should be noted in the report. Squamous differentiation may be seen in the context of chronic irritation such as with stones, Schistosoma infection and neurogenic bladder with in-dwelling catheters (39, 40). Human papilloma virus (HPV) is not thought to be a causative agent of this divergent morphology. Some studies have reported worse outcome when squamous histology is present, which may be related to advanced stage at presentation. Both usual urothelial immunomarkers and squamous markers (desmoglein 3 and CK14) can be expressed (41).

Fig 2

Figure 2. Divergent differentiation. Squamous differentiation (2A) and glandular differentiation (2B). Panel 2C highlights sarcomatoid features. Small cell carcinoma with nuclear moulding, hyperchromasia, mitoses (panel 2D). 2E synaptophysin and 2F chromogranin staining.

UROTHELIAL CARCINOMA WITH GLANDULAR DIFFERENTIATION

A glandular component of urothelial carcinoma is less frequent than a squamous one and frequently recapitulates the appearance of enteric histology, resembling a colonic-type adenocarcinoma (Figure 2B). Another variation of glandular differentiation is the presence of mucinous type carcinoma with mucin pools containing either glands or signet ring cells. The presence of extracellular mucin differentiates signet ring cell glandular differentiation from a plasmacytoid urothelial carcinoma. An in-situ carcinoma with glandular phenotype may be seen in conjunction with invasive glandular differentiation (42). A pseudo-glandular appearance may be seen in conventional urothelial carcinoma whereby cell “drop-out” imparts a gland-like appearance. The presence of glandular morphology results in the acquisition of an alternate immuno-phenotype with expression of CK20 and CDX-2, typical of enteric lesions with either co-expression or loss of urothelial markers. The approximate percentage of glandular component should be noted in the report and in the absence of any urothelial carcinoma, the case should be considered as a pure adenocarcinoma. The presence of TERT promoter mutations may be helpful in this context as they are lacking in pure adenocarcinomas but will be present in ~70% of invasive urothelial carcinomas (43).

UROTHELIAL CARCINOMA WITH TROPHOBLASTIC DIFFERENTIATION

Visible syncytiotrophoblast cells are rare in invasive urothelial carcinoma however, HCG staining will often be present in high grade invasive urothelial carcinoma, estimated to be seen in up to 35% of cases. Rarely a choriocarcinoma component may be identified and in up to one third of cases, additional urothelial subtypes may be noted (44). These patients also may show elevated levels of serum HCG which correlate with adverse prognosis (45).

UROTHELIAL CARCINOMA WITH SARCOMATOID DIFFERENTIATION

Sarcomatoid differentiation comprises morphologic features of sarcoma and either histologic or immunohistochemical evidence of an epithelial component (Figure 2C). The sarcomatous areas are frequently undifferentiated, high grade spindle cells or show pleomorphic cells. Heterologous components (osteosarcoma, chondrosarcoma, angiosarcoma etc) may be identified and should be noted in the report. Cytokeratin stains may be required to identify the urothelial/epithelial areas but may also be positive in the sarcomatoid foci, as can p63 and GATA-3 (46). Metastatic disease is frequently present at diagnosis and the 5-year survival is poor (46, 47).

UROTHELIAL CARCINOMA WITH NEUROENDOCRINE DIFFERENTIATION

Small cell neuroendocrine carcinoma (Figure 2D) is much more frequent than large cell neuroendocrine carcinoma and often co-exists with conventional high grade urothelial carcinoma or other divergent morphology. Histologically, it resembles small cell carcinoma of the lung and exhibits staining for neuroendocrine markers (synaptophysin, chromogranin, CD56 etc- Figure E and F). Any amount of small cell morphology needs to be documented as it impacts chemotherapy selection and management. High rates of TP53 and RB1 mutations are noted and in keeping with its origin from urothelial carcinoma, TERT promoter mutations are frequent (48). Patients with small cell differentiation have poor prognosis including overall and disease specific survival (10).

MOLECULAR CLASSIFICATION OF INVASIVE UROTHELIAL CARCINOMA

Multiple classification systems exist for categorizing muscle invasive urothelial carcinoma. Most rely on multi-platform molecular classification techniques such as transcriptomic analysis with only one system categorizing cases using immunohistochemistry (49). Recently, a consensus classification system was developed utilizing data from six separate systems (50). Irrespective of system, high grade muscle invasive urothelial carcinoma can be broadly categorized as “luminal type”, “basal type” and “other”– this category accounts for neuroendocrine tumors and those with a stromal component. The luminal and basal types have different clinical outcomes with differential responses to various systemic therapies (50, 51). Specific subtypes (variants) cluster within a molecular subgroup, irrespective of technique used to classify cases (5052) – see Table 1.

CONCLUSION

Urothelial carcinoma subtypes and divergent differentiation impact patient outcome and their presence needs to be recognized and documented by the reporting pathologist. Recognition of these entities guide patient counselling and enable prognostic stratification. It can be envisaged that future bladder cancer pathology reporting should not only include the presence and quantity of subtypes/divergent features but also some adjunctive molecular analysis to further enable optimal and individualized therapy.

Conflict of Interest: The author declares no potential conflicts of interest with respect to research, authorship and/or publication of this chapter.

Copyright and Permission Statement: The author confirms that the materials included in this chapter do not violate copyright laws. Where relevant, appropriate permissions have been obtained from the original copyright holder(s), and all original sources have been appropriately acknowledged or referenced.

REFERENCES

  1. Ferlay J, Colombet M, Soerjomataram I, Parkin DM, Pineros M, Znaor A, et al. Cancer statistics for the year 2020: An overview. Int J Cancer 2021. https://doi.org/10.1002/ijc.33588
  2. Siegel RL, Miller KD, Fuchs HE, Jemal A. Cancer Statistics, 2021. CA Cancer J Clin. 2021;71:7–33. https://doi.org/10.3322/caac.21654
  3. Moch H, Humphrey PA, Ulbright TM, Reuter V. WHO Classification of Tumours of the Urinary System and Male Genital Organs. 4th Edition ed. International Agency for Research on Cancer, Lyon, France, 2016. Infiltrating Urothelial Carcinoma, pp. 81–98.
  4. Paner GP, Annaiah C, Gulmann C, Rao P, Ro JY, Hansel DE, et al. Immunohistochemical evaluation of novel and traditional markers associated with urothelial differentiation in a spectrum of variants of urothelial carcinoma of the urinary bladder. Hum Pathol. 2014;45:1473–1482. https://doi.org/10.1016/j.humpath.2014.02.024
  5. Sangoi AR, Beck AH, Amin MB, Cheng L, Epstein JI, Hansel DE, et al. Interobserver reproducibility in the diagnosis of invasive micropapillary carcinoma of the urinary tract among urologic pathologists. Am J Surg Pathol. 2010;34:1367–1376. https://doi.org/10.1097/PAS.0b013e3181ec86b3
  6. Isharwal S, Huang H, Nanjangud G, Audenet F, Chen YB, Gopalan A, et al. Intratumoral heterogeneity of ERBB2 amplification and HER2 expression in micropapillary urothelial carcinoma. Hum Pathol. 2018;77:63–69. https://doi.org/10.1016/j.humpath.2018.03.015
  7. Zinnall U, Weyerer V, Comperat E, Camparo P, Gaisa NT, Knuechel-Clarke R, et al. Micropapillary urothelial carcinoma: evaluation of HER2 status and immunohistochemical characterization of the molecular subtype. Hum Pathol. 2018;80:55–64. https://doi.org/10.1016/j.humpath.2018.05.022
  8. Mohanty SK, Mishra SK, Tiwari A, Sharma S, Bhardwaj M, Pattnaik N, et al. Reappraisal of HER2 Amplification in High-Grade Urothelial Carcinoma Based on 2018 ASCO/CAP Clinical Practice Guidelines. Am J Clin Pathol. 2021;156:1130–1141. https://doi.org/10.1093/ajcp/aqab083
  9. Franceschini T, Capizzi E, Massari F, Schiavina R, Fiorentino M, Giunchi F. Immunohistochemical over-expression of HER2 does not always match with gene amplification in invasive bladder cancer. Pathol Res Pract. 2020;216:153012. https://doi.org/10.1016/j.prp.2020.153012
  10. Mori K, Abufaraj M, Mostafaei H, Quhal F, Karakiewicz PI, Briganti A, et al. A Systematic Review and Meta-Analysis of Variant Histology in Urothelial Carcinoma of the Bladder Treated with Radical Cystectomy. J Urol. 2020;204:1129–1140. https://doi.org/10.1097/JU.0000000000001305
  11. Wang JK, Boorjian SA, Cheville JC, Kim SP, Tarrell RF, Thapa P, et al. Outcomes following radical cystectomy for micropapillary bladder cancer versus pure urothelial carcinoma: a matched cohort analysis. World J Urol. 2012;30:801–806. https://doi.org/10.1007/s00345-012-0976-0
  12. Kamat AM, Gee JR, Dinney CP, Grossman HB, Swanson DA, Millikan RE, et al. The case for early cystectomy in the treatment of nonmuscle invasive micropapillary bladder carcinoma. J Urol. 2006;175:881–885. https://doi.org/10.1016/S0022-5347(05)00423-4
  13. Lonati C, Baumeister P, Afferi L, Mari A, Minervini A, Krajewski W, et al. Survival Outcomes After Immediate Radical Cystectomy Versus Conservative Management with Bacillus Calmette-Guerin Among T1 High-grade Micropapillary Bladder Cancer Patients: Results from a Multicentre Collaboration. Eur Urol Focus 2021. https://doi.org/10.1016/j.euf.2021.07.015
  14. Kaimakliotis HZ, Monn MF, Cheng L, Masterson TA, Cary KC, Pedrosa JA, et al. Plasmacytoid bladder cancer: variant histology with aggressive behavior and a new mode of invasion along fascial planes. Urology. 2014;83:1112–1116. https://doi.org/10.1016/j.urology.2013.12.035
  15. Ricardo-Gonzalez RR, Nguyen M, Gokden N, Sangoi AR, Presti JC, Jr., McKenney JK. Plasmacytoid carcinoma of the bladder: a urothelial carcinoma variant with a predilection for intraperitoneal spread. J Urol. 2012;187:852–855. https://doi.org/10.1016/j.juro.2011.10.145
  16. Perrino CM, Eble J, Kao CS, Whaley RD, Cheng L, Idrees M, et al. Plasmacytoid/diffuse urothelial carcinoma: a single-institution immunohistochemical and molecular study of 69 patients. Hum Pathol. 2019;90:27–36. https://doi.org/10.1016/j.humpath.2019.04.012
  17. Nigwekar P, Tamboli P, Amin MB, Osunkoya AO, Ben-Dor D, Amin MB. Plasmacytoid urothelial carcinoma: detailed analysis of morphology with clinicopathologic correlation in 17 cases. Am J Surg Pathol. 2009;33:417–424. https://doi.org/10.1097/PAS.0b013e318186c45e
  18. Al-Ahmadie HA, Iyer G, Lee BH, Scott SN, Mehra R, Bagrodia A, et al. Frequent somatic CDH1 loss-of-function mutations in plasmacytoid variant bladder cancer. Nat Genet. 2016;48:356–358. https://doi.org/10.1038/ng.3503
  19. Teo MY, Al-Ahmadie H, Seier K, Tully C, Regazzi AM, Pietzak E, et al. Natural history, response to systemic therapy, and genomic landscape of plasmacytoid urothelial carcinoma. Br J Cancer. 2021;124:1214–1221. https://doi.org/10.1038/s41416-020-01244-2
  20. Zamboni S, Afferi L, Soria F, Aziz A, Abufaraj M, Poyet C, et al. Adjuvant chemotherapy is ineffective in patients with bladder cancer and variant histology treated with radical cystectomy with curative intent. World J Urol. 2021;39:1947–1953. https://doi.org/10.1007/s00345-020-03362-1
  21. Lopez-Beltran A, Henriques V, Montironi R, Cimadamore A, Raspollini MR, Cheng L. Variants and new entities of bladder cancer. Histopathology. 2019;74:77–96. https://doi.org/10.1111/his.13752
  22. Cox R, Epstein JI. Large nested variant of urothelial carcinoma: 23 cases mimicking von Brunn nests and inverted growth pattern of noninvasive papillary urothelial carcinoma. Am J Surg Pathol. 2011;35:1337–1342. https://doi.org/10.1097/PAS.0b013e318222a653
  23. Zhong M, Tian W, Zhuge J, Zheng X, Huang T, Cai D, et al. Distinguishing nested variants of urothelial carcinoma from benign mimickers by TERT promoter mutation. Am J Surg Pathol. 2015;39:127–131. https://doi.org/10.1097/PAS.0000000000000305
  24. Weyerer V, Weisser R, Moskalev EA, Haller F, Stoehr R, Eckstein M, et al. Distinct genetic alterations and luminal molecular subtype in nested variant of urothelial carcinoma. Histopathology. 2019;75:865–875. https://doi.org/10.1111/his.13958
  25. Comperat E, McKenney JK, Hartmann A, Hes O, Bertz S, Varinot J, et al. Large nested variant of urothelial carcinoma: a clinicopathological study of 36 cases. Histopathology. 2017;71:703–710. https://doi.org/10.1111/his.13280
  26. Mally AD, Tin AL, Lee JK, Satasivam P, Cha EK, Donat SM, et al. Clinical Outcomes of Patients With T1 Nested Variant of Urothelial Carcinoma Compared to Pure Urothelial Carcinoma of the Bladder. Clin Genitourin Cancer 2017. https://doi.org/10.1016/j.clgc.2017.07.002
  27. Lopez Beltran A, Montironi R, Cheng L. Microcystic urothelial carcinoma: morphology, immunohistochemistry and clinical behaviour. Histopathology. 2014;64:872–879. https://doi.org/10.1111/his.12345
  28. Gulley ML, Amin MB, Nicholls JM, Banks PM, Ayala AG, Srigley JR, et al. Epstein-Barr virus is detected in undifferentiated nasopharyngeal carcinoma but not in lymphoepithelioma-like carcinoma of the urinary bladder. Hum Pathol. 1995;26:1207–1214. https://doi.org/10.1016/0046-8177(95)90195-7
  29. Williamson SR, Zhang S, Lopez-Beltran A, Shah RB, Montironi R, Tan PH, et al. Lymphoepithelioma-like carcinoma of the urinary bladder: clinicopathologic, immunohistochemical, and molecular features. Am J Surg Pathol. 2011;35:474–483. https://doi.org/10.1097/PAS.0b013e31820f709e
  30. Manocha U, Kardos J, Selitsky S, Zhou M, Johnson SM, Breslauer C, et al. RNA Expression Profiling of Lymphoepithelioma-Like Carcinoma of the Bladder Reveals a Basal-Like Molecular Subtype. Am J Pathol. 2020;190:134–144. https://doi.org/10.1016/j.ajpath.2019.09.007
  31. Lopez-Beltran A, Luque RJ, Vicioso L, Anglada F, Requena MJ, Quintero A, et al. Lymphoepithelioma-like carcinoma of the urinary bladder: a clinicopathologic study of 13 cases. Virchows Arch. 2001;438:552–557. https://doi.org/10.1007/s004280000378
  32. Mai KT, Bateman J, Djordjevic B, Flood TA, Belanger EC. Clear Cell Urothelial Carcinoma. Int J Surg Pathol. 2017;25:18–25. https://doi.org/10.1177/1066896916660195
  33. Oliva E, Amin MB, Jimenez R, Young RH. Clear cell carcinoma of the urinary bladder: a report and comparison of four tumors of mullerian origin and nine of probable urothelial origin with discussion of histogenesis and diagnostic problems. Am J Surg Pathol. 2002;26:190–197. https://doi.org/10.1097/00000478-200202000-00005
  34. Lopez-Beltran A, Amin MB, Oliveira PS, Montironi R, Algaba F, McKenney JK, et al. Urothelial carcinoma of the bladder, lipid cell variant: clinicopathologic findings and LOH analysis. Am J Surg Pathol. 2010;34:371–376. https://doi.org/10.1097/PAS.0b013e3181cd385b
  35. Lopez-Beltran A, Blanca A, Montironi R, Cheng L, Regueiro JC. Pleomorphic giant cell carcinoma of the urinary bladder. Hum Pathol. 2009;40:1461–1466. https://doi.org/10.1016/j.humpath.2009.02.016
  36. Lopez-Beltran A, Requena MJ, Alvarez-Kindelan J, Quintero A, Blanca A, Montironi R. Squamous differentiation in primary urothelial carcinoma of the urinary tract as seen by MAC387 immunohistochemistry. J Clin Pathol. 2007;60:332–335. https://doi.org/10.1136/jcp.2006.038802
  37. Martin JE, Jenkins BJ, Zuk RJ, Blandy JP, Baithun SI. Clinical importance of squamous metaplasia in invasive transitional cell carcinoma of the bladder. J Clin Pathol. 1989;42:250–253. https://doi.org/10.1136/jcp.42.3.250
  38. Logothetis CJ, Dexeus FH, Chong C, Sella A, Ayala AG, Ro JY, et al. Cisplatin, cyclophosphamide and doxorubicin chemotherapy for unresectable urothelial tumors: the M.D. Anderson experience. J Urol. 1989;141:33–37. https://doi.org/10.1016/S0022-5347(17)40578-7
  39. Ishida K, Hsieh MH. Understanding Urogenital Schistosomiasis-Related Bladder Cancer: An Update. Front Med (Lausanne). 2018;5:223. https://doi.org/10.3389/fmed.2018.00223
  40. Muhlbauer J, Stein R, Younsi N. Bladder cancer in patients with spina bifida: a serious risk. World J Urol. 2021;39:1531–1537. https://doi.org/10.1007/s00345-020-03338-1
  41. Gulmann C, Paner GP, Parakh RS, Hansel DE, Shen SS, Ro JY, et al. Immunohistochemical profile to distinguish urothelial from squamous differentiation in carcinomas of urothelial tract. Hum Pathol. 2013;44:164–172. https://doi.org/10.1016/j.humpath.2012.05.018
  42. Yang Z, Epstein JI. Urothelial Carcinoma In Situ of the Bladder With Glandular Differentiation: Report of 92 Cases. Am J Surg Pathol. 2018;42:971–976. https://doi.org/10.1097/PAS.0000000000001073
  43. Vail E, Zheng X, Zhou M, Yang X, Fallon JT, Epstein JI, et al. Telomerase reverse transcriptase promoter mutations in glandular lesions of the urinary bladder. Ann Diagn Pathol. 2015;19:301–305. https://doi.org/10.1016/j.anndiagpath.2015.06.007
  44. Przybycin CG, McKenney JK, Nguyen JK, Shah RB, Umar SA, Harik L, et al. Urothelial Carcinomas With Trophoblastic Differentiation, Including Choriocarcinoma: Clinicopathologic Series of 16 Cases. Am J Surg Pathol. 2020;44:1322–1330. https://doi.org/10.1097/PAS.0000000000001532
  45. Douglas J, Sharp A, Chau C, Head J, Drake T, Wheater M, et al. Serum total hCGbeta level is an independent prognostic factor in transitional cell carcinoma of the urothelial tract. Br J Cancer. 2014;110:1759–1766. https://doi.org/10.1038/bjc.2014.89
  46. Sanfrancesco J, McKenney JK, Leivo MZ, Gupta S, Elson P, Hansel DE. Sarcomatoid Urothelial Carcinoma of the Bladder: Analysis of 28 Cases With Emphasis on Clinicopathologic Features and Markers of Epithelial-to-Mesenchymal Transition. Arch Pathol Lab Med. 2016;140:543–551. https://doi.org/10.5858/arpa.2015-0085-OA
  47. Malla M, Wang JF, Trepeta R, Feng A, Wang J. Sarcomatoid Carcinoma of the Urinary Bladder. Clin Genitourin Cancer. 2016;14:366–372. https://doi.org/10.1016/j.clgc.2016.03.004
  48. Iyer G, Al-Ahmadie H, Schultz N, Hanrahan AJ, Ostrovnaya I, Balar AV, et al. Prevalence and co-occurrence of actionable genomic alterations in high-grade bladder cancer. J Clin Oncol. 2013;31:3133–3140. https://doi.org/10.1200/JCO.2012.46.5740
  49. Sjodahl G, Lovgren K, Lauss M, Patschan O, Gudjonsson S, Chebil G, et al. Toward a molecular pathologic classification of urothelial carcinoma. Am J Pathol. 2013;183:681–691. https://doi.org/10.1016/j.ajpath.2013.05.013
  50. Kamoun A, de Reynies A, Allory Y, Sjodahl G, Robertson AG, Seiler R, et al. A Consensus Molecular Classification of Muscle-invasive Bladder Cancer. Eur Urol. 2020;77:420–433. https://doi.org/10.1016/j.eururo.2019.09.006
  51. Robertson AG, Kim J, Al-Ahmadie H, Bellmunt J, Guo G, Cherniack AD, et al. Comprehensive Molecular Characterization of Muscle-Invasive Bladder Cancer. Cell. 2017;171:540–556 e525.
  52. Olkhov-Mitsel E, Hodgson A, Liu SK, Vesprini D, Xu B, Downes MR. Three-antibody classifier for muscle invasive urothelial carcinoma and its correlation with p53 expression. J Clin Pathol 2021. https://doi.org/10.1136/jclinpath-2021-207573