2

Infant Leukemia

Sevgi Gözdaşoğlu

Department of Pediatrics, Divisions of Hematology and Oncology, Ankara University Medical School, Ankara, Turkeys

Abstract: Infant leukemias are rare entities of acute lymphoblastic leukemia (ALL) and acute myeloid leukemia (AML) that are generally diagnosed in infants under the age of one. Patients often present with bulky hepatosplenomegaly, leukemia cutis, central nervous system symptoms, and hyperleukocytosis. Infant leukemia has specific biological, clinical, cytologic, and cytogenetic features. Cytogenetics is an important factor for diagnosis and risk stratification. Infant B-lineage ALL is characterized by a higher white blood cell count, higher incidence of KMT2A rearrangements, and negative CD10. Relapse rate is also higher in these cases. KMT2A rearrangements are clearly associated with poorer outcome in infants with ALL. KMT2A rearrangements in acute myelomonocytic leukemia (FAB M4), acute monocytic leukemia (FAB M5), and acute megakaryoblastic leukemia (FAB M7), are also common in infants, but KMT2A rearrangements are not a significant risk factor for infants with AML. As the diagnosis of megakaryoblastic leukemia is challenging, megakaryocytic markers should be investigated in all infant leukemias. It should be noted that transient abnormal myelopoiesis, a condition sharing the same morphology and immunophenotype with acute megakaryoblastic leukemia, frequently occurs in infants with Down syndrome and the somatic mutation of GATA1 is distinct in this situation.

Keywords: clinical characteristics of infant leukemia; infant leukemia; KMT2A rearrangements in infant leukemia; leukemia cutis in infant leukemia; prognosis of infant leukemia

Author for correspondence: Sevgi Gözdaşoğlu, Department of Pediatrics, Divisions of Hematology and Oncology, Ankara University Medical School, Ankara, Turkey. E-mail: sgozdasoglu@hotmail.com

Cite this chapter as: Gözdaşoğlu S. Infant Leukemia. In: Li W. editor. Leukemia. Brisbane (AU): Exon Publications. Online first 09 Sep 2022.

Doi: https://doi.org/10.36255/exon-publications-leukemia-infant-leukemia

In: Li W (Editor). Leukemia. Department of Pathology and Laboratory Medicine, Children’s Mercy Hospital, University of Missouri-Kansas City School of Medicine, Kansas City, USA. ISBN: 978-0-6453320-7-0. Doi: https://doi.org/10.36255/exon-publications-leukemia

Copyright: The Authors.

License: This open access article is licenced under Creative Commons Attribution-NonCommercial 4.0 International (CC BY-NC 4.0) https://creativecommons.org/licenses/by-nc/4.0/

INTRODUCTION

Infant leukemias are rare and distinct subgroup of pediatric acute lymphoblastic leukemia (ALL) and acute myeloid leukemia (AML) occurring in infants under the age of one. Approximately 35% of all childhood cancers are acute leukemias, of which 80% are ALL and 15 to 20% are AML. Infant leukemias account for 2 to 5% of pediatric patients with ALL and approximately 10% of pediatric patients with AML (1, 2). The peculiar clinical and biological characteristics of acute leukemia in infants differ markedly from those of older children. These patients usually present with high initial white blood cell counts, massive organomegaly, early central nervous system (CNS) involvement, and leukemia cutis (35). Infant leukemia tends to be more aggressive with poor prognosis (2, 4). Congenital leukemia is defined as developing within the first months of life (4, 6, 7). In this chapter, my main objective is to analyze the clinical, cytologic, and cytogenetic characteristics of infant leukemias. Chemotherapy of infant leukemia is excluded in this chapter.

INCIDENCE

Approximately 6500 children and adolescents in the United States develop acute leukemia each year. AML comprises only 15–20% of these cases. The incidence of pediatric AML is estimated to be between 5 and 7 cases per million people per year, with a peak incidence of 11 cases per million people per year at 2 years of age (8). Brown reported that the estimated incidence of infant leukemia is 41 cases per million in the United States. The incidence of ALL in infants is significantly lower than in children aged 1 to 14 years old. On the other hand, the incidence of AML in infants is approximately twice that of older children and adolescents. Females have a higher risk of developing infant leukemia than males (9). Juvenile myelomonocytic leukemia and the related myeloproliferations associated with congenital syndromes such as Down syndrome and Noonan syndrome are the most notable in the literature (6, 10). Infant AML associated with Down syndrome represents a significant component of this distinct subgroup (11).

CLINICAL CHARACTERISTICS

The typical symptoms of leukemia, such as anemia, bleeding, febrile neutropenia, organomegaly, and bone pain, are commonly seen in acute infant leukemia. The patients tend to present more aggressive findings including high initial white blood cell counts, massive organomegaly, early central nervous system involvement and leukemia cutis (14, 11). Developmental stage, fetal hematopoiesis and its different origins might play a role in these different clinical features in infant leukemias (11). Zhang et al retrospectively analyzed 59 patients with congenital leukemia reported between 2001–2016 years and found the following clinical features: leukemia cutis (67.8%), hepatosplenomegaly (47.5%), CNS involvement (blast cells in cerebrospinal fluid 25.4%), and spontaneous remission (11.9%) (12). Hyperleukocytosis was detected in 62.7% of cases with an average white blood cell count of 68.5 x 109 /L (normal range 4–10 x 109 /L) but anemia was less common at 35.7%. Blast cells were present in most patients’ peripheral blood and bone marrow (12). The risk of early death is critically high due to severe bleeding and leukostasis in the patients with hyperleukocytosis (>100,000/µl). Emergency strategies include exchange transfusion and leukapheresis treatment; these should be done as soon as possible (13, 14).

Leukemia cutis

Leukemia cutis is a particular feature of neonatal AML and commonly observed in infants with AML while it is rarely seen in ALL. Cutaneous infiltrates are present in about two-thirds of patients and can occur without any peripheral blood or bone marrow involvement. Leukemia cutis typically presents as multiple papules, nodules, plaques, or subcutaneous myeloid sarcoma (Figure 1). These lesions may be blue, red, brown, or purple. The appearance has been described as a blueberry muffin rash. Leukemia cutis is commonly seen in FAB-M4 and FAB-M5 AML (10, 11, 15, 16). Prognosis in these cases is very poor (10, 11, 15, 16). In the French ELAM02 cohort, skin involvement was significantly more prevalent in infants, occurring in 14.5% of children who were less than two years old compared to 2.6% of older children. One hypothesis is that chemotherapy may not be sufficient to penetrate the skin leading to a greater incidence of relapse in those patients (11). On the other hand, spontaneous remissions are specific of this period, which is associated with a significant shift in hematopoiesis from liver to marrow, reinforcing the importance of stage of development in AML in the absence of known negative prognostic factors (11, 16).

Fig 1

Figure 1. The picture of a 4-month boy with infant leukemia showing hepatosplenomegaly, leukemia cutis and scrotal swelling.

Liver

Liver involvement may be prominent and sometimes dominate clinical presentation. Few cases have been reported in the medical literature with the liver as the primary site of involvement in congenital leukemia. Lewis et al. reported a case of a four week-old infant diagnosed with acute megakaryoblastic leukemia who presented with ascites caused by massive infiltration of hepatic sinusoids by leukemia cells associated with t(1;22)(p13;q13). The bone marrow and the peripheral blood smear did not initially show the presence of blasts. Marrow fibrosis appeared after infiltrative disease in the liver and liver fibrosis. In the absence of bone marrow involvement, it can be difficult to diagnose as leukemia (17). In addition, patients with jaundice, ascites, pleural effusions, cardiopulmonary distress, seizures, and disseminated intravascular coagulation are also reported in the medical literature (1719).

Central nervous system

CNS involvement is more common in infant leukemia. Infants less than 2 years of age represented 35–45% of patients with CNS involvement as CNS3 (>5 blasts within the cerebrospinal fluid or central nervous system symptoms at diagnosis) according to Children’s Oncology Group (COG) study (18). A bulging fontanelle, papilledema, retinal hemorrhage, reduced level of consciousness and seizures are observed (11, 1921). Central nervous system disease in infants is also more common as 35%–45% in AML and 14%–41% in ALL (10, 11).

CYTOLOGY

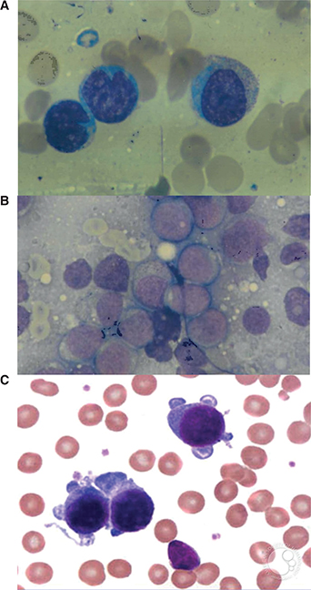
Infant leukemias have specific morphological features and immunophenotypic characteristics. Acute myeloblastic (FAB-M4), acute monoblastic (FAB-M5), and acute megakaryoblastic (FAB-M7) subgroups are striking features of infant leukemia with AML according to the French-American-British (FAB) classifications (Figure 2) (4, 11, 2225). AML can be diagnosed if ≥20% blasts with myeloid markers are present in the bone marrow and is associated with the presence of recurrent cytogenetic abnormalities (11). Acute megakaryoblastic leukemia (AMKL) is very frequent in infants. Diagnosis of AMKL is really challenging as the number of megakaryoblasts, which are hard to spot, in peripheral blood is very limited. Bone marrow aspiration is also difficult due to fibrosis. Megakaryoblasts show cytoplasmic blebs, cell clumping and binucleation (very rarely seen) (6, 11). Megakaryoblasts are immunophenotypically positive for CD33, CD36, CD41, CD42b, and CD61 (11). In infants with ALL, L1 subtypes are frequently observed than L2 subtype while L3 subtype is absent. These are CD19 positive, HLA-DR positive, and CD10 negative minimally differentiated early B-cell precursors (10). On the other hand, infant leukemia patients can be of undefined lineage, either due to a mixed phenotype (mixed phenotype acute leukemia) or lack of differentiation markers (acute undifferentiated leukemia) (5).

Fig 2

Figure 2. Bone marrow smears. A, Bone marrow smear of acute monoblastic leukemia. May-Grünwald-Gemsa staining, X100. B, Bone marrow smear of acute myelomonoblastic leukemia. May-Grünwald-Giemsa staining, X160. C, At high magnification, the megakaryoblasts showing cytoplasmic budding suggestive of platelet formation. Figure C is from John Lazarchick, imagebank.hematology.org (Myeloid Neoplasms and acute leukemia (WHO 2016) > Acute Myeloid Leukemia > Myeloid proliferations related to Down syndrome > Myeloid Leukemia associated with Down Syndrome).

ETIOPATHOGENESIS OF INFANT LEUKEMIAS

During the past decade, etiopathology of leukemogenesis was researched extensively. Genome sequencing data provided a better understanding of infant leukemia. In the literature, there are many noteworthy publications on this subject. Many infant leukemias show similar genetic variation with either lymphoid or myeloid acute leukemias. It is clear that leukemia in newborns and in young infants is the result of leukemogenic events that occur in utero (2). Indirect evidence to support this hypothesis was provided by studies of monozygotic twins with leukemia. Monozygotic twins essentially share a hematopoietic system in utero through vascular anastomoses and they show a concordance rate approaching 100% for leukemia and the same genetic lesion can be identified in both twins. Dizygotic twins who have entirely separate vascular system do not show this extreme harmony (6). Many infant leukemias show similar genetic alterations with either lymphoid or myeloid differentiation (6, 10). Cytogenetic analysis provides significant information on the diagnosis, prognosis, and follow-up of the patients and to determine most effective treatment protocols associated with minimal side effects.

KMT2A rearrangements

Structural abnormalities involving the long arm of chromosome 11, region 2, band 3 (11q23) are cytogenetic changes consistently seen in hematopoietic malignancies, and they are the most common genetic lesion observed in infant leukemia. A high proportion of infant leukemia cases are characterized by chromosomal translocations involving the histone lysine methyltransferase 2A gene (KMT2A gene previously named as MLL “Mixed Lineage Leukemia gene”) at chromosome 11q23. KMT2A rearrangements (KMT2A-r) result in the fusion of N terminus of the KMT2A gene with the C terminus of a partner gene; about 135 different KMT2A partner genes have been identified (2225). KMT2A-r, which was first detected in patients with ALL and then in cases with AML, is the most common cytogenetic abnormality in infant leukemias. KMT2A gene regulates hematopoietic differentiation and plays an important role in leukemogenesis. The t(4;11)(q21;q23) or t(11;19)(q23;p13) occurs in most cases with ALL whereas t(9;11)(q22;p23) is the most common translocation in patients with AML (11, 2225). KMT2A-r is observed in approximately 40–60% of infants with AML, and rare translocations for this age group including t(1;22) and t(7;12) have also been identified (11).

KMT2A fusion proteins are potent oncoproteins that regulate leukemogenesis in infants with few cooperating mutations; fetal and neonatal hematopoietic progenitors may be more sensitive to KMT2A proteins (11). In infant ALL, four partner genes have been identified in 93% of patients: AFF1 (49%), MLLT1 (22%), MLLT3 (17%), and MLLT10 (5%). In infant AML, three partner genes have been observed in 66% of patients: MLLT3 (22%), MLLT10 (27%) and ELL (17%) (5, 6). Most of these KMT2A rearrangements in AML are morphologically classified as FAB-M4 or FAB-M5. KMT2A fusion can also be seen with AMKL (6, 11). KMT2A-r leukemias occur frequently in two different clinical presentations: (i) infants with de novo acute AML or ALL; and (ii) patients with treatment-related AML after exposure to DNA topoisomerase II inhibitors (5, 2225). The growing fetus is more sensitive to the effects of potential DNA damage during the early stages of pregnancy. Transplacental exposures to DNA-topoisomerase inhibitors may be related to the etiology of infant acute leukemias with KTM2A-r. Topoisomerase inhibitors include chemotherapeutic agents, benzene metabolites such as benzoquinone, isoflavones, flavonoids, lignans, podophyllin resin, quinolone antibiotics and some pesticides (22, 23).

KMT2A has varying prognostic implications in infant ALL less than 12 months of age, depending on the presence or absence of KTM2A-r. Infants with ALL and KMT2A-r do not achieve remission, while the prognosis and survival of ALL infants without KMT2A-r are similar to ALL of older children. Among patients with KMT2A-r ALL, additional independent prognostic factors include age and white blood cell counts at diagnosis––younger infants and those with the higher white blood cell counts having poorer prognosis (5, 26, 27). In infant AML, KMT2A-r is not a significant risk factor (5). KMT2A-r AML are morphologically classified as FAB-M4 or FAB-M5 and KMT2A-r is also frequently associated with megakaryoblastic leukemia in infants (5, 6, 11).

Acute megakaryoblastic leukemia is frequent among infants with AML and is associated with other chromosomal translocations such as t(1;22)(p13; q13) and inv(16)(p13.3, q24.3) (6). The fusion of GLIS2 to CBFA2T3 as a result of inv(16)(p13.3, q24.3) is the most frequently identified chimeric oncogene to date in AMKL patients (6). Patients with CBFA2T3-GLIS2 fusion gene is found only in patients aged <3 years and it is the second most frequent gene in cases aged less than one year. Core binding factor rearrangements are uncommon in infants (11). Infants with Down’s syndrome have an increased risk for leukemia, particularly acute megakaryoblastic leukemia, which most often resolves spontaneously, and is called transient neonatal myelopoiesis or transient abnormal myelopoiesis. The underlying genetic lesion is a mutation in the N-terminal region of the erythroid/megakaryocytic transcription factor GATA-1 which is located on the short arm of chromosome X. Mutation of GATA-1 is pathognomonic for transient leukemia and acute megakaryoblastic leukemia in children with Down syndrome (6, 2527).

HOX gene dysregulation is a common feature of AML. HOX genes play a key role in the regulation of hematopoietic development. In leukemia, dysregulated HOX gene expression can occur due to chromosomal translocations involving upstream regulators such as KMT2A (6, 28). Translocations of 11q23 are seen in approximately 5–10% of adult AML and specifically one to three years after treatment with chemotherapy regimens containing anthracyclines or other topoisomerase II inhibitors (22).

Transient neonatal myelopoiesis is a rare condition in the neonatal period connected with trisomy of chromosome 21. It is characterized by high blast cells in peripheral blood and bone marrow, and it usually resolves without specific therapy in 1 to 3 months (27). Li-Thiao-Te et al. (29) reported transient leukemia with an isolated pericardial effusion in a phenotypically normal neonate. Trisomy 21 was found on blast cells. Congenital leukemia associated with trisomy 21 on blast cells has a good prognosis (29). Independent adverse prognostic features are age < 1 month, leukemia cutis, initial high white blood cell counts, poor response to induction chemotherapy and presence KMT2A-r (3, 5, 6, 10). Curative results have not been achieved with standard chemotherapy schemes in infant leukemia due to its destructive nature.

Other factors

Maternal alcohol consumption during pregnancy, marijuana use, and paternal smoking one month prior to pregnancy are associated with an increased risk of infant leukemias (30). Ross et al. showed that a high birth weight is a significant risk factor of developing childhood leukemia. Insulin-like growth factor-1 is important in blood formation and regulation and has been shown to stimulate the growth of both myeloid and lymphoid cells in culture. It was postulated that high levels of insulin-like growth factor-1 might produce large babies and may contribute to the development of leukemia (31). Emerenciano et al. reported that there are significant associations between risks for infant leukemias and maternal hormone intake during pregnancy (30).

CONCLUSION

Infant leukemia is an aggressive disease which has specific clinical, biological, cytologic, and cytogenetic characteristics. Skin lesions such as papulonodular erythematous or violaceous lesions should be considered as leukemia cutis in infants. The most common genetic lesion observed in infant leukemia is KMT2A-r which is an important prognostic factor and should be investigated especially in infants with ALL. As the diagnosis of megakaryoblastic leukemia is challenging, megakaryocytic markers should be investigated in all infant leukemias. In consideration with infant metabolism and the characteristics of infant leukemia, new curative, tolerable chemotherapy protocols are required with minimal side effects.

Conflict of Interest: The author declares no potential of interest with respect to research, authorship and/or publication of this chapter.

Copyright and Permission Statement: The author confirms that the materials included in this chapter do not violate copyright laws. Where relevant, appropriate permissions have been obtained from the original copyright holder(s), and all original sources have been appropriately acknowledged or referenced. Where relevant, informed consent has been obtained from patients or their caregivers as per applicable national or institutional policies.

REFERENCES

  1. Silverman LB, Sallan SE. Acute lymphoblastic leukemia. In: Nathan DG, Ginsburg D, Orkin SH, Look AT, editors. Nathan and Oski’s hematology of infancy and childhood. 6th ed. Philadelphia: W.B. Saunders Company; 2003; p.1135–66.
  2. Bennett C, Hsu K, Look AT. Myeloid leukemia, myelodysplasia and myeloproliferative disease in children. In: Nathan DG, Ginsburg D, Orkin SH, Look AT, editors. Nathan and Oski’s hematology of infancy and childhood. 6th ed. Philadelphia: W.B. Saunders Company; 2003; p.1167–1218.
  3. Lanzkowsky P. Manual of Pediatric Hematology and Oncology; 3rd ed. San Diego: Academic Press; 1999. 386 p.
  4. Gözdaşoğlu S, Çavdar OA, Babacan E, Cin Ş, Ünal E, Özkan AU, et al. Congenital Leukemia. Jour of Ankara Med School. 1991;13(1):69–73.
  5. Brown P, Pieters R, Biondi A. How I treat infant leukemia. Blood. 2019;133(3):205–214. https://doi.org/10.1182/blood-2018-04-785980
  6. Wertheim G. Infant acute leukemia. Clin Lab Med. 2021;41(3):541–50. https://doi.org/10.1016/j.cll.2021.04.002
  7. Eguchi M. Acute leukemia of infants and neonates. Rinsho Ketsueki. 2021;62(8):1308–18.
  8. Rubnitz JE, Gibson B, Smith FO. Acute myeloid leukemia. Hematol Oncol Clin North Am. 2010;24(1):35–63. https://doi.org/10.1016/j.hoc.2009.11.008
  9. Brown P. Treatment of infant leukemias. Challenge and promise. Author manuscipt. Hematology Am Soc Hematol Educ Program. 2013:596–600. https://doi.org/10.1182/asheducation-2013.1.596
  10. Felix CA, Lange BJ. Leukemia in infants. The Oncologist. 1999;4(3):225–40. https://doi.org/10.1634/theoncologist.4-3-225
  11. Calvo C, Fenneteau O, Leverage G, Petit A, Baruchel A, Mechinaud F. Infant acute myeloid leukemia: A unique clinical and biological entity. Cancers. 2021;13(4):777–89. https://doi.org/10.3390/cancers13040777
  12. Zhang Q, Ren Z, Yang J, Yin A. Analysis of 59 cases of congenital leukemia reported between 2001–2016. J Int Med Res. 2019;47(10):4625–4635. https://doi.org/10.1177/0300060519872899
  13. Creutzig U, Rössig C, Dworzak M, Stary J, von Stackelberg A, Wössman W, et al. Exchange transfusions and leukapheresis in pediatric patients with AML with high risk of early detah by bleeding and leukostasis. Pediatr Blood Cancer. 2016;63(4):640–5. https://doi.org/10.1002/pbc.25855
  14. Sonta-Jakimczyk D, Szczepanski T, Bubala H, Kulagowska-Timberman E, Kuhny D. Acute lymphoblastik Leukemia in a 3-week-old neonate. Wiad Lek. 2004;57(7–8):395–7.
  15. Fender AB, Gust A, Wang N, Scott GA, Mercurio MG. Congenital Leukemia Cutis. Pediatr Dermol. 2008;25(1):34–7. https://doi.org/10.1111/j.1525-1470.2007.00578.x
  16. D’Orazio JA, Pullian JF, Moscow JA. Spontaneous resolution of a single lesion of myeloid leukemia cutis in an infant: case report and discussion. Pediatr Hematol Oncol. 2008;25(5):457–68. https://doi.org/10.1080/08880010802104494
  17. Lewis MS, Kaicker S, Strauchen JA, Morotti RA. Hepatic involvement in congenital acute megakaryoblastic leukemia: a case report with emphasis on the liver pathology findings. Pediatr Dev Pathol. 2008;11(1):55–8. https://doi.org/10.2350/07-03-0243.1
  18. Van Dongen JC, Dalinghaus M, Kroon AA, de Vries AC, Van den Heuvel-Eibrink MM. Successful treatment of congenital a premature infant. J Pediatr Hematol Oncol. 2009;31(11):853–4. https://doi.org/10.1097/MPH.0b013e3181b38b6c
  19. Ledet DS, Wheless JW, Rubnitz JE, Brannon Morris E. Levetiractam as monotherapy for seizures in a neonate with acute lymphoblastic leukemia Eur J Paediatr Neurol. 2010;14(1):78–9. https://doi.org/10.1016/j.ejpn.2008.12.007
  20. Johnston DL, Alonzo TA, Gerbing RB, Aplenc R, Woods WG, Meshinchi S, Gamis AS. Central nervous system disease in pediatric acute myeloid leukemia: A report from the children’s Oncology Group. Pediatr Blood Cancer. 2017;64(12):10.1002 / pbc. 26612. https://doi.org/10.1002/pbc.26612
  21. Ito M, Nishimaki S, Nakano Y, Tanaka F, Goto H, Yokota S. A case of fetal leukemia with intracranial hemorrhage and early onset jaundice. Fetal leukemia with intracranial hemorrhage and jaundice. Arch Gyneol Obstet. 2009;279(4):599–601. https://doi.org/10.1007/s00404-008-0784-3
  22. Douet-Guilbert N, Morel F, Le Bris MJ, Sassolas B, Giroux JD, DeBraekeleer M. Rearrangement of MLL in a patient with congenital acute monoblastic leukemia and granulocytic sarcoma associated with a t(1;11) (p36;q23) translocation. Leuk Lymphoma. 2005;46(1):143–6. https://doi.org/10.1080/104281904000010783
  23. Menghrajani K, Zhang Y, Famulare C, Devlin SM, Talmann MS. Acute myeloid leukemia with 11q23 rearaangements: A study of therapy-related disease and therapeutic outcomes. Leuk Res. 2020 98: 106453. https://doi.org/10.1016/j.leukres.2020.106453
  24. Ferguson EC, Talley P, Vora A. Translocation (6;17) (q23;q11.2: a noval cytogenetic abnormality in congenital acute myeloid leukemia? Canver Genet Cytogenet. 2005;163(1):71–3. https://doi.org/10.1016/j.cancergencyto.2005.03.016
  25. Manola KN. Cytogenetics of pediatric acute myeloid leukemia. Eur J Haematol. 2009;83(5):391–405. https://doi.org/10.1111/j.1600-0609.2009.01308.x
  26. Guest EM, Stam RW. Updates in the biology and therapy for infant acute lymphoblastic leukemia. Curr Opin Pediatr. 2017;29(1):20–6. https://doi.org/10.1097/MOP.0000000000000437
  27. Jackowska T, Steczowicz M, Pawelec K, Pacholska J. Congenital leukemia and transient myeloproliferative disorder: diagnostic difficulties: case reports. Med Wieku Rozwo. 2006;10(3):595–601.
  28. Rice KL, Licht JD. HOX deregulation in acute myeloid leukemia. J Clin Invest. 2007;117(4):865–8. https://doi.org/10.1172/JCI31861
  29. Li-Thiao-Te V, Bourges-Petit E, Capiod JC, Horle B, Micheli J, Morin G, et al. Congenital transient leukemia: a case report. Arch Pediatr. 2008;15(1):33–6. https://doi.org/10.1016/j.arcped.2007.08.023
  30. Emerenciano M, Koifman S, Pombo-de-Oliveira MS. Acute leukemia in early childhood. Braz J Med Biol Res. 2007;40(6):749–60. https://doi.org/10.1590/S0100-879X2007000600002
  31. Ross JA, Potter JD, Shu XO, Reaman GH, Lampkin B, Robison LL. Evaluating the relationships among maternal reproductive history, birth characteristics, and infant leukemia: a report from the Children’s Cancer Group. Ann Epidemiol 1997;7:172–179. https://doi.org/10.1016/S1047-2797(97)00012-4