3

Hairy Cell Leukemia

Agnieszka Janus1 Tadeusz Robak1,2

1Department of General Hematology, Copernicus Memorial Hospital, Lodz, Poland; 2Department of Hematology, Medical University of Lodz, Lodz, Poland

Abstract: Hairy cell leukemia is a rare, indolent, chronic lymphoid neoplasm originating from a mature B lymphocyte. Diagnosis is based on hairy cell morphology, immunological phenotype by flow cytometry and/or immunohistochemistry in trephine biopsy, and the presence of BRAFV600E somatic mutation. In the classic form of the disease, the purine nucleoside analogues pentostatin and cladribine are recommended for the first-line treatment. These agents induce durable and unmaintained complete response in more than 70% of cases and up to 35% of patients demonstrate overall survival longer than 20 years. When rituximab is combined with cladribine in early relapse, complete response can be achieved in 89–100% of patients, with a three-year risk of relapse of only 7%. More recently, several new drugs have been introduced for the treatment of patients with hairy cell leukemia. Clinical trials have confirmed that the immunotoxin moxetumomab pasudotox, BRAF kinase inhibitors (vemurafenib and dabrafenib), and the Bruton kinase inhibitor ibrutinib are useful agents in the treatment of patients who are refractory to purine analogs.

Keywords: BRAF inhibitors for hairy cell leukemia; clinical presentation of hairy cell leukemia; epidemiology of hairy cell leukemia; pathogenesis of hairy cell leukemia; treatment of hairy cell leukemia

Author for correspondence: Tadeusz Robak, Department of Hematology, Medical University of Lodz, Lodz, Poland. E-mail: robaktad@csk.umed.lodz.pl

Cite this chapter as: Janus A, Robak T. Hairy Cell Leukemia. In: Li W. editor. Leukemia. Brisbane (AU): Exon Publications. Online first 22 Jul 2022.

Doi: https://doi.org/10.36255/exon-publications-leukemia-hairy-cell-leukemia

In: Li W (Editor). Leukemia. Department of Pathology and Laboratory Medicine, Children’s Mercy Hospital, University of Missouri-Kansas City School of Medicine, Kansas City, USA. ISBN: 978-0-6453320-7-0. Doi: https://doi.org/10.36255/exon-publications-leukemia

Copyright: The Authors.

License: This open access article is licenced under Creative Commons Attribution-NonCommercial 4.0 International (CC BY-NC 4.0) https://creativecommons.org/licenses/by-nc/4.0/

INTRODUCTION

Hairy Cell Leukemia (HCL) is a rare, indolent B-cell neoplasm. It is characterized by the progressive infiltration by mature lymphocytes with typical “hairy” projections within the peripheral blood (PB), bone marrow (BM) and spleen, resulting in pancytopenia, splenomegaly, and susceptibility to infections (1, 2). A characteristic molecular feature of the disease, present in ≥95% of cases, is the BRAFV600E somatic mutation. It is important to distinguish between classic HCL and HCL-like diseases, including splenic B-cell lymphoma/leukemia, unclassifiable, as well as the variant form of HCL (HCL-v) and the splenic diffuse red pulp lymphoma (SDRPL) (3, 4). Monocytopenia is characteristic of classic HCL (1, 2).

In HCL-v, the neoplastic lymphoid cells are hybrids, with an intermediate morphology between prolymphocytes and hairy cells. In SDRPL, villous lymphoid cells have a polar distribution of the villi and a small or undetectable nucleolus in the PB. HCL-v is characterized by lymphocytosis with lymphoid cells of relatively large size, prominent nucleoli, and cytopenias without monocytopenia. In HCL-v and SDRPL, the neoplastic cells do not express CD25 or CD123 and the BRAFV600E mutation is lacking. However, the relationship between HCL-v and SDRPL remains unclear (3, 5). In this chapter we concentrate on the pathogenesis, laboratory and clinical characteristics, and treatment of classic HCL.

EPIDEMIOLOGY

Hairy cell leukemia accounts for less than 2% of all leukemias. Its incidence is 0.3 cases per 100,000 individuals with an average male-to-female ratio of 1.5-2:1 and median age at diagnosis of 58 years (6). The incidence is approximately three times higher in White than in Black populations (7). HCL-v is estimated to be 0.2 cases per 100,000. HCL-v affects mainly elderly patients with a median age of 71 years.

PATHOGENESIS

The pathogenesis of HCL is not fully understood. Exposure to ionizing radiation, pesticides, and farming have been suggested as possible etiologies (810), cases of HCL have been reported among family members with the same HLA haplotype (11). In most patients, HCL arises from a late, activated memory B cell that acquires a single somatic point mutation in the DNA sequence of v-Raf murine sarcoma viral oncogene homolog B (BRAF), a kinase-encoding proto-oncogene (BRAFV600E) (12).

The BRAFV600E mutation is detected in up to 80–90% of classic HCL patients (13, 14). The mutation involves a thymine-to-adenine transversion at nucleotide in exon 15 of BRAF at position 1799 of the gene-coding sequence located in chromosome 7q34. The replacement produces an amino acid change from valine (V) to glutamate (E) at position 600 (V600E) of the protein sequence, ultimately leading to aberrant activation of BRAF kinase and the downstream MEK-ERK signaling. Indeed, the BRAFV600E mutation has been found to be more or less ubiquitous in studies involving hundreds of classic HCL patients (4, 15, 16). The BRAFV600E mutation itself is clonal and heterozygous, although a minority of patients lose the wild-type allele as a result of a concomitant 7q deletion (13, 17). The mutation remains stable over the whole disease course, from the initial diagnosis to relapses, which can occur even many years after initial presentation. The mutation is responsible for continuous BRAF activation, and, in turn, provides continuous signaling to the RAS–RAF–MEK-ERK signaling pathway, whose aberrant activation activates a distinct phenotype and enhances the survival of the HCL cell.

In addition to the BRAFV600E mutation, the most common genetic alteration in classical HCL is a loss in copy number for chromosome7q (13). A mutated immunoglobulin heavy chain variable region (IGHV) gene profile is detected in 90% of HCL patients. The absence of a BRAF mutation (BRAFWT) is associated with the activation of mutations in the mitogen-activated protein kinase kinase 1 (MAP2K1) gene by unmutated IGHV and VH4-34 rearrangements (18); this small subset of classic HCL patients has poor prognosis and poor response to nucleoside purine analogs (PNAs). In addition, a whole-exome sequencing study of patients with classic HCL confirmed the presence of various cancer-associated genes, including EZH2 and ARID1A, together with novel inactivating mutations of the cell cycle inhibitor CDKN1B (p27) (19). CDKN1B is the second most commonly mutated gene in HCL.

CLINICAL PRESENTATION

In most HCL cases, patients are asymptomatic, with pancytopenia incidentally discovered on a routine blood cell count examination (20, 21). If symptomatic, they typically present with symptoms related to worsening pancytopenia (fatigue, bruising, gingival bleeding, epistaxis, menorrhagia), splenomegaly (abdominal fullness, discomfort growing after eating) and recurrent infections. Rare clinical manifestations include polyarteritis nodosa, cutaneous leukocytoclastic vasculitis, bone involvement or central nervous system involvement (22, 23).

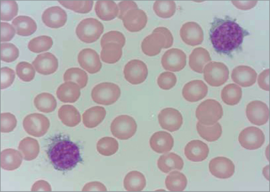
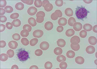
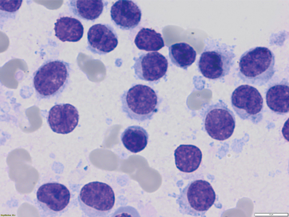
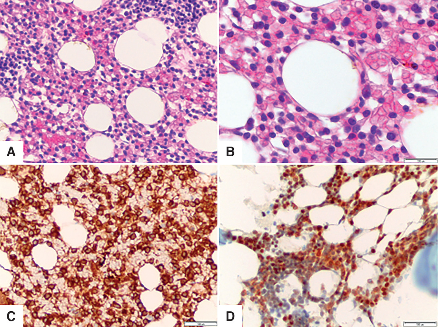
Peripheral blood and BM smear usually reveal the presence of typical hairy cells (Figure 1 and Figure 2). These are lymphoid cells, medium-sized, with abundant pale blue cytoplasm, small cytoplasmic projections and a mature-looking nucleus, giving the cell the appearance of a “fried egg”. However, BM is often difficult to aspirate due to extensive fibrosis induced by leukemic hairy cell infiltration (dry tap). Trephine biopsy is indicated for confirming any diagnosis of HCL. The BM biopsy specimen typically reveals massive infiltration by cells characterized by a wide rim of pale-staining cytoplasm that surrounds and separates the monotonous, bland hairy cell nuclei, as well as well-preserved cytoplasmic borders that reinforce the ‘fried egg’ appearance (Figure 3). The characteristic pattern of infiltration which is interstitial, diffuse or patchy, allows differentiation from the other B-cell lymphoid malignancies, where lymphoid cells with closely packed nuclei usually aggregate or form focal nodules (24, 25). The nucleus is round, oval or slightly serrated. Ki-67 is very low. Silver stains demonstrate an increase in reticulin fibers. Infiltrating hairy cells often disrupt the microvasculature of the bone marrow, leading to red blood cell extravasation and formation of pseudosinus and blood lakes (26). More precise assessment of the extent of infiltration can be provided by immunohistochemical staining (27). HCL cells are typically positive for B-cell associated antigens like e.g., CD20, but also for annexin-1 and VE1 (a BRAFV600E stain). Cases with hypocellular BM have been also reported (28). In these cases, special caution is recommended in order to avoid a misdiagnosis with aplastic anemia.

Fig 1

Figure 1. Morphological features of classic HCL cells with small- to medium-sized cells with oval to indented nucleus and circumferential cytoplasmic projections.

Fig 2

Figure 2. Bone marrow smear in classic HCL.

Fig 3

Figure 3. The histology of bone marrow involved by hairy cell leukemia with diffuse infiltration by regular, small cells (A, B) strongly expressing CD20 (C) and CD25 (D).

Immunophenotypic analysis is crucial for establishing the diagnosis. HCL cells show a mature B cell phenotype, with immunoglobulins on the surface with restricted light chains. They strongly express pan-B cell antigens including CD19, CD20, and CD22 and the hairy-specific antigens CD11c, CD25, CD103, CD123 (bright) (Figure 4). Staining for CD200 expression is intense (1, 2, 20). A majority (74%) of HCL also expresses annexin A1, which is not expressed in any other type of B cell neoplasm. HCL-v is typically negative for annexin A1, which can be a helpful distinguishing feature. However, since it is also expressed by myeloid cells and by some T cells, annexin A1 staining must be interpreted in conjunction with staining for a B cell antigen (16).

Fig 4

Figure 4. Classic HCL-phenotype on flow cytometry: CD11c+, CD103+, CD123+CD22+, CD25+, CD200+ cells.

Although 96% of the patients with HCL demonstrate an enlarged spleen, diagnostic or therapeutic splenectomy is rarely performed nowadays due to the evident BM involvement. Histologically, the disease is associated with expansion of red pulp areas and severe atrophy of the white pulp. The normal splenic architecture of cords and sinusoids is destroyed by hairy cell infiltration, resulting in the formation of blood lakes and pseudosinus. The HCL infiltrate is histologically similar to that described in the bone marrow. The lymph nodes are rarely enlarged and therefore, rarely evaluated by pathologists. Nodal involvement is usually confined to retroperitoneal and abdominal nodes. Hairy cells infiltrate the cortex and the medullary cord regions, while the sinuses are typically intact and follicular structures are spared (28, 29).

TREATMENT OF CLASSIC HCL

A diagnosis of HCL does not necessarily entail treatment initiation in all patients. Indeed, asymptomatic patients (10% of all HCL patients) with moderate pancytopenia may remain stable and asymptomatic for years (1, 2). Such cases should be carefully followed in the outpatient setting until blood cell counts begin to decline. The frequency of visitation must be individualized to the clinical status of the patient. In addition, to ensure safe monitoring, the patient should also have a broad knowledge of the symptoms (30).

Symptomatic patients should however receive treatment for HCL. The indication for treatment initiation includes symptomatic splenomegaly, constitutive symptoms, recurrent infections and/or at least one significant cytopenia (absolute neutrophil count <1000/μL), hemoglobin concentration <11 g/dL, or platelet count <100,000/μL) (1, 2). Taking into account the myelosuppressive effect of PNAs, it seems advisable to start the treatment before the counts decline to dangerous level.

FIRST-LINE TREATMENT

The purine nucleoside analogs cladribine (2-chlorodeoxyadenosine, 2-CdA) and pentostatin (deoxycoformycin, DCF), remain the standard first-line treatment for HCL and their design is still recognized as one of the greatest achievements in cancer therapy (Table 1) (3143). Although 2-CdA and DCF have never been compared head-to-head, the two agents demonstrate similar long-term results regarding efficacy and toxicity. However, 2-CdA is more convenient for patients due to the shorter treatment duration, and hence is used more often than DCF (40, 41). In a study performed at Scripps Clinic in San Diego in 1990, all 12 patients responded to treatment, and 11 achieved complete remissions (CR) (43). Retrospective studies report overall response rates (ORR) of >95% and a complete remission (CR) rate >75%, with median relapse-free survival (RFS) up to 15 years. Many patients who were the first to be treated with PNAs are still alive 30 years later and remain in their first CR (42). A recently published European multicenter meta-analysis confirmed that 2-CdA has high efficacy as the first-line treatment. Data collected on 384 patients treated between 1969 and 2018 identified a 94% overall response rate (ORR), which was comparable with previous analyses, and a median OS of 25 years. Median PFS was 13 years, but even more importantly, 43% of patients were still free from progression after 22 years (37).

TABLE 1 Selected clinical trials of first line treatment with PNAs with longer follow-up in classic hairy cell leukemia

Study Treatment No of pts/Follow-up Response Response duration and OS
Saven et al 1998 (31) 2-CdA 0.087 or 0.1 mg/kg/d ci × 7 days 349/median 52 m ORR 98%, CR 91%, PR 7% Median PFS for all responders 52 m, for CR 53m, for PR 37m
Goodman et al 2003 (32) 2-CdA 0.1 mg/kg/d ci × 7 days 207/NA ORR 100%, CR 95%, PR 5% 95%/Median 98m Median PFS for all responders 98 m, OS 97% at 108 months
Cheson et al. 1998 (34) 2-CdA 0.1 mg/kg/d ci × 7 days 861/median 52 m CR 50%, PR 37% Median PFS > 44 m (range 1–63 + m)
Broccoli et al. 2022 (35) 2-CdA sc or iv 384/median 8.5 yrs CR 72%, PR 22% Median PFS 13 years, median OS not reached at 25 years
Inbar et al. 2018 (36) 2-CDA i.v. (62%) or sc (38%) × 5 days 203/median 5.2 yrs NR. OS at 10-year 94%, and at 20 yrs 75%
Broccoli et al. 2021 (37) 2-CdA 0.14 mg/kg sc or iv, for 5–7 days or once a week for 5 weeks. 122/followed between 1986 and 2018 ORR 86%, CR 54% Median TTNT – 8.2 years, for PR 5.3 years ; for CR median NR at 25.8 years, median OS NR; probability of 65.7% alive at 25 years.
Grever et al 1995 (38) DCF 2–4 mg/m2 iv biweekly 154/median 57 m OR 79%, PR 76% Median RFS 82 m
Else et al (39) DCF 4 mg/m2 iv biweekly 188/median 14.0 yrs OR96%, CR82% Median PFS 10.5 yrs; Median RFS 16 yrs; OS at 15 yrs 78%

2-CdA: 2-chlorodeoxiadenosine, cladribine; ci: continuous infusion; CR: complete response; DCF: deoxycoformycin, pentostatin; DFS: disease free survival; iv: intravenously; NA: not available; NR: not reached; No: number of patients – month; ORR: overall response rate; OS: overal survival; PFS: progression free survival; PR: partial response; RFS: relapse free survival; sc: subcutaneoysly; TFI: treatment free interval; TTNT: time-to-next treatment; yrs: years

Cladribine follows different schedules and routes of administration. Originally, 2-CdA was administered at a dose of 0.1mg/kg/d for seven days in continuous intravenous infusion. However, the plasma concentration of 2-CdA does not differ between two-hour or continuous infusion, and so the drug is most commonly given as two-hour intravenous or subcutaneous infusions (44, 45). In addition, treatment with weekly 2-CdA infusions is equally effective as the standard 5-day 2-CdA administration (46, 47). Currently, 2-CdA is typically used at a dose of 0.12–0.14mg/kg/ day as a two-hour intravenous infusion for five to seven days, or 0.12–0.15 mg/kg/day in a two-hour intravenous infusion, once a week for six doses.

Treatment with 2-CdA might be complicated by fever present during or shortly following therapy, without other infectious symptoms or marked deterioration of general clinical status; this is usually attributed to cytokine release associated with rapid lysis of circulating hairy cells (48). In addition, neutropenia and infections can occur as symptoms of the natural history of the disease. On the other hand, these symptoms could arise as a consequence of PNA administration and their myelosuppressive and/or immunosuppressive activity (49). A complete diagnostic work-up and the prompt use of broad-spectrum antibiotics in combination with granulocyte colony stimulating factor (G-CSF) are commonly indicated. Cladribine is contraindicated in patients with active infection, and it is recommended to treat infections before beginning treatment with PNAs whenever possible. If immediate treatment initiation is needed, DCF at a reduced dose or interferon alpha (IFN-α) must be considered. Recently, BRAF inhibitors have been reported to be effective and safe in patients with newly diagnosed classic hairy cell leukemia and active infection (50).

If PNAs are contraindicated, the BRAF inhibitors vemurafenib or dabrafenib can be used off-label in patients with neutropenia and infections. They can also be used before PNA therapy; in such cases, PNA therapy should be considered following amelioration of blood cell count and recovery from infection to obtain the best possible response in the treatment of HCL.

Another option for the treatment of HCL patients is the use of 2-CdA administered concurrently with eight weekly doses of rituximab, or with rituximab administered at least six months later, depending on minimal residual disease (MRD) status. In patients treated with 2-CdA plus concurrent rituximab, the CR rate was found to be 94% with minimal residual disease (MRD) being undetectable for a median of 6.5 years (51). However, this treatment is suggested rather for patients who are relapsed or refractory to PNA monotherapy (1, 2).

Pentostatin is typically administered intravenously at a dose of 4 mg/m2 by bolus injection or diluted in a larger volume and given over 20 to 30 minutes once every other week. In the absence of major toxicity and with continuing improvement, the treatment should be continued until hematologic CR plus two additional doses following CR. In patients with active infection or any other increased risk of mortality or morbidity due to myelosupression, the pentostatin dose might be reduced to 2 mg/m2 until clinical improvement is observed, with subsequent administration of standard doses (52).

Nowadays, there are limited indications for the use of IFN-α in the first-line treatment. The responses induced by IFN-α are partial and of short duration. Most patients eventually relapse, with a median response duration ranging from 6 to 25 months (53). The use of IFN-α may be used transiently to increase the neutrophil count and cure infection, prior to the initiation of treatment with PNA (54). Another potential indication for IFN-α treatment is the COVID-19 pandemic, to avoid the severe immunosuppression associated with PNA and rituximab use (55). Splenectomy is a life-saving procedure for splenic rupture due to splenomegaly. In patients refractory to IFN-α, it may be also be performed in pregnancy (56, 57).

TREATMENT OF RELAPSED/REFRACTORY HCL

Despite the remarkable success of PNAs, half of the patients experience at least one relapse of the disease later in life. As such, new therapeutic strategies are still needed to further improve PFS. At relapse, the same indications for treatment apply as for first-line therapy, including symptomatic disease or progressive cytopenias (1, 2). Patients with early relapse (< 24 months) are candidates for alternative therapies, preferentially with novel drugs or within clinical trials. In remission lasting 24–60 months, retreatment with PNA combined with rituximab should be considered. The addition of rituximab to 2-CdA at standard doses of 375mg/m2 weekly for 6-8 doses, either concurrently or sequentially one month after 2-CdA, can improve the outcome (51, 58). Finally, patients who remain in CR for more than five years (>60 months) may be retreated with the initial therapy (1).

Bendamustin (70mg/m2 or 90mg/m2) in combination with rituximab (375 mg/m2) given intravenously on days 1 and 15, for six cycles at four-week intervals demonstrated activity in 12 heavily pretreated HCL patients (59). The overall response rate was 100%, with seven CRs. MRD was undetectable in six patients with CRs at 30–35 (median 31) months of follow-up.

MOXETUMOMAB PASUDOTOX

Moxetumomab pasudotox (Moxe), was originally discovered by Ira Pastan and Robert Kreitman in the National Cancer Institute, Center for Cancer Research (60, 61). Moxe is an anti-CD22 targeted recombinant immunotoxin produced by the fusion of a toxin fragment, Pseudomonas exotoxin A (PE38), with the Fv of the murine anti-CD22 antibody, which leads the toxin directly to the tumor cell. The drug was active and well tolerated in phase 1 and 3 studies performed in relapsed/refractory patients with HCL (60, 6265). In the phase 1/2 study Moxe was used at a dose of 50-µg/kg every other day for three doses in four-week cycles (60, 62). Among 33 analyzed patients, the OR rate was 88%, with 64% CR. The CR duration was longer in MRD-negative patients. The median CR duration was 13.5 months in nine MRD-positive CRs, and 42.1 months in 11 MRD-negative CRs.

In a phase 3 trial, 80 patients were treated with Moxe at a dose of 40 µg/kg by 30 min intravenous infusion on days 1, 3, and 5 of a 28-day cycle (64). Treatment was continued for up to six cycles, or until CR with MRD negativity, disease progression or unacceptable toxicity. At a median follow-up of 24.6 months, 60 patients (75%) had responded to treatment, of which 27 had MRD-negative CR. The durable CR rate with hematologic response longer than 180 days was 36%, and CR longer than 360 days was 33%. Longer median hematologic remission was noted in MRD-negative patients (62.8 months) than in MRD-positive patients (12.0 months). Inferior results were observed in splenectomized patients. There is a single report on successful retreatment with Moxe in relapsed patients (65).

The most frequent adverse events (AEs) were easily manageable nausea, peripheral edema, headache, and pyrexia. Hemolytic uremic syndrome (HUS) and capillary leak syndrome (CLS) are black box warnings for Moxe, which was noted in eight patients (10%), before or on day 8 of treatment; these led to drug discontinuation (6265). Thus, careful clinical and laboratory assessment are mandatory during treatment. In order to prevent life-threatening complications, adequate oral and intravenous hydration is recommended. All patients should receive intravenous fluids two to four hours before and after Moxe administration. On days 1-8 of each 28-day cycle, all patients should be hydrated with oral fluids, 250ml per hour, and not to go more than two to three hours at night without drinking. Thromboprophylaxis with low-dose aspirin is also considered (66).

Moxe was approved by the USA Food and Drug Administration (FDA – September 2018) and the European Medicines Agency (EMA – February 2021) for the treatment of adult patients with relapsed/refractory HCL who had received at least two prior systemic therapies, including treatment with purine analogues. However, in July 2021 the European Commission withdrew the approval for Moxe in the European Union. The withdrawal was performed at the request of the marketing authorization holder, AstraZeneca, for commercial reasons. Moxe is still commercially available in the USA.

BRAF INHIBITORS

The BRAFV600E mutation, the driving genetic event in HCL, provided the scientific rationale for the therapeutic use of BRAF-MEK pathway inhibitors in patients with classic HCL. The BRAF kinase inhibitors vemurafenib and dabrafenib are active drugs in patients with refractory and recurrent HCL; they can be used in monotherapy, or in combination with CD20 antibodies or MEK inhibitors (Table 2). In a phase-2 single-arm multicenter study performed in Italy and the USA, vemurafenib was given as a single drug at 960 mg twice daily for a median of 16–18 weeks (67). Most of the patients responded to treatment. Overall response rates were 96% (25/26) after a median of eight weeks in the Italian patients and 100% after a median of 12 weeks in the USA. Complete response rates were 34.6% and 41.7%, respectively. However, all the CRs were MRD positive, and the median relapse-free survival (RFS) was only nine months after treatment discontinuation (67).

TABLE 2 Larger clinical trials with novel agents in hairy cell leukemia

Study Treatment regimen No of pts/characteristics Response Response duration and OS
Kreitman et al. 2018, 2021 (63, 64) Moxetumomab pasudotox 40 μg/kg i.v. on days 1, 3, and 5 every 28 days for ≤6 cycles 80/cHCL or HCL-v after ≥2 prior therapies ORR – 80%, CR – 41%; CR MRD negative – 85%; Median PFS 71.7 m for CR lasting ≥ 60 months, CR with HR ≥ 360 days –33%
Tiacci et al. 2015 (67) Vemurafenib 960 mg p.o.twice daily for 16 or 18 50/cHCL, R/R after PNA Italian study: ORR – 96%, CR – 35%
U.S. study: OR –100%, CR –42%
Italian study: RFS 19m;U.S. study:
1-year PFS 73% and 1-year OS 91%
Dietrich et al 2016 (68) Vemurafenib 240-1920 mg/d p.o. for median 90 days 21/cHCL, median TFD 8 yrs ORR 95%, CR 40% Median EFS 17m, OS at 12 m –88%.
Tiaccci et al. 2021 (70) Vemurafenib 960 mg p.o. twice daily for 8 weeks + rituximab 375 mg/m2 i.v. every two weeks 30/c HCL with a median of 3 previous therapies. CR – 26/30 (87%), MRD negative CR 17 (65%) PFS for median follow-up of 37 m 78%, RFS for median follow-up of 37 m 85%
Tiaccci et al. 2021 (73) Dabrafenib 150 mg p.o. twice daily for 8–12 weeks 10/RR cHCL, median 3.5 prior ther therapies ORR 80%, CR 30%, PR – 50% OS 90% at median follow-up 64 m
Kreitman et al. 2018 (74) Dabrafenib 150 mg p.o.twice daily) + trametinib 2 mg p.o. once daily 43/RR cHCL (49% received ≥ 4 prior treatments) ORR -32/41 (78%); CR – 20 (49%), PR 12 (29%) PFS and OS at 1 year – 97.6%
Rogers et al 2021 (76) Ibrutinib:
420 mg – 840 mg p.o. daily-10
37/ cHCL –28 (76%) HCL-v – 9(24%) ORR (CR and PR) at 32 weeks 24% and at 48 weeks 54% Estimated 3yrs - PFS rate -73% and OS rate – 85%, median OS – 69 months

BM: bone marrow; CR: complete response; cHCL: classic HCL; EFS: event-free survival; HCL-v: HCL variant; HR: hematologic remission; MRD: minimal residual disease; ORR: overall response rate; OS: overall survival; PFS: progression free survival; p.o.: orally; PR: partial response; RR: refractory/relapsed; RFS: relapse-free survival; TFD: time from diagnosis; ther: therapies.

Drug-related AEs were mostly of grade 1–2, and these included skin toxicity (rash, photosensitivity), arthralgia, fever, and elevated bilirubin level. All adverse events were reversible and easily manageable with dose-adjustments and symptomatic treatments including low-dose steroids and non-steroidal anti-inflammatory drugs. However, about 50% of patients required dose modifications due to AEs. Originally, the dosing and scheduling of BRAF inhibitors was extrapolated from standard treatments for melanoma and still remains a matter of debate. Based on the retrospective analysis of patients treated outside clinical trials with variables schedules of administration, we already know that BRAF inhibitors induce hematologic remission in all HCL patients, regardless of the dose used (68). However, higher doses of BRAF inhibitors (vemurafenib > 480mg BID, dabrafenib > 150mg BID) improve the quality of responses and prolong time to next treatment (TNT) when compared with low-dose BRAF inhibitors. Retreatment with BRAF inhibitors is equally effective only after the second course, but the responsiveness decreases with each successive cycle, with median TNT less than four months (68, 69). In those cases, when BRAF inhibitors are the only available treatment option, continuous treatment with low-dose BRAF inhibitors should be considered, as it may provide stabilization of the disease for more than one year (69).

Deeper and longer responses can be achieved when vemurafenib is combined with rituximab (70). In a phase 2 trial in patients with refractory or relapsed HCL, vemurafenib was administered at 960mg BID for eight weeks and rituximab at 375mg/m2 every two weeks for eight doses (70). CR was achieved in 26 of 30 patients (87%). Furthermore, undetectable MRD was observed in 17 (65%) of 26 patients in CR. MRD negativity correlated with longer survival without relapse. These excellent responses correlated with PFS, which amounted to 78% at a median follow-up of 37 months. In addition, this drug combination seems to be effective in patients previously treated with Moxe (71). Vemurafenib was also combined with obinutuzumab in previously untreated HCL patients in a phase 2 study (72). Vemurafenib was administered at a dose of 960 mg twice per day for four months and obinutuzumab at 1000 mg.iv. on days 1, 8 and 15 of month 2, and day 1 of months 3 and 4. MRD-negative CR was achieved in seven patients, and PR was noted in two patients at the end of treatment. All patients remained in remission with a median follow-up of 9.7 months.

Another BRAF inhibitor, dabrafenib, was investigated in a phase 2 study in relapsed/refractory patients with classic HCL (73). Dabrafenib was given at a dose of 150 mg twice daily for eight weeks. If no CR was obtained after this time, the patients received an additional four-week treatment. ORR was 80% and CR 30%. The combination of BRAF inhibitors with MEK inhibitors is another strategy for enhancing treatment efficacy (74). In a phase 2 trial, dabrafenib was administered continuously at a dose of 150 mg BID with tramentinib 2 mg, once daily. Response was achieved in 78% of patients. PFS and OS rates were both 97.6% at 12 months, and PFS was 50% at 18 months. However, AEs led to dose reduction in 42% and treatment interruption in 56% of patients.

IBRUTINIB

The B-cell receptor (BCR) signaling pathway is a crucial pathway of B cells, both for their survival and for surface-mediated activation, proliferation, and differentiation. BCR signaling is also involved in HCL pathogenesis (75). Recently, ibrutinib was evaluated in a phase 2 study in 37 HCL patients including 28 with classic HCL and nine with HCL-v (76). Ibrutinib was given at a dose 420–840 mg daily until progression or unacceptable toxicity. Response was 24% at 32 weeks and 36% at 48 weeks. The OR rate at any time was 54% including seven CR, 13 PR and 10 patients had stable disease. Similar response rates were observed in patients with the classic HCL and HCL-v. The estimated 36-month PFS was 73% and OS 85%, with no differences between HCL and HCL-v. Even though the results are not as spectacular as with other novel drugs, ibrutinib remains an option for patients not suitable for other treatments (77).

HAIRY CELL LEUKEMIA VARIANT

Hairy cell leukemia variant (HCL-v) is a rare B-cell lymphoproliferative neoplasm, arising or locating primarily in the spleen; it is biologically distinct from classic HCL, being more aggressive and responding poorly to PNAs (78). In the fifth edition of the WHO Classification of Hematolymphoid Tumors (2022), HCL-v and prolymphocytic B-cell leukemia are reclassified as splenic B-cell lymphoma/leukemia with prominent nucleoli (5). The clinical course of HCL-v is more aggressive than classic HCL with a median OS of 7–9 years (79). Morphologically, HCL-v cells show hybrid features between classic HCL cells and prolymphocytes. The nuclei have a prominent nucleolus, similar to prolymphocytes, and the cytoplasm often has a variable number of cytoplasmic projections. Patients are usually symptomatic, with symptoms of anemia and/or bleeding depending on cytopenias, and with abdominal discomfort related to splenomegaly. White blood count is elevated with lymphocytosis in the PB smear, accompanied by anemia and thrombocytopenia. The absolute number of monocytes is normal, in contrast to classic HCL. The BM is hypercellular and may be easily aspirated. Peripheral lymphadenopathy is rare, but central lymphadenopathy with enlarged abdominal and retroperitoneal lymph nodes may be detected on CT scans. Hepatomegaly is reported in 20–30%.

A critical aspect of HCL-v diagnosis is immunophenotype. Leukemic cells strongly express the pan-B-cell markers CD19, CD20, CD22 and FMC7. Surface immunoglobulin expression is strong, with CD5 and CD23 usually negative. In contrast to classic HCL, CD25 and CD123 are negative but CD11c is always positive and CD103 is positive in 2/3 of HCL-v cases.

HCL-v lacks Annexin A1 expression and the BRAFV600E point mutation, which is characteristic of classic HCL. A subset of patients also has activating mutations in MAP2K1, a gene that encodes MEK1, a downstream component of the BRAF-MEK-ERK signaling cascade. While there is no genetic mutation diagnostic of HCL-v, genetic profiling efforts have identified potential therapeutic targets (i.e., MAP2K1, KDM6A, CREBBP, ARID1A, CCND3, U2AF1, KMT2C).

PNAs are less active in HCL-v than in classic HCL. In addition, patient responses are poor and of short duration: only about a half the patients obtain PR, and the median time of response is 15 months (80). The current treatment of choice in previously untreated HCL-v patients is combination immunochemotherapy with 2-CdA and rituximab. In a phase 2 study 2-CdA was given intravenously, at a dose of 0.15mg/kg for five consecutive days with eight weekly doses of rituximab 375mg/m2 in 20 patients, of whom eight were previously untreated and 12 with recurrent/refractory disease (81). The CR rate was 95%, and MRD negative CR in 80% of patients at six months after the end of treatment. The 5-year PFS was 63.3% and 10-year PFS was 44.3%. The duration of response was longer in the MRD-negative patients.

Ibrutinib is active in the treatment of HCL-v. Recently published data by Rogers et al. show the ORR increasing with time, from 24% at 32 weeks to 36% at 48 weeks, for both HCL-v and classic HCL (76). Splenectomy is still an option in the treatment of HCL-v as it corrects cytopenias due to hypersplenism and removes a significant bulk of disease. Historical results indicate 74% PRs lasting for 1–10 years (median: four years) (82, 83). Rituximab may be used as a consolidation therapy after splenectomy (84). In addition, splenic irradiation can be considered in elderly patients with high surgical risks (80).

CONCLUSION

Classic HCL is a rare type of B-cell chronic lymphoid leukemia characterized by marked splenomegaly, progressive pancytopenia, and reactive marrow fibrosis. A diagnosis of HCL is based on cytology and confirmed by flow cytometry studies using anti-B-cell antibodies against CD19, CD20 or CD22, as well as antibodies more specific to HCL, such as CD11c, CD25, CD103 and CD123. Most patients with classic HCL also demonstrate the BRAFV600E mutation, which has been described as a disease-defining genetic event.

The purine nucleoside analogs 2-CdA and DCF are the drugs of choice in previously untreated patients with HCL. These agents induce durable and unmaintained, long-lasting CR in more than 70% of patients. Thanks to the use of these drugs, classic HCL has transformed from a disease with poor prognosis to a highly treatable disorder with near-normal survival. Rituximab is also active in HCL and can be given as a single agent or in combination with PNA. Immunotoxin, i.e., moxetumomab pasudotox, has been approved for the treatment of patients with relapsed or refractory HCL who relapse after two or more prior systemic therapies. The BRAF inhibitors vemurafenib and dabrafenib exhibit remarkable activity in patients with classic HCL and are used in relapsed and refractory patients. However, these drugs have not yet been formally approved for the treatment of HCL. BRAF inhibitors are more active when combined with CD20 monoclonal antibodies. The BTK inhibitor ibrutinib is under investigation in patients with relapsed HCL and has demonstrated some activity.

HCL-v is characterized by lymphocytosis with lymphoid cells of relatively large size and prominent nucleoli, cytopenias without monocytopenia, atypical HCL immunophenotype without CD25 expression, and a lack of BRAF mutation. Biologically, this disease is more closely related to splenic lymphomas, and together with prolymphocytic B-cell leukemia, has been reclassified by the fifth edition of the WHO Classification of Haematolymphoid Tumors (2022) as splenic B-cell lymphoma/leukemia with prominent nucleoli.

Although HCL-v demonstrates poor response to single-agent purine analogs 2-CdA and DCF, which are very effective in classic HCL, better ORR and response duration were achieved by combining PNAs with rituximab. Indeed, the combination of 2-CdA with rituximab is now the recommended first-line treatment in this disease.

Acknowledgment: This research was supported by funding from the Medical University of Lodz, Poland (No. 503/1-093-01/503-11-004). We thank Edward Lowczowski from the Medical University of Lodz for editorial assistance.

Conflict of Interest: The authors declare no potential conflicts of interest with respect to research, authorship and/or publication of this manuscript.

Copyright and Permission Statement: The authors confirm that the materials included in this chapter do not violate copyright laws. Where relevant, appropriate permissions have been obtained from the original copyright holder(s), and all original sources have been appropriately acknowledged or referenced.

REFERENCES

  1. Grever MR, Abdel-Wahab O, Andritsos LA, Banerji V, Barrientos J, Blachly JS, Call TG, Catovsky D, Dearden C, Demeter J, et al : Consensus guidelines for the diagnosis and management of patients with classic hairy cell leukemia. Blood. 2017;129(5):553–60. https://doi.org/10.1182/blood-2016-01-689422
  2. Robak T, Matutes E, Catovsky D, Zinzani PL, Buske C; ESMO Guidelines Committee. Hairy cell leukaemia: ESMO Clinical Practice Guidelines for diagnosis, treatment and follow-up. Ann Oncol. 2015;26 (Suppl 5):v100-7. https://doi.org/10.1093/annonc/mdv200
  3. Swerdlow SH, Campo E, Pileri SA, Harris NL, Stein H, Siebert R, et al. The 2016 revision of the World Health Organization classification of lymphoid neoplasms. Blood. 2016;127(20):2375–90. https://doi.org/10.1182/blood-2016-01-643569
  4. Maitre E, Tomowiak C, Lebecque B, Bijou F, Benabed K, Naguib D, et al. Deciphering genetic alterations of hairy cell leukemia and hairy cell leukemia-like disorders in 98 patients. Cancers (Basel). 2022;14(8):1904. https://doi.org/10.3390/cancers14081904
  5. Alaggio R, Amador C, Anagnostopoulos I, Attygalle AD, Araujo IBO, Berti E, et al. The 5th edition of the World Health Organization Classification of Haematolymphoid Tumours: Lymphoid Neoplasms. Leukemia. 2022;36(7):1720–48. https://doi.org/10.1038/s41375-022-01620-2
  6. Teras LR, DeSantis CE, Cerhan JR, Morton LM, Jemal A, Flowers CR. 2016 US lymphoid malignancy statistics by World Health Organization subtypes. CA Cancer J Clin. 2016;66(6):443–59. https://doi.org/10.3322/caac.21357
  7. Dores GM, Matsuno RK, Weisenburger DD, Rosenberg PS, Anderson WF. Hairy cell leukaemia: a heterogeneous disease? Br J Haematol. 2008;142(1):45–51.https://doi.org/10.1111/j.1365-2141.2008.07156.x
  8. Monnereau A, Slager SL, Hughes AM, Smith A, Glimelius B, Habermann TM, et al, Clavel J. Medical history, lifestyle, and occupational risk factors for hairy cell leukemia: the InterLymph Non-Hodgkin Lymphoma Subtypes Project. J Natl Cancer Inst Monogr. 2014;2014(48):115–24. https://doi.org/10.1093/jncimonographs/lgu004
  9. Orsi L, Delabre L, Monnereau A, Delval P, Berthou C, Fenaux P, et al J.Occupational exposure to pesticides and lymphoid neoplasms among men: results of a French case-control study. Occup Environ Med. 2009;66(5):291–8. https://doi.org/10.1136/oem.2008.040972
  10. Stewart DJ, Keating MJ. Radiation exposure as a possible etiologic factor in hairy cell leukemia (leukemic reticuloendotheliosis). Cancer. 1980;46(7):1577-80. https://doi.org/10.1002/1097-0142(19801001)46:7<1577::AID-CNCR2820460714>3.0.CO;2-L
  11. Colovic MD, Jankovic GM, Wiernik PH. Hairy cell leukemia in first cousins and review of the literature. Eur J Haematol. 2001;67(3):185–8. https://doi.org/10.1034/j.1600-0609.2001.5790478.x
  12. Tiacci E, Trifonov V, Schiavoni G, Holmes A, Kern W, Martelli MP, et al. BRAF mutations in hairy-cell leukemia. N Engl J Med. 2011;364(24):2305–15. https://doi.org/10.1056/NEJMoa1014209
  13. Xi L, Arons E, Navarro W, Calvo KR, Stetler-Stevenson M, Raffeld M, Kreitman RJ. Both variant and IGHV4-34-expressing hairy cell leukemia lack the BRAF V600E mutation. Blood. 2012;119(14): 3330–2. https://doi.org/10.1182/blood-2011-09-379339
  14. Tiacci E, Schiavoni G, Forconi F, Santi A, Trentin L, Ambrosetti A, et al. Simple genetic diagnosis of hairy cell leukemia by sensitive detection of the BRAF-V600E mutation. Blood. 2012;119(1):192–5. https://doi.org/10.1182/blood-2011-08-371179
  15. Oscier D, Stamatopoulos K, Mirandari A, Strefford J. The genomics of hairy cell leukaemia and splenic diffuse red pulp lymphoma. Cancers (Basel). 2022; 29:14(3):697. https://doi.org/10.3390/cancers14030697
  16. Troussard X, Maître E, Cornet E. Hairy cell leukemia 2022: Update on diagnosis, risk-stratification, and treatment. Am J Hematol. 2022;97(2):226–236. https://doi.org/10.1002/ajh.26390
  17. Tschernitz S, Flossbach L, Bonengel M, Roth S, Rosenwald A, Geissinger E. Alternative BRAF mutations in BRAF V600E-negative hairy cell leukaemias. Br J Haematol. 2014;165(4):529–33. https://doi.org/10.1111/bjh.12735
  18. Forconi F, Sozzi E, Cencini E, Zaja F, Intermesoli T, Stelitano C, et al. Hairy cell leukemias with unmutated IGHV genes define the minor subset refractory to single-agent cladribine and with more aggressive behavior. Blood. 2009;114(21):4696–702. https://doi.org/10.1182/blood-2009-03-212449
  19. Andrulis M, Penzel R, Weichert W, von Deimling A, Capper D. Application of a BRAF V600E mutation-specific antibody for the diagnosis of hairy cell leukemia.Am J Surg Pathol. 2012;36(12): 1796–800. https://doi.org/10.1097/PAS.0b013e3182549b50
  20. Maitre E, Cornet E, Salaün V, Kerneves P, Chèze S, Repesse Y, Damaj G, Troussard X. Immunophenotypic analysis of hairy cell leukemia (HCL) and hairy cell leukemia-like (HCL-like) disorders. Cancers (Basel). 2022;14(4):1050. https://doi.org/10.3390/cancers14041050
  21. Puła A, Robak T. Hairy cell leukemia: a brief update on current knowledge and treatment prospects. Curr Opin Oncol. 2021;33(5):412–19. https://doi.org/10.1097/CCO.0000000000000771
  22. Robak E, Jesionek-Kupnicka D, Robak T. Skin changes in hairy cell leukemia. Ann Hematol. 2021;100(3):615–25; https://doi.org/10.1007/s00277-020-04349-z
  23. Robak P, Jesionek-Kupnicka D, Kupnicki P, Polliack A, Robak T. Bone lesions in hairy cell leukemia: Diagnosis and treatment. Eur J Haematol. 2020;105(6):682-91https://doi.org/10.1111/ejh.13505
  24. Kreitman RJ. Hairy cell leukemia: present and future directions. Leuk Lymphoma. 2019;60(12): 2869–2879. https://doi.org/10.1080/10428194.2019.1608536
  25. Summers TA, Jaffe ES. Hairy cell leukemia diagnostic criteria and differential diagnosis. Leuk Lymphoma 2011; 2011;52(Suppl 2):6–10. https://doi.org/10.3109/10428194.2011.565435
  26. Katayama I. Bone marrow in hairy cell leukemia. Hematol Oncol Clin North Am. 1988;2(4):585–602. https://doi.org/10.1016/S0889-8588(18)30586-0
  27. Troussard X, Maître E, Cornet E. Hairy cell leukemia 2022: Update on diagnosis, risk-stratification, and treatment. Am J Hematol. 2022;97(2):226–36. https://doi.org/10.1002/ajh.26390
  28. Wierda WG, Byrd JC, Abramson JS, et al. Hairy Cell Leukemia, Version 2.2018, NCCN Clinical Practice Guidelines in Oncology. J Natl Compr Canc Netw. 2017;15(11):1414–1427. https://doi.org/10.6004/jnccn.2017.0165
  29. Wotherspoon A, Attygalle A, Mendes LS. Bone marrow and splenic histology in hairy cell leukaemia. Best Pract Res Clin Haematol. 2015;28(4):200–7. https://doi.org/10.1016/j.beha.2015.10.019
  30. Cross M, Dearden C. Hairy cell leukaemia. Curr Oncol Rep. 2020;22(5):42. https://doi.org/10.1007/s11912-020-00911-0
  31. Saven A, Burian C, Koziol JA, Piro LD. Long-term follow-up of patients with hairy cell leukemia after cladribine treatment. Blood. 1998;92(6):1918–26. https://doi.org/10.1182/blood.V92.6.1918
  32. Goodman GR, Burian C, Koziol JA, Saven A. Extended follow-up of patients with hairy cell leukemia after treatment with cladribine. J Clin Oncol. 2003;21(5):891–6. https://doi.org/10.1200/JCO.2003.05.093
  33. Bohn JP, Neururer S, Pirklbauer M, Pircher A, Wolf D. Hairy cell leukemia patients have a normal life expectancy-a 35-year single-center experience and comparison with the general population. Cancers (Basel). 2022;14(5):1242. https://doi.org/10.3390/cancers14051242
  34. Cheson BD, Sorensen JM, Vena DA, Montello MJ, Barrett JA, Damasio E, et al. Treatment of hairy cell leukemia with 2-chlorodeoxyadenosine via the Group C protocol mechanism of the National Cancer Institute: a report of 979 patients. J Clin Oncol. 1998;16(9):3007–15. https://doi.org/10.1200/JCO.1998.16.9.3007
  35. Broccoli A, Argnani L, Cross M, Janus A, Maitre E, Troussard X, et al. A 3-decade multicenter European experience with cladribine as upfront treatment in 384 hairy cell leukemia patients. Blood Adv. 2022 May 18:bloodadvances.202200785. https://doi.org/10.1182/bloodadvances.2022007854
  36. Inbar M, Herishanu Y, Goldschmidt N, Bairey O, Yuklea M, Shvidel L, et al. Hairy cell leukemia: retrospective analysis of demographic data and outcome of 203 patients from 12 medical centers in Israel. Anticancer Res. 2018;38(11):6423–9. https://doi.org/10.21873/anticanres.13003
  37. Broccoli A, Argnani L, Nanni L, Terragna C, Sabattini E, Gabrielli G, et al. The treatment of hairy cell leukemia with a focus on long lasting responses to cladribine: A 30-year experience. Am J Hematol. 2021;96(10):1204–10. https://doi.org/10.1002/ajh.26287
  38. Grever M, Kopecky K, Foucar MK, Head D, Bennett JM, Hutchison RE, et al. Randomized comparison of pentostatin versus interferon alfa-2a in previously untreated patients with hairy cell leukemia: an intergroup study. J Clin Oncol. 1995;13(4):974–82. https://doi.org/10.1200/JCO.1995.13.4.974
  39. Else M, Dearden CE, Matutes E, Garcia-Talavera J, Rohatiner AZ, Johnson SA, et al.. Long-term follow-up of 233 patients with hairy cell leukaemia, treated initially with pentostatin or cladribine, at a median of 16 years from diagnosis. Br J Haematol. 2009;145(6):733–40. https://doi.org/10.1111/j.1365-2141.2009.07668.x
  40. Robak T, Błasińska-Morawiec M, Błoński J, Hellmann A, Hałaburda K, Konopka L, et al. 2-chlorodeoxyadenosine (cladribine) in the treatment of hairy cell leukemia and hairy cell leukemia variant: 7-year experience in Poland. Eur J Haematol. 1999 ;62(1):49–56. https://doi.org/10.1111/j.1600-0609.1999.tb01114.x
  41. Paillassa J, Cornet E, Noel S, Tomowiak C, Lepretre S, Vaudaux S, et al. Analysis of a cohort of 279 patients with hairy-cell leukemia (HCL): 10 years of follow-up. Blood Cancer J. 2020;10(5):62. https://doi.org/10.1038/s41408-020-0328-z
  42. Else M, Dearden CE, Catovsky D. Long-term follow-up after purine analogue therapy in hairy cell leukaemia. Best Pract Res Clin Haematol. 2015;28(4):217–229. https://doi.org/10.1016/j.beha.2015.09.004
  43. Piro LD, Carrera CJ, Carson DA, Beutler E. Lasting remissions in hairy-cell leukemia induced by a single infusion of 2-chlorodeoxyadenosine. N Engl J Med. 1990;322(16):1117–21. https://doi.org/10.1056/NEJM199004193221605
  44. Liliemark J, Juliusson G. Cellular pharmacokinetics of 2-chloro-2’-deoxyadenosine nucleotides: comparison of intermittent and continuous intravenous infusion and subcutaneous and oral administration in leukemia patients. Clin Cancer Res. 1995;1(4):385–90.
  45. Juliusson G, Heldal D, Hippe E, Hedenus M, Malm C, Wallman K, et al. Subcutaneous injections of 2-chlorodeoxyadenosine for symptomatic hairy cell leukemia. J Clin Oncol. 1995;13(4):989–95. https://doi.org/10.1200/JCO.1995.13.4.989
  46. Robak T, Jamroziak K, Gora-Tybor J, Blonski JZ, Kasznicki M, Dwilewicz-Trojaczek J, et al. Cladribine in a weekly versus daily schedule for untreated active hairy cell leukemia: final report from the Polish Adult Leukemia Group (PALG) of a prospective, randomized, multicenter trial. Blood. 2007;109(9):3672–5. https://doi.org/10.1182/blood-2006-08-042929
  47. Zenhäusern R, Schmitz SF, Solenthaler M, Heim D, Meyer-Monard S, Hess U, et al. Randomized trial of daily versus weekly administration of 2-chlorodeoxyadenosine in patients with hairy cell leukemia: a multicenter phase III trial (SAKK 32/98). Leuk Lymphoma. 2009; 50(9):1501–11. https://doi.org/10.1080/10428190903131755
  48. Juliusson G, Lenkei R, Tjønnfjord G, Heldal D, Liliemark J. Neutropenic fever following cladribine therapy for symptomatic hairy-cell leukemia: predictive factors and effects of granulocyte-macrophage colony-stimulating factor. Ann Oncol. 1995;6(4):371–5. https://doi.org/10.1093/oxfordjournals.annonc.a059186
  49. Robak T, Robak P. Purine nucleoside analogs in the treatment of rarer chronic lymphoid leukemias. Curr Pharm Des. 2012;18(23):3373–88. https://doi.org/10.2174/138161212801227005
  50. Shenoi DP, Andritsos LA, Blachly JS, Rogers KA, Moran ME, Anghelina M, Jones JA, Grever MR. Classic hairy cell leukemia complicated by pancytopenia and severe infection: a report of 3 cases treated with vemurafenib. Blood Adv. 2019;3(2):116–118. https://doi.org/10.1182/bloodadvances.2018027466
  51. Chihara D, Arons E, Stetler-Stevenson M, Yuan CM, Wang HW, Zhou H, et al. Randomized phase II study of first-line cladribine with concurrent or delayed rituximab in patients with hairy cell leukemia. J Clin Oncol. 2020 ;38(14):1527–1538. https://doi.org/10.1200/JCO.19.02250
  52. Andritsos LA, Dunavin N, Lozanski G, Jones JA, Blachly JS, Lucas DM, et al. Reduced dose pentostatin for initial management of hairy cell leukemia patients who have active infection or risk of hemorrhage is safe and effective. Haematologica. 2015;100(1):e18–20. https://doi.org/10.3324/haematol.2014.113290
  53. Ahmed S, Rai KR. Interferon in the treatment of hairy-cell leukemia. Best Pract Res Clin Haematol. 2003;16(1):69–81. https://doi.org/10.1016/S1521-6926(02)00084-1
  54. Maitre E, Cornet E, Troussard X. Hairy cell leukemia: 2020 update on diagnosis, risk stratification, and treatment. Am J Hematol. 2019;94(12):1413–22. https://doi.org/10.1002/ajh.25653
  55. Grever M, Andritsos L, Banerji V, Barrientos JC, Bhat S, Blachly JS, et al. Hairy cell leukemia and COVID-19 adaptation of treatment guidelines. Leukemia. 2021;35(7):1864–72. https://doi.org/10.1038/s41375-021-01257-7
  56. Habermann TM, Rai K. Historical treatments of in hairy cell leukemia, splenectomy and interferon: past and current uses. Leuk Lymphoma. 2011;52 (Suppl 2):18–20. https://doi.org/10.3109/10428194.2011.573033
  57. Stiles GM, Stanco LM, Saven A, Hoffmann KD. Splenectomy for hairy cell leukemia in pregnancy. J Perinatol. 1998;18(3):200–1.
  58. Chihara D, Kantarjian H, O’Brien S, Jorgensen J, Pierce S, Faderl S, et al. Long-term durable remission by cladribine followed by rituximab in patients with hairy cell leukaemia: update of a phase II trial. Br J Haematol. 2016;174(5):760–6. https://doi.org/10.1111/bjh.14129
  59. Burotto M, Stetler-Stevenson M, Arons E, Zhou H, Wilson W, Kreitman RJ. Bendamustine and rituximab in relapsed and refractory hairy cell leukemia. Clin Cancer Res. 2013;19(22):6313–21. https://doi.org/10.1158/1078-0432.CCR-13-1848
  60. Kreitman RJ, Tallman MS, Robak T, Coutre S, Wilson WH, Stetler-Stevenson M, et al. Phase I trial of anti-CD22 recombinant immunotoxin moxetumomab pasudotox (CAT-8015 or HA22) in patients with hairy cell leukemia. J Clin Oncol. 2012;30(15):1822–8. https://doi.org /10.1200/JCO.2011.38.1756
  61. Janus A, Robak T. Moxetumomab pasudotox for the treatment of hairy cell leukemia. Expert Opin Biol Ther. 2019;19(6):501–508. https://doi.org/10.1080/14712598.2019.1614558
  62. Kreitman RJ, Tallman MS, Robak T, Coutre S, Wilson WH, Stetler-Stevenson M, et al. Minimal residual hairy cell leukemia eradication with moxetumomab pasudotox: phase 1 results and long-term follow-up. Blood. 2018;131(21):2331–4. https://doi.org/10.1182/blood-2017-09-803072
  63. Kreitman RJ, Dearden C, Zinzani PL, Delgado J, Karlin L, Robak T, et al. Moxetumomab pasudotox in relapsed/refractory hairy cell leukemia. Leukemia. 2018;32(8):1768–77. https://doi.org/10.1038/s41375-018-0210-1
  64. Kreitman RJ, Dearden C, Zinzani PL, Delgado J, Robak T, le Coutre PD, et al. Moxetumomab pasudotox in heavily pre-treated patients with relapsed/refractory hairy cell leukemia (HCL): long-term follow-up from the pivotal trial. J Hematol Oncol. 2021;14(1):35. https://doi.org/10.1186/s13045-020-01004-y
  65. Yurkiewicz IR, Coutre S, Ghesquieres H, Pastan I, Kreitman RJ. Moxetumomab pasudotox as re-treatment for heavily-pretreated relapsed hairy cell leukemia. Leuk Lymphoma. 2021;62(11):2812–4. https://doi.org/10.1080/10428194.2021.1929959
  66. Kreitman RJ, Pastan I. Contextualizing the Use of Moxetumomab Pasudotox in the Treatment of Relapsed or Refractory Hairy Cell Leukemia. Oncologist. 2020;25(1):e170–e177. https://doi.org/10.1634/theoncologist.2019-0370
  67. Tiacci E, Park JH, De Carolis L, Chung SS, Broccoli A, Scott S, et al. Targeting mutant BRAF in relapsed or refractory hairy-cell leukemia. N Engl J Med. 2015;373(18):1733–47. https://doi.org/10.1056/NEJMoa1506583
  68. Dietrich S, Pircher A, Endris V, Peyrade F, Wendtner CM, Follows GA, et al. BRAF inhibition in hairy cell leukemia with low-dose vemurafenib. Blood. 2016;127(23):2847–55. https://doi.org/10.1182/blood-2015-11-680074
  69. Liebers N, Roider T, Bohn JP, Haberbosch I, Pircher A, Ferstl B, et al. BRAF inhibitor treatment in classic hairy cell leukemia: a long-term follow-up study of patients treated outside clinical trials. Leukemia. 2020;34(5):1454–57. https://doi.org/10.1038/s41375-019-0646-y
  70. Tiacci E, De Carolis L, Simonetti E, Capponi M, Ambrosetti A, Lucia E, et al. Vemurafenib plus rituximab in refractory or relapsed hairy-cell leukemia. N Engl J Med. 2021;384(19):1810–23. https://doi.org/10.1056/NEJMoa2031298
  71. Robak T, Janus A, Jamroziak K, Tiacci E, Kreitman RJ. Vemurafenib and rituximab in patients with hairy cell leukemia previously treated with moxetumomab pasudotox. J Clin Med. 2021;10(13):2800. https://doi.org/10.3390/jcm10132800
  72. Park JH, Shukla M, Salcedo JM, Vemuri S, Kinoshita JC, Smith MD. et al. First line chemo-free therapy with the BRAF inhibitor vemurafenib combined with obinutuzumab is effective in patients with HCL. Blood 2019, 134 (Suppl. 1), 3998. https://doi.org/10.1182/blood-2019-124478
  73. Tiacci E, De Carolis L, Simonetti E, Merluzzi M, Bennati A, Perriello VM, et al. Safety and efficacy of the BRAF inhibitor dabrafenib in relapsed or refractory hairy cell leukemia: a pilot phase-2 clinical trial. Leukemia. 2021;35(11):3314–18. https://doi.org/10.1038/s41375-021-01210-8
  74. Kreitman RJ, Moreau P, Hutchings M, Gazzah A, Blay J-Y, Wainberg ZA, et al. Treatment with combination of dabrafenib and trametinib in patients with recurrent/refractory BRAF V600E-mutated hairy cell leukemia (HCL). Blood 2018; 132 (Supplement 1): 391. https://doi.org/10.1182/blood-2018-99-113135
  75. Weston-Bell NJ, Hendriks D, Sugiyarto G, Bos NA, Kluin-Nelemans HC, Forconi F, Sahota SS. Hairy cell leukemia cell lines expressing annexin A1 and displaying B-cell receptor signals characteristic of primary tumor cells lack the signature BRAF mutation to reveal unrepresentative origins. Leukemia. 2013;27(1):241–5. https://doi.org/10.1038/leu.2012.163
  76. Rogers KA, Andritsos LA, Wei L, McLaughlin EM, Ruppert AS, Anghelina M et al. Phase 2 study of ibrutinib in classic and variant hairy cell leukemia. Blood. 2021;137(25):3473–3483. https://doi.org/10.1182/blood.2020009688
  77. Paillassa J, Safa F, Troussard X. Updates in hairy cell leukemia (HCL) and variant-type HCL (HCL-V): rationale for targeted treatments with a focus on ibrutinib. Ther Adv Hematol. 2022 Apr 13;13:20406207221090886. https://doi.org/10.1177/20406207221090886
  78. Robak T. Hairy-cell leukemia variant: recent view on diagnosis, biology and treatment. Cancer Treat Rev. 2011;37(1):3–10. https://doi.org/10.1016/j.ctrv.2010.05.003
  79. Matutes E. Diagnostic and therapeutic challenges in hairy ur leukemia-variant: where are we in 2021? Expert Rev Hematol. 2021;14(4):355–63. https://doi.org/10.1080/17474086.2021.1908121
  80. Matutes E, Wotherspoon A, Catovsky D. The variant form of hairy-cell leukaemia. Best Pract Res Clin Haematol. 2003;16(1):41–56. https://doi.org/10.1016/S1521-6926(02)00086-5
  81. Chihara D, Arons E, Stetler-Stevenson M, Yuan C, Wang HW, Zhou H, et al. Long term follow-up of a phase II study of cladribine with concurrent rituximab with hairy cell leukemia variant. Blood Adv. 2021;5(23):4807–16. https://doi.org/10.1182/bloodadvances.2021005039
  82. Matutes E, Wotherspoon A, Brito-Babapulle V, Catovsky D. The natural history and clinico-pathological features of the variant form of hairy cell leukemia. Leukemia. 2001;15(1):184–186. https://doi.org/10.1038/sj.leu.2401999
  83. Liu Q, Harris N, Epperla N, Andritsos LA. Current and Emerging Therapeutic Options for Hairy Cell Leukemia Variant. Onco Targets Ther. 2021;14:1797–1805. https://doi.org/10.2147/OTT.S242247
  84. Yoshida T, Mihara K, Sugihara S, Arihiro K, Mino T, Sasaki N, Takihara Y. Splenectomy followed by administration of rituximab is useful to treat a patient with hairy cell leukemia-variant. Ann Hematol. 2013;92(5):711–3. https://doi.org/10.1007/s00277-012-1612-1