3

Subtypes of Breast Cancer

Erasmo Orrantia-Borunda1 Patricia Anchondo-Nuñez2 Lucero Evelia Acuña-Aguilar1 Francisco Octavio Gómez-Valles3 Claudia Adriana Ramírez-Valdespino1

1Departamento de Medio Ambiente y Energía, Centro de Investigación en Materiales Avanzados, S.C., Miguel de Cervantes 120, Complejo Industrial Chihuahua, Chihuahua, Chih., México; 2Departamento de Patología, Hospital General Dr. Salvador Zubirán Anchondo. Av. Prolongación Teófilo Borunda 510, El Bajo, Chihuahua, Chih., México; 3Calle 19va, 908. Col. Santo Niño 31200, Chihuahua, Mexico

Abstract: Breast cancer is a genetically and clinically heterogeneous disease with multiple subtypes. The classification of these subtypes has evolved over the years. The most common and widely accepted classification of breast cancer is from an immunohistochemical perspective, based on the expression of the following hormone receptors: estrogen (ER), progesterone (PR) and human epidermal growth factor (HER2). Accordingly, the following four subtypes of breast cancer are widely recognized: luminal A, luminal B, HER2-positive, and triplenegative. With the recent advances in cancer research, and an increased molecular understanding of breast cancer, the current clinical model for classification of breast cancer may be benefit from the addition of several molecular markers such as miRNAs (let-7, miR-155, miR-150, miR-153) and mutations (p53, BRCA 1 and 2 genes). This chapter provides an overview of the characteristics of these four subtypes of breast cancer.

Keywords: Her2-positive breast cancer; luminal A breast cancer; luminal B breast cancer; subtypes of breast cancer; triple-negative breast cancer

Author for correspondence: Claudia Adriana Ramírez-Valdespino, Departamento de Medio Ambiente y Energía, Centro de Investigación en Materiales Avanzados, S.C., Chihuahua, Chih., México. Email: claudia.ramirez@cimav.edu.mx

Cite this chapter as: Orrantia-Borunda E, Anchondo-Nuñez P, Acuña-Aguilar LE, Gómez-Valles FO, Ramírez-Valdespino CA. Subtypes of Breast Cancer. In: Mayrovitz HN. editor. Breast Cancer. Brisbane (AU): Exon Publications. Online first 22 Jun 2022.

Doi: https://doi.org/10.36255/exon-publications-breast-cancer-subtypes

In: Mayrovitz HN, editor. Breast Cancer. Brisbane (AU): Exon Publications. ISBN: 978-0-6453320-3-2. Doi: https://doi.org/10.36255/exon-publications-breast-cancer

Copyright: The Authors.

License: This open access article is licenced under Creative Commons Attribution-NonCommercial 4.0 International (CC BY-NC 4.0) https://creativecommons.org/licenses/by-nc/4.0/

INTRODUCTION

Breast cancer is the most common cancer in women worldwide. It is a highly heterogeneous neoplasm with distinct subtypes. These subtypes are commonly grouped into four categories based on the immunohistochemical expression of hormone receptors: estrogen receptor positive (ER+), progesterone receptor positive (PR+), human epidermal growth factor receptor positive (HER2+), and triple-negative (TNBC), which is characterized by the lack of expression of any of the above receptors (1). Estrogen receptor (ER) is an important diagnostic determinant, as approximately 70–75% of invasive breast carcinomas are characterized by significantly high ER expression (2, 3). The progesterone receptor (PR) is expressed in more than 50% of ER-positive patients, and very rarely in those with ER-negative breast cancer. PR expression is regulated by ER (4); therefore, physiological PR values inform about the functional ER pathway. However, both ER and PR are abundantly expressed in breast cancer cells, and both are considered diagnostic and prognostic biomarkers of breast cancer (5). Higher expression of PR is positively associated with overall survival, time to recurrence, and time to treatment failure or progression, while lower levels are generally associated with a more aggressive course of disease, as well as poorer recurrence and prognosis (6).

Human epidermal growth factor receptor 2 (HER2) expression accounts for approximately 15–25% of breast cancers and its status is mainly relevant in the choice of appropriate treatment (7, 8). HER2 overexpression is one of the earliest events during breast carcinogenesis (8). HER2 increases the detection rate of metastatic or recurrent breast cancers by 50% and even 80%. Serum HER2 levels are considered a promising real-time marker for the presence or recurrence of tumors. HER2 amplification leads to increased overactivation of proto-oncogenic signaling pathways leading to uncontrolled cancer cell growth, which corresponds with worse clinical outcomes of HER2+ cases. HER2 overexpression also correlates with a significantly shorter disease-free period (9). The Ki67 antigen is a cellular marker of proliferation and is an excellent marker for providing information on cell proliferation. The proliferative activities determined by Ki67 reflect the aggressiveness of the cancer along with response to treatment and time to recurrence (10). Therefore, Ki-67 is crucial in terms of choosing the appropriate treatment therapy, and possible follow-ups for recurrence. It could also be considered as a possible prognostic factor. High expression of Ki67 also reflects lower survival rates (11, 12).

The need for molecular classification is to categorize patients who may benefit from targeted therapy, such as hormone therapy and anti HER2 therapy (13). Recently, the identification of differentially expressed genes, long non-coding RNAs, and RNA binding proteins for each breast cancer subtype were reported: RASDF7 for luminal A, DCTPP1 for luminal B, DHRS11, KLC3, NAG3 and TMEM98 for HER2, and ABDHD14A and ADSSL1 for TNBC, providing preliminary evidence to identify new prognostic biomarkers and therapeutic targets for individual breast cancer subtypes (14). This chapter focuses on the four major subtypes of breast cancer: luminal A, luminal B, HER2-positive, and TNBC subtypes. The characteristics of these four subtypes are presented in Table 1 (1528). Luminal cancers mainly express low molecular weight cytokeratins (CK7, CK8, CK18, among others), and three groups are distinguished from the IHC point of view: luminal A, luminal B and HER2 (15).

TABLE 1 Characteristics of subtypes of breast cancer

Luminal A Luminal B HER2 TNBC Reference
Frequency (%) 50 15 20 15 16, 17
ER Yes Yes Some cases No 15
PR Yes Some cases Some cases No 17
HER No No Yes No 18
miRNAs Let-7f, Let-7c, miR-10, miR-29a, miR-181a, miR-223 and miR-652 miR155, miR-93, miR-18a, miR-135b, miR-718, miR-4516, miR-210, and miR-125b-5p miR-150 and miR-142–3p miR-153, miR-10b, miR-26a, and miR146a 1922
Ki67 Some cases Some cases High High 23
Mutations No BRCA2 p53 p53 and BRCA1 24, 25
Prognosis Good Middle Middle/Bad Bad 26
Therapy Hormonal Hormonal/ Chemo Hormonal/Chemo/ Herceptin Chemo/ Experimental 27, 28

ER, estrogen receptor; HER, human epidermal receptor; HER2, human epidermal growth factor receptor 2; PR, progesterone receptor; TNBC, triple-negative breast cancer

LUMINAL A SUBTYPE

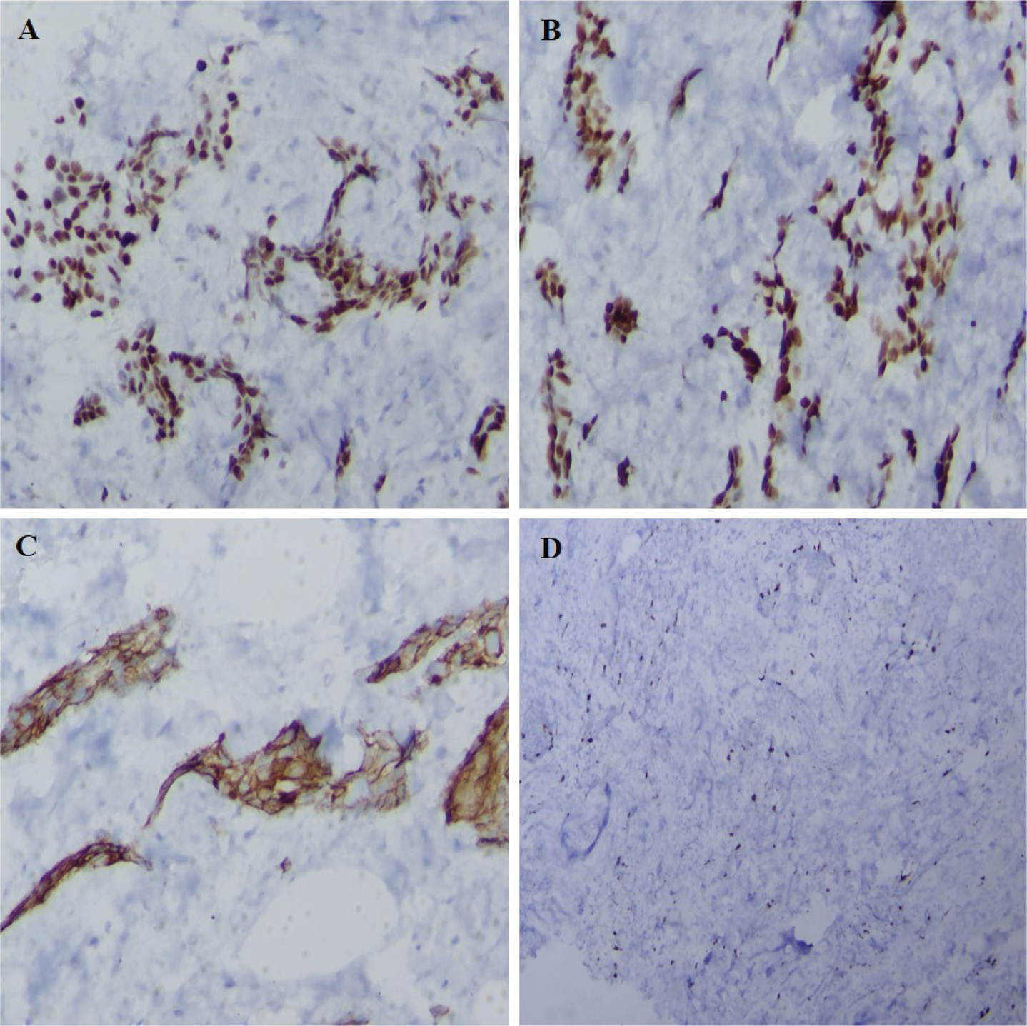
Luminal A tumors are characterized by the presence of ER and/or PR and the absence of HER2, and have a low expression of cell proliferation marker Ki-67 (less than 20%) (Figure 1). Clinically they are low grade, slow growing, and have the best prognosis with less incidence of relapse and higher survival rate. These carcinomas present a high response rate to hormone therapy (tamoxifen or aromarase inhibitors), and a more limited benefit to chemotherapy (27). For this reason, according to the European Society for Medical Oncology (ESMO) and National Comprehensive Cancer Network from USA (NCCN) Guidelines, the use of genetic platforms is recommended in this group to establish which patients would benefit from adjuvant chemotherapy treatment based on the risk of relapse and survival rate (29, 30). Relapse is more frequent at the bone level, with a lower rate of visceral and central nervous system (CNS) relapses. Likewise, they have a longer survival in case of relapse (31).

Fig 1

Figure 1. Immunohistochemistry of luminal A invasive breast carcinoma. A, estrogen receptor positive, nuclear staining. B, progesterone receptor positive, nuclear staining. C, HER-2 1+ negative, membrane staining. D, Ki-67 positive 3%, nuclear staining. Images obtained from Dr. Anchondo-Núñez’s personal collection.

LUMINAL B SUBTYPE

Luminal B tumors are of higher grade and worse prognosis compared to Luminal A. They are ER positive and can be PR negative and have a high expression of Ki67 (greater than 20%) (Figure 2). They are generally of intermediate/high histologic grade. These tumors may benefit from hormonal therapy along with chemotherapy. The elevated Ki67 makes them grow faster than luminal A and worse prognosis (32). It constitutes 10–20% of luminal tumors. It has a moderately low expression of estrogen receptors, and increased expression of proliferation and cell cycle genes. It represents the group of luminal tumors with the worst prognosis. They benefit from hormone therapy and in a higher percentage from chemotherapy compared to the previous group (33). Although bone recurrence is frequent, they have a higher rate of visceral recurrence, and survival from diagnosis to relapse is lower (34, 35).

Fig 2

Figure 2. Immunohistochemistry of luminal B invasive breast carcinoma. A, estrogen receptor positive, nuclear staining. B, progesterone receptor positive, nuclear staining. C, HER2 1+ negative, membrane staining. D, Ki-67 positive 30%, nuclear staining. Images obtained from Dr. Anchondo-Núñez’s personal collection.

HER2 SUBTYPE

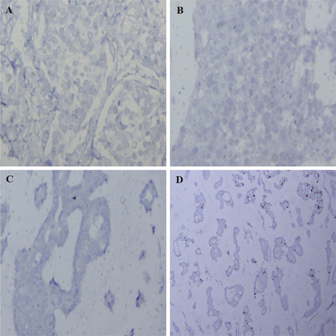
The HER2-positive group constitutes 10–15% of breast cancers and is characterized by high HER2 expression with absence of ER and PR (Figure 3). They grow faster than the luminal ones and the prognosis has improved after the introduction of HER2-targeted therapies. The HER2-positive subtype is more aggressive and fast-growing. Within this, two subgroups can be distinguished: luminal HER2 (E+, PR+, HER2+ and Ki-67:15–30%) and HER2-enriched (HER2+, E-, PR-, Ki-67>30%) (36). They have a worse prognosis compared to luminal tumors, and require specific drugs directed against the HER2/neu protein, including trastuzumab, trastuzumab combined with emtasin (T-DM1), pertuzumab, and tyrosine kinase inhibitors such as lapatinib and neratinib, among others, in addition to surgery and treatment with precise chemotherapy (37). They have a high response rate to chemotherapy schemes (38). Bone localization is the most common site for disseminated disease, and visceral relapses are also more frequent in this subgroup compared to the previous group (39, 40).

Fig 3

Figure 3. Immunohistochemistry of HER2 invasive breast carcinoma. A, estrogen receptor positive, nuclear staining. B, progesterone receptor positive, nuclear staining. C, HER2 3+ positive, membrane staining. D, Ki-67 positive 5%, nuclear staining. Images obtained from Dr. Anchondo-Núñez’s personal collection.

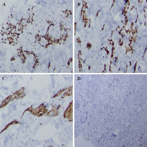
TNBC SUBTYPE

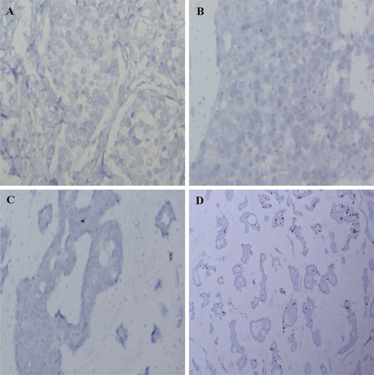
Triple-negative breast cancer is ER-negative, PR-negative, and HER2-negative (Figure 4). They constitute about 20% of all breast cancers. It is most common among women under 40 years of age, and in African-American women. The TNBC subtype is further classified into several additional subgroups including basal-like (BL1 and BL2), claudin-low, mesenchymal (MES), luminal androgen receptor (LAR), and immunomodulatory (IM), the first two being the most frequent with 50–70% and 20–30% of cases (41). Moreover, each of these has unique clinical outcomes, phenotypes, and pharmacological sensitivities. TNBC presents an aggressive behavior and 80% of breast cancer tumors (tumor suppressor gene BRCA1 and BRCA2) belong to this group (28). The risk of developing TNBC varies with genetics, race, age, overweight and obesity, breastfeeding patterns, and parity (41, 42). TNBC is characterized by its aggressiveness, early relapse, and a greater tendency to present in advanced stages. It presents a high proliferation rate, alteration in DNA repair genes and increased genomic instability. Histologically, it is a poorly differentiated, highly proliferative, heterogeneous neoplasm, including subsets of variable prognosis. Immunohistochemically, they are subdivided into basal and non-basal TNBC; the former characterized by expression of cytokeratins (CK)5/6 and human epidermal growth factor receptor type 1 (EGFR1), while the non-basal do not express CK5/6 cytokeratins.

Fig 4

Figure 4. Immunohistochemistry of triple-negative invasive breast carcinoma. A, estrogen receptor negative. B, progesterone receptor negative. C, HER2 0+ negative, membrane staining. D, Ki67 positive 10%, nuclear staining. Images obtained from Dr. Anchondo-Núñez’s personal collection.

METASTASIS, OVERALL SURVIVAL, AND RELAPSE

Given the early detection and multiple treatments available against breast cancer, the mortality rate has decreased. However, distant metastases are not uncommon, and for women with advanced breast cancer, the median survival time is 2–3 years (43, 44). In most cases, metastatic breast cancer is uncommon at initial presentation, occurring in about 6–7% of newly diagnosed cases; however, approximately 30% of patients initially diagnosed with earlier stages of breast cancer eventually develop recurrent or metastatic disease (4547).

In 2018, Xiao et al. (48) performed a detailed analysis of the association between breast cancer subtypes and the risk of developing distant metastasis. They found that newly diagnosed breast cancers presented with bone (3.28%), lung (1.52%), liver (1.2%), and brain (0.35%) metastasis at diagnosis. They also reported that, metastatic sites and subtypes significantly affected the overall survival after metastasis. Moreover, they found that luminal B subtype significantly correlated with elevated bone metastasis risk, whereas luminal A did not. Both luminal subtypes were significantly associated with higher rates of liver, brain, and lung metastasis, while the highest odds ratio was observed in liver metastasis. TNBC had a higher rate of brain, liver, and lung metastases, but a significantly lower rate of bone metastases than luminal A subtype.

Regarding survival rate, the National Cancer Institute (49) reports the ‘5-year relative survival percentage’, showing that the best survival pattern was for women with luminal A subtype with 94.4% survival rate, followed by the luminal B subtype with 90.7%, HER2 subtype with 84.8%, and the TNBC subtype had the worst survival, with 77.1%. It is important to mention that, although the breast cancer subtype affects survival, stage at diagnosis may be the most powerful factor in determining survival outcome.

Finally, relapse of breast cancer may differ depending on the subtype (50). Ignatov et al. (51) investigated relapse in breast cancer patients. They found that HER2 and TNBC had the highest rate of local and regional recurrence, 7.5 and 3.4% for HER2 and 7.6 and 3.3% for TNBC, respectively. Luminal A subtype were recurrent in 1.5 and 0.7% local and regional, respectively, and luminal B subtype was associated in 2.9 and 1.5% of the cases with local and regional relapse. Moreover, the authors found that, even though the rate of recurrence for luminal and luminal B subtypes was initially low, recurrence can occur even after 10 years. These data suggest that breast cancer subtypes are associated with different pattern and time of recurrence and these factors should be considered during treatment decision.

CONCLUSION

Knowing the subtype of breast cancer can help clinical practice to establish the best treatment. Gene expression studies have shown heterogeneity of breast —cancer, and this heterogeneity has a molecular basis; however, to date, it has not been determined whether these molecular characteristics would influence unequivocally the clinical management of breast cancer (52). The identification of miRNAs and specific genes associated with breast cancer may reveal additional heterogeneity among breast cancer subtypes and may become relevant in the development of more specific drugs for each subtype, generating therapies that give a longer life expectancy. Probably these studies will also help to detect cancer in early stages, increasing the possibility of survival of patients. Molecular classification is useful not only in prognosis, but also for targeted therapy. Therefore, it should be adopted as part of the routine histopathologic report.

Conflict of Interest: The authors declare no potential conflicts of interest with respect to research, authorship and/or publication of this manuscript.

Copyright and Permission Statement: The authors confirm that the materials included in this chapter do not violate copyright laws. Where relevant, appropriate permissions have been obtained from the original copyright holder(s), and all original sources have been appropriately acknowledged or referenced.

REFERENCES

  1. Shaath H, Elango R, Alajez NM. Molecular Classification of Breast Cancer Utilizing Long Non-Coding RNA (lncRNA) Transcriptomes Identifies Novel Diagnostic lncRNA Panel for Triple-Negative Breast Cancer. Cancers. 2021;13(21):5350. https://doi.org/10.3390/cancers13215350
  2. Zhang MH, Man HT, Zhao XD, Dong N, Ma SL. Estrogen receptor-positive breast cancer molecular signatures and therapeutic potentials (Review). Biomed Rep. 2013;2:41–52. https://doi.org/10.3892/br.2013.187
  3. Miah S, Bagu E, Goel R , Ogunbolude, Dai C, Ward A, et al. Estrogen receptor signaling regulates the expression of the breast tumor kinase in breast cancer cells. BMC Cancer. 2019;19:78. https://doi.org/10.1186/s12885-018-5186-8
  4. Hicks DG, Lester SC. Hormone Receptors (ER/PR). Diagn Pathol. 2016;430–439. https://doi.org/10.1016/B978-0-323-37712-6.50067-3
  5. Nicolini A, Ferrari P, Duffy MJ. Prognostic and predictive biomarkers in breast cancer: Past, present and future. Semin Cancer Biol. 2018;52(1):56–73. https://doi.org/10.1016/j.semcancer.2017.08.010
  6. Purdie CA, Quinlan P, Jordan LB, Ashfield A, Ogston S, Dewar JA, et al. Progesterone receptor expression is an independent prognostic variable in early breast cancer: a population-based study. Br J Cancer. 2014;110(3):565–572. https://doi.org/10.1038/bjc.2013.756
  7. Vaz-Luis I, Winer EP, Lin NU. Human epidermal growth factor receptor-2-positive breast cancer: does estrogen receptor status define two distinct subtypes?. Ann Oncol. 2013;24(2):283–291. https://doi.org/10.1093/annonc/mds286
  8. Iqbal N, Iqbal N. Human Epidermal Growth Factor Receptor 2 (HER2) in Cancers: Overexpression and Therapeutic Implications. Mol Biol Int. 2014;852748. https://doi.org/10.1155/2014/852748
  9. Krishnamurti U, Hammers J, Atem F, Storto P, Silverman J. Poor prognostic significance of unamplified chromosome 17 polysomy in invasive breast carcinoma. Mod Pathol. 2009;1044–1048. https://doi.org/10.1038/modpathol.2009.61
  10. Haroon S, Hashmi AA, Khurshid A, Kanpurwala MA, Mujuba S, Malik B, Faridi N. Ki67 index in breast cancer: correlation with other prognostic markers and potential in pakistani patients. Asian Pac J Cancer Prev. 2013;14(7):4353–8. https://doi.org/10.7314/APJCP.2013.14.7.4353
  11. Hammond MEH, Hayes DF, Dowsett M, Allred DC, Hagerty KL, Badve S et al. American Society of Clinical Oncology/College of American Pathologists guideline recommendations for immunohistochemical testing of estrogen and progesterone receptors in breast cancer (unabridged version). Arch Pathol Lab Medicine. 2010;134(7):e48–e72.
  12. Gupta P, Rai NN, Agarwal L, Namdev S. Comparison of molecular subtypes of carcinoma of the breast in two different age groups: a single institution experience. Cureus. 2010;10(6).
  13. Sharma JD, Khanna S, Ramchandani S, Kakoti LM, Baruah A, Mamidala V. Prevalence of Molecular Subtypes of Breast Carcinoma and Its Comparison between Two Different Age Groups: A Retrospective Study from a Tertiary Care Center of Northeast India. South Asian J Cancer. 2021;10(04):220–224. https://doi.org/10.1055/s-0041-1731905
  14. Cava C, Armaos A, Lang B, Tartaglia GG, Castiglioni I. Identification of long non-coding RNAs and RNA binding proteins in breast cancer subtypes. Sci Rep. 2022;12(1):1–13. https://doi.org/10.1038/s41598-021-04664-z
  15. Gao JJ, Swain SM. Luminal a breast cancer and molecular assays: a review. Oncologist. 2018;23(5):556–565. https://doi.org/10.1634/theoncologist.2017-0535
  16. Poudel P, Nyamundanda G, Patil Y, Cheang MCU, Sadanandam A. Heterocellular gene signatures reveal luminal-A breast cancer heterogeneity and differential therapeutic responses. NPJ Breast Cancer. 2019;5(1):1–10. https://doi.org/10.1038/s41523-019-0116-8
  17. Barzaman K, Karami J, Zarei Z, Hosseinzadeh A, Kazemi MH, Moradi-Kalbolandi S, et al. Breast cancer: Biology, biomarkers, and treatments. Int Immunopharmacol. 2020;84:106535. https://doi.org/10.1016/j.intimp.2020.106535
  18. Engel RH, Kaklamani VG. HER2-positive breast cancer: current and future treatment strategies. Drugs. 2007;67(9):1329–1341. https://doi.org/10.2165/00003495-200767090-00006
  19. McDermott AM, Miller N, Wall D, Martyn LM, Ball G, Sweeney KJ, Kerin MJ. Identification and validation of oncologic miRNA biomarkers for luminal A-like breast cancer. PloS one. 2014;9(1):e87032. https://doi.org/10.1371/journal.pone.0087032
  20. Van Schooneveld E, Wildiers H, Vergote I, Vermeulen PB, Dirix LY, Van Laere SJ. Dysregulation of microRNAs in breast cancer and their potential role as prognostic and predictive biomarkers in patient management. Breast Cancer Res. 2015;17:21. https://doi.org/10.1186/s13058-015-0526-y
  21. Fkih M’hamed I, Privat M, Trimeche M, Penault-Llorca F, Bignon YJ, Kenani A. Mir-10b, Mir-26a, Mir-146a and Mir-153 expression in triple negative vs. non triple negative breast cancer: Potential biomarkers. Pathol Oncol Res. 2017;23:815–827. https://doi.org/10.1007/s12253-017-0188-4
  22. Zhang Z, Zhang H, Li C, Xiang Q, Xu L, Liu Q et al. Circulating microRNAs as indicators in the prediction of neoadjuvant chemotherapy response in luminal B breast cancer. Thorac Cancer. 2021;12(24):3396–3406. https://doi.org/10.1111/1759-7714.14219
  23. Nielsen TO, Leung SCY, Rimm DL, Dodson A, Acs B, Badve S. Assessment of Ki67 in breast cancer: updated recommendations from the international Ki67 in breast cancer working group. J Natl Cancer Inst. 2021;113(7):808–819. https://doi.org/10.1093/jnci/djaa201
  24. Karami F, Mehdipour P. A comprehensive focus on global spectrum of BRCA1 and BRCA2 mutations in breast cancer. BioMed Res Int. 2013. https://doi.org/10.1155/2013/928562
  25. Duffy MJ, Synnott NC, Crown J. Mutant p53 in breast cancer: potential as a therapeutic target and bio-marker. Breast Cancer Res Treat. 2018;170(2):213–219. https://doi.org/10.1007/s10549-018-4753-7
  26. Ahern TP, Lash TL, Damkier P, Christiansen PM, Cronin-Fenton DP. Statins and breast cancer prognosis: evidence and opportunities. Lancet Oncol. 2014;15(10):e461–e468. https://doi.org/10.1016/S1470-2045(14)70119-6
  27. Higgins MJ, Stearns V. Understanding Resistance to Tamoxifen in Hormone Receptor-Positive Breast Cancer. Clini Chem. 2009;55(8):1453–1455. https://doi.org/10.1373/clinchem.2009.125377
  28. Loibl S, Gianni L. HER2-positive breast cancer. Lancet. 2017;389(10087):2415–2429. https://doi.org/10.1016/S0140-6736(16)32417-5
  29. Zhou G-Q, Lv J-W, Tang L-l, Mao Y-P, Guo R, Ma J, Sun Y. Evaluation of the National Comprehensive Cancer Network and European Society for Medical Oncology Nasopharyngeal Carcinoma Surveillance Guidelines. Front. Oncol. 2020. https://doi.org/10.3389/fonc.2020.00119
  30. Paluch-Shimon S, Chemy NI, G E de Vries E, Dafni U, Piccart MJ, Latino NJ, et al. Application of the ESMO-Magnitude of Clinical Benefit Scale (V.1.1) to the field of early breast cancer therapies. ESMO Open. 2020;5(5):e000743. https://doi.org/10.1136/esmoopen-2020-000743
  31. Matro JM, Li T, Cristofanilli M, Hughes ME, Ottesen RA, Weeks JC, Wong Y-N. Inflammatory Breast Cancer Management in the National Comprehensive Cancer Network: The Disease, Recurrence Pattern, and Outcome. Clin Breast Cancer. 2015;15(1):1–7. https://doi.org/10.1016/j.clbc.2014.05.005
  32. Inic Z, Zegarac M, Inic M, Markovic I, Kozomara Z, Djurisic I et al. Difference between luminal A and luminal B subtypes according to Ki-67, tumor size, and progesterone receptor negativity providing prognostic information. Clin Med Insights Oncol. 2014;8:CMO-S18006. https://doi.org/10.4137/CMO.S18006
  33. Lafci O, Celepli P, Oztekin PS, Kosar PN.DCE-MRI Radiomics Analysis in Differentiating Luminal A and Luminal B Breast Cancer Molecular Subtypes. Acad Radiol. 2022. https://doi.org/10.1016/j.acra.2022.04.004
  34. Usman A. The Survival of Patients with Triple Negative Breast Cancer with Chemotherapy Along with Lifestyle Change Interventions in Survivors. Arch Cancer Res. 2022;10(1).
  35. Park S, Koo JA, Kim MS, Park HS, Lee JS, Lee JS et al. Characteristics and outcomes according to molecular subtypes of breast cancer as classified by a panel of four biomarkers using immunohistochemistry. Breast. 2012;21(1):50–57. https://doi.org/10.1016/j.breast.2011.07.008
  36. Krishnamurti U, Silverman JF. HER2 in breast cancer: a review and update. Adv Anat Pathol. 2014;21(2):100–107. https://doi.org/10.1097/PAP.0000000000000015
  37. Figueroa-Magalhães MC, Jelovac D, Connolly RM, Wolff AC. Treatment of HER2-positive breast cancer. Breast. 2014;23(2):128–136. https://doi.org/10.1016/j.breast.2013.11.011
  38. Wang J, Xu B. Targeted therapeutic options and future perspectives for HER2-positive breast cancer. Signal Transduct Target Ther. 2019;4:34. https://doi.org/10.1038/s41392-019-0069-2
  39. Pulido C, Vendrell I, Ferreira AR, Casimiro S, Mansinho A, Alho I, et al. Bone metastasis risk factors in breast cancer. Ecancermedicalscience. 2017;11:715. https://doi.org/10.3332/ecancer.2017.715
  40. Grassini D, Cascardi E, Sarotto I, Annaratone L, Sapino A, Berrino E, et al. Unusual Patterns of HER2 Expression in Breast Cancer: Insights and Perspectives. Pathobiol. 2022. https://doi.org/10.1159/000524227
  41. Kumar P, Aggarwal R. An overview of triple-negative breast cancer. Arch Obstet Gynaecol. 2016;293(2):247–269. https://doi.org/10.1007/s00404-015-3859-y
  42. Collignon J, Lousberg L, Schroeder H, Jerusalem G. Triple-negative breast cancer: treatment challenges and solutions. Breast Cancer (Dove Med Press). 2016;8:93. https://doi.org/10.2147/BCTT.S69488
  43. El Saghir NS, Tfayli A, Hatoum HA, Nachef A, Dinh P, Awada A. Treatment of metastatic breast cancer: state-of-the-art, subtypes and perspectives. Crit Rev Oncol Hematol. 2011;80:433–449. https://doi.org/10.1016/j.critrevonc.2011.01.010
  44. Bonotto M, Gerratana L, Poletto E, Driol P, Giangreco, Russo S, et al. Measures of outcome in meta-static breast cancer: insights from a real-world scenario. Oncologist. 2014;19:608–615. https://doi.org/10.1634/theoncologist.2014-0002
  45. Redig AJ, McAllister SS. Breast cancer as a systemic disease: a view of metastasis. J Intern Med. 2013;274:113–126. https://doi.org/10.1111/joim.12084
  46. Kennecke H, Yerushalmi R, Woods R, Cheang MCU, Voduc D, Speers CH, et al. Metastatic behavior of breast cancer subtypes. J Clin Oncol. 2010;28:3271–3277. https://doi.org/10.1200/JCO.2009.25.9820
  47. Berman AT, Thukral AD, Hwang W-T, Solin LJ, Vapiwala L. Incidence and patterns of distant metastases for patients with early-stage breast cancer after breast conservation treatment. Clin Breast Cancer. 2013;13:88–94. https://doi.org/10.1016/j.clbc.2012.11.001
  48. Xiao W, Zheng S, Yang A, Zhang X, Zou Y, Tang H, et al. Breast cancer subtypes and the risk of distant metastasis at initial diagnosis: a population-based study. Cancer Manag Res. 2018;10:5329. https://doi.org/10.2147/CMAR.S176763
  49. National Cancer Institute (NIH). [Internet]. National Cancer Institute (NIH); c2019-2022.Cancer Stat Facts: Female Breast Cancer Subtypes. https://seer.cancer.gov/statfacts/html/breast-subtypes.html [Accessed on 20 Jun 2022]
  50. Smid M, Wang Y, Zhang Y, Sieuwerts AM, Yu J, Klijn JG, et al. Subtypes of breast cancer show preferential site of relapse. Cancer Res. 2008;68(9):3108–3114. https://doi.org/10.1158/0008-5472.CAN-07-5644
  51. Ignatov A, Eggemann H, Burger E, Ignatov T. Patterns of breast cancer relapse in accordance to biological subtype. J Cancer Res Clin Oncol. 2018;144(7):1347–1355. https://doi.org/10.1007/s00432-018-2644-2
  52. Sonnenblick A, Fumagalli D, Sotiriou C, Piccart M. Is the differentiation into molecular subtypes of breast cancer important for staging, local and systemic therapy, and follow up? Cancer Treat Rev. 2014;40(9):1089–1095. https://doi.org/10.1016/j.ctrv.2014.07.005