1

Neuroimaging in Perinatal Stroke and Cerebrovascular Disease

Adam E. Goldman-Yassen1 Seena Dehkharghani2

1Department of Radiology and Imaging Sciences, Emory University and Children’s Healthcare of Atlanta, Atlanta, GA, USA; 2Departments of Radiology and Neurology, New York University Langone Medical Center, New York, NY, USA

Abstract: Approximately one-quarter of childhood strokes occur in the perinatal period, which includes both fetuses and neonates, affecting between one in 2300–5000 births and representing the primary cause of cerebral palsy. Although the pathogenesis is incompletely understood, risk factors for perinatal stroke are often unique from strokes at other ages, with a combination of maternal, obstetric, anatomic, and genetic factors or predispositions leading to infarct. Clinical presentations of perinatal stroke differ from strokes in older children and adults, often presenting as encephalopathy, seizure, altered mental status, or neurologic deficits. However, neuroimaging remains equally indispensable for diagnosis and prognostication. Here, we provide a comprehensive review of perinatal strokes occurring in fetal and neonatal periods, and discuss the etiologies, diagnosis, management, and prognosis, with a focus on neuroimaging utilization and findings. Understanding the appropriate use of imaging in the distinct clinical entity of perinatal stroke is important for guiding appropriate clinical management.

Keywords: arterial ischemic stroke; hemorrhagic stroke; perinatal stroke; sinovenous thrombosis; venous infarct

Author for correspondence: Adam E. Goldman-Yassen, Department of Radiology and Imaging Sciences, Emory University and Children’s Healthcare of Atlanta, Atlanta, GA, USA; Email: aegold5@emory.edu

Doi: https://doi.org/10.36255/exonpublications.stroke.perinatalstroke.2021

In: Stroke. Dehkharghani S (Editor). Exon Publications, Brisbane, Australia. ISBN: 978-0-6450017-6-1; Doi: https://doi.org/10.36255/exonpublications.stroke.2021

Copyright: The Authors.

License: This open access article is licenced under Creative Commons Attribution-NonCommercial 4.0 International (CC BY-NC 4.0) https://creativecommons.org/licenses/by-nc/4.0/

INTRODUCTION

Stroke is an important cause of morbidity in the perinatal period, occurring in both fetuses and neonates. Accounting for approximately one quarter of all pediatric strokes, it occurs in one in 2300–5000 live births and is the leading cause of cerebral palsy (13). The presentation of stroke in the perinatal period may be different from that in older children and adults, more often presenting with seizures than focal neurologic deficits (2). The etiologies of perinatal stroke are also distinct, resulting from maternal, placental, obstetric, anatomic, and genetic risk factors unique to the perinatal period, albeit with lower risks of recurrence (4). The extrapolation from the paradigms guiding management of stroke in adults may be imperfect and remain largely untested or inconclusive. Accurate recognition of perinatal stroke is nevertheless critical for appropriate management and prognostication, although a clinical diagnosis may not be straightforward. In this chapter, we discuss the unique causes of arterial ischemic, hemorrhagic, and venous stroke in fetuses and neonates and the role of imaging in diagnosis and long-term prognosis. Imaging of diffuse ischemic brain injury, such as in hypoxic ischemic encephalopathy and white matter injury of prematurity, are beyond the scope of this chapter and thoroughly reviewed elsewhere (5, 6).

DEFINITIONS

The temporal classification of perinatal stroke divides them into three distinctive forms, delineated by age of symptom onset and distinguished by differing clinical presentations (7):

  1. Fetal stroke occurs between 18 gestational weeks and onset of labor resulting in delivery. It is diagnosed by prenatal imaging or on the basis of neuropathologic examination in the case of stillbirth (2).
  2. Neonatal stroke is diagnosed between birth and 28 days of life; it presents with acute encephalopathy and seizures in newborns (2).
  3. Presumed perinatal ischemic stroke (PPIS) is diagnosed in infants older than 28 days of age, in whom it is presumed that the ischemic event occurred sometime within the perinatal period, with clinically cryptic presentation and/or without neuroimaging at the time for definite diagnosis (2).

In addition, perinatal stroke can be divided into ischemic and hemorrhagic types. Ischemic perinatal stroke (IPS) represents a heterogeneous group of conditions characterized by a focal disruption of cerebral blood flow caused by arterial or cerebral venous thrombosis or embolization. Perinatal hemorrhagic stroke is defined as a nontraumatic intracerebral hemorrhage in the parenchymal, intraventricular, and/or leptomeningeal locations.

CLINICAL PRESENTATION

Fetal stroke presents with chronic encephalopathy in the newborn (7). Neonatal stroke most often presents with focal or generalized seizures (occurring in 80–90%), as well as apnea, hypotonia, or episodes of duskiness, irritability, and poor feeding (2, 4, 8). PPIS can present as early hand preference in infancy, contrary to the typical absence of hand preference prior to the age of 1 year, or as developmental delay, motor impairment, or congenital hemiplegia (3, 9). Approximately 30% of congenital hemiplegia cases result from PPIS (2). It remains unclear why some children present acutely while others present outside the neonatal period, although it may be related to the difficulty of diagnosing seizures in neonates or that some neonates may not seize at all (10, 11). Because the clinical presentation of stroke in neonates can be subtle, imaging is essential for definitive diagnosis.

IMAGING

Neuroimaging is performed to confirm a diagnosis of perinatal stroke, to identify a potential etiology, suggest the timing of insult, follow stroke evolution, exclude stroke mimics, assist in treatment decisions, and provide prognostic information.

Choice of imaging modality

The choice of radiologic study depends on multiple patient-specific and environmental variables, including advanced imaging access and subspecialty expertise. Fetal imaging usually begins with ultrasound, although evaluation of the brain is often limited by a restricted field of view and suboptimal soft tissue contrast. Fetal MRI provides improved soft tissue contrast and adds valuable information undetected on ultrasound in 30–55% of cases (1214). It is especially important in regard to fetal cerebral ischemia, which is essentially undetectable on sonography. Diffusion weighted imaging (DWI), which may depict acute ischemic injury in the fetal brain, should be a routine part of fetal MR protocol.

As neonates generally present with acute but nonspecific symptoms, ultrasound is often the first study performed at most institutions. When properly performed with high-frequency probes, and when the studies are performed four days from onset, ultrasound detects up to 87% of neonatal strokes involving the basal ganglia and large supratentorial vascular territories (15). However, ultrasound is less sensitive in the detection of small white matter infarctions, small cortical infarctions over the cerebral convexities, or those in the posterior fossa. Although ultrasound can detect intraventricular hemorrhage, it is insensitive for subarachnoid and small parenchymal hemorrhage. Duplex Doppler sonography can be useful for the diagnosis of dural venous sinus thrombosis in neonates with an appropriate acoustic window. Echogenic clot is seen in the affected sinus and Doppler analysis shows alterations in flow.

Noncontrast head CT (NCCT) may be the initial study in a neonate presenting with possible stroke due to the widespread availability, speed, and sensitivity for detection of intracranial hemorrhage, despite its dependence upon ionizing radiation; however, NCCT suffers low sensitivity for small and posterior fossa infarcts, with the unmyelinated neonatal brain masking subtle hypoattenuation and further compounded by commonly prescribed “low-dose” imaging protocols. However, in neonates who are medically unstable, in whom MRI is contraindicated, or in centers without MRI capabilities, NCCT with or without contrast, CT angiography (CTA), or CT venography (CTV), remain considerations.

MRI, supplemented by MR arteriography (MRA) and MR venography (MRV), is the imaging modality of choice in neonatal stroke. It can firmly establish diagnosis of either ischemic or hemorrhagic lesions, as well as identify arterial occlusion or stenosis, vascular malformations, and cerebral sinovenous thrombosis (CSVT). Imaging critically ill or preterm neonates, who often require an incubator or high-frequency ventilation, presents a challenge for safe and timely neuroimaging. Infants may be transported in an MRI-compatible incubator, while some facilities possess MRI machines within the NICU to reduce the need for transport. Imaging of neonates requires thorough optimization of MR sequences, because of higher water content and lower protein and lipids components of neonatal brain, compared with older children and adults. It is therefore important to optimize scan parameters to improve grey-white contrast and increase signal-to-noise (16). While the need for sedation may further delay the scan, neonates are particularly receptive to the “feed and wrap” method of sedation in which the infant is fed and swaddled (17).

Although rarely performed in neonates, catheter angiography can be considered in complex cases or persistent clinical conundrums, particularly when high clinical suspicion of an arteriopathy or vascular malformation remains (18).

Arterial ischemic perinatal stroke

Although arterial IPS may result from specific identifiable risk factors, many cases lack a definable cause. Risk factors for IPS are summarized in Table 1, which are identified in approximately 78% of cases (2, 3, 19). Major risk factors include intrapartum fever, preeclampsia, oligohydramnios, use of instrumentation in delivery, fetal distress, emergency Caesarean section, tight nuchal cord, resuscitation at birth, hypoglycemia, and a birthweight small for gestation age (20). These factors exacerbate the combination of the physiological hypercoagulable state of pregnancy and the prothrombotic nature of neonatal blood related to increased hematocrit, fetal hemoglobin, and procoagulant proteins, leading to thrombus formation (21). Although the exact etiology and interplay between various risk factors is not known, and likely to be multifactorial, thromboembolism from the placenta is widely held as a contributor to perinatal AIS (22, 23). Fetal asphyxia, leading to increased flow across the patent ductus arteriosus into the left heart, along with placental pathology therefore poses increased risk of AIS. Complex congenital heart disease and the associated procedures, as well as rare congenital vasculopathies, are also well-established risk factors (24). Bacterial meningitis is complicated by stroke in 17–43% of cases, resulting in obliterative vasculopathy from exudative collections in the basal cisterns (25, 26). Disorders of coagulation, which include deficiencies of proteins C and S, and factor V Leiden, as well as the presence of anticardiolipin antibodies, are rare causes of stroke in this age group, and testing for such sources of thrombophilia may be low yield in neonates without other systemic thromboses or congenital cardiac diseases because recurrence risk is reportedly low (2734).

TABLE 1 Risk Factors for Perinatal Stroke (2, 3, 19)

Maternal factors Fetal/infant factors Placental factors
Chorioamnionitis
  1. Infection
    1. CNS infection
    2. Systemic infection
Thrombosis
Acquired or Inherited Thrombophilia
  1. Blood disorders
    1. Polycythemia
    2. Disseminated intravascular coagulopathy
    3. Factor-V Leiden mutation
    4. Protein-S deficiency
    5. Protein-C deficiency
    6. Prothrombin mutation
    7. Homocysteine
    8. Lipoprotein (a)
    9. Factor VIII
Abruption
Preeclampsia
  1. Cardiac etiologies
    1. Congenital heart disease
    2. Patent ductus arteriosus
Insufficiency
Autoimmune conditions and autoantibodies (platelet alloantigen-1)
  1. Need for resuscitation or low Apgar score at 5 minutes
Chorioamnionitis
Infertility and infertility treatment
  1. Trauma or birth asphyxia
Infarction
Prolonged rupture of membrane (>24 h)
  1. Twin-to-twin transfusion syndrome
Inflammation
Cocaine use during pregnancy
  1. Neonatal hypoglycemia (in preterm infants)
Decreased placental reserve
Nulliparity
  1. Persistent fetal circulation and extracorporeal membrane oxygenation therapy
  1. Intrauterine growth restriction
  1. Congenital vascular abnormalities/vasculopathy
    1. Vascular maldevelopment
    2. Vasculopathy (collagen 4A1 mutation, generalized arterial calcification of infancy)
  1. Dehydration
  1. Extracorporeal membrane oxygenation
  1. Male sex

More than half of perinatal AIS occur in the middle cerebral artery territory (MCA), more often on the left due to preferential flow in fetal and neonatal right-to-left shunts, such as patent foramen ovale and ductus arteriosus (22, 35). Perforator strokes in the basal ganglia or thalami in newborns are commonly associated with difficult deliveries, sepsis, or presence of a central venous catheter (36). Multiple arterial territories may be involved in neonates with meningitis, embolic showers, thrombophilia, vasospasm, and congenital vasculopathies (such as COL4A mutation and generalized arterial calcification of infancy) (35). Stroke in preterm and extreme preterm neonates more often involves lenticulostriate and posterior inferior cerebellar artery territories (37, 38).

Acute phases of fetal stroke, such as in case of congenital heart disease or twin-twin transfusion syndrome (TTTS), may only rarely be detected prenatally. Fetal stroke often manifests with the chronic features of unilateral ventriculomegaly and volume loss with or without associated hemorrhage (Figures 1 and 2).

Fig 1

Figure 1. Acute and chronic fetal infarctions. 29 weeks of gestation fetus with a chronic stroke in the right hemisphere. (A) Axial HASTE (Half Fourier Singleshot Turbo Spin-Echo) and (B) Gradient Recall Echo (GRE) images showing unilateral enlargement of the right lateral ventricle, with periventricular white matter loss (white arrow) and linear blood staining (black arrowhead). 21 weeks of gestation fetus with congenital heart disease with acute stroke in the right hemisphere. (C) Axial DWI and (D) ADC map showing areas of reduced diffusion in the left ACA and MCA territories (black arrow) with questionable infarct in the right MCA territory (white arrowhead). Case courtesy of Dr. Tamara Feygin, Department of Radiology, Children’s Hospital of Philadelphia.

Fig 2

Figure 2. Three-day-old girl with chronic encephalopathy. Pregnancy complicated by maternal HELLP (H: Hemolysis, EL: elevated liver enzymes, LP: low platelet count) syndrome. Sagittal T1- (A) and coronal T2-weighted images (B) show microcephaly and bilateral chronic MCA-territory infarctions. Case courtesy of Dr. Tamara Feygin, Department of Radiology, Children’s Hospital of Philadelphia.

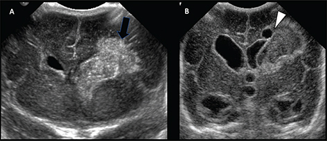
Cranial ultrasound is usually the first brain imaging study performed in neonates for screening if they are symptomatic (39). Although not as sensitive as MRI, large ischemic lesions, perforator strokes, and thrombus in the superior sagittal sinus can be identified. Posterior fossa infarctions are difficult to detect unless quite large, although imaging through the posterolateral fontanelle improves sensitivity. Smaller infarcts in the cerebral cortex or white matter may be difficult to detect (40). The sensitivity for the depiction of perinatal AIS is 68% in the first 3 days, increasing to 87% between days 4 and 10 (41). Cerebral infarction appears as an ill-defined, hyperechogenic focus in a vascular distribution that slowly develops for several days after the event (42). Differentiation of hemorrhagic from bland infarction can be difficult, however, more focal areas of hyperechogenicity within the echogenic area may suggest hemorrhage. Cystic degeneration develops over 2–4 weeks with associated ex vacuo enlargement of the ipsilateral ventricle (Figure 3) (40). Color and power Doppler sonography show changes in regional cerebral blood flow after infarction, as well as asymmetric blood flow with loss of pulsatility in the MCA in the hyperacute phase (43, 44).

Fig 3

Figure 3. Coronal brain US in ex-premature 31-week boy. A. At 11 days of life and (B), 2 weeks later showing evolution of periventricular infarction. Small arrow in (A) indicates an ill-defined subacute infarction in the left frontal white matter. Arrowhead in (B) indicates evolution of infarcted area into the focally cystic encephalomalacia. Case courtesy of Dr. Tamara Feygin, Department of Radiology, Children’s Hospital of Philadelphia.

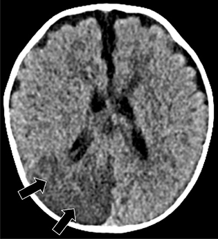
Although CT is often the first imaging modality performed, MR is generally preferred for its greater sensitivity, specificity, tissue contrast, and non-reliance on ionizing radiation or, in most cases, exogenous contrast agents. CT is nevertheless sensitive for acute intracranial hemorrhage in the acute setting. Cerebral infarction in the neonate has a similar appearance to that in the older child or adults, manifesting as a well-defined region of hypoattenuation in an arterial distribution (Figure 4), although small lesions can be difficult to identify on routine imaging due in part to unmyelinated brain masking subtle hypoattenuation. Additionally, certain areas in the posterior temporal and occipital cortices can have low attenuation on CT in normal infants and the risk for false positive classification of stroke merits circumspection. The “hyperdense artery sign” representing acute intraluminal thrombus is infrequently observed in neonates, and may relate to varying clot compositions, including potential differences in the presence, concentration, or composition of red blood cells and iron within the heme moiety of hemoglobin (45).

Fig 4

Figure 4. A 14-day-old boy with seizures. Axial non-contrast CT image showing unilateral diffuse hypodensity in the right PCA distribution (arrows). Case courtesy of Dr. Tamara Feygin, Department of Radiology, Children’s Hospital of Philadelphia.

On MRI, acute infarcts demonstrate reduced diffusivity within minutes, exhibiting high signal on DWI and low computed diffusivity on ADC maps (Figure 5) (46). Diffusivity remains reduced for about 6 days, peaking at about 3 days, before pseudonormalization occurs, with diffusivity then increasing to above normal by the second week (4750). Timing of DWI changes can be affected by the age of the patient, size of the stroke, and how quickly collateral blood flow is recruited. DWI also detects early or pre-wallerian degeneration in infants (also referred to as “acute network injury”), characterized by injury to the antegrade white matter tracts following acute infarct and manifests as reduced diffusivity in white matter pathways affected by the infarction within a few days of the injury (Figure 5) (51). Common pathways affected by acute network injury include the corpus callosum, thalamus, and descending corticospinal tract. When seen along the corticospinal tracts, acute network injury is highly predictive of poor motor outcomes (52, 53).

Fig 5

Figure 5. Acute neonatal arterial ischemic infarction in a three-day-old girl with seizures. Axial DWI (A) and (B), and axial ADC (C) images show extensive area of reduced diffusion in the left MCA territory (arrows). Arrowheads (A, B, C) indicate pre-Wallerian degeneration in the posterior limb of the internal capsule and left cerebral peduncle along the corticospinal tract. D. 3D time-of-flight MRA shows abrupt absence of flow in the left MCA (arrow). Axial T2-weighted image (E) at 5-month follow-up shows extensive encephalomalacia and volume loss in the left MCA territory. Case courtesy of Dr. Tamara Feygin, Department of Radiology, Children’s Hospital of Philadelphia.

Due to the immaturity of the brain, MRI appearance of the infarct can evolve uniquely in infants. In newborns, the combination of cytotoxic and vasogenic edema results in increased signal in the cortex and white matter on T2-weighted imaging 24–48 hours after infarct (54). As the signal increases within the cortex, it becomes isointense to the underlying unmyelinated white matter, known as the “missing cortex sign” (55). In infants, infarcts may be difficult to see on FLAIR images due to unmyelinated white matter. In the subacute phase (1–3 weeks), infarcted gray matter may show high signal intensity on T1-weighted images because of petechial hemorrhage, lipid laden microglia, high protein content, and manganese accumulation related to astrocytes (“cortical highlighting”) and low signal intensity on T2-weighted images because of petechial hemorrhages, lipids, and calcification (46, 5658). Contrast enhancement of the infarct is typically seen related to neovascularization with immature “leaky” vessels lacking well-formed blood brain barriers (55). Earlier phases of contrast enhancement following blood brain barrier ischemia, developing several hours after infarction, are commonly uncaptured due to persistent vascular compromise, but may rarely be identified if reperfusion occurs early (59, 60).

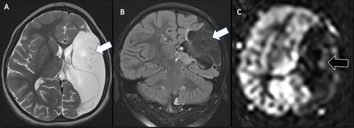
The chronic stage (beginning by 3 weeks) is characterized by volume loss and varying degrees of gliosis. The final appearance of the infarct is related to the timing of insult, the maturity of the infarcted brain, and the degree of astrocytic response to injury, and may span from none (infarct earlier in gestation) to mild (infarct later in gestation and early prenatal period). If injury occurs before 20 weeks of gestation, schizencephaly will often develop, with the cleft lined by dysplastic gray matter. Porencephaly results when the insult occurs between approximately 20 and 24 weeks from liquefactive necrosis, appearing as a smooth-walled, fluid-filled cavity isointense to CSF that may or may not communicate with the ventricular system. The surrounding white matter typically demonstrates normal signal. Encephalomalacia and gliosis results when the insult occurs in the late second trimester and onward, as the brain is able to mount an astrocytic response to injury, and demonstrates surrounding parenchymal signal abnormality, best depicted on FLAIR (Figure 6).

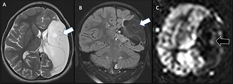
Fig 6

Figure 6. Presumed perinatal ischemic stroke (PPIS). A 10-month-old boy presented with early hand preference and medically refractory epilepsy. Axial T2-weighted (A) and coronal FLAIR (B) images demonstrate chronic infarction with liquefactive changes in the left MCA territory (white arrow) suggesting early injury, with associated decreased perfusion (black arrow) on ASL (C). Case courtesy of Dr. Tamara Feygin, Department of Radiology, Children’s Hospital of Philadelphia.

While MRA is technically more challenging to perform in neonates due to smaller blood vessels and lower blood velocities, it can help define the site of stenosis or large vessel occlusion and define anatomic variation non-invasively (6164). Most neonates (62%) with AIS have been shown to have findings on MRA, including occlusion or thrombus-type flow defect (Figure 3) (65). Additionally, some neonates show increased flow in insular MCA branches, which has been proposed to be related to early dissolution of clot with loss of autoregulation and hyper-perfusion (54).

Perfusion imaging is not routinely used in neonatal stroke for technical reasons––dynamic susceptibility contrast-enhanced (DSC) imaging requires a large, generally power-injected contrast bolus and noncontrast arterial spin labeling (ASL) perfusion is technically challenging in neonates in part due to the faster heart rate––and because it does not presently alter patient management in most cases, although paradigms for use of neonatal perfusion are emerging (19). ASL can be used to assess perfusion without the need for intravenous contrast, with pseudocontinuous tagging schemes (pCASL) and ideally flexible prescription of post-label delays preferred (66). Compared to the core and penumbral hypoperfusion seen in older children and adults, neonates often demonstrate hyperperfusion within the region of decreased ADC (Figure 7), with little evidence of adjacent hypoperfusion, which may be related to reperfusion or seizure-associated neuronal hyperexcitability (67). Hypoperfusion may be more common in venous stroke (67).

Fig 7

Figure 7. Neonatal arterial ischemic infarction. DWI (A) demonstrates reduced diffusion in the right PCA territory (white arrow), from acute infarct, as well as the callosal splenium (white arrowhead), representing acute network injury, with increased perfusion on Arterial Spin Labeling (ASL) perfusion (black arrow) (B). Case courtesy of Dr. Tamara Feygin, Department of Radiology, Children’s Hospital of Philadelphia.

Hemorrhagic stroke

The incidence of perinatal hemorrhagic stroke is approximately 1 in 6000–9000 live births (6871). Compared with PIS, fairly little is understood about its risk factors, etiologies, and outcomes. While intraventricular hemorrhage in premature neonates originates from a fragile germinal matrix, the mechanisms responsible for late preterm and term hemorrhagic strokes remain unclear, and the majority are described as idiopathic (69, 70). In term infants, isolated intraventricular hemorrhage is less common than intraparenchymal hemorrhage and, if present, may be the result of CSVT (7274). Causes of hemorrhagic stroke include congenital and acquired coagulopathy, CSVT (particularly cerebral medullary veins thrombosis), vascular malformations, and hemorrhagic conversion of ischemic infarct (arterial or venous) (69). Hemorrhagic disease of the newborn is more prevalent in infants who have not received vitamin K at birth and in infants of mothers taking blood thinning medications, such as warfarin, phenytoin, or barbiturates, during pregnancy (75, 76). Acquired coagulopathies include neonatal alloimmune thrombocytopenia or disseminated intravascular coagulation. Some genetic arteriopathies associated with both fetal and neonatal hemorrhagic stroke include collagen IVA and JAM3 mutations, which can appear identical to hemorrhagic venous infarctions (7784). In addition to hemorrhages occurring later in life, fetal and neonatal patients may present with subpial hemorrhages (Figure 8), which may be related to local venous thrombosis or birth trauma (8587). In these cases, blood is seen between the pia mater and the displaced brain parenchyma, often accompanied by venous infarction and subarachnoid or parenchymal blood.

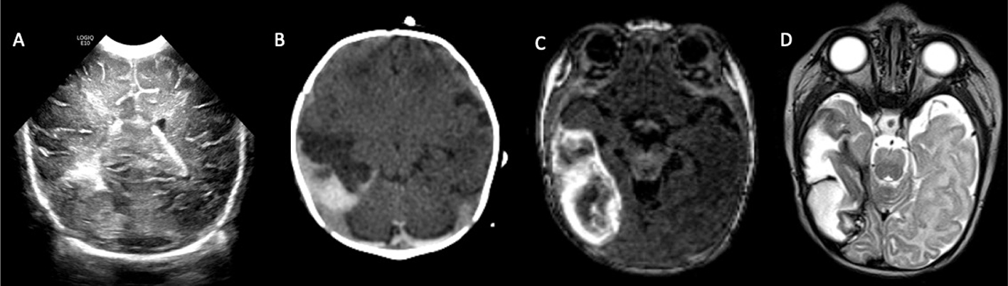
Fig 8

Figure 8. Subpial hemorrhage. A 17-day-old female with hypoplastic left heart syndrome status post Stage I Norwood with BT shunt. Coronal sonographic images (A) shows a heterogeneous lesion in the right temporal lobe. Axial non-contrast CT (B) shows the lesion to be a mixed intensity peripheral lesion in the right temporal lobe. T1- (C) and T2-weighted (D) images demonstrate a subpial hematoma in the right temporal lobe.

Although NCCT is sensitive for acute hemorrhage, MRI is the imaging modality of choice when clinically feasible due to the diagnostic accuracy and lack of ionizing radiation. MRI can diagnose hemorrhage, differentiate hemorrhagic transformation of arterial or venous infarction from primary hemorrhages, and is well-suited to evaluation of the brain parenchyma for an underlying mass or large vascular malformation. SWI uses magnitude and phase data to create high-resolution images to visualize intravascular venous deoxygenated blood and blood breakdown products and can help differentiate hemorrhage from calcification (88). The paramagnetic effects of blood products contribute to the heterogeneity of diffusion characteristics. Hemorrhage varies from large subcortical hematomas to petechial hemorrhages within edematous brain parenchyma (89, 90).

Catheter angiogram is rarely used in the setting of hemorrhagic infarct, except in the diagnosis and management of vascular malformations, due to demand for high operator technical expertise and the attendant risks to manipulation of small, fragile neonatal vessels (91). Repeat imaging once blood products have resorbed (approximately 3 months) may be helpful to exclude subtle underlying pathology such as arteriovenous malformations or tumor (92, 93).

Venous infarct/CSVT

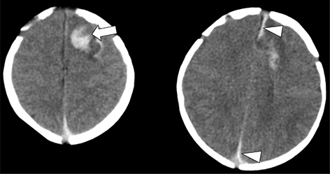
Pediatric venous infarcts secondary to CSVT/thrombosis of medullary veins occur most often (more than 40%) in the neonatal period (88, 89). The reported incidence of venous thrombosis is 2.6 per 100,000 (1, 88, 90). Approximately 50–60% percent suffer venous infarction, of which about 75% are hemorrhagic (21). The suggested pathophysiology of venous thrombosis encompasses “Virchow’s triad”, including: stasis of blood flow, injury to the endothelial lining, and hypercoagulability of blood components (94). As in perinatal AIS, multiple risk factors in both the mother and fetus may play a role in neonatal venous thrombosis, including gestational diabetes, preeclampsia, chorioamnionitis, neonatal sepsis, dehydration, difficult or instrumented delivery, and underlying prothrombotic state (95, 96). Venous thrombosis should be suspected in the setting of an unexplained hemorrhage or a brain parenchymal injury that does not fit an arterial vascular distribution, in the absence of trauma or infection (73, 97). Venous sinus occlusion initially reduces venous outflow with resultant vasogenic edema, and if adequate collateral venous outflow is not established, venous infarction will ensue (98). CT is sensitive for detecting hemorrhage, although the risk of ionizing radiation should be considered. On CT, venous infarcts are usually poorly delimited, hypodense, or mixed-attenuation, likely related to the presence of cerebral edema and hemorrhage, without respecting arterial territories (Figure 9) (42). The thrombosed vein may be seen overlying the infarction as a curvilinear region of high attenuation, depending upon the age of the thrombus. Infarctions occur in the territory of thrombosed venous, with parasagittal injuries in superior sagittal sinus thrombosis, temporal lobe hematomas in transverse sinus thrombosis, and thalamic hemorrhage in vein of Galen and straight sinus thromboses (99).

Fig 9

Figure 9. Venous thrombosis and hemorrhagic venous infarction. A three-day-old girl with right sided seizures. Axial non-contrast CT images show left frontal hemorrhagic venous infarction (arrow) and hyperdense clot in the superior sagittal sinus (arrowheads). Case courtesy of Dr. Tamara Feygin, Department of Radiology, Children’s Hospital of Philadelphia.

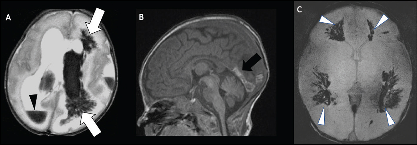
Periventricular venous infarction occurs in preterm infants as a consequence of germinal matrix hemorrhage, typically prior to 32 weeks of gestation (11). Germinal matrix hemorrhage may secondarily cause compression of the medullary veins, resulting in focal venous infarction in the periventricular white matter (100). Primary thrombosis of deep medullary vein can also be seen in full term neonates with congenital heart disease or with dehydration/metabolic acidosis, in the absence of germinal matrix hemorrhage, hypothesized to be related to hypoperfusion or impaired cerebral blood flow, and resulting in periventricular white matter venous infarct, often hemorrhagic (101103). The “iris sign,” a fan-shaped appearance of restricted diffusion or hemorrhage, most prominent in the deep frontal white matter, is a pathognomonic imaging sign of medullary vein thrombosis (Figure 10) (104). Delayed findings of periventricular venous infarction include periventricular white matter volume loss sparing the cortex and basal ganglia, focal irregularity of the ventricular margin, and hemosiderin staining (105). If spontaneous venous thrombosis is identified, the patient should be evaluated for disorders of coagulation (30, 97, 106113).

Fig 10

Figure 10. Medullary vein thrombosis and periventricular venous infarctions. Ex-premature at 32 weeks of gestation neonate, axial T2-weighted image (A) shows intraventricular hemorrhage (Black arrowhead), medullary veins thrombosis, and periventricular venous infarctions (arrows). A 7-day-old full-term neonate with severe dehydration. Sagittal T1-weighted (B) and axial GRE (C) images shows acute thrombus in the straight sinus (black arrow) and torcular and extensive thrombosis of the deep periventricular medullary veins (white arrowheads). Case courtesy of Dr. Tamara Feygin, Department of Radiology, Children’s Hospital of Philadelphia.

On MRI, routine T1- and T2-weighted images should be obtained, in addition to DWI, GRE or SWI images, and MRV. Acute venous thrombus (<7 days old) exhibits marked hypointensity with apparent expansion of the affected sinus on GRE or SWI (114). Subacute thrombosis (6 - 15 days) demonstrates high intensity on T1-weighted images (115). Multiple MRI techniques have been developed to detect venous thromboses, including 2D Time-of-Flight and phase contrast angiography, both of which are performed without the use of gadolinium, as well as contrast-enhanced techniques. Contrast-enhanced MRI is more accurate for diagnosing CSVT than non-contrast-enhanced flow-related and native contrast MR sequences, likely due to superior performance where flow-related enhancement is diminished due to extremely slow flow or where flow is parallel to the imaging plane on 2D time-of-flight sequences (116).

In neonates with venous thrombosis, follow-up MRI/MRV may be performed between age 6 weeks and 3 months following initiation of anticoagulation (96). Follow-up imaging may guide therapy, since persistence or extension of the clot may lead to extension of full-dose anticoagulation, while resolution of the clot may prompt discontinuation of therapy. If anticoagulation is not initiated, short-term follow-up within one week, or sooner if symptoms worsen, can be considered and may lead to the subsequent initiation of treatment (19).

STROKE MIMICS

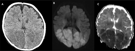
Clinically diagnosing stroke in neonates can be difficult due to the non-localizing and nonspecific signs of stroke, such as lateralized weakness after seizure or ataxia, are often overlooked (117). Other neurologic diagnoses can have a similar presentation, including congenital and acquired metabolic disorders, hypoglycemia, in addition to epilepsy, intracranial infection or inflammation, focal lesions, and drug toxicity (Figures 11 and 12) (118, 119).

Fig 11

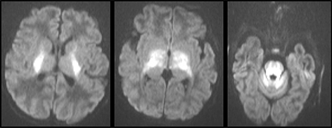
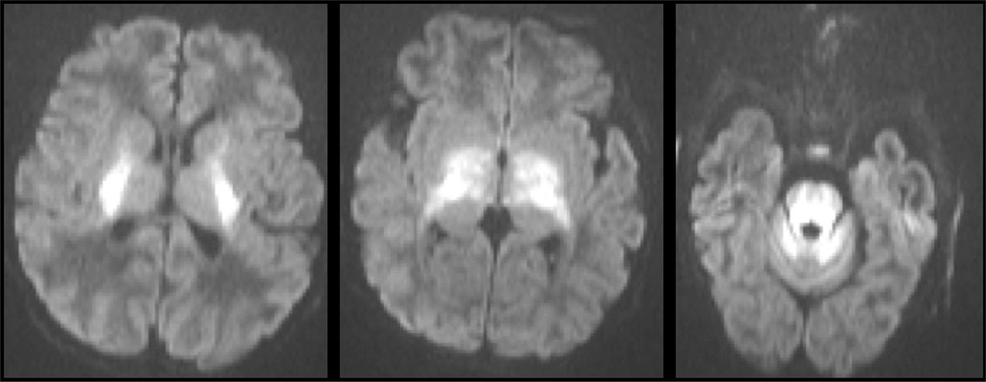
Figure 11. A 20-day-old boy with classic-type of maple syrup urine disease (MSUD). Axial DWI images showing symmetric pattern of acute restricted diffusion in the basal ganglia, thalami, brainstem, characteristic of exacerbation of MSUD. Case courtesy of Dr. Tamara Feygin, Department of Radiology, Children’s Hospital of Philadelphia.

Fig 12

Figure 12. A three-weeks-old girl with seizures and hypoglycemia. Axial CT (A) and axial DWI (B), and ADC (C) MR images show low density and loss of gray-white matter differentiation in the posterior half of the cerebral hemispheres on CT and reduced diffusion on MRI. The extent of the signal abnormality is much greater than usually seen with watershed infarction in the border zone between the MCA and PCA. Case courtesy of Dr. Tamara Feygin, Department of Radiology, Children’s Hospital of Philadelphia.

TREATMENT

Unlike in adults, no standard acute therapy exists for neonatal AIS, since, by the time of presentation, the infarct is often well established, and the affected artery is often patent (120). Management is therefore focused on neuroprotection, including seizure control (121). Early seizures often cease within days of onset and some children can be weaned from antiepileptic medications prior to discharge. Experimental neuroprotective therapies, including erythropoietin and stem cell therapy, show promising results (122, 123). Anticoagulation is used in patients with CSVT who do not have substantial intracranial hemorrhage. In neonates, CSVT often resolves without aggressive therapy and without neurologic residua. However, since about 30% of CSVTs propagate and result in worsening infarction, the risks and benefits of preventing further infarction and hemorrhage by anticoagulation and worsening the existing hemorrhage by withholding treatment must be carefully weighed.

PROGNOSIS

Over half of patients affected by perinatal stroke will have long-term neurological disabilities (124). Motor deficits occur in up to 60% of the cases, with hemiplegic cerebral palsy being the most common outcome. The upper extremity is often more involved than the leg in arterial lesions, with the reverse true for periventricular venous infarction. Poor motor outcome is associated with basal ganglia involvement and with periventricular venous infarction (9). Other neurodevelopmental problems include recurrent seizures, cognitive disabilities, and behavioral disorders (4). Seizures, poor cognition, and delayed development are associated with cortical involvement (9, 125). Patients with larger infarctions or infarctions involving eloquent regions of cortex have larger residual deficits than do those with smaller infarcts and those involving less eloquent regions (126, 127). In neonates, hemiparesis typically does not develop unless the cortex, basal ganglia, and internal capsule are all affected, whereas later in childhood, hemiparesis may develop even if only one or two of those sites are affected (128). In the absence of epilepsy, many functions normally performed by the injured regions of the brain may be subsumed in regions that have been spared due to neuroplasticity; although, when epilepsy develops, cognitive recovery may be impaired (127). Although congenital hemiplegia can result from prenatal periventricular venous infarctions, these patients are less likely to present with seizures or cognitive delays due to sparing of the cortex (129, 130). Language development potentially maintains a relatively normal trajectory due to neuroplasticity of the developing brain. Since the pregnancy-related circumstances that lead to perinatal stroke resolve, the risk of recurrent stroke in neonates is considered comparatively low (0–1.8%), except in neonates with congenital heart disease or other predispositions (14%) (4, 131). Important imaging features indicative of poor long-term neurological outcome may be demonstrated by reduced diffusion in the descending white matter tracts, preceding Wallerian degeneration, while notably T1- and T2- weighted sequences often fail to depict this early injury in the maturing brain.

CONCLUSION

A significant cause of morbidity, perinatal stroke results from a combination of maternal, obstetric, anatomic, and genetic factors. Understanding the unique etiologies and presentation is important for accurate and timely diagnosis. The use of appropriate neuroimaging is essential for making the correct diagnosis, directing treatment, excluding alternative diagnoses, and determining prognosis. As the understanding of the mechanism of neonatal stroke progresses and treatments improve, neuroimaging will continue to be an essential component of patient management and will evolve.

Acknowledgement: We would like to thank Dr. Tamara Feygin for providing cases and for contributing valuable insights to the content herein.

Conflict of interest: Dr. Dehkharghani reports unpaid scientific collaborations and the receipt of travel and research support form iSchemaView, as well as scientific consulting with Regeneron, both unrelated to the content herein. Dr. Dehkharghani receives grant funding from undisclosed sources paid to his institution, also in work unrelated to the content of this chapter. The authors declare no other potential conflicts of interest with respect to research, authorship and/or publication of this article.

Copyright and permission statement: The authors confirm that the materials included in this chapter do not violate copyright laws. Where relevant, appropriate permissions have been obtained from the original copyright holder(s), and all original sources have been appropriately acknowledged or referenced.

REFERENCES

  1. Lynch JK, Nelson KB. Epidemiology of perinatal stroke. Curr Opin Pediatr. 2001;13(6):499–505. https://doi.org/10.1097/00008480-200112000-00002
  2. Raju TN, Nelson KB, Ferriero D, Lynch JK, Participants N-NPSW. Ischemic perinatal stroke: summary of a workshop sponsored by the National Institute of Child Health and Human Development and the National Institute of Neurological Disorders and Stroke. Pediatrics. 2007;120(3):609–16. https://doi.org/10.1542/peds.2007-0336
  3. Chabrier S, Husson B, Dinomais M, Landrieu P, Nguyen The Tich S. New insights (and new interrogations) in perinatal arterial ischemic stroke. Thromb Res. 2011;127(1):13–22. https://doi.org/10.1016/j.thromres.2010.10.003
  4. Lee J, Croen LA, Lindan C, Nash KB, Yoshida CK, Ferriero DM, et al. Predictors of outcome in perinatal arterial stroke: a population-based study. Ann Neurol. 2005;58(2):303–8. https://doi.org/10.1002/ana.20557
  5. Heinz ER, Provenzale JM. Imaging findings in neonatal hypoxia: a practical review. AJR Am J Roentgenol. 2009;192(1):41–7. https://doi.org/10.2214/AJR.08.1321
  6. Chao CP, Zaleski CG, Patton AC. Neonatal hypoxic-ischemic encephalopathy: multimodality imaging findings. Radiographics. 2006;26 Suppl 1:S159–72. https://doi.org/10.1148/rg.26si065504
  7. Ozduman K, Pober BR, Barnes P, Copel JA, Ogle EA, Duncan CC, et al. Fetal stroke. Pediatr Neurol. 2004;30(3):151–62. https://doi.org/10.1016/j.pediatrneurol.2003.08.004
  8. Wu YW, March WM, Croen LA, Grether JK, Escobar GJ, Newman TB. Perinatal stroke in children with motor impairment: a population-based study. Pediatrics. 2004;114(3):612–9. https://doi.org/10.1542/peds.2004-0385
  9. Kirton A, Deveber G, Pontigon AM, Macgregor D, Shroff M. Presumed perinatal ischemic stroke: vascular classification predicts outcomes. Ann Neurol. 2008;63(4):436–43. https://doi.org/10.1002/ana.21334
  10. Ilves P, Laugesaar R, Loorits D, Kolk A, Tomberg T, Loo S, et al. Presumed Perinatal Stroke: Risk Factors, Clinical and Radiological Findings. J Child Neurol. 2016;31(5):621–8. https://doi.org/10.1177/0883073815609149
  11. Kirton A, Shroff M, Pontigon AM, deVeber G. Risk factors and presentations of periventricular venous infarction vs arterial presumed perinatal ischemic stroke. Arch Neurol. 2010;67(7):842–8. https://doi.org/10.1001/archneurol.2010.140
  12. Hines N, Mehta T, Romero J, Levine D. What is the clinical importance of echogenic material in the fetal frontal horns? J Ultrasound Med. 2009;28(12):1629–37. https://doi.org/10.7863/jum.2009.28.12.1629
  13. Sanapo L, Whitehead MT, Bulas DI, Ahmadzia HK, Pesacreta L, Chang T, et al. Fetal intracranial hemorrhage: role of fetal MRI. Prenat Diagn. 2017;37(8):827–36. https://doi.org/10.1002/pd.5096
  14. Adiego B, Martinez-Ten P, Bermejo C, Estevez M, Recio Rodriguez M, Illescas T. Fetal intracranial hemorrhage. Prenatal diagnosis and postnatal outcomes. J Matern Fetal Neonatal Med. 2019;32(1):21–30. https://doi.org/10.1080/14767058.2017.1369521
  15. Abels L, Lequin M, Govaert P. Sonographic templates of newborn perforator stroke. Pediatr Radiol. 2006;36(7):663–9. https://doi.org/10.1007/s00247-006-0125-2
  16. Jones RA, Palasis S, Grattan-Smith JD. MRI of the neonatal brain: optimization of spin-echo parameters. AJR Am J Roentgenol. 2004;182(2):367–72. https://doi.org/10.2214/ajr.182.2.1820367
  17. Windram J, Grosse-Wortmann L, Shariat M, Greer ML, Crawford MW, Yoo SJ. Cardiovascular MRI without sedation or general anesthesia using a feed-and-sleep technique in neonates and infants. Pediatr Radiol. 2012;42(2):183–7. https://doi.org/10.1007/s00247-011-2219-8
  18. Husson B, Lasjaunias P. Radiological approach to disorders of arterial brain vessels associated with childhood arterial stroke-a comparison between MRA and contrast angiography. Pediatr Radiol. 2004;34(1):10–5. https://doi.org/10.1007/s00247-003-1109-0
  19. Li C, Miao JK, Xu Y, Hua YY, Ma Q, Zhou LL, et al. Prenatal, perinatal and neonatal risk factors for perinatal arterial ischaemic stroke: a systematic review and meta-analysis. Eur J Neurol. 2017;24(8):1006–15. https://doi.org/10.1111/ene.13337
  20. Nelson KB, Lynch JK. Stroke in newborn infants. Lancet Neurol. 2004;3(3):150–8. https://doi.org/10.1016/S1474-4422(04)00679-9
  21. Gunny RS, Lin D. Imaging of perinatal stroke. Magn Reson Imaging Clin N Am. 2012;20(1):1–33. https://doi.org/10.1016/j.mric.2011.10.001
  22. Bernson-Leung ME, Boyd TK, Meserve EE, Danehy AR, Kapur K, Trenor CC, 3rd, et al. Placental Pathology in Neonatal Stroke: A Retrospective Case-Control Study. J Pediatr. 2018;195:39–47 e5. https://doi.org/10.1016/j.jpeds.2017.11.061
  23. McQuillen PS, Miller SP. Congenital heart disease and brain development. Ann N Y Acad Sci. 2010;1184:68–86. https://doi.org/10.1111/j.1749-6632.2009.05116.x
  24. Chang CJ, Chang WN, Huang LT, Chang YC, Huang SC, Hung PL, et al. Cerebral infarction in perinatal and childhood bacterial meningitis. QJM. 2003;96(10):755–62. https://doi.org/10.1093/qjmed/hcg128
  25. Jan W, Zimmerman RA, Bilaniuk LT, Hunter JV, Simon EM, Haselgrove J. Diffusion-weighted imaging in acute bacterial meningitis in infancy. Neuroradiology. 2003;45(9):634–9. https://doi.org/10.1007/s00234-003-1035-8
  26. deVeber G, Monagle P, Chan A, MacGregor D, Curtis R, Lee S, et al. Prothrombotic disorders in infants and children with cerebral thromboembolism. Arch Neurol. 1998;55(12):1539–43. https://doi.org/10.1001/archneur.55.12.1539
  27. Mercuri E, Cowan F, Gupte G, Manning R, Laffan M, Rutherford M, et al. Prothrombotic disorders and abnormal neurodevelopmental outcome in infants with neonatal cerebral infarction. Pediatrics. 2001;107(6):1400–4. https://doi.org/10.1542/peds.107.6.1400
  28. Lynch JK, Han CJ, Nee LE, Nelson KB. Prothrombotic factors in children with stroke or porencephaly. Pediatrics. 2005;116(2):447–53. https://doi.org/10.1542/peds.2004-1905
  29. Steinlin M, Pfister I, Pavlovic J, Everts R, Boltshauser E, Capone Mori A, et al. The first three years of the Swiss Neuropaediatric Stroke Registry (SNPSR): a population-based study of incidence, symptoms and risk factors. Neuropediatrics. 2005;36(2):90–7. https://doi.org/10.1055/s-2005-837658
  30. Golomb MR, MacGregor DL, Domi T, Armstrong DC, McCrindle BW, Mayank S, et al. Presumed pre- or perinatal arterial ischemic stroke: risk factors and outcomes. Ann Neurol. 2001;50(2):163–8. https://doi.org/10.1002/ana.1078
  31. Curtis C, Mineyko A, Massicotte P, Leaker M, Jiang XY, Floer A, et al. Thrombophilia risk is not increased in children after perinatal stroke. Blood. 2017;129(20):2793–800. https://doi.org/10.1182/blood-2016-11-750893
  32. Lehman LL, Beaute J, Kapur K, Danehy AR, Bernson-Leung ME, Malkin H, et al. Workup for Perinatal Stroke Does Not Predict Recurrence. Stroke. 2017;48(8):2078–83. https://doi.org/10.1161/STROKEAHA.117.017356
  33. Arnaez J, Arca G, Martin-Ancel A, Agut T, Garcia-Alix A. Neonatal Arterial Ischemic Stroke: Risk Related to Family History, Maternal Diseases, and Genetic Thrombophilia. Clin Appl Thromb Hemost. 2018;24(1):79–84. https://doi.org/10.1177/1076029617736383
  34. Govaert P. Sonographic stroke templates. Semin Fetal Neonatal Med. 2009;14(5):284–98. https://doi.org/10.1016/j.siny.2009.07.006
  35. Ecury-Goossen GM, Raets MM, Lequin M, Feijen-Roon M, Govaert P, Dudink J. Risk factors, clinical presentation, and neuroimaging findings of neonatal perforator stroke. Stroke. 2013;44(8):2115–20. https://doi.org/10.1161/STROKEAHA.113.001064
  36. Golomb MR, Garg BP, Edwards-Brown M, Williams LS. Very early arterial ischemic stroke in premature infants. Pediatr Neurol. 2008;38(5):329–34. https://doi.org/10.1016/j.pediatrneurol.2007.12.012
  37. Mercuri E, He J, Curati WL, Dubowitz LM, Cowan FM, Bydder GM. Cerebellar infarction and atrophy in infants and children with a history of premature birth. Pediatr Radiol. 1997;27(2):139–43. https://doi.org/10.1007/s002470050085
  38. de Vries LS, Benders MJ, Groenendaal F. Progress in Neonatal Neurology with a Focus on Neuroimaging in the Preterm Infant. Neuropediatrics. 2015;46(4):234–41. https://doi.org/10.1055/s-0035-1554102
  39. de Vries LS, Groenendaal F, Eken P, van Haastert IC, Rademaker KJ, Meiners LC. Infarcts in the vascular distribution of the middle cerebral artery in preterm and fullterm infants. Neuropediatrics. 1997;28(2):88–96. https://doi.org/10.1055/s-2007-973679
  40. Cowan F, Mercuri E, Groenendaal F, Bassi L, Ricci D, Rutherford M, et al. Does cranial ultrasound imaging identify arterial cerebral infarction in term neonates? Arch Dis Child Fetal Neonatal Ed. 2005;90(3):F252–6. https://doi.org/10.1136/adc.2004.055558
  41. Barkovich AJ. Pediatric neuroimaging. New York: Raven Press; 1990. xi, 355 p. p.
  42. Yikilmaz A, Taylor GA. Cranial sonography in term and near-term infants. Pediatr Radiol. 2008;38(6):605–16; qiuz 718–9. https://doi.org/10.1007/s00247-007-0692-x
  43. Perlman JM, Rollins NK, Evans D. Neonatal stroke: clinical characteristics and cerebral blood flow velocity measurements. Pediatr Neurol. 1994;11(4):281–4. https://doi.org/10.1016/0887-8994(94)90002-7
  44. Vossough A. Cerebrovascular Diseases in Infants and Children: General Imaging Principles. In: Rossi A, editor. Pediatric Neuroradiology. Berlin, Heidelberg: Springer Berlin Heidelberg; 2015. p. 1–48. https://doi.org/10.1007/978-3-662-46258-4_12-1
  45. Lequin MH, Dudink J, Tong KA, Obenaus A. Magnetic resonance imaging in neonatal stroke. Semin Fetal Neonatal Med. 2009;14(5):299–310. https://doi.org/10.1016/j.siny.2009.07.005
  46. Cowan FM, Pennock JM, Hanrahan JD, Manji KP, Edwards AD. Early detection of cerebral infarction and hypoxic ischemic encephalopathy in neonates using diffusion-weighted magnetic resonance imaging. Neuropediatrics. 1994;25(4):172–5. https://doi.org/10.1055/s-2008-1073018
  47. McKinstry RC, Miller JH, Snyder AZ, Mathur A, Schefft GL, Almli CR, et al. A prospective, longitudinal diffusion tensor imaging study of brain injury in newborns. Neurology. 2002;59(6):824–33. https://doi.org/10.1212/WNL.59.6.824
  48. Dudink J, Mercuri E, Al-Nakib L, Govaert P, Counsell SJ, Rutherford MA, et al. Evolution of unilateral perinatal arterial ischemic stroke on conventional and diffusion-weighted MR imaging. AJNR Am J Neuroradiol. 2009;30(5):998–1004. https://doi.org/10.3174/ajnr.A1480
  49. Schlaug G, Siewert B, Benfield A, Edelman RR, Warach S. Time course of the apparent diffusion coefficient (ADC) abnormality in human stroke. Neurology. 1997;49(1):113–9. https://doi.org/10.1212/WNL.49.1.113
  50. Okabe T, Aida N, Niwa T, Nozawa K, Shibasaki J, Osaka H. Early magnetic resonance detection of cortical necrosis and acute network injury associated with neonatal and infantile cerebral infarction. Pediatr Radiol. 2014;44(5):597–604. https://doi.org/10.1007/s00247-013-2846-3
  51. De Vries LS, Van der Grond J, Van Haastert IC, Groenendaal F. Prediction of outcome in new-born infants with arterial ischaemic stroke using diffusion-weighted magnetic resonance imaging. Neuropediatrics. 2005;36(1):12–20. https://doi.org/10.1055/s-2005-837544
  52. Kirton A, Shroff M, Visvanathan T, deVeber G. Quantified corticospinal tract diffusion restriction predicts neonatal stroke outcome. Stroke. 2007;38(3):974–80. https://doi.org/10.1161/01.STR.0000258101.67119.72
  53. Biswas A, Mankad K, Shroff M, Hanagandi P, Krishnan P. Neuroimaging Perspectives of Perinatal Arterial Ischemic Stroke. Pediatr Neurol. 2020;113:56–65. https://doi.org/10.1016/j.pediatrneurol.2020.08.011
  54. Barkovich AJ, Westmark K, Partridge C, Sola A, Ferriero DM. Perinatal asphyxia: MR findings in the first 10 days. AJNR Am J Neuroradiol. 1995;16(3):427–38.
  55. Shan DE, Pan HC, Ho DM, Teng MM, Chang C. Presence of activated microglia in a high-signal lesion on T1-weighted MR images: a biopsy sample re-examined. AJNR Am J Neuroradiol. 2007;28(4):602.
  56. Heiss WD, Sobesky J, Hesselmann V. Identifying thresholds for penumbra and irreversible tissue damage. Stroke. 2004;35(11 Suppl 1):2671–4. https://doi.org/10.1161/01.STR.0000143329.81997.8a
  57. Tanaka R, Komine-Kobayashi M, Mochizuki H, Yamada M, Furuya T, Migita M, et al. Migration of enhanced green fluorescent protein expressing bone marrow-derived microglia/macrophage into the mouse brain following permanent focal ischemia. Neuroscience. 2003;117(3):531–9. https://doi.org/10.1016/S0306-4522(02)00954-5
  58. Dehkharghani S, Andre J. Imaging Approaches to Stroke and Neurovascular Disease. Neurosurgery. 2017;80(5):681–700. https://doi.org/10.1093/neuros/nyw108
  59. Krieger DA, Dehkharghani S. Magnetic Resonance Imaging in Ischemic Stroke and Cerebral Venous Thrombosis. Top Magn Reson Imaging. 2015;24(6):331–52. https://doi.org/10.1097/RMR.0000000000000067
  60. Fullerton HJ, Wintermark M, Hills NK, Dowling MM, Tan M, Rafay MF, et al. Risk of Recurrent Arterial Ischemic Stroke in Childhood: A Prospective International Study. Stroke. 2016;47(1):53–9. https://doi.org/10.1161/STROKEAHA.115.011173
  61. Wintermark M, Hills NK, deVeber GA, Barkovich AJ, Elkind MS, Sear K, et al. Arteriopathy diagnosis in childhood arterial ischemic stroke: results of the vascular effects of infection in pediatric stroke study. Stroke. 2014;45(12):3597–605. https://doi.org/10.1161/STROKEAHA.114.007404
  62. Bulder MM, Bokkers RP, Hendrikse J, Kappelle LJ, Braun KP, Klijn CJ. Arterial spin labeling perfusion MRI in children and young adults with previous ischemic stroke and unilateral intracranial arteriopathy. Cerebrovasc Dis. 2014;37(1):14–21. https://doi.org/10.1159/000355889
  63. Yeon JY, Shin HJ, Seol HJ, Kim JS, Hong SC. Unilateral intracranial arteriopathy in pediatric stroke: course, outcome, and prediction of reversible arteriopathy. Stroke. 2014;45(4):1173–6. https://doi.org/10.1161/STROKEAHA.113.004125
  64. Husson B, Hertz-Pannier L, Adamsbaum C, Renaud C, Presles E, Dinomais M, et al. MR angiography findings in infants with neonatal arterial ischemic stroke in the middle cerebral artery territory: A prospective study using circle of Willis MR angiography. Eur J Radiol. 2016;85(7):1329–35. https://doi.org/10.1016/j.ejrad.2016.05.002
  65. Lee S, Mirsky DM, Beslow LA, Amlie-Lefond C, Danehy AR, Lehman L, et al. Pathways for Neuroimaging of Neonatal Stroke. Pediatr Neurol. 2017;69:37–48. https://doi.org/10.1016/j.pediatrneurol.2016.12.008
  66. Boudes E, Gilbert G, Leppert IR, Tan X, Pike GB, Saint-Martin C, et al. Measurement of brain perfusion in newborns: pulsed arterial spin labeling (PASL) versus pseudo-continuous arterial spin labeling (pCASL). Neuroimage Clin. 2014;6:126–33. https://doi.org/10.1016/j.nicl.2014.08.010
  67. Watson CG, Dehaes M, Gagoski BA, Grant PE, Rivkin MJ. Arterial Spin Labeling Perfusion Magnetic Resonance Imaging Performed in Acute Perinatal Stroke Reveals Hyperperfusion Associated With Ischemic Injury. Stroke. 2016;47(6):1514–9. https://doi.org/10.1161/STROKEAHA.115.011936
  68. Lynch JK, Hirtz DG, DeVeber G, Nelson KB. Report of the National Institute of Neurological Disorders and Stroke workshop on perinatal and childhood stroke. Pediatrics. 2002;109(1):116–23. https://doi.org/10.1542/peds.109.1.116
  69. Armstrong-Wells J, Johnston SC, Wu YW, Sidney S, Fullerton HJ. Prevalence and predictors of perinatal hemorrhagic stroke: results from the kaiser pediatric stroke study. Pediatrics. 2009;123(3):823–8. https://doi.org/10.1542/peds.2008-0874
  70. Cole L, Dewey D, Letourneau N, Kaplan BJ, Chaput K, Gallagher C, et al. Clinical Characteristics, Risk Factors, and Outcomes Associated With Neonatal Hemorrhagic Stroke: A Population-Based Case-Control Study. JAMA Pediatr. 2017;171(3):230–8. https://doi.org/10.1001/jamapediatrics.2016.4151
  71. Takenouchi T, Kasdorf E, Engel M, Grunebaum A, Perlman JM. Changing pattern of perinatal brain injury in term infants in recent years. Pediatr Neurol. 2012;46(2):106–10. https://doi.org/10.1016/j.pediatrneurol.2011.11.011
  72. Beslow LA, Abend NS, Gindville MC, Bastian RA, Licht DJ, Smith SE, et al. Pediatric intracerebral hemorrhage: acute symptomatic seizures and epilepsy. JAMA Neurol. 2013;70(4):448–54. https://doi.org/10.1001/jamaneurol.2013.1033
  73. Teksam M, Moharir M, Deveber G, Shroff M. Frequency and topographic distribution of brain lesions in pediatric cerebral venous thrombosis. AJNR Am J Neuroradiol. 2008;29(10):1961–5. https://doi.org/10.3174/ajnr.A1246
  74. Carvalho KS, Bodensteiner JB, Connolly PJ, Garg BP. Cerebral venous thrombosis in children. J Child Neurol. 2001;16(8):574–80. https://doi.org/10.1177/088307380101600807
  75. Wang JJ, Shi KL, Li JW, Jiang LQ, Caspi O, Fang F, et al. Risk factors for arterial ischemic and hemorrhagic stroke in childhood. Pediatr Neurol. 2009;40(4):277–81. https://doi.org/10.1016/j.pediatrneurol.2008.11.002
  76. Roach ES, Golomb MR, Adams R, Biller J, Daniels S, Deveber G, et al. Management of stroke in infants and children: a scientific statement from a Special Writing Group of the American Heart Association Stroke Council and the Council on Cardiovascular Disease in the Young. Stroke. 2008;39(9):2644–91. https://doi.org/10.1161/STROKEAHA.108.189696
  77. Gould DB, Phalan FC, Breedveld GJ, van Mil SE, Smith RS, Schimenti JC, et al. Mutations in Col4a1 cause perinatal cerebral hemorrhage and porencephaly. Science. 2005;308(5725):1167–71. https://doi.org/10.1126/science.1109418
  78. Mochida GH, Ganesh VS, Felie JM, Gleason D, Hill RS, Clapham KR, et al. A homozygous mutation in the tight-junction protein JAM3 causes hemorrhagic destruction of the brain, subependymal calcification, and congenital cataracts. Am J Hum Genet. 2010;87(6):882–9. https://doi.org/10.1016/j.ajhg.2010.10.026
  79. Akawi NA, Canpolat FE, White SM, Quilis-Esquerra J, Morales Sanchez M, Gamundi MJ, et al. Delineation of the clinical, molecular and cellular aspects of novel JAM3 mutations underlying the autosomal recessive hemorrhagic destruction of the brain, subependymal calcification, and congenital cataracts. Hum Mutat. 2013;34(3):498–505. https://doi.org/10.1002/humu.22263
  80. van der Knaap MS, Smit LM, Barkhof F, Pijnenburg YA, Zweegman S, Niessen HW, et al. Neonatal porencephaly and adult stroke related to mutations in collagen IV A1. Ann Neurol. 2006;59(3):504–11. https://doi.org/10.1002/ana.20715
  81. de Vries LS, Koopman C, Groenendaal F, Van Schooneveld M, Verheijen FW, Verbeek E, et al. COL4A1 mutation in two preterm siblings with antenatal onset of parenchymal hemorrhage. Ann Neurol. 2009;65(1):12–8. https://doi.org/10.1002/ana.21525
  82. Livingston J, Doherty D, Orcesi S, Tonduti D, Piechiecchio A, La Piana R, et al. COL4A1 mutations associated with a characteristic pattern of intracranial calcification. Neuropediatrics. 2011;42(6):227–33. https://doi.org/10.1055/s-0031-1295493
  83. Yoneda Y, Haginoya K, Kato M, Osaka H, Yokochi K, Arai H, et al. Phenotypic spectrum of COL4A1 mutations: porencephaly to schizencephaly. Ann Neurol. 2013;73(1):48–57. https://doi.org/10.1002/ana.23736
  84. Renard D, Mine M, Pipiras E, Labauge P, Delahaye A, Benzacken B, et al. Cerebral small-vessel disease associated with COL4A1 and COL4A2 gene duplications. Neurology. 2014;83(11):1029–31. https://doi.org/10.1212/WNL.0000000000000769
  85. Huang AH, Robertson RL. Spontaneous superficial parenchymal and leptomeningeal hemorrhage in term neonates. AJNR Am J Neuroradiol. 2004;25(3):469–75.
  86. Cain DW, Dingman AL, Armstrong J, Stence NV, Jensen AM, Mirsky DM. Subpial Hemorrhage of the Neonate. Stroke. 2020;51(1):315–8. https://doi.org/10.1161/STROKEAHA.119.025987
  87. Assis Z, Kirton A, Pauranik A, Sherriff M, Wei XC. Idiopathic Neonatal Subpial Hemorrhage with Underlying Cerebral Infarct: Imaging Features and Clinical Outcome. AJNR Am J Neuroradiol. 2021;42(1):185–93. https://doi.org/10.3174/ajnr.A6872
  88. Komiyama M, Honnda Y, Matsusaka Y, Morikawa T, Kitano S, Sakamoto H. Cerebral diagnostic and therapeutic angiography for neonatal arteriovenous fistulas. Interv Neuroradiol. 2004;10 Suppl 1:39–42. https://doi.org/10.1177/15910199040100S104
  89. Tekkok IH, Ventureyra EC. Spontaneous intracranial hemorrhage of structural origin during the first year of life. Childs Nerv Syst. 1997;13(3):154–65. https://doi.org/10.1007/s003810050061
  90. Buetow PC, Smirniotopoulos JG, Done S. Congenital brain tumors: a review of 45 cases. AJNR Am J Neuroradiol. 1990;11(4):793–9. https://doi.org/10.2214/ajr.155.3.2167004
  91. Witmer CM, Takemoto CM. Pediatric Hospital Acquired Venous Thromboembolism. Front Pediatr. 2017;5:198. https://doi.org/10.3389/fped.2017.00198
  92. Wu YW, Miller SP, Chin K, Collins AE, Lomeli SC, Chuang NA, et al. Multiple risk factors in neonatal sinovenous thrombosis. Neurology. 2002;59(3):438–40. https://doi.org/10.1212/WNL.59.3.438
  93. Yang JY, Chan AK, Callen DJ, Paes BA. Neonatal cerebral sinovenous thrombosis: sifting the evidence for a diagnostic plan and treatment strategy. Pediatrics. 2010;126(3):e693–700. https://doi.org/10.1542/peds.2010-1035
  94. Sebire G, Tabarki B, Saunders DE, Leroy I, Liesner R, Saint-Martin C, et al. Cerebral venous sinus thrombosis in children: risk factors, presentation, diagnosis and outcome. Brain. 2005;128(Pt 3):477–89. https://doi.org/10.1093/brain/awh412
  95. Forbes KP, Pipe JG, Heiserman JE. Evidence for cytotoxic edema in the pathogenesis of cerebral venous infarction. AJNR Am J Neuroradiol. 2001;22(3):450–5.
  96. Merlini L, Hanquinet S, Fluss J. Thalamic Hemorrhagic Stroke in the Term Newborn: A Specific Neonatal Syndrome With Non-uniform Outcome. J Child Neurol. 2017;32(8):746–53. https://doi.org/10.1177/0883073817703503
  97. de Vries LS, Roelants-van Rijn AM, Rademaker KJ, Van Haastert IC, Beek FJ, Groenendaal F. Unilateral parenchymal haemorrhagic infarction in the preterm infant. Eur J Paediatr Neurol. 2001;5(4):139–49. https://doi.org/10.1053/ejpn.2001.0494
  98. Arrigoni F, Parazzini C, Righini A, Doneda C, Ramenghi LA, Lista G, et al. Deep medullary vein involvement in neonates with brain damage: an MR imaging study. AJNR Am J Neuroradiol. 2011;32(11):2030–6. https://doi.org/10.3174/ajnr.A2687
  99. Benninger KL, Benninger TL, Moore-Clingenpeel M, Ruess L, Rusin JA, Maitre NL. Deep Medullary Vein White Matter Injury Global Severity Score Predicts Neurodevelopmental Impairment. J Child Neurol. 2021;36(4):253–61. https://doi.org/10.1177/0883073820967161
  100. Ramenghi LA, Govaert P, Fumagalli M, Bassi L, Mosca F. Neonatal cerebral sinovenous thrombosis. Semin Fetal Neonatal Med. 2009;14(5):278–83. https://doi.org/10.1016/j.siny.2009.07.010
  101. Kirton A, deVeber G. Paediatric stroke: pressing issues and promising directions. Lancet Neurol. 2015;14(1):92–102. https://doi.org/10.1016/S1474-4422(14)70227-3
  102. Kirton A, Wei X. Teaching neuroimages: confirmation of prenatal periventricular venous infarction with susceptibility-weighted MRI. Neurology. 2010;74(12):e48. https://doi.org/10.1212/WNL.0b013e3181d5a47a
  103. Israels SJ, Seshia SS. Childhood stroke associated with protein C or S deficiency. J Pediatr. 1987;111(4):562–4. https://doi.org/10.1016/S0022-3476(87)80122-1
  104. Zoller B, Dahlback B. Linkage between inherited resistance to activated protein C and factor V gene mutation in venous thrombosis. Lancet. 1994;343(8912):1536–8. https://doi.org/10.1016/S0140-6736(94)92940-8
  105. Brey RL, Coull BM. Cerebral venous thrombosis. Role of activated protein C resistance and factor V gene mutation. Stroke. 1996;27(10):1719–20. https://doi.org/10.1161/01.STR.27.10.1719
  106. Gobel U. Inherited or acquired disorders of blood coagulation in children with neurovascular complications. Neuropediatrics. 1994;25(1):4–7. https://doi.org/10.1055/s-2008-1071573
  107. van Kuijck MA, Rotteveel JJ, van Oostrom CG, Novakova I. Neurological complications in children with protein C deficiency. Neuropediatrics. 1994;25(1):16–9. https://doi.org/10.1055/s-2008-1071575
  108. Nowak-Gottl U, Strater R, Heinecke A, Junker R, Koch HG, Schuierer G, et al. Lipoprotein (a) and genetic polymorphisms of clotting factor V, prothrombin, and methylenetetrahydrofolate reductase are risk factors of spontaneous ischemic stroke in childhood. Blood. 1999;94(11):3678–82. https://doi.org/10.1182/blood.V94.11.3678
  109. Schoning M, Klein R, Krageloh-Mann I, Falck M, Bien S, Berg PA, et al. Antiphospholipid antibodies in cerebrovascular ischemia and stroke in childhood. Neuropediatrics. 1994;25(1):8–14. https://doi.org/10.1055/s-2008-1071574
  110. Angelini L, Zibordi F, Zorzi G, Nardocci N, Caporali R, Ravelli A, et al. Neurological disorders, other than stroke, associated with antiphospholipid antibodies in childhood. Neuropediatrics. 1996;27(3):149–53. https://doi.org/10.1055/s-2007-973766
  111. Tong KA, Ashwal S, Obenaus A, Nickerson JP, Kido D, Haacke EM. Susceptibility-weighted MR imaging: a review of clinical applications in children. AJNR Am J Neuroradiol. 2008;29(1):9–17. https://doi.org/10.3174/ajnr.A0786
  112. Chiras J, Dubs M, Bories J. Venous infarctions. Neuroradiology. 1985;27(6):593–600. https://doi.org/10.1007/BF00340857
  113. deVeber G, Andrew M, Adams C, Bjornson B, Booth F, Buckley DJ, et al. Cerebral sinovenous thrombosis in children. N Engl J Med. 2001;345(6):417–23. https://doi.org/10.1056/NEJM200108093450604
  114. Leach JL, Strub WM, Gaskill-Shipley MF. Cerebral venous thrombus signal intensity and susceptibility effects on gradient recalled-echo MR imaging. AJNR Am J Neuroradiol. 2007;28(5):940–5.
  115. Dmytriw AA, Song JSA, Yu E, Poon CS. Cerebral venous thrombosis: state of the art diagnosis and management. Neuroradiology. 2018;60(7):669–85. https://doi.org/10.1007/s00234-018-2032-2
  116. Liang L, Korogi Y, Sugahara T, Onomichi M, Shigematsu Y, Yang D, et al. Evaluation of the intracranial dural sinuses with a 3D contrast-enhanced MP-RAGE sequence: prospective comparison with 2D-TOF MR venography and digital subtraction angiography. AJNR Am J Neuroradiol. 2001;22(3):481–92.
  117. Mirsky DM, Beslow LA, Amlie-Lefond C, Krishnan P, Laughlin S, Lee S, et al. Pathways for Neuroimaging of Childhood Stroke. Pediatr Neurol. 2017;69:11–23. https://doi.org/10.1016/j.pediatrneurol.2016.12.004
  118. Shellhaas RA, Smith SE, O’Tool E, Licht DJ, Ichord RN. Mimics of childhood stroke: characteristics of a prospective cohort. Pediatrics. 2006;118(2):704–9. https://doi.org/10.1542/peds.2005-2676
  119. Ladner TR, Mahdi J, Gindville MC, Gordon A, Harris ZL, Crossman K, et al. Pediatric Acute Stroke Protocol Activation in a Children’s Hospital Emergency Department. Stroke. 2015;46(8):2328–31. https://doi.org/10.1161/STROKEAHA.115.009961
  120. Monagle P, Chan AKC, Goldenberg NA, Ichord RN, Journeycake JM, Nowak-Gottl U, et al. Antithrombotic therapy in neonates and children: Antithrombotic Therapy and Prevention of Thrombosis, 9th ed: American College of Chest Physicians Evidence-Based Clinical Practice Guidelines. Chest. 2012;141(2 Suppl):e737S-e801S. https://doi.org/10.1378/chest.11-2308
  121. Suppiej A, Mastrangelo M, Mastella L, Accorsi P, Grazian L, Casara G, et al. Pediatric epilepsy following neonatal seizures symptomatic of stroke. Brain Dev. 2016;38(1):27–31. https://doi.org/10.1016/j.braindev.2015.05.010
  122. Wang L, Zhang Z, Wang Y, Zhang R, Chopp M. Treatment of stroke with erythropoietin enhances neurogenesis and angiogenesis and improves neurological function in rats. Stroke. 2004;35(7):1732–7. https://doi.org/10.1161/01.STR.0000132196.49028.a4
  123. Kim ES, Ahn SY, Im GH, Sung DK, Park YR, Choi SH, et al. Human umbilical cord blood-derived mesenchymal stem cell transplantation attenuates severe brain injury by permanent middle cerebral artery occlusion in newborn rats. Pediatr Res. 2012;72(3):277–84. https://doi.org/10.1038/pr.2012.71
  124. Kirton A, Deveber G. Life after perinatal stroke. Stroke. 2013;44(11):3265–71. https://doi.org/10.1161/STROKEAHA.113.000739
  125. Braun KP, Bulder MM, Chabrier S, Kirkham FJ, Uiterwaal CS, Tardieu M, et al. The course and outcome of unilateral intracranial arteriopathy in 79 children with ischaemic stroke. Brain. 2009;132(Pt 2):544–57. https://doi.org/10.1093/brain/awn313
  126. Ganesan V, Ng V, Chong WK, Kirkham FJ, Connelly A. Lesion volume, lesion location, and outcome after middle cerebral artery territory stroke. Arch Dis Child. 1999;81(4):295–300. https://doi.org/10.1136/adc.81.4.295
  127. Ganesan V, Hogan A, Shack N, Gordon A, Isaacs E, Kirkham FJ. Outcome after ischaemic stroke in childhood. Dev Med Child Neurol. 2000;42(7):455–61. https://doi.org/10.1017/S0012162200000852
  128. Boardman JP, Ganesan V, Rutherford MA, Saunders DE, Mercuri E, Cowan F. Magnetic resonance image correlates of hemiparesis after neonatal and childhood middle cerebral artery stroke. Pediatrics. 2005;115(2):321–6. https://doi.org/10.1542/peds.2004-0427
  129. Takanashi J, Barkovich AJ, Ferriero DM, Suzuki H, Kohno Y. Widening spectrum of congenital hemiplegia: Periventricular venous infarction in term neonates. Neurology. 2003;61(4):531–3. https://doi.org/10.1212/01.WNL.0000079370.28310.EA
  130. Takanashi J, Tada H, Barkovich AJ, Kohno Y. Magnetic resonance imaging confirms periventricular venous infarction in a term-born child with congenital hemiplegia. Dev Med Child Neurol. 2005;47(10):706–8. https://doi.org/10.1017/S0012162205001441
  131. Rodan L, McCrindle BW, Manlhiot C, MacGregor DL, Askalan R, Moharir M, et al. Stroke recurrence in children with congenital heart disease. Ann Neurol. 2012;72(1):103–11. https://doi.org/10.1002/ana.23574