13

Glioneuronal Tumors: Insights into a Rare Tumor Entity

Andra Valentina Krauze

Division of Radiation Oncology and Developmental Radiotherapeutics, BC Cancer Surrey, University of British Columbia, Vancouver, Canada

Abstract: Glioneuronal tumors are a group of rare neoplasms made up of neural and glial components in heterogenous proportions, generally exhibiting WHO grade I clinical behavior. These tumors affect infants, children and young adults, but are also described in adults and the elderly. They are strongly associated with seizures. Tumor subtypes described under the umbrella of glioneuronal tumors are actively evolving but to date comprise central, extraventricular and lipo- neurocytoma, desmoplastic infantile astrocytoma and ganglioglioma, diffuse leptomeningeal glioneuronal tumor, dysembryoplastic neuroepithelial tumor, papillary glioneuronal tumor, rosette-forming glioneuronal tumor of the fourth ventricle, rosetted glioneuronal tumor with neuropil-like islands, gangliocytoma, ganglioglioma, anaplastic ganglioglioma and paraganglioma. They vary in radiographic appearance, with some exhibiting large heterogenous solid/cystic masses. With large scale genetic and molecular analyses ongoing, classification continues to evolve. Seizure management and surgical resection represent the cornerstones of management, with the use of systemic agents and radiation lacking conclusive results. Optimal management requires multidisciplinary discussion including neuro-oncological and neuro-surgical expertise due to both the rarity of these tumors and the lack of evidence with data confined to small retrospective series and reviews.

Keywords: desmoplastic infantile astrocytoma and ganglioglioma; dysembryoplastic neuroepithelial tumor; glioneuronal tumors; neurocytoma; late effects

Author for correspondence: Andra Valentina Krauze, Division of Radiation Oncology and Developmental Radiotherapeutics, BC Cancer Surrey, University of British Columbia, Vancouver, Canada. Email: andra.krauze@bccancer.bc.ca

Doi: https://doi.org/10.36255/exonpublications.gliomas.2021.chapter13

In: Gliomas. Debinski W (Editor). Exon Publications, Brisbane, Australia. ISBN: 978-0-6450017-4-7; Doi: https://doi.org/10.36255/exonpublications.gliomas.2021

Copyright: The Authors.

License: This open access article is licenced under Creative Commons Attribution-NonCommercial 4.0 International (CC BY-NC 4.0) https://creativecommons.org/licenses/by-nc/4.0/

INTRODUCTION

Glioneuronal tumors are rare tumors comprised of both neural and glial components present in heterogenous proportions displaying indolent WHO grade I behavior (13). More recently, molecular characterization has allowed for more robust classification (49). The subtypes falling under the umbrella of glioneuronal tumors are actively evolving but currently include: central, extraventricular and lipo- neurocytoma; desmoplastic infantile astrocytoma and ganglioglioma (DIA/DIG), diffuse leptomeningeal glioneuronal tumor, dysembryoplastic neuroepithelial tumor (DNET), papillary glioneuronal tumor (PGNT), rosette-forming glioneuronal tumor of the fourth ventricle (RGNT), rosetted glioneuronal tumor with neuropil-like islands (GNTNI), gangliocytoma (GC), ganglioglioma (GG) and anaplastic ganglioglioma and paraganglioma (1, 2). Evolving entities including low grade neuroepithelial tumor of the young (9), multinodular and vacuolating neuronal tumor (10), and entities such as paraganglioma (11), are not described in detail in this chapter. Depending on the subtype, glioneuronal tumors can occur in all age groups. Most glioneuronal tumors present with seizures, depending on location and rate of growth. Patients can present with increased intracranial pressure, acute neurological deficits, hydrocephalus, diffuse leptomeningeal spread and symptoms of cord impingement or compression. Overall, the data surrounding glioneuronal tumors remains scant, largely comprised of small retrospective series and reviews of literature (13). Management involves seizure and symptom control, including resection when possible (12, 13). In sub-totally resected disease and recurrent or grade II/III tumors, adjuvant treatment in the form of radiation and or chemotherapy may be administered; however, data on improvements in outcome are lacking (1421). Due to the indolent behavior of these tumors, late effects and survival are increasingly being examined (2224).

CLINICAL PRESENTATION

Over 50% of patients present with headache (20), hydrocephalus (21, 25) and focal neurological deficits. Glioneuronal tumors are by far the most common histological type of brain tumors requiring surgery for epilepsy management (26) and are therefore part of the “low grade epilepsy associated neuroepithelial tumors” family (2629). Patients can present with seizures in infancy, childhood or early adulthood and most patients will have a mean duration of epilepsy of approximately 5 years with a range of 0.1 to 35 years (8). A family history of seizures or brain tumors is not typically reported on history and most patients exhibit multiple seizure types with seizures that tend to be drug-resistant. About 42.9% of patients display two or more types of seizures with more patients presenting with complex partial seizures (dialeptic seizure, with vegetative or affective aura, psycho-sensorial aura and automatisms) or partial seizures evolving to secondarily generalized seizures (8). Temporal location is common, and the seizure presentation can be associated with focal cortical dysplasia (6). Although previous publications indicated a possible predilection for male (8) or female gender (1, 14, 30), more recent data suggests a 1:1 distribution (5, 22). Age at presentation for DIA/DIG is infant to 33 years while for other types such as PGNT, RGNT and GNTNI, it is 12–70 years (7, 8, 20). In addition to seizures, patients can present with hydrocephalus (21, 25), increased intracranial pressure as well as focal neurological deficits depending on tumor location, rate of growth and age. DIA/DIG presents usually, although not exclusively, in infants with increasing head circumference and seizure (31). Most commonly, patients with low-grade tumors present with headache, nausea, vomiting, and seizure; less frequent presentations include neurological deficits, loss of consciousness and chronic intermittent microhemorrhages (3234) (Table 1).

TABLE 1 Summary of glioneuronal tumor features

Subtype Age group Presentation Location/Imaging WHO grade Genetic/Molecular Features Management
Central neurocytoma/Extra-ventricular Neurocytoma Young adults Increased intracranial pressure Lateral ventricle/third ventricle (central neurocytoma) II DNA copy alterations Surgical Resection
Radiation (if Subtotal resection)
Liponeurocytoma Young to older Increased intracranial pressure Cerebellum II TP53 mutation Surgical Resection
(recurrence common)
Radiation
Desmoplastic infantile astrocytoma and ganglioma (DIA/DIG) Infants Increasing head circumference
Seizures
Large Solid/cystic mass I RAF V600E
NRTK-1 Fusion
Surgical Resection
Diffuse leptomeningeal glioneuronal tumor (DLGNT) Children
Young adults
Hydrocephalus
Cord compression
Seizures
Leptomeningeal tumors/spinal mass I BRAF gene fusion, 1p19q co-deletion
(no IDH mutation)
H3K27M described
Resection
Chemotherapy and Radiation when recurrent
Dysembryoplastic neuroepithelial tumor (DNET) Children
Young adults
Epilepsy Temporal lobe
Hyperintense on T2 MRI and FLAIR
Multicystic
I PIK3CA/FGFR1 mutations Epilepsy management
Surgical Resection
Gangliocytoma (GC) Children Epilepsy CNS (no specific location) I Lhermitte-Duclos Disease
(Dysplastic cerebellar gangliocytoma PTEN/SDHB)
Epilepsy management
Surgical Resection
Ganglioglioma (GG) Very young to very old Epilepsy Predilection for temporal lobe
Cystic and can be contrast enhancing
I BRAF V600E
H3K27M described
Epilepsy management
Surgical Resection
Anaplastic ganglioglioma Children and adults Epilepsy
Acute neuro symptoms
Similar to GG
Contrast enhancing
III BRAF V600E Surgical Resection
Chemotherapy and Radiation
Papillary glioneuronal tumor (PGNT) Young adults Epilepsy Supratentorial
Large Solid/cystic mass
I SLC44A1-PRKCA
NOTCH1-PRKCA
Surgical Resection
Rosette-forming glioneuronal tumor of the fourth ventricle (RGNT) Young adults Epilepsy Fourth ventricle I PIK3CA/FGFR1 mutations
IDH1 mutation
Surgical Resection
Rosetted glioneuronal tumor with neuropil-like islands (GNTNI) Young adults Epilepsy
Acute neuro symptoms
Solid/cystic mass
Enhancing
II/III Evolving Surgical Resection
Chemotherapy and Radiation when possible

Pathological, molecular and imaging features

Glioneuronal tumors have been reported since 1910, with the number of publications growing in the last 10 years as the identification of molecular alterations has allowed for better differentiation of glioneuronal tumors from other similar tumors in differential diagnosis (Figure 1, Table 1). Previous limitations in diagnosis were related to limited ability to elicit radiographic differences, scant material for pathological analysis and the overall rarity of glioneuronal tumors. Ganglioglioma, paraganglioma, central neurocytoma and DNET have been reported on for some time (Figure 1) (13, 3544). RGNT (3941), PGNT (42, 43) and GNTNI (44) were added to the WHO classification in 2007 (1). In 2016, the classification added diffuse leptomeningeal glioneuronal tumors (DLGNT) (1, 2, 4551) where the number of published case reports, pathological studies and reviews has grown since (Figure 1) (35).

Fig 1

Figure 1. Number of publications from 2000 to 2020 by major glioneuronal tumor histologies. Author’s own analysis based on literature search information. Retrieved October to November 2020 from https://pubmed.ncbi.nlm.nih.gov/?term=glioneuronal+tumors&sort=date (35).

Pathology

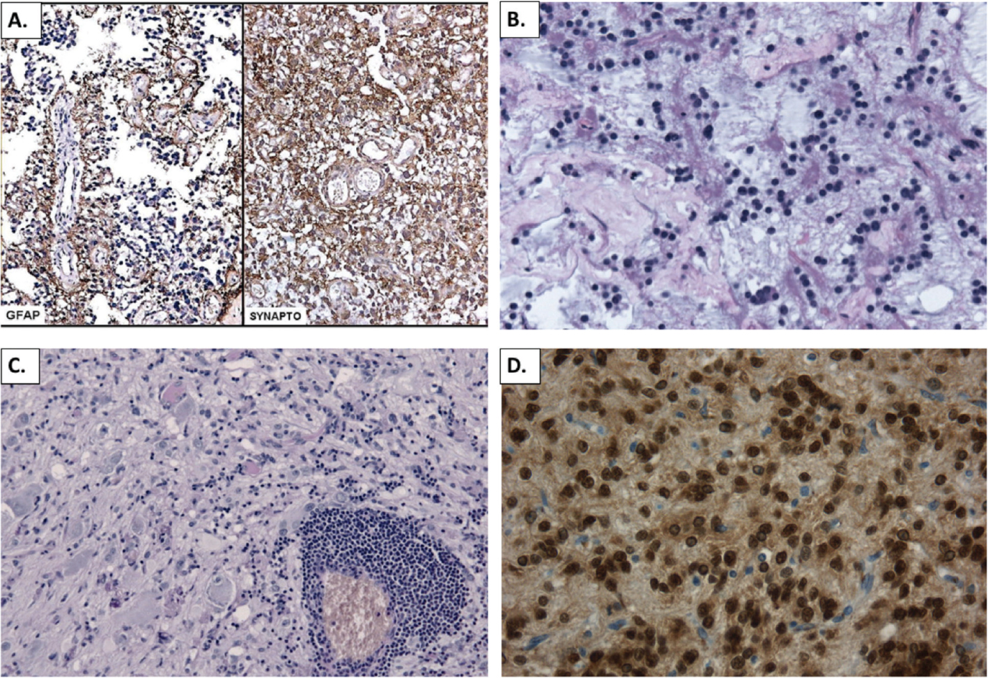
The common feature of glioneuronal tumors is the presence of both glial and neuronal tissue as evidenced by glial fibrillary acid protein- positive cells and synaptophysin-positive neuronal cells forming solid areas (Figure 2A (52)). The rarity of PGNT (Figure 2A (52); 68 cases in literature), RGNT (Figure 2B (53); 130 cases in literature), ganglioglioma (Figure 2C (54); 1.3% of all primary brain tumors), neurocytoma (Figure 2D (55); 0.1–0.5% of all brain tumors), makes diagnosis difficult (14). While each glioneuronal tumor can display certain distinct features (Figure 2), in some instances a tumor may demonstrate overlapping histologic features with mixed components (36) making diagnosis challenging. With the exception of central neurocytoma (WHO grade II), extraventricular neurocytoma (WHO grade II), liponeurocytoma (WHO grade II), GNTNI (WHO grade II/III) and anaplastic ganglioglioma (WHO grade III), glioneuronal tumors exhibit WHO grade I behavior (Table 1). The Ki-67 labeling indices of most glioneuronal tumors are low, mostly 1–2% and generally less than 5%; however, in PGNT, 13–14% of total reported cases have shown increased proliferative indices (1, 34, 42) in line with high grade gliomas (5658). The pathology of glioneuronal tumors is complex, requiring significant neuropathological expertise for interpretation. Notably, unlike most other glioneuronal tumors, GNTNI and WHO grade III variants of GGs, such as anaplastic ganglioglioma and atypical neurocytoma behave more similar to other high-grade gliomas, also carrying a poorer prognosis. DLGNT was introduced in the 2016 WHO classification of central nervous system tumors (1). A number of publications have since focused on this entity (1, 2, 35, 4551, 59) (Figure 1). DLGNT mainly occurs in children and is mostly characterized by leptomeningeal growth, although Appay et al. described cases that are neither diffuse nor leptomeningeal, concluding that DLGNT may represent a “spectrum that has yet to be fully clarified” (45). DNET is a benign, glioneuronal neoplasm also part of the differential for other glial tumors including glioma, ganglioglioma, pilocytic astrocytoma or diffuse astrocytoma (4, 5). DIA/DIG is under-represented in the literature, with fewer than 20 cases, it is present generally in infants less than 24 months and displays prominent desmoplasia (6064) (Figure 3).

Fig 2

Figure 2. Pathologic features of glioneuronal tumors. A. Histopathology of papillary glioneuronal tumor (PGNT): the pseudopapillae formed by glial fibrillary acid protein (GFAP)-positive cells and synaptophysin (SYNAPTO)-positive neuronal cells forming solid areas. (adapted from 52). B. Histopathology specimen (HE stain) of a RGNT (rosette-forming glioneuronal tumor; adapted from 53). C. PAS stain of a ganglioglioma displaying perivascular lymphocytic infiltrates and weakly PAS-positive eosinophilic granular bodies (x100 magnification; adapted from 54). D. Histopathology of Neurocytoma. Immunohistochemistry for NeuN showing neuronal differentiation of tumor cells adapted from 55).

Fig 3

Figure 3. Radiographic appearance of glioneuronal tumors. A. Papillary glioneuronal tumor. Non-contrast magnetic resonance imaging showing hyper-intense lesion involving the left temporal and parieto-occipital regions. The tumor is crossing the midline to the right parietal region (adapted from 62). B. Axial FLAIR (fluid-attenuated inversion recovery) MR image showing a right ventricular mixed solid/cystic mass limited by the septum pellucidum and ventricular walls. With heterogeneous enhancement on post-gadolinium sequences. Provisional diagnosis of central neurocytoma, later confirmed on pathology (adapted from 63). C. Radiologic appearance of desmoplastic infantile ganglioglioma (adapted from 64).

Molecular characterization

While the underlying biology for the different glioneuronal tumor subtypes remains unclear (4), large scale genomic and epigenomic analyses have provided more insight into genetic alterations (49). Data is still emerging but the rarity of glioneuronal tumors means it may take some years to fully explore. Stone et al. suggest that most glioneuronal tumors fall within two major groups: group 1 containing a higher proportion of tumors with a ganglioglioma-like appearance displaying more BRAF-V600E mutations while group 2 tumors are more DNET-like in appearance and display more FGFR1 mutations (4). BRAF is an oncogene mutated in many malignancies and more recently described in one-third of GGs and 20–25% of DNET and DIA/DIG (4, 5, 65, 66). Some gliomas and glioneuronal tumors are characterized by a fusion between the BRAF gene and the locus KIAA1549 (45) (Table 1). The fusion causes a constitutional activation of the tyrosine kinase domain of BRAF and a permanent activation of the MAP kinase (MAPK) pathway (6,66). The detection of a BRAF rearrangement can help distinguish cancers with favorable prognosis such as glioneuronal tumors from those with poorer prognosis, such as diffuse gliomas, including diffuse astrocytomas and oligodendrogliomas. It also has therapeutic implications, as targeted therapies against mutated BRAF-V600 protein are being developed (vemurafenib, dabrafenib) (67). BRAF V600E mutations were identified by DNA sequencing in 33% of GGs and 27% of DNTs (8) and by immunohistochemistry in 29.5% of cases, 61.5% representing GG/GC/anaplastic ganglioglioma (5). Results can be discordant between immunohistochemistry and other molecular tests (5) illustrating the ongoing challenges in harnessing molecular testing for glioneuronal tumors and the as yet limited ability to draw conclusions with respect to diagnosis, prognosis and management. To date, the presence of BRAF mutation has not been associated with clinical presentation, imaging features or resolution of seizures postoperatively, acknowledging the limited data available. This is however evolving with recent descriptions of neuronal/glioneuronal tumors arising from the diencephalic region with a BRAF V600 mutation rate of 75% exhibiting clinically aggressive behavior (68). In pediatric GGs a worse recurrence-free survival of tumors with BRAF V600E mutation was reported by Dahiya et al. (69). Other identified mutations include PIK3CA (RGNTs and mixed RGNT/DNET) (69) with implications for targeting the PI3K/AKT/mTOR pathway (70,71), FGFR1 mutations (20, 7176), H3K27M-mutations (77, 78), SLC44A1-PRKCA and NOTCH1-PRKCA fusion (79), IDH1 mutation (80) and 1p 19q alterations (78, 81) (Table 1).

Imaging Features

The features of glioneuronal tumors on diagnostic imaging are highly variable. Limited data exists, hampering an in-depth analysis of radiographic-pathological correlation. Hybrid features have been noted in many tumors. In general, radiological studies acknowledge overlap of imaging features between glioneuronal tumors and other tumors, which complicates radiographic diagnosis (82). Large tumors demonstrate cystic degeneration and necrosis, hemorrhage, contrast enhancement, and regions of low apparent diffusion coefficient consistent with patterns seen with other high-grade pediatric brain tumors (83). Broadly, glioneuronal tumors are characterized by the presence of a solid/cystic mass in periventricular location with septations and a solid inner component (84) (Figure 3). Attempts have been made to radiographically classify long-term epilepsy-associated tumors, of which glioneuronal tumors form a significant component. A number of small series have described imaging features of PGNT (42, 85), RGNT (40, 41, 86), DLGNT (4547, 87), GG (56), neurocytomas (16), DNT (8). PGNT, RGNT and GNTNI were added to the WHO classification in 2007 hence imaging reviews are more recent and evolving (2). Most of these tumors are located in the supratentorial region (69%), however, spinal (23%) and disseminated disease at primary diagnosis (8%) are also described (7). They exhibit variable contrast enhancement with GNTNIs appearing mostly as solid tumors in 73% of cases; about 19% appear as cystic with a mural nodule under T2-hyperintensity and T1-hypointensity (7) (Figure 3A (62)). The most common site of glioneuronal tumors is the temporal lobe followed by frontal lobe (8). Tumors with a high Ki-67 index (≥5) are more likely to exhibit perilesional edema and ring enhancement on magnetic resonance imaging (MRI) (10). DLGNT was added to the WHO classification in 2016 and publications have increased since (1, 2, 4550, 55). In DLGNT, MRI is generally consistent with diffuse leptomeningeal enhancement predominantly and multiple cystic-solid lesions along the neural axis (49, 59, 87) but may present more atypically as well (45, 88). GGs appear cystic-solid or solid with long T1 and T2 signals with associated calcification (89). Often there is limited edema, and they may display no or mild contrast enhancement. Neurocytomas can be ventricular or extraventricular. Extraventricular neurocytomas are usually cortically based and infiltrative without peritumoral edema or intratumoral hemorrhage (Figure 3B (63)). DIA/DIG on computed tomography and MRI appear as large superficial large cerebral masses with solid and cystic areas (60). The solid component of the tumor frequently shows contrast enhancement (60) (Figure 3C (64)). Ultimately, the differential diagnosis of these findings includes low-grade glioneuronal tumors and low-grade gliomas.

MANAGEMENT, CLINICAL RESPONSE AND LATE EFFECTS

Generally, surgical resection is the corner stone of seizure management for patients with glioneuronal tumors. The purpose of resection in glioneuronal tumors is twofold: to alleviate symptoms (secondary to CSF flow disruption, seizures and/or increased intracranial pressure) and to achieve debulking in the context of more aggressive tumor subtypes (13, 26, 90).

Symptom control and surgical management

Glioneuronal tumors presenting with hydrocephalus (DLGNT, RGNT) should be considered for urgent ventriculoperitoneal shunting surgery which can result in complete symptom resolution (14, 25, 49). Surgical resection for debulking, and restoration of cerebrospinal fluid (CSF) flow when impeded, is the standard management (12, 25). Often the decision is made in multidisciplinary settings as these tumors are rare and the management is fraught with significant risks for late effects, particularly in patients with tumors that display more benign behavior who generally survive for longer. Several studies suggest that upwards of 70% of patients experience complete resolution of seizures post-operatively (8, 12, 90). Prognosis can be good with a progression-free survival (PFS) in 85 to 95% of patients (12). Gross total resection (GTR) is superior to subtotal resection (STR) and tumors with a lower Ki-67 index and a lower WHO grade have a better prognosis as compared to those with higher index and higher grade (7, 12). Only about 50% of patients undergo GTR prompting the administration of adjuvant radiotherapy and chemotherapy in some patients although due to limited evidence the benefit thereof remains unclear (18, 20, 40).

Systemic Management and Radiation Therapy

Radiation therapy (RT) is generally considered for recurrent and higher-grade tumors such as neurocytoma, anaplastic ganglioglioma and GNTNI. Acharya et al. analyzed 150 patients with unresectable pediatric low-grade gliomas and glioneuronal tumors to identify prognostic features in patients treated with RT using clinicopathologic and molecular data (18). RPA (Recursive Partitioning Analysis) yielded low- and high-risk groups with 10-year overall survival (OS) of 95.6% versus 76.4%. High-risk tumors included diffuse astrocytoma or location within thalamus/midbrain while low-risk tumors included pilocytic astrocytoma/ganglioglioma located outside of the thalamus/midbrain (18). The prognosis was independent of BRAF status but within the high-risk group, delayed RT (defined as RT after at least one line of chemotherapy), was associated with a further decrement in OS (18). The administration of chemotherapy is also heterogenous. Johnson et al. (16) carried out a comprehensive literature review of central neurocytoma regarding administration of chemotherapy. They identified 18 citations (39 cases of adult and pediatric central neurocytoma treated with chemotherapy) and found that nine patients with recurrent neurocytoma received temozolomide (TMZ) noting significant heterogeneity in chemotherapy administration (16). Chen et al. reported on long-term outcomes of 63 neurocytoma patients who received adjuvant radiotherapy after surgical resection (19). With a median follow-up of 69 months the 5-year OS and 5-year PFS were 94.4% and 95% after GTR + RT, 96.4% and 100% after STR + RT, and 100% and 90.9% after PR + RT (19). RT after incomplete resection led to OS and PFS comparable to those for GTR with excellent outcomes and limited late toxicity suggesting that adjuvant RT is a reasonable option for neurocytoma patients with incomplete resection. Radiosurgery as an alternative has also been proposed as an option with 5- and 10-year local tumor control rates 93% and 87%, respectively, and the 5- and 10-year PFS rates 89% and 80%, respectively (91, 92). The use of chemotherapy, targeted agents, and Bevacizumab is only subject of case reports and small studies and benefit remains unclear (9397). For disseminated, recurrent and high-grade disease, definitive radiotherapy or radiochemotherapy is considered and treatment may overall reflect that of other high-grade gliomas due to the histologic and natural history similarities they share (7, 17). Generally, the outcome in patients with glioneuronal tumors can be broadly discussed in the context of progression of disease, transformation to higher grade tumors and the long-term complications of treatment or late effects. In a series of patients treated at the St. Jude Children’s Research Hospital (1986 to 2015), progression of disease and transformation to higher grade glioma accounted for 66% of the mortality (24). Other causes included secondary malignancy, shunt infection/sepsis, suicide and motor vehicle accidents (24). In this series, the median age at death for the cohort was 14.26 years (range, 0.58–32 years), and the median time to death from diagnosis was 4.02 years (range, 0.21–24 years). Overall, our understanding of the optimal management and the outcomes of glioneuronal tumors remains limited due to the rarity of these tumors and the data originating from small series and literature reviews. With ongoing molecular characterization and the paralleled progress of targeted agents, data continues to evolve.

Late effects

Despite more favorable survival outcomes as compared to other more aggressive gliomas, significant late effects are associated with glioneuronal tumors. Late effects are likely multifactorial, stemming from a combination of tumor presence, surgical resection, and adjuvant management including systemic agents and RT. The lack of data surrounding optimal management and outcomes also extends to lack of clarity surrounding the burden of late effects on patients with glioneuronal tumors. Ehrstedt et al. carried out a cross-sectional long-term follow-up evaluation on 28 children and adolescents (0–17.99 years), with a mean follow-up period of 12.1 years (23). They identified postoperative gain in cognitive function in seizure-free patients, but at a relatively low level, and high levels of anxiety and depression (23). In a series of 51 patients with low grade glioma and glioneuronal tumors managed at the St. Jude’s Children’s Research Hospital, USA, (1986 to 2015) with a mean age at diagnosis of 6.47 months (range, 0.17–11.76) and mean duration of follow-up of 11.8 years, 96% of patients experienced at least one long-term deficit, such as endocrinopathy and obesity (51%), neurological deficit and seizure (43%), visual and hearing loss (56%), neurocognitive impairment (49%), cerebrovascular disease and scoliosis (27%) and secondary malignancy (14%) (24). Late effects correlated with tumor location (hypothalamic/optic pathway), administration of radiation therapy and more chemotherapy regimens (24). According to Upadhyaya et al., early psychological intervention should be included as part of the multidisciplinary management approach of children with both glioneuronal tumors and low-grade gliomas to reduce the risk of suicide in vulnerable subjects.

CONCLUSION

Glioneuronal tumors are uncommon tumors comprised of glial and neuronal components. They generally display indolent behavior but can behave aggressively. They are pathologically and radiographically complex, and classification hinges on advancements with respect to molecular analysis to allow for future personalized treatment which may improve outcomes. Currently, cases are best managed in multidisciplinary settings with the role of adjuvant treatment in the form of chemotherapy and radiation therapy beyond surgery remaining unclear. In depth counselling regarding late effects is paramount due to the burden of long-term life altering sequelae in long-term survivors. The creation of robust registries and tumor sequencing is imperative to allow for improvement of outcomes in the long term.

Conflict of Interest: The author declares no potential conflict of interest with respect to research, authorship and/or publication of this chapter.

Copyright and permission statement: The author confirms that the materials included in this chapter do not violate copyright laws. Where relevant, appropriate permissions have been obtained from the original copyright holder(s), and all original sources have been appropriately acknowledged or referenced.

REFERENCES

  1. Louis DN, Ohgaki H, Wiestler OD, Cavenee WK, Burger PC, Jouvet A, et al. The 2007 WHO classification of tumours of the central nervous system. Acta Neuropathol. 2007;114(2):97–109. https://doi.org/10.1007/s00401-007-0243-4
  2. Wen PY, Huse JT. 2016 World Health Organization classification of central nervous system tumors. Continuum. Neuro-oncology. 2017;23(6):1531–47. https://doi.org/10.1212/CON.0000000000000536
  3. Franceschi E, Frappaz D, Rudà R, Hau P, Preusser M, Houillier C, et al. EURACAN Domain 10. Rare Primary Central Nervous System Tumors in Adults: An Overview. Front Oncol. 2020;10:996. https://doi.org/10.3389/fonc.2020.00996
  4. Stone TJ, Keeley A, Virasami A, Harkness W, Tisdall M, Izquierdo Delgado E, et al. Comprehensive molecular characterisation of epilepsy-associated glioneuronal tumours. Acta Neuropathol. 2018;135(1):115–29. https://doi.org/10.1007/s00401-017-1773-z
  5. Breton Q, Plouhinec H, Prunier-Mirebeau D, Boisselier B, Michalak S, Menei P, et al. BRAF-V600E immunohistochemistry in a large series of glial and glial-neuronal tumors. Brain Behav. 2017;7(3):e00641. https://doi.org/10.1002/brb3.641
  6. Srinivasa K, Cross KA, Dahiya S. BRAF Alteration in Central and Peripheral Nervous System Tumors. Front Oncol. 2020;10:574974. https://doi.org/10.3389/fonc.2020.574974
  7. Schlamann A, von Bueren AO, Hagel C, Zwiener I, Seidel C, Kortmann RD et al. An individual patient data meta-analysis on characteristics and outcome of patients with papillary glioneuronal tumor, rosette glioneuronal tumor with neuropil-like islands and rosette forming glioneuronal tumor of the fourth ventricle. PLoS One. 2014;9(7):e101211. https://doi.org/10.1371/journal.pone.0101211
  8. Zhang YX, Shen CH, Guo Y, Zheng Y, Zhu JM, Ding Y, et al. BRAF V600E mutation in epilepsy-­associated glioneuronal tumors: Prevalence and correlation with clinical features in a Chinese ­population. Seizure. 2017;45:102–6. https://doi.org/10.1016/j.seizure.2016.12.004
  9. Huse JT, Snuderl M, Jones DT, Brathwaite CD, Altman N, Lavi E, et al. Polymorphous low-grade neuroepithelial tumor of the young (PLNTY): an epileptogenic neoplasm with oligodendroglioma-like components, aberrant CD34 expression, and genetic alterations involving the MAP kinase pathway. Acta Neuropathol. 2017;133(3):417–29. https://doi.org/10.1007/s00401-016-1639-9
  10. Alizada O, Ayman T, Akgun MY, Sar M, Urganci N, Kemerdere R. Multinodular and vacuolating neuronal tumor of the cerebrum: Two cases and review of the literature.Clin Neurol Neurosurg. 2020;197:106149. https://doi.org/10.1016/j.clineuro.2020.106149
  11. Schweizer L, Thierfelder F, Thomas C, Soschinski P, Suwala A, Stichel D, et al. Molecular characterization of CNS paragangliomas identifies cauda equina paragangliomas as a distinct tumor entity. Acta Neuropathol. 2020;140(6):893–906. https://doi.org/10.1007/s00401-020-02218-7
  12. Ahmed AK, Dawood HY, Gerard J, Smith TR. Surgical Resection and Cellular Proliferation Index Predict Prognosis for Patients with Papillary Glioneuronal Tumor: Systematic Review and Pooled Analysis. World Neurosurg. 2017;107:534–541. https://doi.org/10.1016/j.wneu.2017.08.041
  13. Ranger A, Diosy D. Seizures in children with dysembryoplastic neuroepithelial tumors of the brain--A review of surgical outcomes across several studies. Childs Nerv Syst. 2015; 31:847–55 https://doi.org/10.1007/s00381-015-2675-9
  14. Mahavadi AK, Temmins C, Patel MR, Singh H. Supratentorial intraventricular rosette-forming glioneuronal tumors - Case report and review of treatment paradigms. Surg Neurol Int. 2020;11:138 https://doi.org/10.25259/SNI_188_2019
  15. Chen J, Dahiya SM. Update on Circumscribed Gliomas and Glioneuronal Tumors. Surg Pathol Clin. 2020;13(2):249–66. https://doi.org/10.1016/j.path.2020.02.004
  16. Johnson MO, Kirkpatrick JP, Patel MP, Desjardins A, Randazzo DM, Friedman HS, et al. The role of chemotherapy in the treatment of central neurocytoma. CNS Oncol. 2019;8(3):CNS41. https://doi.org/10.2217/cns-2019-0012
  17. Rades D, Zwick L, Leppert J, Bonsanto MM, Tronnier V, Dunst J, et al. The role of postoperative radiotherapy for the treatment of gangliogliomas. Cancer. 2010;116:432–42. https://doi.org/10.1002/cncr.24716
  18. Acharya S, Liu JF, Tatevossian RG, Chiang J, Qaddoumi I, Gajjar A, et al. Risk stratification in pediatric low-grade glioma and glioneuronal tumor treated with radiation therapy: an integrated clinicopathologic and molecular analysis. Neuro Oncol. 2020;22(8):1203–13. https://doi.org/10.1093/neuonc/noaa031
  19. Chen Y, Li WB, Feng J, Qiu X. Long-term outcomes of adjuvant radiotherapy after surgical resection of central neurocytoma. Radiat Oncol. 2014; 9: 242. https://doi.org/10.1186/s13014-014-0242-2
  20. Wilson CP, Chakraborty AR, Pelargos PE, Shi HH, Milton CK, Sung S, et al. Rosette-forming glioneuronal tumor: an illustrative case and a systematic review. Neurooncol Adv. 2020;2(1):vdaa116. https://doi.org/10.1093/noajnl/vdaa116
  21. Gosal JS, Tiwari S, Garg M, Bhaskar S, Jha DK. Letter to “Diffuse leptomeningeal glioneuronal tumour (DLGNT) with hydrocephalus as an initial symptom: a case-based update”. Childs Nerv Syst. 2020;36(7):1341. https://doi.org/10.1007/s00381-020-04610-w
  22. Faramand AM, Barnes N, Harrison S, Gunny R, Jacques T, Tahir MZ, et al. Seizure and cognitive outcomes after resection of glioneuronal tumors in children. Epilepsia. 2018;59(1):170–78. https://doi.org/10.1111/epi.13961
  23. Ehrstedt C, Rydell AM, Gabert Hallsten M, Strömberg B, Ahlsten G. Cognition, health-related quality of life, and mood in children and young adults diagnosed with a glioneuronal tumor in childhood. Epilepsy Behav. 2018;83:59–66. https://doi.org/10.1016/j.yebeh.2018.03.026
  24. Liu APY, Hastings C, Wu S, Bass JK, Heitzer AM, Ashford J, et al. Treatment burden and long-term health deficits of patients with low-grade gliomas or glioneuronal tumors diagnosed during the first year of life. Cancer. 2019;125(7):1163–75. https://doi.org/10.1002/cncr.31918
  25. Chen W, Kong Z, Fu J, Zhao D, Wang R, Ma W, et al. Diffuse leptomeningeal glioneuronal tumour (DLGNT) with hydrocephalus as an initial symptom: a case based update. Childs Nerv Syst. 2020;36(3):459–68. https://doi.org/10.1007/s00381-019-04481-w
  26. Blümcke I, Aronica E, Urbach H, Alexopoulos A, Gonzalez-Martinez JA. A neuropathology-based approach to epilepsy surgery in brain tumors and proposal for a new terminology use for long-term epilepsy-associated brain tumors. Acta Neuropathol 2014;128(1):39–54. https://doi.org/10.1007/s00401-014-1288-9
  27. Mehrotra A, Singh S, Kanjilal S, Kumar A, Pal L, Mathur V, et al. Long-Term Epilepsy-Associated Tumors (LEATs): A Single-Center, Retrospective Series and Review of Literature on Factors Affecting the Seizure Outcome. World Neurosurg. 2020; 144; e149-e155. https://doi.org/10.1016/j.wneu.2020.08.036
  28. Slegers RJ, Blumcke I. Low-grade developmental and epilepsy associated brain tumors: a critical update 2020. Acta Neuropathol Commun. 2020;8(1):27. https://doi.org/10.1186/s40478-020-00904-x
  29. Halfpenny A, Ferris SP, Grafe M, Woltjer R, Selden N, Nazemi K, et al. A case of recurrent epilepsy-associated rosette-forming glioneuronal tumor with anaplastic transformation in the absence of therapy. Neuropathology. 2019;39(5):389–393. https://doi.org/10.1111/neup.12586
  30. Komori T, Scheithauer BW, Hirose T. A rosette-forming glioneuronal tumor of the fourth ­ventricle: infratentorial form of dysembryoplastic neuroepithelial tumor? Am J Surg Pathol. 2002;26(5):582–591. https://doi.org/10.1097/00000478-200205000-00004
  31. Li Z, Yu Y, Lu Z, Gong J. Infantile and Noninfantile Desmoplastic Astrocytoma and Ganglioglioma: Only Different Age of Onset? World Neurosurg. 2020;144:e189-e194. https://doi.org/10.1016/j.wneu.2020.08.091
  32. Tavallaii A, Keykhosravi E, Rezaee H. Acute presentation of papillary glioneuronal tumor due to intra-tumoral hemorrhage in a toddler: an odd presentation of a rare pathology. Br J Neurosurg. 2020:1–6. https://doi.org/10.1080/02688697.2020.1800588
  33. Lu Q, Zou LP, Gui QP, Shi XY, Zhai X, Yang G, et al. Diffuse Leptomeningeal Glioneuronal Tumor Presented with Language Developmental Delay. Neuro Endocrinol Lett. 2019;40(4):161–165.
  34. Bourekas EC, Bell SD, Ladwig NR, Gandhe AR, Shilo K, McGregor JM, et al. Anaplastic papillary glioneuronal tumor with extraneural metastases. J Neuropathol Exp Neurol. 2014;73(5):474–6. https://doi.org/10.1097/NEN.0000000000000061
  35. Krauze AV. Own analysis based on literature search information. Retrieved October to November 2020 from https://pubmed.ncbi.nlm.nih.gov/?term=glioneuronal+tumors&sort=date
  36. Harrison W, Elsamadicy AA, McMahon JT, Chagoya G, Sobel RA, McLendon RE, et al. Glioneuronal Tumor With Features of Ganglioglioma and Neurocytoma Arising in the Fourth Ventricle: A Report of 2 Unusual Cases and a Review of infratentorial Gangliogliomas. J Neuropathol Exp Neurol. 2019;78(9):780–87. https://doi.org/10.1093/jnen/nlz060
  37. Tish S, Habboub G, Jones J, Ostrom QT, Kruchko C, Barnholtz-Sloan JS, et al. The epidemiology of central and extraventricular neurocytoma in the United States between 2006 and 2014. J Neurooncol. 2019;143(1):123–27. https://doi.org/10.1007/s11060-019-03144-9
  38. Sander C, Wallenborn M, Brandt VP, Ahnert P, Reuschel V, Eisenlöffel C, et al. Central neurocytoma: SNP array analyses, subtel FISH, and review of the literature. Pathol Res Pract. 2019;215(7):152397. https://doi.org/10.1016/j.prp.2019.03.025
  39. Al Krinawe Y, Esmaeilzadeh M, Hartmann C, Krauss JK, Hermann EJ. Pediatric rosette-forming glioneuronal tumor of the septum pellucidum. Childs Nerv Syst. 2020;36(11):2867–70. https://doi.org/10.1007/s00381-020-04575-w
  40. Choque Cuba B, Ortega Zufiría JM, Poveda Núñez PD, Lomillos Prieto N, Sierra Rodríguez M, Tamarit Degenhardt M, et al. Rosette-forming glioneuronal tumor of the fourth ventricle. Two cases report and literature review. Neurocirugia. 2018;29(5):255–9. https://doi.org/10.1016/j.neucir.2017.12.001
  41. Morris C, Prudowsky ZD, Shetty V, Geller T, Elbabaa SK, Guzman M, et al. Rosette-Forming Glioneuronal Tumor of the Fourth Ventricle in Children: Case Report and Literature Review. World Neurosurg. 2017;107:1045.e9–1045.e16. https://doi.org/10.1016/j.wneu.2017.07.150
  42. Zhao RJ, Zhang XL, Chu SG, Zhang M, Kong LF, Wang Y. Clinicopathologic and neuroradiologic studies of papillary glioneuronal tumors. Acta Neurochir. 2016;158(4):695–702. https://doi.org/10.1007/s00701-016-2744-1
  43. Carangelo B, Arrigucci U, Mariottini A, Lavalle L, Muscas G, Branco D, et al. Papillary glioneuronal tumor: case report and review of literature. G Chir. 2015;36(2):63–9. https://doi.org/10.11138/gchir/2015.36.2.063
  44. Giunti L, Buccoliero AM, Pantaleo M, Lucchesi M, Provenzano A, Palazzo V, et al. Molecular characterization of paediatric glioneuronal tumours with neuropil-like islands: a genome-wide copy number analysis. Am J Cancer Res. 2016;6(12):2910–18.
  45. Appay R, Pages M, Colin C, Jones DTW, Varlet P, Figarella-Branger D. Diffuse leptomeningeal glioneuronal tumor: a double misnomer? A report of two cases. Acta Neuropathol Commun. 2020;8(1):95. https://doi.org/10.1186/s40478-020-00978-7
  46. Xu H, Chen F, Zhu H, Luo L, Zhang R. Correction to: Diffuse leptomeningeal glioneuronal tumor in a Chinese adult: a novel case report and review of literature. Acta Neurol Belg. 2020;120(6):1501. https://doi.org/10.1007/s13760-020-01278-6
  47. Abongwa C, Cotter J, Tamrazi B, Dhall G, Davidson T, Margol A. Primary diffuse leptomeningeal glioneuronal tumors of the central nervous system: Report of three cases and review of literature. Pediatr Hematol Oncol. 2020;37(3):248–58. https://doi.org/10.1080/08880018.2019.1711270
  48. Tiwari S, Yadav T, Pamnani J, Mathew JM, Elhence P, Praneeth K, et al. Diffuse Leptomeningeal Glioneuronal Tumor: A Unique Leptomeningeal Tumor Entity. World Neurosurg. 2020;135:297–300. https://doi.org/10.1016/j.wneu.2019.12.119
  49. Sáez-Alegre M, Saceda Gutiérrez JM, Utrilla Contreras C, Aracil Santos FJ, García-Feijoo P, Carceller Benito F. Diffuse leptomeninges al glioneuronal tumour: where to biopsy? Case report and literature review. Childs Nerv Syst. 2020. https://doi.org/10.1007/s00381-020-04955-2
  50. Lyle MR, Dolia JN, Fratkin J, Nichols TA, Herrington BL. Newly Identified Characteristics and Suggestions for Diagnosis and Treatment of Diffuse Leptomeningeal Glioneuronal/Neuroepithelial Tumors: A Case Report and Review of the Literature. Child Neurol Open. 2015;2(1):2329048X14567531. https://doi.org/10.1177/2329048X14567531
  51. Deng MY, Sill M, Chiang J, Schittenhelm J, Ebinger M, Schuhmann MU, et al. Molecularly defined diffuse leptomeningeal glioneuronal tumor (DLGNT) comprises two subgroups with distinct clinical and genetic features. Acta Neuropathol. 2018;136(2):239–53. https://doi.org/10.1007/s00401-018-1865-4
  52. Radotra BD, Kumar Y, Bhatia A, Mohindra S. Papillary glioneuronal tumor: a new entity awaiting inclusion in WHO classification. Diagn Pathol. 2, 6. 2007. Retrieved November 24, 2020, from https://commons.wikimedia.org/wiki/File:Pgnt_immuno.jpg. https://doi.org/10.1186/1746-1596-2-6
  53. Jensflorian. Histopathology specimen (HE stain) of a RGNT (rosette-forming glioneuronal tumor).2013. Retrieved November 24, 2020, from https://commons.wikimedia.org/wiki/File:RGNT_HE_2.jpg
  54. Jensflorian. PAS stain of a ganglioglioma displaying perivascular lymphocytic infiltrates and weakly PAS-positive eosinophilic granular bodies (x100 magnification). 2010. Retrieved November 24, 2020, from https://commons.wikimedia.org/wiki/File:Ganglioglioma_lymphocytic_cuffing_PAS.jpg
  55. Marvin 101. Histopathology of Neurocytoma. Immunohistochemistry for NeuN showing neuronal differentiation of tumor cells. 2009. Retrieved November 24, 2020, from https://commons.­wikimedia.org/wiki/File:Neurocytoma_NeuN.jpg
  56. Kawataki T, Sato E, Sato T, Kinouchi H. Anaplastic ganglioglioma with malignant features in both neuronal and glial components-case report. Neurol Med Chir. 2010; 50:228–31. https://doi.org/10.2176/nmc.50.228
  57. Liu L, Narayan P, Xiong J, Xiong Z. Anaplastic glioneuronal tumor with KIAA1549/BRAF fusion. Intractable Rare Dis Res. 2019;8(4):279–82. https://doi.org/10.5582/irdr.2019.01118
  58. Luyken C, Blumcke I, Fimmers R, Urbach H, Wiestler OD, Schramm J. Supratentorial gangliogliomas: histopatho-logic grading and tumor recurrence in 184 patients with a median follow-up of 8 years. Cancer. 2004; 101:146–55. https://doi.org/10.1002/cncr.20332
  59. Lakhani DA, Mankad K, Chhabda S, Feizi P, Patel R, Sarma A, et al. Diffuse Leptomeningeal Glioneuronal Tumor of Childhood. Am J Neuroradiol. 2020. https://doi.org/10.3174/ajnr.A6737
  60. Per H, Kontaş O, Kumandaş S, Kurtsoy A. A report of a desmoplastic non-infantile ganglioglioma in a 6-year-old boy with review of the literature. Neurosurg Rev. 2009;32:369–74. https://doi.org/10.1007/s10143-009-0195-3
  61. Geramizadeh B, Kamgarpour A, Moradi A. Desmoplastic infantile ganglioglioma: Report of a case and review of the literature. J Pediatr Neurosci. 2010; 5(1): 42–4. https://doi.org/10.4103/1817-1745.66669
  62. Radotra BD, Kumar Y, Bhatia A, Mohindra S. Papillary glioneuronal tumor: a new entity awaiting inclusion in WHO classification. Diagn Pathol. 2, 6. 2007. Retrieved November 24, 2020, from https://commons.wikimedia.org/wiki/File:Papillary_glioneuronal_tumor.jpg
  63. Dawes L. Radiopaedia. 2008. Retrieved November 24, 2020, from https://commons.wikimedia.org/wiki/File:Central_neurocytoma.jpg
  64. Fadare O, Mariappan MR, Hileeto D, Zieske AW, Kim JH, Ocal IT. Desmoplastic Infantile Ganglioglioma: cytologic findings and differential diagnosis on aspiration material. Cytojournal. 2005;2(1):1. Retrieved November 24, 2020, from https://commons.wikimedia.org/wiki/File:Desmoplastic_infantile_ganglioglioma.jpg
  65. Blessing MM, Blackburn PR, Krishnan C, Harrod VL, Barr Fritcher EG, Zysk CD, et al. Desmoplastic infantile Ganglioglioma: a MAPK pathway-driven and microglia/macrophage-rich Neuroepithelial tumor. J Neuropathol Exp Neurol. 2019;78(11):1011–21. https://doi.org/10.1093/jnen/nlz086
  66. Roth JJ, Santi M, Pollock AN, Harding BN, Rorke-Adams LB, Tooke LS, et al. Chromosome band 7q34 deletions resulting in KIAA1549-BRAF and FAM131B-BRAF fusions in pediatric low-grade Gliomas. Brain Pathol. 2015;25(2):182–92. https://doi.org/10.1111/bpa.12167
  67. Hertzman Johansson, C. & Egyhazi Brage, S. BRAF inhibitors in cancer therapy. Pharmacol Ther. 2014;142(2):176–82. https://doi.org/10.1016/j.pharmthera.2013.11.011
  68. Ho CY, Bornhorst M, Almira-Suarez MI, Donev K, Grafe M, Gordish-Dressman H, et al. Clinicopathologic Features of Diencephalic Neuronal and Glioneuronal Tumors. J Neuropathol Exp Neurol. 2020;79(1):67–73. https://doi.org/10.1093/jnen/nlz115
  69. Dahiya S, Haydon DH, Alvarado D, Gurnett CA, Gutmann DH, Leonard JR. BRAF(V600E) mutation is a negative prognosticator in pediatric ganglioglioma. Acta Neuropathol. 2013;125(6):901–10. https://doi.org/10.1007/s00401-013-1120-y
  70. Eye PG, Davidson L, Malafronte PJ, Cantrell S, Theeler BJ. PIK3CA mutation in a mixed dysembryoplastic neuroepithelial tumor and rosette forming glioneuronal tumor, a case report and literature review. J Neurol Sci. 2017;373:280–4. https://doi.org/10.1016/j.jns.2016.11.003
  71. Sievers P, Appay R, Schrimpf D, Stichel D, Reuss DE, Wefers AK, et al. Rosette-forming glioneuronal tumors share a distinct DNA methylation profile and mutations in FGFR1, with recurrent co-mutation of PIK3CA and NF1. Acta Neuropathol. 2019;138(3):497–504. https://doi.org/10.1007/s00401-019-02038-4
  72. Bale TA. FGFR- gene family alterations in low-grade neuroepithelial tumors. Acta Neuropathol Commun. 2020;8(1):21. https://doi.org/10.1186/s40478-020-00898-6
  73. Yamada S, Nobusawa S, Yamazaki T, Teranishi T, Watanabe S, Murayama K, et al. An epilepsy-associated glioneuronal tumor with mixed morphology harboring FGFR1 mutation. Pathol Int. 2019;69(6):372–77. https://doi.org/10.1111/pin.12799
  74. Qaddoumi I, Orisme W, Wen J, Santiago T, Gupta K, Dalton JD et al. Genetic alterations in uncommon low-grade neuroepithelial tumors: BRAF, FGFR1, and MYB mutations occur at high frequency and align with morphology. Acta Neuropathol. 2016;131:833–45. https://doi.org/10.1007/s00401-016-1539-z
  75. Rivera B, Gayden T, Carrot-Zhang J, Nadaf J, Boshari T, Faury D et al. Germline and somatic FGFR1 abnormalities in dysembryoplastic neuroepithelial tumors. Acta Neuropathol. 2016;131:847–63. https://doi.org/10.1007/s00401-016-1549-x
  76. Lucas CG, Gupta R, Doo P, Lee JC, Cadwell CR, Ramani B, et al. Comprehensive analysis of diverse low-grade neuroepithelial tumors with FGFR1 alterations reveals a distinct molecular signature of rosette-forming glioneuronal tumor. Acta Neuropathol Commun. 2020;8(1):151.
  77. Navarro RE, Golub D, Hill T, McQuinn MW, William C, Zagzag D, et al. Pediatric midline H3K27M-mutant tumor with disseminated leptomeningeal disease and glioneuronal features: case report and literature review. Childs Nerv Syst.2020. https://doi.org/10.1007/s00381-020-04892-0
  78. Nambirajan A, Suri V, Kedia S, Goyal K, Malgulwar PB, Khanna G, et al. Paediatric diffuse leptomeningeal tumor with glial and neuronal differentiation harbouring chromosome 1p/19q co-deletion and H3.3 K27M mutation: unusual molecular profile and its therapeutic implications. Brain Tumor Pathol. 2018;35(3):186–91. https://doi.org/10.1007/s10014-018-0325-0
  79. Hou Y, Pinheiro J, Sahm F, Reuss DE, Schrimpf D, Stichel D, et al. Papillary glioneuronal tumor (PGNT) exhibits a characteristic methylation profile and fusions involving PRKCA. Acta Neuropathol. 2019;137(5):837–46.
  80. Jayapalan RR, Mun KS, Wong KT, Sia SF. Malignant Transformation of a Rosette-Forming Glioneuronal Tumor with IDH1 Mutation: A Case Report and Literature Review. World Neurosurg X. 2019;2:100006. https://doi.org/10.1016/j.wnsx.2018.100006
  81. Chiang J, Dalton J, Upadhyaya SA, Patay Z, Qaddoumi I, Li X, et al. Chromosome arm 1q gain is an adverse prognostic factor in localized and diffuse leptomeningeal glioneuronal tumors with BRAF gene fusion and 1p deletion. Acta Neuropathol. 2019;137(1):179–81. https://doi.org/10.1007/s00401-018-1940-x
  82. Demir MK, Yapıcıer O, Yılmaz B, Kılıç T. Magnetic resonance imaging findings of mixed neuronal-glial tumors with pathologic correlation: a review. Acta Neurol Belg. 2018;118(3):379–86. https://doi.org/10.1007/s13760-018-0981-1
  83. Orman G, Mohammed S, Tran HDB, Lin FY, Meoded A, Desai N, et al. Neuroimaging Appearance of Cerebral Malignant Epithelioid Glioneuronal Tumors in Children. Am J Neuroradiol. 2020;41(9):1740–44. https://doi.org/10.3174/ajnr.A6668
  84. Abdel Razek AAK, Elsebaie NA, Zamora C, Castillo M. Imaging of Neuronal and Mixed Glioneuronal Tumors. J Comput Assist Tomogr. 2020;44(3):356–69. https://doi.org/10.1097/RCT.0000000000001010
  85. Tan W, Huang W, Xiong J, Pan J, Geng D, Jun Z. Neuroradiological features of papillary glioneuronal tumor: a study of 8 cases. J Comput Assist Tomogr. 2014;38(5):634–8. https://doi.org/10.1097/RCT.0000000000000109
  86. Gao L, Han F, Jin Y, Xiong J, Lv Y, Yao Z, et al. Imaging features of rosette-forming glioneuronal tumours. Clin Radiol. 2018;73(3):275–82. https://doi.org/10.1016/j.crad.2017.10.011
  87. Ghoniya R, Raheja A. Imaging in diffuse leptomeningeal glioneuronal tumor. Neurol India. 2019;67(2):615–6. https://doi.org/10.4103/0028-3886.258051
  88. Tiwari N, Tamrazi B, Robison N, Krieger M, Ji J, Tian D. Unusual radiological and histological presentation of a diffuse leptomeningeal glioneuronal tumor (DLGNT) in a 13-year-old girl. Childs Nerv Syst. 2019;35(9):1609–14. https://doi.org/10.1007/s00381-019-04074-7
  89. Pujadas E, Chen L, Rodriguez FJ. Pathologic and molecular aspects of anaplasia in circumscribed gliomas and glioneuronal tumors. Brain Tumor Pathol. 2019;36(2):40–51. https://doi.org/10.1007/s10014-019-00336-z
  90. Giulioni M, Marucci G, Cossu M, Tassi L, Bramerio M, Barba C, et al. CD34 Expression in Low-Grade Epilepsy-Associated Tumors: Relationships with Clinicopathologic Features. World Neurosurg. 2019;121:e761-e768. https://doi.org/10.1016/j.wneu.2018.09.212
  91. Nakamura A, Kano H, Niranjan A, Lunsford LD. Radiosurgery for Central Neurocytoma. Prog Neurol Surg. 2019;34:232–37. https://doi.org/10.1159/000493069
  92. Hung YC, Lee CC, Yang HC, Mohammed N, Kearns KN, Sun SB, et al. Stereotactic radiosurgery for central neurocytomas: an international multicenter retrospective cohort study. J Neurosurg. 2020;1–10. https://doi.org/10.3171/2020.1.JNS191515
  93. Pellerino A, Rudà R, Bertero L, Magistrello M, Franchino F, Cassoni P, et al. Successful use of bevacizumab in an adult primary diffuse leptomeningeal glioneuronal tumor. J Neurosurg Sci. 2018;62(2):229–32.
  94. Valiakhmetova A, Papusha L, Druy A, Yasko L, Ektova A, Karachunsky A, et al. Pediatric diffuse leptomeningeal glioneuronal tumor: Two clinical cases of successful targeted therapy. Pediatr Blood Cancer. 2020;67(12):e28478. https://doi.org/10.1002/pbc.28478
  95. Alvarez-Breckenridge C, Miller JJ, Nayyar N, Gill CM, Kaneb A, D’Andrea M, et al. Clinical and radiographic response following targeting of BCAN-NTRK1 fusion in glioneuronal tumor. NPJ Precis Oncol. 2017;1(1):5. https://doi.org/10.1038/s41698-017-0009-y
  96. Dodgshun AJ, SantaCruz N, Hwang J, Ramkissoon SH, Malkin H, Bergthold G, et al. Disseminated glioneuronal tumors occurring in childhood: treatment outcomes and BRAF alterations including V600E mutation. J Neurooncol. 2016;128(2):293–302. https://doi.org/10.1007/s11060-016-2109-x
  97. Aguilera D, Castellino RC, Janss A, Schniederjan M, McNall R, MacDonald Mazewski C. Clinical responses of patients with diffuse leptomeningeal glioneuronal tumors to chemotherapy. Childs Nerv Syst. 2018;34(2):329–34. https://doi.org/10.1007/s00381-017-3584-x