3

Non-Alcoholic Fatty Liver Disease Progression to Non-Alcoholic Steatohepatitis-Related Primary Liver Cancer

Utibe-Abasi Udoh1-2 Juan D Sanabria1-2 Pradeep K Rajan1-2 Moumita Banerjee1-2 Mathew Schade1-2 Jacqueline A Sanabria1-2 Gary Smith1-2 Gideon Udoh1-2 Komal Sodhi1-2 Sandrine Pierre2 Joseph I Shapiro1-2 Juan R Sanabria1-3

1Department of Surgery, Marshall University Joan Edwards School of Medicine, Huntington WV, USA; 2Marshall Institute for Interdisciplinary Research, Marshall University Joan Edwards School of Medicine, Huntington WV, USA; 3Department of Nutrition and Metabolomics Core Facility, Case Western Reserve University School of Medicine, Cleveland OH, USA.

Abstract: Hepatocellular carcinoma is the most common type of primary liver cancer and constitutes about 90-95% of all hepatic malignancies. It is the second and fastest-growing cause of cancer-related mortality worldwide. Although there is multiplicity in the etiology of hepatocellular carcinoma, accumulating evidence shows that non-alcoholic fatty liver disease has risen to become the top etiological factor for hepatocellular carcinoma in the United States and other developed nations, mainly because of the metabolic disturbances from obesity, a western epidemic. Non-alcoholic fatty liver disease comprises a spectrum of hepatic pathologies, ranging from simple steatosis to its inflammatory form, non-alcoholic steatohepatitis. With its concomitant increasing liver collagen deposition, non-alcoholic steatohepatitis paves the pathway for hepatocellular carcinoma development, which may occur with or without established cirrhosis. This chapter focuses on the current knowledge related to the epidemiology and cellular mechanisms that underpin the progression of non-alcoholic fatty liver disease to malignancy. Furthermore, it gives insight into the diagnosis, treatment options, and future directions for non-alcoholic steatohepatitis-related tumorigenesis.

Keywords: hepatocellular carcinoma; liver transplantation; non-alcoholic fatty liver disease; non-alcoholic steatohepatitis; trans-arterial chemoembolization

Author for correspondence: Juan R Sanabria, Department of Surgery, Marshall University Joan Edwards School of Medicine, Huntington WV, USA. Email: sanabriaj@marshall.edu

Doi: https://doi.org/10.36255/exonpublications.livercancer.2021.ch3

In: Liver Cancer. Sergi CM. (Editor). Exon Publications, Brisbane, Australia. ISBN: 978-0-6450017-2-3; Doi: https://doi.org/10.36255/exonpublications.livercancer.2021

Copyright: The Authors.

License: This open access article is licenced under Creative Commons Attribution-NonCommercial 4.0 International (CC BY-NC 4.0) https://creativecommons.org/licenses/by-nc/4.0/

INTRODUCTION

Cancer is the second leading cause of death worldwide, accounting for one in every six deaths (1). Hepatocellular carcinoma (HCC) is the second and fastest-growing cause of malignancy-related mortality with an estimate of 840,000 new cases every year, contributing to 9.1% of all cancer deaths (24). HCC is a highly lethal malignancy that primarily originates from a background of end-stage liver disease (ESLD) or cirrhosis, the most significant risk factor for HCC. ESLD develops from multiple etiologies, such as infectious (hepatitis B and C virus infection), genetically inherited (α-1 antitrypsin deficiency, hemochromatosis, primarily biliary cirrhosis, Wilson’s disease), toxic (alcohol, drugs, aflatoxins), and metabolic (non-alcoholic steatohepatitis [NASH]) (2). The only treatment currently available to intervene in the concomitant maladies from parenchymal dysfunction, portal hypertension, and early-stage malignancy, is liver transplantation. Although transplantation is a highly successful form of therapy with overall survival rates of >65% at five years, this form of therapy is limited due to scarcity of graft donors. Moreover, most patients with HCC at presentation are staged with advanced disease, thereby precluding resection or transplantation, and locoregional therapies such as trans-arterial chemoembolization (TACE), Y-90, and ablation, are performed as a bridge for liver transplantation. Systemic therapy for advanced disease only prolongs survival in terms of weeks. Nevertheless, new forms of immunotherapy may increase further overall survival. In brief, HCC still carries a poor prognosis, evolving as a prominent and increasing global health challenge (2, 5).

Metabolic disturbances like dyslipidemia from obesity are increasing in the Western world, with one out of three or four adults being either overweight or obese. It is estimated that 2.2 billion will be overweight and 1.1 billion obese by 2030 (68). The epidemic of obesity and its metabolic consequences (hypertension [HTN], hypertriglyceridemia, and insulin resistance) have led to a sharp rise in non-alcoholic fatty liver disease (NAFLD) and its progressed inflammatory form NASH, and its sequelae ESLD and HCC (2, 5, 911). In the United States (US), NASH-related HCC is predicted to rise in the next ten years with an estimated increase of 21% for NAFLD, 63% for NASH, and 137% for HCC by 2030 (2, 12). We aim in this chapter to discuss, at least one of the paths for progression of NAFLD-to-NASH-to-cirrhosis, and to uncover targets for the prevention, early diagnosis, and treatment of HCC.

EPIDEMIOLOGY

The geographical variation in the incidence of HCC worldwide is due, at least in part, to the multiplicity of risk factors involved in its genesis and progression. Most HCC cases occur in sub-Saharan Africa and Eastern Asia (80%, Figure 1), where the main etiological factors are acquired by infection (hepatitis B virus) or poisoning (aflatoxin) (1, 3, 13, 14). Although hepatitis C virus is a primary risk factor in the US, Europe, and Japan (3, 13, 15), this trend is fast changing due to the decline in hepatitis C virus infection from effective antiviral treatment and the upsurge of obesity, diabetes and HTN (the metabolic syndrome) (9, 16). About 80 million people in the US are affected by NAFLD, making it the most common cause of liver disease in the US, surpassing 5 billion US dollars in annual cost (9). As mentioned earlier, it is estimated that by the year 2030, 2.2 billion people around the world will be overweight and 1.1 billion will be obese (68). Over the last 40 years, the incidence of HCC in the US has tripled, increasing its burden from 14 million people (2012) to an estimated burden of 22 million people by 2032 (3). Men are more affected than women in a ratio of 2.4:1 (1, 3, 14), and the age-adjusted incidence of HCC has increased from 1.6 to 4.6 per 100,000 individuals among Native Americans and Alaskan Natives, followed by African Americans, Caucasians, and Hispanics, with an average five-year survival of <15% (3, 15, 17). Although the prevalence of NAFLD/NASH is assumed to be prominent among Hispanics and Caucasians, the distribution of cases among NASH-related HCC patients regarding their ethnic groups is yet to be validated (9, 18, 19).

Fig 1

Figure 1. Global estimates of hepatocellular carcinoma. Estimated age-standardized incidence rates in both sexes for liver cancer in 2018 (3).

NAFLD PROGRESSION TO NASH-RELATED HCC

The hallmark of NASH is an inflammatory response that leads to hepatocellular damage, and progressive collagen deposition (fibrosis) (20, 21). The molecular pathogenesis of NASH-related HCC is complex and involves the interplay of genetic, metabolic, immunologic, and endocrine pathways associated with changes in the gut microbiota communities in response to an increasing mitochondrial dysfunction from lipid-originated respiratory chain uncoupling (20, 22). Various hypotheses have been enunciated to explain the detailed cellular mechanisms involved in the progression from NAFLD to NASH and subsequently to HCC. One such theory entails that steatosis and insulin resistance are the underlying, initiating factors that set the stage for the progression of NASH from metabolic oxidative stress (Figure 2). This theory is termed the ‘two-hit’ hypothesis (20, 2325).

Fig 2

Figure 2. Mechanisms of fat accumulation in non-alcoholic steatohepatitis. Insulin resistance causes an influx of FFAs to the liver, owing to increased lipolysis, especially in the visceral adipose tissue. Increased de novo lipogenesis and fat from the diet also contribute to the fatty-acid pool. Both VLDL generation and FFA oxidation are increased and are enough to prevent intrahepatic lipid accumulation. DNL, de novo lipogenesis; FFA, free fatty acid; GNG, gluconeogenesis; IR, insulin resistance; ROS, reactive oxygen species; TG, triglycerides; VLDL, very low-density lipoproteins (23).

The ‘two-hit’ hypothesis is a widely accepted paradigm to explain the development of NASH from simple steatosis (fatty liver) originated from a fat enriched diet and sedentary habits (24, 2628). The first hit involves dysregulated hepatic lipid accumulation (steatosis), aggravated by the further development of an insulin-resistant status, exposing the cell to oxidative stress, to a second hit that overwhelms redox defensive mechanisms, leading to hepatocyte/stellate senescence phenotype and inflammation (2931). Insulin resistance upregulates lipolysis, leading to an increase in the level of serum free fatty acid (FFA). The increase of free fatty acids result in the delivering of triglycerides from the liver to peripheral organs, aggravating the increased storage of lipids in the liver. Further accumulation of triglycerides derivatives in the mitochondria drives a saturation of the β-lipid oxidation process, resulting in the increased production of reactive oxygen intermediates (ROI) that mediates the second hit (oxidative stress) with succinate accumulation and uncoupling of the respiratory chain. Oxidative stress promotes cellular processes such as lipid peroxidation, production of proinflammatory substances and mitochondrial damage (20, 3236). Alternatively to the two-hit hypothesis, proponents of a multi-parallel hit theory (20, 37), postulate that NASH develops from a multiplicity of factors that act in parallel with each other. Such factors include genetic variations, abnormal lipid metabolism, oxidative and endoplasmic reticulum stress, mitochondrial dysfunction, altered immune responses, and imbalance in gut microbiota. Proponents of this theory suggest that liver inflammation is the initial cause of fibrosis progression in NASH, rather than steatosis (20, 38).

In NASH, metabolic mechanisms appear to be the principal drivers that control the progression to HCC. Energy balance and cell cycle regulation in the hepatocytes are key processes that interplay between on-off insulin signaling and lipotoxicity (20). Insulin resistance-induced hyperinsulinemia in turn triggers the upregulation of insulin and insulin-like growth factor-1 (IGF-1) expression in the hepatocytes and subsequent binding to their respective receptors (20, 39). Such binding elicits a signaling cascade through the insulin receptor-substrate 1, which results in the activation of its downstream target pathways, namely the PI3K and MAPK pathways. These pathways have been reported to play a role in the tumorigenesis of HCC from NASH via the induction of cell proliferation and inhibition of apoptosis in hepatocytes (20, 3941). Studies have shown that the PI3K pathway involvement in the progression of HCC is primarily mediated by its action on cyclin D1-dependent cell cycle, Mdm2/p53-dependent apoptosis, and mTOR-dependent cell growth (20, 42, 43). The MAPK pathway drives tumor formation and progression by inducing the transcription of protooncogenes such as c-fos, and c-jun. Furthermore, MAPK pathway activates the Wnt/β-catenin signaling cascade, which promotes fibrosis and malignancy in the liver (20, 44). Studies from our lab have also revealed that Src-phosphorylation at the α1-Na/K-ATPase- Caveolin-1 complex at caveola activates or amplifies the PI3K pathway and promotes hepatocarcinogenesis via the upregulation of survivin and the downregulation of the second mitochondria-derived activator of caspases (Smac)/DIABLO proteins in hepatic parenchymal cells (45).

The α1-Na/K-ATPase-Caveolin-1-Src signaling complex is a novel signaling pathway, comprising of the α1 isoform of Na/K-ATPase (NKA), the scaffolding protein Caveolin-1 (CAV-1), and the sarcoma related kinase (Src). This pathway plays a critical role in regulating and transmitting biological signals from membrane micro-domains named caveolae into the interior of the cell. Such signals play a key role in regulating cell growth and development. The importance of this signaling mechanism has been demonstrated in the pathogenesis of the metabolic syndrome, as well as in aging and embryonic development (46, 47). For instance, genetic deletion of a caveolin binding motif (CBM) at the α1-NKA resulted in a lethal embryonic phenotype in homozygous mice, despite normal NKA protein expression and ion pumping function (47). This observation indicates that α1-NKA-CAV-1 interaction is necessary for the proper execution of developmental signaling pathways. Conversely, chronic activation of the NKA-CAV-1-Src signaling complex promotes pro-inflammatory pathways and tissue fibrosis through the amplification of reactive oxygen intermediates. This pathway embraces a vicious feed-forward mechanism, as evident in several disease phenotypes, including renal fibrosis, uremic cardiomyopathy, and metabolic disorders such as obesity (46, 48, 49). Although a balanced signaling mechanism through NKA-CAV-1-Src is essential for normal physiological function, chronic activation of this signaling mechanism under pathophysiological conditions can further promote or aggravate disease conditions such as cancer. Recent in vivo and in vitro data from our lab have shown that dysregulation of this signaling pathway resulted in an imbalance in Smac/DIABLO-Survivin apoptotic signaling in the cell via the upregulation of Survivin (anti-apoptotic protein) and a downregulation of Smac/ DIABLO (pro-apoptotic protein), leading to an “oncogenic apoptotic switch” that favors the development and progression of NASH to HCC (45). Additionally, inhibition of this pathway by a novel peptide, known as pNaKtide (developed from N domain of Na/K-ATPase), resulted in the reversal of the “oncogenic apoptotic switch”, leading to HCC prevention, tumor regression and reduction in fibrosis (45). Furthermore, evidence from different backgrounds enforces the fact that the central pathway controlling energy homeostasis, the phosphoinositide 3-kinase (PI3K)-AKT-mTOR pathway is involved and mutated in over 50% of all HCC cases, thus placing cell energy disturbances at the center of liver tumorigenesis (50).

As mentioned earlier, an excess in the production of ROI in NASH, leads to an imbalance in the cell’s redox status with progressive respiratory chain disruption and energy depletion followed by mitochondrial membrane pores opening and the subsequent leakage of cytochrome C and SMAC, concluding in the activation of the cell apoptotic cascade (20). Although metabolic stress peaks at the mitochondria, both insulin resistance and lipotoxicity are linked to several other cellular mechanisms, such as oxidative and endoplasmic reticulum (ER) stress, which may also contribute to cell injury and progression of NASH to HCC (20, 51). Another emerging mechanism that may play a key role in the progression of NASH to HCC is autophagy. Intracellular organelle/protein autophagy is critical in cell survival by recycling metabolic components and is increased during cellular stress. The cell, by this process, removes cytosolic non-functional organelles or macromolecules by transporting them into double-membrane vesicles and delivering them to lysosomes for degradation (20). In the liver, autophagy suppresses protein aggregation, lipid accumulation, oxidative stress, chronic cell death, and inflammation. In addition, autophagy has been shown to control adipogenesis and adipose tissue differentiation (20, 52). Nevertheless, studies have also revealed that autophagy enables the parenchymal cells to tolerate more stress, promoting tumorigenesis (20, 53, 54). Despite the controversial role of autophagy in promoting or inhibiting NASH progression to HCC, its cellular role in an energy inefficient metabolism via PI3K/mTOR pathway remains to be determined (20).

DIAGNOSIS AND STAGING OF HEPATOCELLULAR CARCINOMA

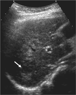
An accurate diagnosis and proper staging assessment are necessary to determine the optimal treatment method for the individual patient with HCC. A liver tumor is usually detected by imaging and its histology confirmed by tissue analysis (55). The various imaging methods include ultrasound (US), which is recommended every six months as a non-invasive low radiation cost-effective screening technique on high-risk patients, and computed tomography (CT) and magnetic resonance imaging (MRI), which are complementary techniques that detect and characterize the different nodules that develop in cirrhosis (Figure 3) (5659). Although there are at least seven staging systems for HCC, the Barcelona Clinic Liver Cancer (BCLC) classification is the most widely and accepted staging system used (Figure 4) (55, 60, 61). The BCLC classification system (Table 1) includes guidelines for the treatment of HCC and has been endorsed by the European Association for the Study of the Liver (EASL), European Organization for Research and Treatment of Cancer (EORTC) and the American Association for the Study of Liver Diseases (AASLD) (60, 62). This system stages an individual as having very early, early, intermediate, advanced, and very advanced (terminal) HCC based on tumor burden, severity of liver disease and his/her performance status matching the recommended evidence-based treatment by the stage of liver tumor (55, 60).

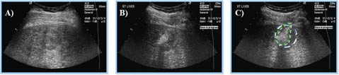
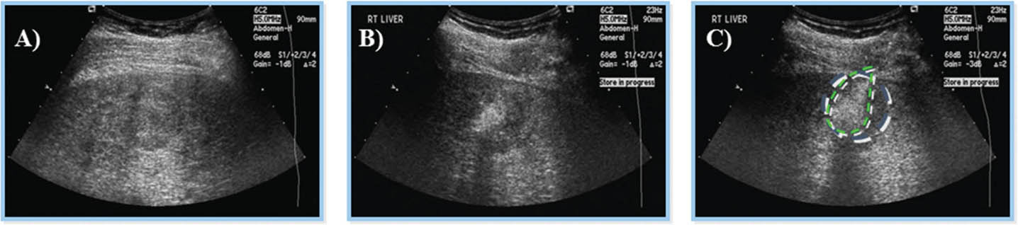
Fig 3

Figure 3. Sensitivity of ultrasound as a surveillance tool for the detection of hepatocellular carcinoma. Ultrasound is recommended every 6 months in high-risk populations for monitoring the development of HCC, as well as in cirrhotic patients. Its sensitivity is around 77% and it can be complemented, if needed, with other imaging modalities, such as computed tomography or magnetic resonance imaging (59).

Fig 4

Figure 4. Staging system for hepatocellular carcinoma. The Barcelona group developed a staging system for HCC that includes five stages, given recommended therapy for each stage and change of cure and overall survival (61).

TABLE 1 The Barcelona Clinic Liver Cancer (BCLC) Staging System (60)

BCLC stage ECOG PS Liver function: Child-Pugh Tumor stage
Very early stage (0) 0 A Single ≤2 cm
Early stage (A) 0 A-B Single ≤3, nodules ≤3 cm
Intermediate stage (B) 0 A-B Multinodular
Advanced stage (C) 1-2 A-B Vascular invasion, extrahepatic spread
Terminal stage (D) 3-4 C Any

Stage 0, A, and B, all criteria should be fulfilled.
Stage C and D at least one criterion should be fulfilled.
ECOGPS, Eastern Cooperative Oncology Group Performance Status.

TREATMENT AND MANAGEMENT OF HCC

The management and treatment of HCC is complex, and still carries a poor prognosis since an advanced stage is diagnosed in over 50% of the cases (63, 64). Albeit great advances have been made in the management and treatment of HCC patients at various stages of the disease (65). Patients in very early or early stage of HCC may benefit from curative procedures, mainly surgical resection and liver transplantation, as well as locoregional therapies such as thermal-related ablative procedures. In the intermediate stage of the disease, locoregional procedures such as TACE and Y-90 embolization are performed as a bridge for transplantation, as a method to downstage tumor burden, or as to a limited time local disease control (63, 65, 66). Image guided ablative therapy by microwave, radiofrequency or cryotherapy procedures are used in tumors <4 cm in size with the Intent to cure. They can be delivered in a percutaneous, laparoscopic, or open manner as the only procedure, or as a complement to surgery (60, 64).

Liver resection

Surgical resection of the liver is a curative therapy and preferred treatment method for patients with noncirrhotic or compensated cirrhosis (Child A, Low MELD, Figure 5), solitary nodules (tumor size <5 cm) and adequate liver function with no microvascular invasion or disease dissemination (60, 66). The preferred treatment option for patients with very early and early stage of HCC with cirrhosis is surgical resection if their hepatic function is intact and bilirubin level is (<1 mg/dl or <17.1 μmol/l) with limited or no portal hypertension (60, 62). Such patients have a survival rate of about 70% at 5 years, limited by a degree of patients who undergo liver decompensation after surgery (60, 67, 68). Thus, selection of patients for liver resection therapy is critical as there is a probability of liver failure after resection with high mortality rates (60, 68).

Fig 5

Figure 5. Liver imaging and pathology specimen after liver resection for hepatocellular carcinoma. A. A right tri-segmentectomy was performed. B. Tumor was removed, note the clear margins. C. MRI, showing the large HCC with multiple satellite lesions before resection. The patient did well after surgery, and she was discharged home 5 days after procedure, with no evidence for recurrences at 2 years follow up.

Liver transplantation

Liver transplantation is a curative modality for the patient with HCC and borderline to decompensated cirrhosis (Figure 6) (66). It offers a high survival rate and the lowest probability of tumor recurrence due to the removal of the fibrotic environment (68). Nonetheless, due to the scarcity of graft donors, there is a significant patient mortality from dropping off the liver waiting list due to tumor progression. To overcome longer cadaveric organs offer waiting times, living non- or related-liver transplantation has been presented as an option (66, 68, 69). The ideal candidate for liver transplantation (cadaveric or living-related) are those who satisfy the Milan criteria (solitary tumor up to 5 cm in size, or 3 tumors where the largest tumor is up to 3 cm in size, Figure 7) (66, 70). The Milan criteria showed a low probability of tumor recurrence after transplantation, with over 75% survival in 5 years and over 90% tumor reoccurrence-free survival rate (66, 68). Nevertheless, this concept has been challenged by several groups, and many transplant centers offer liver transplantation for patients with HCC outside of the Milan criteria with acceptable outcomes (66, 71). One other criterion is that of the University of California at San Francisco, which include single tumors ≤6.5 cm or 2 to 3 tumors ≤4.5 cm, with a total tumor diameter ≤8 cm (66, 71).

Fig 6

Figure 6. Liver transplant procedure in a patient with end stage liver disease. A. Liver with advanced fibrosis is removed. B. Replaced with a liver graft form a deceased donor. C. Reperfusion showing satisfactory appeaance. D. Classic vascular and biliary reconstruction performed at the proximal and distal end:end caval anastomosis, porto:portal and common hepatic to common hepatic arterial reconstruction. In this case, no blood products were given to the patient during the procedure. The patient was discharged 6 days after surgery. The patient is alive and doing well 5 years after graft implantation.

Fig 7

Figure 7. The Milan criteria for liver transplantation in patients with end-stage liver disease and hepatocellular carcinoma. Patients with end-stage liver disease and hepatocellular carcinoma are entered into the liver transplant waiting list if they fulfil the Milan criteria, which includes one tumor <5 cm in major diameter, or a maximum of 3 tumors with the largest <3 cm in major diameter. In addition, the patient should have no vascular invasion or evidence of extrahepatic disease. Other groups have explored other criteria with the development of the metro-ticket concept that evaluates the probability of overall survival after liver transplantation in patients with tumor burden over the Milan criteria (70).

Percutaneous ethanol injection

Percutaneous ethanol injection (PEI) involves the imaging guided injection of ethanol into the tumor to induce coagulation necrosis (Figure 8) (66, 72). The non-subcapsular, non-perivascular nodules <2 cm are ideal for PEI because of its limited capacity to penetrate the tumor beyond its pseudo-capsule or fibrotic septa (60, 72). Although it is a cost-effective form of therapy, the recurrence tumor rate is higher when compared to other locoregional therapies, thus PEI has fallen into disfavor as the first line therapy for small HCC lesions. PEI has a recurrence-free survival rate of 77% at one year as compared to 86% in patients treated with radiofrequency ablation (RFA) (64). Its side effects include post procedural pain, and it requires several sessions to yield complete treatment (66).

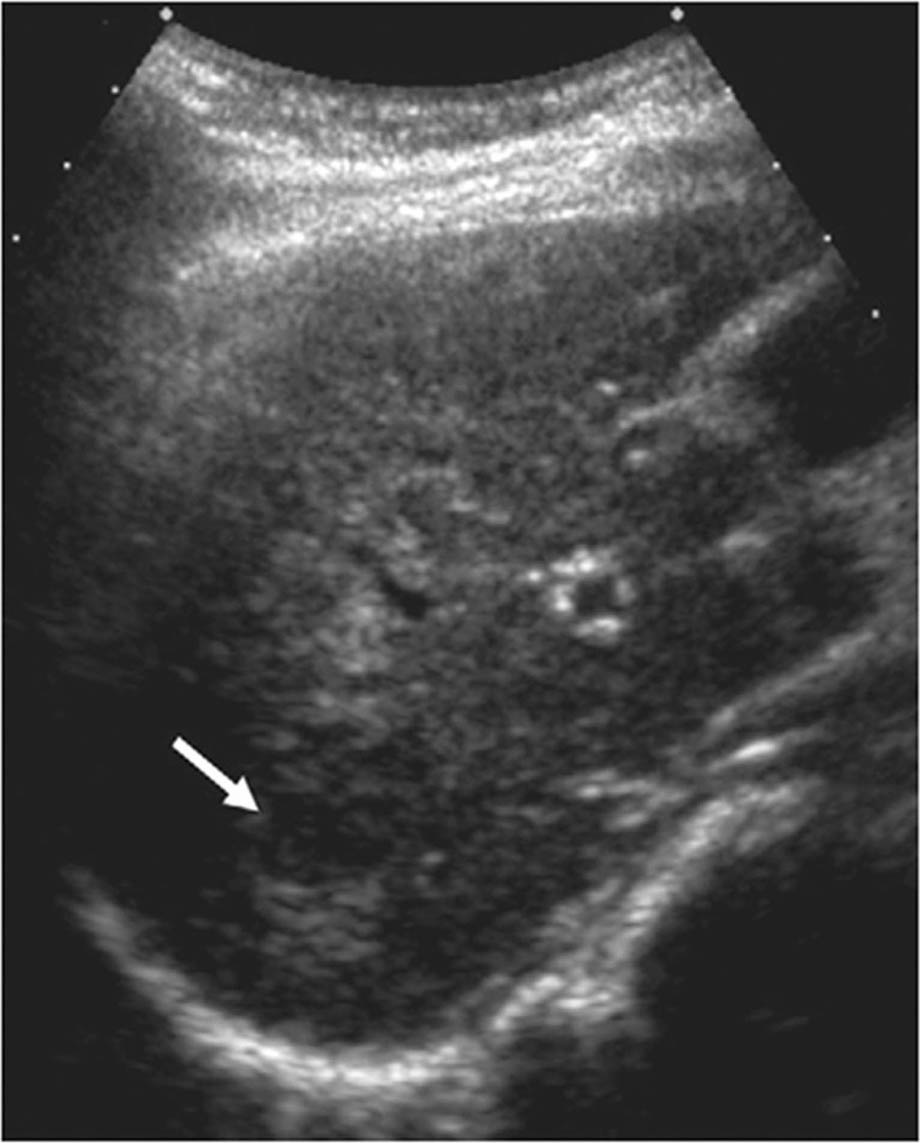
Fig 8

Figure 8. Ultrasound-guided percutaneous alcohol injection of hepatocellular carcinoma. A and B. Under image-guidance by US, administration of ethanol (97%) is performed into the tumor. C. Noting an enlarging hyperechoic signal. Although the procedure in well-trained hands is reliable and practical for large scale application, malignant recurrence rates are high.

Radiofrequency ablation

Image-guided RFA is indicated in patients with tumor lesions ≤3 cm (single or up to 3 lesions) or single lesions ≤4 cm, not in proximity to major vascular or biliary conduits, with intact liver function belonging to Child-Pugh A or B group and ECOG status 1-2 (72, 73). The heat emanated from high frequency oscillating electrical currents at the needle tip of the probe transforms dripping NS0.9% into vapor, resulting in tissue necrosis (Figure 9) (66, 72, 74). However, the thermal effect is dissipated by the “sink effect” of a vessel in proximity and by the size of the tumor (72).

Fig 9

Figure 9. Image-guided radiofrequency ablation for hepatocellular carcinoma. Under ultrasound-guidance, a radiofrequency ablation needle is placed near the center of the tumor. A. Alternate current at high frequency turns the needle tip temperature into a thermal injury with a subsequent death zone. B. At 3 months follow-up, the death zone has contracted.

Microwave ablation

Microwave ablation is the term that is used to describe tumor destruction by electromagnetic waves at frequency ≥900 kHz (74). It is one of the treatments of choice for HCC patients with tumors that are less than 4 cm in size without the sink effect limitation of RFA (66). The image-guided probe placement, as in RFA can be achieved percutaneously, laparoscopically, or during open surgery (66, 75). Contraindications include macrovascular invasion of tumor, main portal vein destruction, decompensated cirrhosis (Child-Pugh C), biliary obstruction and proximity to vital structures mitigated by open or laparoscopic techniques (66).

Cryoablation

Cryoablation, unlike RFA or microwave ablation, uses very low temperatures from a liquid nitrogen source to destroy tissue by alternating freezing and thawing based on the Joule-Thompson effect (76). As in other ablative methods, the probe can be placed under image guidance to induce “ice ball” formation (76, 77). Indications for percutaneous cryoablation include patients that satisfy the Milan criteria; that is, those with tumor size <5 cm in diameter or up to 3 tumors <3 cm, absence of venous thrombosis, Child- Pugh A and B group without significant coagulopathy (76). The advantages of cryoablation include the ability to visualize the ice ball, activate cryo-immunology in cancerous cells, absence of severe damage to blood vessels and less severe pain (77). Cryoablation can be used as an isolated treatment for patients or in combination with other therapies. Cryotherapy of liver tumors has become unpopular due to major bleeding after probe removal and the induction of coagulopathy aggravated by thrombocytopenia, liver decompensation and death (66).

Trans-arterial chemoembolization

TACE is currently the standard of care for patients with intermediate–stage HCC with preserved liver function (7880). TACE is useful for patients that have a Child-Pugh score A or B with tumor diameter of >4 cm or four or more tumors as well as those with single tumor in which it is challenging to carry out liver resection or locoregional therapies as a result of systemic co-morbidities or anatomical limitations (81). TACE takes advantages of the dual arterial and portal venous liver parenchymal blood supply with preferential arterialization not only in cirrhotic liver but of HCC. It involves the selective arterial embolization with a gelatin mixed with lipiodol (a radiopaque contrast agent) with or without chemotherapy (doxorubicin, cisplatin or mitomycin C), into the tumor’s feeding blood vessel (66). The blockage of the arteries supplying the tumor results in tissue necrosis (Figure 10) (68, 79). In practice, TACE is a recommended therapy for patients with unresectable HCC, nonvascular invasion or disease outside the liver (64). TACE can also be used with drug-eluting beads (DEB-TACE) and evidence exists that patients who are on DEB-TACE treatments for unresectable HCC have better performance in comparison to those on conventional TACE (66). In addition, TACE is being used for the downstaging of tumors in association with systemic therapy or as bridge for transplantation.

Fig 10

Figure 10. Trans-arterial chemoembolization of the liver for hepatocellular carcinoma. A and B. Selective arterial embolization of the vessels feeding the tumor in the liver. C. Tumor visualized by CT scan. The procedure is performed with or without chemotherapy. D and E. After embolization, angiography showed obliteration of feeding vessels with shrinkage of the tumor. F. Follow up CT scan after embolization. Note an increase in patient’s ascites.

Y-90 radioembolization

Y-90 radioembolization is a locoregional technique that involves a catheter-based administration of Y-90 microspheres into the hepatic artery, leading to the delivery of high radiation doses up to 50 to 150 Gy to tumors without affecting the parenchymal cells (Figure 11) (82, 83). This exploits the principle; intrahepatic tumors derive their major blood supply from the hepatic artery rather than the portal vein. Y-90 emits beta radiation with an average energy of 0.9 MeV and a mean penetration range of 2.5 mm (approximately 1,000 cell diameters). The physical half-life of Y-90 is 64.2 hours, and it decays to stable Zirconium-90 (82, 83). Microspheres (embedded with Y-90) are of varying sizes, ranging from 20 to 60 microns. In the US, the common available forms of Y-90 include the Y-90 tagged glass (TheraSphere) and resin (SIR-Spheres) microspheres (82). The main difference between Y-90 radioembolization and TACE is that Y-90 microspheres are smaller than TACE particles (20-30 microns compared to 200-500 microns). Therefore, TACE gives a more significant embolic effect in comparison to Y-90 radioembolization. However, the main mechanism of action of Y-90 is related to radiation effect and not the embolic occlusion of the blood supply to the cancer cells, thereby making it a more effective therapy (82, 83).

Fig 11

Figure 11. Y-90 embolization for hepatocellular carcinoma. A. Selective angiography of the liver and detection with obliteration of systemic shunts is performed. B, C and D. Micro-spheres then are embolized to the liver with no vessel occlusion.

Stereotactic body radiotherapy

Stereotactic body radiotherapy (SBRT) is a recent advancement in high-precision radiotherapy (8486). It is utilized as a locoregional therapy for early-stage HCC and for patients with locally advanced HCC. Through this procedure tumoricidal doses of radiation are delivered to hepatic tumors without affecting other organs (Figure 12) (87). Specifically, SBRT makes it possible to effectively deliver high-dose ablative radiation in 3-6 treatments to targeted HCC while minimizing toxicity to the adjoining normal tissues and organs (8486). Patients that are unsuitable for conventional locoregional treatments can benefit from SBRT. Additionally, it can be used in combination with other therapies to improve outcome and survival (84, 85).

Fig 12

Figure 12. Stereotactic body radiosurgery therapy for hepatocellular carcinoma. A. High doses of focused radiotherapy are applied to liver tumor sparing normal liver parenchyma using stereotactic body radiosurgery therapy. B. Shows high rates of tumor response (reduction in tumor size) by RECIST criteria. C and D. The estimated probability of local control and overall survival for hepatocellular carcinoma (HCC) and intrahepatic cholangiocarcinoma (ICC) are displayed respectively (87).

Irreversible electroporation

Irreversible electroporation (IRE) is a nonthermal type of tumor ablation technique that is not affected by heat sink, which is a common limitation of other forms of ablation procedures such RFA ablation. IRE procedure involves the delivery of short pulses of high-frequency energy to create pores in the lipid bilayer of cancer cells, which leads to cell death through apoptosis. On the other hand, acellular elements within the treatment region are not affected, resulting in the preservation of hepatic parenchymal architecture (88, 89). IRE procedure gives the best results with tumors that are less than 3 cm (88). Currently the only commercially available system for IRE is NanoKnife® (AngioDynamics, Queensbury, NY, USA). NanoKnife electrodes are contained in a 19-gauge probe. This setup allows the use of 6 monopolar electrodes simultaneously. These electrodes can be placed either surgically or percutaneously bracketing the target region under the guidance of ultrasound or computed tomography. The system has proprietary algorithms through which electrical energy delivery can be calculated. It is important that the treatment delivery be accompanied by general anesthesia, paralysis, and cardiac synchronization to prevent muscle contractions and arrhythmias (88, 90).

Systemic or targeted therapies

Systemic therapies are indicated for most patients with advanced stage HCC (91). Systemic therapies using small molecule drugs that target signaling pathways are particularly useful for treatment of patients who have undergone liver resection or transplantation and in which locoregional therapies such as TACE have not been successful (92). Sorafenib, a first-generation tyrosine inhibitor is an orally administered approved systemic drug for patients with advanced HCC worldwide (91, 93). The advent of sorafenib (an antiangiogenic, multitarget tyrosine inhibitor) has triggered dynamic research into possible molecular targeted therapy for HCC. These investigations center primarily on developing small molecules that target signaling pathways that are involved in cell proliferation and angiogenesis, which are critical for tumor development, growth, and metastasis (68, 91, 93). Molecular targeted signaling pathways that are considered to play key roles in HCC tumor formation, growth and progression include: mitogen-activated protein kinases (MAPK) pathway (Ras/Raf/MEK/ERK pathway), the Phosphatidylinositol-4,5-bisphosphate 3-kinase (PI3K), mammalian target of rapamycin (mTOR) pathway and angiogenic pathways (68, 93).

Immunotherapy

Currently there is a dynamic expansion in cancer immunotherapy which focuses mainly on agents that give a prognostic benefit to cancer patients by stimulating the immune system to mount a response against developing cancers including HCC. As earlier stated, there is a paucity of therapeutic options for patients with advanced stage of HCC, therefore it appears that immunotherapy may hold the key to effective systemic therapy for these patients (94). Immunotherapy strategies for HCC are based on two main principles, namely: (i) the ability to unmask ongoing immune responses in the liver during the onset or progression of carcinogenesis and (ii) the need to elicit new or different immunological responses. The first strategy is based on pre-existing immune reactivity to cancer development and progression held in check by micro-environmental factors. Such factors include inhibitory receptors on T cells, especially programmed cell death protein 1 (PD-1) and cytotoxic T-lymphocyte associated antigen 4 (CTLA-4); other factors are immunosuppressive cytokines such as Transforming growth factor beta (TGF-β) (94). In this strategy, the therapies are not directed towards a specific biological molecule produced by the cancer cells, but there is a general heightening/unmasking of immune responses to destroy tumor formation and progression. On the other hand, antibodies that directly target molecules expressed on HCC tumor cells, such as alpha-fetoprotein (AFP) or glypican-3 (GPC-3) fall within the second strategy. These therapies can be enhanced by coupling these antibodies to effector cells, such as T cells or natural killer cells (94). Additionally, administration of vaccines and the use of oncolytic viruses can operate through these two mechanisms, that is, by unmasking already existing immune responses or prompting de novo T cell responses to substances expressed by HCC tumor cells (94). It is worth noting that in line with the first strategy, the US Food and Drug Administration (FDA) has approved the use of nivolumab (a PD-1 inhibitor) as an immunotherapy for HCC (94, 95).

Diet/lifestyle and management of NASH related HCC

It has been widely reported that lifestyle changes (healthy diet and exercise) can significantly reduce the formation of NAFLD/NASH and its progression to HCC. Various studies have shown that regular aerobic exercise and weight loss resolves fatty deposition, reduce insulin resistance, and improve inflammatory activity in the liver (96). Interestingly, accumulating data reveals that some of the factors that are useful in lowering the risk of developing cancer including HCC, include exercise and caffeine (97). A diet consisting of a high intake of vegetable oils, fruits, vegetables, legumes, cereals and fish, and low consumption of saturated fat and non-fish meat products (Mediterranean diet), has also been shown to have a protective effect in the development and progression of HCC. Additionally, dietary antioxidants such as coenzyme Q, vitamins C and E, selenium and certain phytochemicals present in fruit, vegetables, herbs, and medicinal plants as well as coffee have been shown to be useful in HCC prevention (96, 97).

CONCLUSION

Over the last two decades the incidence of NASH-related HCC has risen exponentially, mainly due to metabolic disturbances promoted by the epidemic of obesity. HCC has become a major and steadily increasing global health challenge due to a paucity of biomarkers for its early detection coupled with few treatment options and a 50–70% recurrence rate after resection or locoregional therapy. Treatment options that are available for patients in very early or early stage of HCC include surgical resection, liver transplant and ablation procedures with the intend to cure. Those patients in the intermediate-stage are often treated with TACE or Y-90 radioembolization. Immuno-strategies are becoming the first line of therapy, followed by sorafenib as systemic treatment for patients with advanced stage of the disease. There is need for basic, translational, and clinical research targeting cellular and molecular pathways that play key roles in cancer development and progression, aiming for novel and more effective therapies for NASH-related HCC. One of such pathways is the α1-Na/K-ATPase-CAV-1-Src signaling pathway at the cell membrane that plays a role in the regulation of embryonic development and cell growth. Disturbances in this pathway has been shown to splinter the fragile balance of apoptosis regulator proteins promoting an oncogenic “apoptotic switch” that favors hepatic cell tumorigenesis. Furthermore, the inhibition of this pathway may be a putative target for the treatment of HCC.

Conflict of interest: The authors declare no potential conflicts of interest with respect to research, authorship and/or publication of this chapter.

Copyright and permission statement: The authors confirm that the materials included in this chapter do not violate copyright laws. Where relevant, appropriate permissions have been obtained from the original copyright holder(s), and all original sources have been appropriately acknowledged or referenced.

REFERENCES

  1. Fitzmaurice C, Akinyemiju TF, Al Lami FH, Alam T, Alizadeh-Navaei R, and the Global Burden of Disease Cancer Collaborators. Global, Regional, and National Cancer Incidence, Mortality, Years of Life Lost, Years Lived With Disability, and Disability-Adjusted Life-Years for 29 Cancer Groups, 1990 to 2016: A Systematic Analysis for the Global Burden of Disease Study. JAMA Oncol. 2018;4(11):1553–68. https://doi.org/10.1001/jamaoncol.2018.2706
  2. Hayes CN, Zhang P, Chayama K. The Role of Lipids in Hepatocellular Carcinoma. In: Tirnitz-Parker JEE, editor. Hepatocellular Carcinoma. Brisbane (AU)2019. https://doi.org/10.15586/hepatocellularcarcinoma.2019.ch5
  3. Rawla P, Sunkara T, Muralidharan P, Raj JP. Update in global trends and aetiology of hepatocellular carcinoma. Contemp Oncol (Pozn). 2018;22(3):141–50. https://doi.org/10.5114/wo.2018.78941
  4. Liebig M, Dannenberger D, Vollmar B, Abshagen K. n-3 PUFAs reduce tumor load and improve survival in a NASH-tumor mouse model. Ther Adv Chronic Dis. 2019;10:2040622319872118. https://doi.org/10.1177/2040622319872118
  5. Carlessi R, Kohn-Gaone J, Olynyk JK, Tirnitz-Parker JEE. Mouse Models of Hepatocellular Carcinoma. In: Tirnitz-Parker JEE, editor. Hepatocellular Carcinoma. Brisbane (AU)2019. https://doi.org/10.15586/hepatocellularcarcinoma.2019.ch4
  6. Afshin A, Forouzanfar MH, Reitsma MB, Sur P, Estep K, and GBDO collaborators. Health Effects of Overweight and Obesity in 195 Countries over 25 Years. N Engl J Med. 2017;377(1):13–27. https://doi.org/10.1056/NEJMoa1614362
  7. Forouzanfar MH, Alexander L, Anderson HR, Bachman VF, Biryukov S, and GBDRF Collaborators. Global, regional, and national comparative risk assessment of 79 behavioural, environmental and occupational, and metabolic risks or clusters of risks in 188 countries, 1990–2013: a systematic analysis for the Global Burden of Disease Study 2013. Lancet. 2015;386(10010):2287–323. https://doi.org/10.1016/S0140-6736(15)00128-2
  8. Mokdad AH, Ballestros K, Echko M, Glenn S, Olsen HE, and USGBD Collaborators. The State of US Health, 1990–2016: Burden of Diseases, Injuries, and Risk Factors Among US States. JAMA. 2018;319(14):1444–72. https://doi.org/10.1001/jama.2018.0158
  9. Cholankeril G, Patel R, Khurana S, Satapathy SK. Hepatocellular carcinoma in non-alcoholic steatohepatitis: Current knowledge and implications for management. World J Hepatol. 2017;9(11):533–43. https://doi.org/10.4254/wjh.v9.i11.533
  10. Adams LA, Lymp JF, St Sauver J, Sanderson SO, Lindor KD, Feldstein A, et al. The natural history of nonalcoholic fatty liver disease: a population-based cohort study. Gastroenterology. 2005;129(1):113–21. https://doi.org/10.1053/j.gastro.2005.04.014
  11. Nagaoki Y, Hyogo H, Aikata H, Tanaka M, Naeshiro N, Nakahara T, et al. Recent trend of clinical features in patients with hepatocellular carcinoma. Hepatol Res. 2012;42(4):368–75. https://doi.org/10.1111/j.1872-034X.2011.00929.x
  12. Estes C, Razavi H, Loomba R, Younossi Z, Sanyal AJ. Modeling the epidemic of nonalcoholic fatty liver disease demonstrates an exponential increase in burden of disease. Hepatology. 2018;67(1):123–33. https://doi.org/10.1002/hep.29466
  13. El-Serag HB. Epidemiology of viral hepatitis and hepatocellular carcinoma. Gastroenterology. 2012;142(6):1264–73 e1. https://doi.org/10.1053/j.gastro.2011.12.061
  14. Akinyemiju T, Abera S, Ahmed M, Alam N, Alemayohu MA, and GBD Liver Cancer Collaborators. The Burden of Primary Liver Cancer and Underlying Etiologies From 1990 to 2015 at the Global, Regional, and National Level: Results From the Global Burden of Disease Study 2015. JAMA Oncol. 2017;3(12):1683–91.
  15. El-Serag HB. Hepatocellular carcinoma. N Engl J Med. 2011;365(12):1118–27. https://doi.org/10.1056/NEJMra1001683
  16. Noureddin M, Rinella ME. Nonalcoholic Fatty liver disease, diabetes, obesity, and hepatocellular carcinoma. Clin Liver Dis. 2015;19(2):361–79. https://doi.org/10.1016/j.cld.2015.01.012
  17. Altekruse SF, McGlynn KA, Reichman ME. Hepatocellular carcinoma incidence, mortality, and survival trends in the United States from 1975 to 2005. J Clin Oncol. 2009;27(9):1485–91. https://doi.org/10.1200/JCO.2008.20.7753
  18. Cholankeril G, Perumpail RB, Pham EA, Ahmed A, Harrison SA. Nonalcoholic Fatty Liver Disease: Epidemiology, Natural History, and Diagnostic Challenges. Hepatology. 2016;64(3):954. https://doi.org/10.1002/hep.28719
  19. Fleischman MW, Budoff M, Zeb I, Li D, Foster T. NAFLD prevalence differs among hispanic subgroups: the Multi-Ethnic Study of Atherosclerosis. World J Gastroenterol. 2014;20(17):4987–93. https://doi.org/10.3748/wjg.v20.i17.4987
  20. Kutlu O, Kaleli HN, Ozer E. Molecular Pathogenesis of Nonalcoholic Steatohepatitis- (NASH-) Related Hepatocellular Carcinoma. Can J Gastroenterol Hepatol. 2018;2018:8543763. https://doi.org/10.1155/2018/8543763
  21. Michelotti GA, Machado MV, Diehl AM. NAFLD, NASH and liver cancer. Nat Rev Gastroenterol Hepatol. 2013;10(11):656–65. https://doi.org/10.1038/nrgastro.2013.183
  22. Margini C, Dufour JF. The story of HCC in NAFLD: from epidemiology, across pathogenesis, to prevention and treatment. Liver Int. 2016;36(3):317–24. https://doi.org/10.1111/liv.13031
  23. Marra F, Gastaldelli A, Svegliati Baroni G, Tell G, Tiribelli C. Molecular basis and mechanisms of progression of non-alcoholic steatohepatitis. Trends Mol Med. 2008;14(2):72–81. https://doi.org/10.1016/j.molmed.2007.12.003
  24. Day CP, James OF. Steatohepatitis: a tale of two “hits”? Gastroenterology. 1998;114(4):842–5. https://doi.org/10.1016/S0016-5085(98)70599-2
  25. Gentile CL, Pagliassotti MJ. The role of fatty acids in the development and progression of nonalcoholic fatty liver disease. J Nutr Biochem. 2008;19(9):567–76. https://doi.org/10.1016/j.jnutbio.2007.10.001
  26. Day CP. NASH-related liver failure: one hit too many? Am J Gastroenterol. 2002;97(8):1872–4. https://doi.org/10.1111/j.1572–0241.2002.05952.x
  27. Day CP. Non-alcoholic steatohepatitis (NASH): where are we now and where are we going? Gut. 2002;50(5):585–8. https://doi.org/10.1136/gut.50.5.585
  28. Day CP. Clinical spectrum and therapy of non-alcoholic steatohepatitis. Dig Dis. 2012;30 Suppl 1:69–73. https://doi.org/10.1159/000341128
  29. Feldstein AE, Wieckowska A, Lopez AR, Liu YC, Zein NN, McCullough AJ. Cytokeratin-18 fragment levels as noninvasive biomarkers for nonalcoholic steatohepatitis: a multicenter validation study. Hepatology. 2009;50(4):1072–8. https://doi.org/10.1002/hep.23050
  30. Wieckowska A, McCullough AJ, Feldstein AE. Noninvasive diagnosis and monitoring of nonalcoholic steatohepatitis: present and future. Hepatology. 2007;46(2):582–9. https://doi.org/10.1002/hep.21768
  31. Wieckowska A, Zein NN, Yerian LM, Lopez AR, McCullough AJ, Feldstein AE. In vivo assessment of liver cell apoptosis as a novel biomarker of disease severity in nonalcoholic fatty liver disease. Hepatology. 2006;44(1):27–33. https://doi.org/10.1002/hep.21223
  32. Sumida Y, Niki E, Naito Y, Yoshikawa T. Involvement of free radicals and oxidative stress in NAFLD/NASH. Free Radic Res. 2013;47(11):869–80. https://doi.org/10.3109/10715762.2013.837577
  33. Kawano Y, Cohen DE. Mechanisms of hepatic triglyceride accumulation in non-alcoholic fatty liver disease. J Gastroenterol. 2013;48(4):434–41. https://doi.org/10.1007/s00535-013-0758-5
  34. Al-Busafi SA, Bhat M, Wong P, Ghali P, Deschenes M. Antioxidant therapy in nonalcoholic steatohepatitis. Hepat Res Treat. 2012;2012:947575. https://doi.org/10.1155/2012/947575
  35. Browning JD, Horton JD. Molecular mediators of hepatic steatosis and liver injury. J Clin Invest. 2004;114(2):147–52. https://doi.org/10.1172/JCI200422422
  36. Brunt EM, Kleiner DE, Wilson LA, Belt P, Neuschwander-Tetri BA, Network NCR. Nonalcoholic fatty liver disease (NAFLD) activity score and the histopathologic diagnosis in NAFLD: distinct clinicopathologic meanings. Hepatology. 2011;53(3):810–20. https://doi.org/10.1002/hep.24127
  37. Tilg H, Moschen AR. Evolution of inflammation in nonalcoholic fatty liver disease: the multiple parallel hits hypothesis. Hepatology. 2010;52(5):1836–46. https://doi.org/10.1002/hep.24001
  38. Takaki A, Kawai D, Yamamoto K. Multiple hits, including oxidative stress, as pathogenesis and treatment target in non-alcoholic steatohepatitis (NASH). Int J Mol Sci. 2013;14(10):20704–28. https://doi.org/10.3390/ijms141020704
  39. De Minicis S, Agostinelli L, Rychlicki C, Sorice GP, Saccomanno S, Candelaresi C, et al. HCC development is associated to peripheral insulin resistance in a mouse model of NASH. PLoS One. 2014;9(5):e97136. https://doi.org/10.1371/journal.pone.0097136
  40. Janku F, Kaseb AO, Tsimberidou AM, Wolff RA, Kurzrock R. Identification of novel therapeutic targets in the PI3K/AKT/mTOR pathway in hepatocellular carcinoma using targeted next generation sequencing. Oncotarget. 2014;5(10):3012–22. https://doi.org/10.18632/oncotarget.1687
  41. Yang S, Liu G. Targeting the Ras/Raf/MEK/ERK pathway in hepatocellular carcinoma. Oncol Lett. 2017;13(3):1041–7. https://doi.org/10.3892/ol.2017.5557
  42. Kudo Y, Tanaka Y, Tateishi K, Yamamoto K, Yamamoto S, Mohri D, et al. Altered composition of fatty acids exacerbates hepatotumorigenesis during activation of the phosphatidylinositol 3-kinase pathway. J Hepatol. 2011;55(6):1400–8. https://doi.org/10.1016/j.jhep.2011.03.025
  43. Vivanco I, Sawyers CL. The phosphatidylinositol 3-Kinase AKT pathway in human cancer. Nat Rev Cancer. 2002;2(7):489–501. https://doi.org/10.1038/nrc839
  44. Chettouh H, Lequoy M, Fartoux L, Vigouroux C, Desbois-Mouthon C. Hyperinsulinaemia and insulin signalling in the pathogenesis and the clinical course of hepatocellular carcinoma. Liver Int. 2015;35(10):2203–17. https://doi.org/10.1111/liv.12903
  45. Udoh U-A, Sanabria JR, Sanabria JD, Smith G, Mallick A, Schade M, et al. The role of Src-phosphorylation at the alpha 1-NA/K-ATPase in the pathogenesis and treatment of NASH related Hepatocellular carcinoma. Hepatology. 2020;72:1038–39
  46. Sodhi K, Nichols A, Mallick A, Klug RL, Liu J, Wang X, et al. The Na/K-ATPase Oxidant Amplification Loop Regulates Aging. Sci Rep. 2018;8(1):9721. https://doi.org/10.1038/s41598-018-26768-9
  47. Wang X, Cai L, Xie JX, Cui X, Zhang J, Wang J, et al. A caveolin binding motif in Na/K-ATPase is required for stem cell differentiation and organogenesis in mammals and C. elegans. Sci Adv. 2020;6(22):eaaw5851. https://doi.org/10.1126/sciadv.aaw5851
  48. Liu J, Tian J, Chaudhry M, Maxwell K, Yan Y, Wang X, et al. Attenuation of Na/K-ATPase Mediated Oxidant Amplification with pNaKtide Ameliorates Experimental Uremic Cardiomyopathy. Sci Rep. 2016;6:34592. https://doi.org/10.1038/srep34592
  49. Wang X, Liu J, Drummond CA, Shapiro JI. Sodium potassium adenosine triphosphatase (Na/K-ATPase) as a therapeutic target for uremic cardiomyopathy. Expert Opin Ther Targets. 2017;21(5):531–41. https://doi.org/10.1080/14728222.2017.1311864
  50. Zoller H, Tilg H. Nonalcoholic fatty liver disease and hepatocellular carcinoma. Metabolism. 2016;65(8):1151–60. https://doi.org/10.1016/j.metabol.2016.01.010
  51. Fu S, Yang L, Li P, Hofmann O, Dicker L, Hide W, et al. Aberrant lipid metabolism disrupts calcium homeostasis causing liver endoplasmic reticulum stress in obesity. Nature. 2011;473(7348):528–31. https://doi.org/10.1038/nature09968
  52. Onal G, Kutlu O, Gozuacik D, Dokmeci Emre S. Lipid Droplets in Health and Disease. Lipids Health Dis. 2017;16(1):128. https://doi.org/10.1186/s12944-017-0521-7
  53. Liu L, Liao JZ, He XX, Li PY. The role of autophagy in hepatocellular carcinoma: friend or foe. Oncotarget. 2017;8(34):57707–22. https://doi.org/10.18632/oncotarget.17202
  54. Mao Y, Yu F, Wang J, Guo C, Fan X. Autophagy: a new target for nonalcoholic fatty liver disease therapy. Hepat Med. 2016;8:27–37. https://doi.org/10.2147/HMER.S98120
  55. Bruix J, Reig M, Sherman M. Evidence-Based Diagnosis, Staging, and Treatment of Patients With Hepatocellular Carcinoma. Gastroenterology. 2016;150(4):835–53. https://doi.org/10.1053/j.gastro.2015.12.041
  56. Luciani A, Allice O, Zegai B, Djabbari M, Anglade MC, Rahmouni A, et al. [Imaging nodules within cirrhotic liver: how do I do it?]. J Radiol. 2007;88(7–8 Pt 2):1073–90. https://doi.org/10.1016/S0221-0363(07)89920-3
  57. Cartier V, Aube C. Diagnosis of hepatocellular carcinoma. Diagn Interv Imaging. 2014;95(7–8):709–19. https://doi.org/10.1016/j.diii.2014.06.004
  58. Cassinotto C, Aube C, Dohan A. Diagnosis of hepatocellular carcinoma: An update on international guidelines. Diagn Interv Imaging. 2017;98(5):379–91. https://doi.org/10.1016/j.diii.2017.01.014
  59. Singal A, Volk ML, Waljee A, Salgia R, Higgins P, Rogers MA, et al. Meta-analysis: surveillance with ultrasound for early-stage hepatocellular carcinoma in patients with cirrhosis. Aliment Pharmacol Ther. 2009;30(1):37–47. https://doi.org/10.1111/j.1365-2036.2009.04014.x
  60. Crocetti L, Bargellini I, Cioni R. Loco-regional treatment of HCC: current status. Clin Radiol. 2017;72(8):626–35. https://doi.org/10.1016/j.crad.2017.01.013
  61. Llovet JM, Di Bisceglie AM, Bruix J, Kramer BS, Lencioni R, Zhu AX, et al. Design and endpoints of clinical trials in hepatocellular carcinoma. J Natl Cancer Inst. 2008;100(10):698–711. https://doi.org/10.1093/jnci/djn134
  62. Bruix J, Sherman M, Practice Guidelines Committee AAftSoLD. Management of hepatocellular carcinoma. Hepatology. 2005;42(5):1208–36. https://doi.org/10.1002/hep.20933
  63. Singal AG, Marrero JA. Recent advances in the treatment of hepatocellular carcinoma. Curr Opin Gastroenterol. 2010;26(3):189–95. https://doi.org/10.1097/MOG.0b013e3283383ca5
  64. Zhang S, Yue M, Shu R, Cheng H, Hu P. Recent advances in the management of hepatocellular carcinoma. J BUON. 2016;21(2):307–11.
  65. Padhya KT, Marrero JA, Singal AG. Recent advances in the treatment of hepatocellular carcinoma. Curr Opin Gastroenterol. 2013;29(3):285–92. https://doi.org/10.1097/MOG.0b013e32835ff1cf
  66. Gosalia AJ, Martin P, Jones PD. Advances and Future Directions in the Treatment of Hepatocellular Carcinoma. Gastroenterol Hepatol (N Y). 2017;13(7):398–410.
  67. Roayaie S, Obeidat K, Sposito C, Mariani L, Bhoori S, Pellegrinelli A, et al. Resection of hepatocellular cancer </=2 cm: results from two Western centers. Hepatology. 2013;57(4):1426–35. https://doi.org/10.1002/hep.25832
  68. Chacko S, Samanta S. “Hepatocellular carcinoma: A life-threatening disease”. Biomed Pharmacother. 2016;84:1679–88. https://doi.org/10.1016/j.biopha.2016.10.078
  69. Bruix J, Llovet JM. Prognostic prediction and treatment strategy in hepatocellular carcinoma. Hepatology. 2002;35(3):519–24. https://doi.org/10.1053/jhep.2002.32089
  70. Mazzaferro V, Regalia E, Doci R, Andreola S, Pulvirenti A, Bozzetti F, et al. Liver transplantation for the treatment of small hepatocellular carcinomas in patients with cirrhosis. N Engl J Med. 1996;334(11):693–9. https://doi.org/10.1056/NEJM199603143341104
  71. Yao FY, Ferrell L, Bass NM, Watson JJ, Bacchetti P, Venook A, et al. Liver transplantation for hepatocellular carcinoma: expansion of the tumor size limits does not adversely impact survival. Hepatology. 2001;33(6):1394–403. https://doi.org/10.1053/jhep.2001.24563
  72. Grandhi MS, Kim AK, Ronnekleiv-Kelly SM, Kamel IR, Ghasebeh MA, Pawlik TM. Hepatocellular carcinoma: From diagnosis to treatment. Surg Oncol. 2016;25(2):74–85. https://doi.org/10.1016/j.suronc.2016.03.002
  73. Meza-Junco J, Montano-Loza AJ, Liu DM, Sawyer MB, Bain VG, Ma M, et al. Locoregional radiological treatment for hepatocellular carcinoma; Which, when and how? Cancer Treat Rev. 2012;38(1):54–62. https://doi.org/10.1016/j.ctrv.2011.05.002
  74. Crocetti L, Lencioni R. Thermal ablation of hepatocellular carcinoma. Cancer Imaging. 2008;8:19–26. https://doi.org/10.1102/1470-7330.2008.0004
  75. Sato M, Watanabe Y, Ueda S, Iseki S, Abe Y, Sato N, et al. Microwave coagulation therapy for hepatocellular carcinoma. Gastroenterology. 1996;110(5):1507–14. https://doi.org/10.1053/gast.1996.v110.pm8613057
  76. Song KD. Percutaneous cryoablation for hepatocellular carcinoma. Clin Mol Hepatol. 2016;22(4):509–15. https://doi.org/10.3350/cmh.2016.0079
  77. Niu LZ, Li JL, Xu KC. Percutaneous Cryoablation for Liver Cancer. J Clin Transl Hepatol. 2014;2(3):182–8.
  78. Lencioni R, Petruzzi P, Crocetti L. Chemoembolization of hepatocellular carcinoma. Semin Intervent Radiol. 2013;30(1):3–11. https://doi.org/10.1055/s-0033-1333648
  79. Boulin M, Delhom E, Pierredon-Foulongne MA, Cercueil JP, Guiu B. Transarterial chemoembolization for hepatocellular carcinoma: An old method, now flavor of the day. Diagn Interv Imaging. 2015;96(6):607–15. https://doi.org/10.1016/j.diii.2015.04.005
  80. Sieghart W, Hucke F, Peck-Radosavljevic M. Transarterial chemoembolization: modalities, indication, and patient selection. J Hepatol. 2015;62(5):1187–95. https://doi.org/10.1016/j.jhep.2015.02.010
  81. Imai N, Ishigami M, Ishizu Y, Kuzuya T, Honda T, Hayashi K, et al. Transarterial chemoembolization for hepatocellular carcinoma: A review of techniques. World J Hepatol. 2014;6(12):844–50. https://doi.org/10.4254/wjh.v6.i12.844
  82. Bhangoo MS, Karnani DR, Hein PN, Giap H, Knowles H, Issa C, et al. Radioembolization with Yttrium-90 microspheres for patients with unresectable hepatocellular carcinoma. J Gastrointest Oncol. 2015;6(5):469–78. https://doi.org/10.3978/j.issn.2078-6891.2015.056
  83. Molvar C, Lewandowski R. Yttrium-90 Radioembolization of Hepatocellular Carcinoma-Performance, Technical Advances, and Future Concepts. Semin Intervent Radiol. 2015;32(4):388–97. https://doi.org/10.1055/s-0035-1564704
  84. Lee HL, Tsai JT, Chen CY, Lin YC, Ho CB, Ting LL, et al. Effectiveness of stereotactic ablative radiotherapy in patients with advanced hepatocellular carcinoma unsuitable for transarterial chemoembolization. Ther Adv Med Oncol. 2019;11:1758835919889002. https://doi.org/10.1177/1758835919889002
  85. McPartlin AJ, Dawson LA. Stereotactic Body Radiotherapy for Hepatocellular Carcinoma. Cancer J. 2016;22(4):296–301. https://doi.org/10.1097/PPO.0000000000000201
  86. Robbins JR, Schmid RK, Hammad AY, Gamblin TC, Erickson BA. Stereotactic body radiation therapy for hepatocellular carcinoma: Practice patterns, dose selection and factors impacting survival. Cancer Med. 2019;8(3):928–38. https://doi.org/10.1002/cam4.1948
  87. Ibarra RA, Rojas D, Snyder L, Yao M, Fabien J, Milano M, et al. Multicenter results of stereotactic body radiotherapy (SBRT) for non-resectable primary liver tumors. Acta Oncol. 2012;51(5):575–83. https://doi.org/10.3109/0284186X.2011.652736
  88. Zimmerman A, Grand D, Charpentier KP. Irreversible electroporation of hepatocellular carcinoma: patient selection and perspectives. J Hepatocell Carcinoma. 2017;4:49–58. https://doi.org/10.2147/JHC.S129063
  89. Golberg A, Bruinsma BG, Jaramillo M, Yarmush ML, Uygun BE. Rat liver regeneration following ablation with irreversible electroporation. PeerJ. 2016;4:e1571. https://doi.org/10.7717/peerj.1571
  90. Nielsen K, Scheffer HJ, Vieveen JM, van Tilborg AA, Meijer S, van Kuijk C, et al. Anaesthetic management during open and percutaneous irreversible electroporation. Br J Anaesth. 2014;113(6):985–92. https://doi.org/10.1093/bja/aeu256
  91. Kim HY, Park JW. Current immunotherapeutic strategies in hepatocellular carcinoma: recent advances and future directions. Therap Adv Gastroenterol. 2017;10(10):805–14. https://doi.org/10.1177/1756283X17722061
  92. Dutta R, Mahato RI. Recent advances in hepatocellular carcinoma therapy. Pharmacol Ther. 2017;173:106–17. https://doi.org/10.1016/j.pharmthera.2017.02.010
  93. Ohri N, Kaubisch A, Garg M, Guha C. Targeted Therapy for Hepatocellular Carcinoma. Semin Radiat Oncol. 2016;26(4):338–43. https://doi.org/10.1016/j.semradonc.2016.06.004
  94. Johnston MP, Khakoo SI. Immunotherapy for hepatocellular carcinoma: Current and future. World J Gastroenterol. 2019;25(24):2977–89. https://doi.org/10.3748/wjg.v25.i24.2977
  95. Marrero JA, Kulik LM, Sirlin CB, Zhu AX, Finn RS, Abecassis MM, et al. Diagnosis, Staging, and Management of Hepatocellular Carcinoma: 2018 Practice Guidance by the American Association for the Study of Liver Diseases. Hepatology. 2018;68(2):723–50. https://doi.org/10.1002/hep.29913
  96. Mak LY, Cruz-Ramon V, Chinchilla-Lopez P, Torres HA, LoConte NK, Rice JP, et al. Global Epidemiology, Prevention, and Management of Hepatocellular Carcinoma. Am Soc Clin Oncol Educ Book. 2018;38:262–79. https://doi.org/10.1200/EDBK_200939
  97. Saran U, Humar B, Kolly P, Dufour JF. Hepatocellular carcinoma and lifestyles. J Hepatol. 2016;64(1):203–14. https://doi.org/10.1016/j.jhep.2015.08.028