13

Cortical Mapping in the Resection of Malignant Cerebral Gliomas

Jehad Zakaria Vikram C. Prabhu

Department of Neurological Surgery, Loyola University Medical Center/Stritch School of Medicine, Maywood, IL, USA

Abstract: Cerebral gliomas are diffuse intrinsic primary brain tumors that are most commonly encountered in the frontal, temporal, and parietal lobes, and that can present with an array of symptoms including alterations in mental status, speech and language difficulties, motor or sensory abnormalities, and seizures. Maximal safe surgical debulking of the tumor reduces mass effect, provides a precise histological diagnosis, and facilitates genetic analysis that may shed light on the response to therapies and prognosis, reduces the oncological burden of the tumor facilitating the effectiveness of adjuvant treatments such as radiation and chemotherapy, and may reduce seizures. Preoperative and intraoperative cortical mapping strategies are used to delineate the relationship of the tumor with adjacent eloquent and association cortical areas to provide a maximal functionally safe surgical resection. This chapter describes the protocols used at our institution for the surgical management of patients with malignant gliomas in proximity to or involving eloquent cortical areas.

Keywords: Cortical mapping; Eloquent cortex; Functional mapping; Glioma

Author for correspondence: Vikram C. Prabhu, Department of Neurological Surgery, Loyola University Medical Center/Stritch School of Medicine, 2160 S 1st Avenue, Maguire 1900, Maywood, IL 60153, USA. E-mail: vprabhu@lumc.edu

Doi: http://dx.doi.org/10.15586/codon.glioblastoma.2017.ch13

In: Glioblastoma. Steven De Vleeschouwer (Editor), Codon Publications, Brisbane, Australia ISBN: 978-0-9944381-2-6; Doi: http://dx.doi.org/10.15586/codon.glioblastoma.2017

Copyright: The Authors.

Licence: This open access article is licenced under Creative Commons Attribution-NonCommercial 4.0 International (CC BY 4.0). https://creativecommons.org/licenses/by-nc/4.0/

Introduction

Cerebral gliomas are diffuse intrinsic primary brain tumors that are most commonly encountered in the frontal, temporal, and parietal lobes. They can present with an array of symptoms including alterations in mental status, speech and language difficulties, motor or sensory abnormalities, and seizures. Maximal safe surgical debulking of the tumor reduces mass effect, provides a precise histological diagnosis, and facilitates genetic analysis that may shed light on the response to therapies and prognosis, reduces the oncological burden of the tumor facilitating the effectiveness of adjuvant treatments such as radiation and chemotherapy, and may reduce seizures. Retrospective reviews suggest that the extent of resection is a critical prognostic factor for all grades of glioma (1). However, functional deficits from tumor resection are assiduously avoided as they have a strong negative prognostic effect both on the patient’s quality of life and on the overall outcome related to the primary tumor. Hence, a strong emphasis remains on maximal safe resection with preservation of neurological function particularly in critical areas of the brain. Preoperative and intraoperative cortical mapping strategies are used to delineate the relationship of the tumor with adjacent eloquent and association cortical areas to provide a maximal functionally safe surgical resection. A protocol that encompasses anatomical, functional, and metabolic imaging provides a comprehensive view of the location and nature of the tumor and its relationship with the adjacent cortex (13). Preoperative and postoperative neuropsychological testing further identifies areas of subtle cognitive, motor, and language deficit. This facilitates more effective preoperative patient counseling and maximal safe resection.

Preoperative Planning

MAGNETIC RESONANCE IMAGING

Cranial computed tomography (CT) has utility in presenting bone detail and the presence of calcification within a tumor bed. However, the anatomic detail provided by magnetic resonance imaging (MRI) is exquisite and provides cortical anatomical landmarks that are useful in preoperative planning. Relatively predictable patterns of sulci and gyri allow for identification of the primary sensory/motor cortices and speech centers. The concordance between MRI images and gross anatomical specimens has revealed “keys” for cortical landmark identification (4, 5). The first key is the Sylvian fissure and its five major rami. The posterior horizontal ramus (PHR) forms the main fissure that is visible on the convexity of the brain; it extends rostrally into the posterior ascending (PAR) and descending rami (PDR). The PAR is “capped” by the supramarginal gyrus (SMG). Anteriorly along the PHR, the sylvian fissure extends into two sulci, the anterior horizontal and anterior ascending rami. These rami extend into the inferior frontal gyrus (IFG) dividing it into the pars orbitalis, pars triangularis, and pars opercularis. The pars triangularis (Brodmann’s areas 45) and pars opercularis (Brodmann’s area 44) represent the primary motor or expressive speech area (Broca’s area).

The frontal lobe contains three gyri (superior, middle, inferior) separated by the superior and inferior frontal sulci. The superior frontal gyrus is appreciated on both axial and sagittal images (Figure 1). The middle frontal gyrus (MFG) extends posteriorly and fuses with the vertically oriented precentral gyrus. The precentral sulcus starts at midline and extends anteriorly and laterally in an oblique direction. The next key finding is the merging of the inferior frontal sulcus with the inferior ramus of the precentral sulcus, forming a “T” shape (4, 5). More posteriorly, the central sulcus is identified over the convexity on axial or sagittal images. It is oriented obliquely from posterior to anterior and does not extend all the way into the Sylvian fissure. Inferiorly, the precentral gyrus and postcentral gyrus merge under the central sulcus through a “U”-shaped gyrus (the subcentral gyrus). The post-central gyrus is characteristically narrower than the precentral gyrus (4, 5). Posteriorly, the Sylvian fissure is capped by the SMG, which is the anterior most portion of the inferior parietal lobule. Inferiorly, within the temporal lobe, coursing in parallel with the Sylvian fissure, is the superior temporal sulcus, which is capped posteriorly by the angular gyrus, the posterior limit of the inferior parietal lobule. The angular gyrus (Brodmann’s area 39) and posterior aspect of the superior temporal gyrus (STG) (Brodmann’s area 22) represent the primary receptive speech area (Wernicke’s area). The SMG (Brodmann’s area 40) contains fibers from the arcuate fasciculus that connect Wernicke’s and Broca’s areas (4, 5). The cingulate sulcus separates the cingulate gyrus from the medial aspect of the superior frontal gyrus. If followed posteriorly, the cingulate sulcus angles superiorly to form the pars marginalis, marking the posterior aspect of the paracentral lobule. The paracentral lobule houses the central sulcus, Broadman Areas 3,1,2 and 4,6. On axial images, the pars marginalis may be appreciated as a “bracket” (pars bracket) extending symmetrically from midline left and right. Anterior to this are the primary motor cortex and the postcentral sulcus. Areas 3,1,2 relate to the primary sensory cortex, and areas 4,6 include primary motor and supplemental motor areas (4, 5) (Figures 1 and 2).

Fig 1

Figure 1 Axial T2-weighted MRI showing the middle frontal gyrus (MFG), superior frontal gyrus (SFG), superior frontal sulcus (SFS), central sulcus (CS), supplementary motor area (SMA), postcentral sulcus (PCS), pars bracket (PB), hand motor area (HMA), and proximal leg area (PLE).

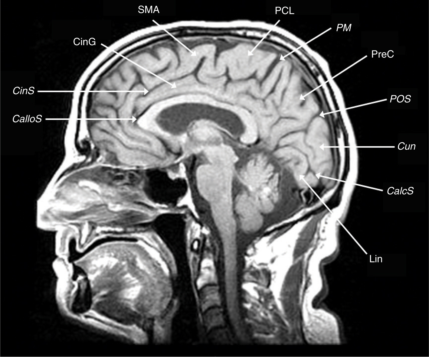
Fig 2

Figure 2 Midline sagittal T1-weighted MRI scan showing the callosal sulcus (CalloS); cingulate sulcus (CinS); cingulate gyrus (CinG); supplementary motor area (SMA); paracentral lobule (PCL); pars marginalis (PM); precuneus (PreC); parietal-occipital sulcus (POS); cuneus (Cun), calcarine sulcus (CalcS), lingula (Lin).

FUNCTIONAL MRI

Functional MRI (fMRI) is a noninvasive imaging procedure that allows one to localize speech, language, and motor centers through blood oxygenation-level-dependent (BOLD) contrast imaging (6, 7). It relies on two principles: local tissue magnetic fields and blood flow. With task-related activation, cerebral cortical tissue will augment its own blood flow via autoregulation, increasing local oxyhemoglobin relative to deoxyhemoglobin. Deoxyhemoglobin is paramagnetic; therefore, its relative decrease locally causes less distortion of the local tissue magnetic field, thereby increasing the strength of the MRI signal. A statistical significance is ascribed to this change in signal and color coded and is superimposed on standard anatomical MRI images allowing localization of critical and eloquent areas. Several sensory, motor, and language paradigms may be used to identify eloquent cortex (6, 7). For identification of sensory areas, the subject’s fingers are stimulated with a course plastic surface. A checkerboard pattern is used to activate the visual cortices. For motor testing, finger-thumb tapping is an excellent task to activate the precentral gyrus and supplementary motor areas (SMAs). Active and passive (silent) speech allow for identification of Broca’s and Wernicke’s areas. These paradigms have excellent sensitivities for the ascribed tasks and localizations can be confirmed with intraoperative cortical stimulation, and/or WADA testing.

While fMRI is useful in delineating functional cortical anatomy, subcortical white matter tracts can be outlined using diffusion tensor imaging, which can be used for preoperative planning. Diffusion tensor imaging is based on the anisotropic diffusion of water molecules in white matter tracts; color codes depict the directionality of the tract. It is a robust modality that provides useful information as to the deformation and displacement of a subcortical pathway or infiltration of that pathway. Particularly in the latter case, surgical removal is purposely restrained to avoid a permanent neurological deficit. The combination of preoperative structural imaging, fMRI, and DTI allows the surgeon to create a plan and counsel a patient and his/her family regarding the surgical approach and the goal and risks of surgery (8).

Magnetoencephalography

Synchronized neuronal currents induce weak magnetic fields that can be detected with multichannel sensors placed over the patient’s scalp (911). Superconducting quantum inference devices (SQUIDS) allow detection of small cortical field differences and large shielded rooms cooled by liquid helium and are used to minimize distortion of signal from outside magnetic fields. Mathematical models infer the location of signal generators on the cortex, overlaying them on synchronized MR images. Magnetoencephalography (MEG) has been utilized in localization of seizure foci, language centers, and primary somatosensory cortices (911). One technique involves placement of standard fiducial markers on the patient’s scalp, completion of an MRI, and integration of MRI and MEG studies, yielding a magnetic source image (MSI), that can be integrated with standard intraoperative navigation systems.

Transcortical Magnetic Stimulation

Transcortical magnetic stimulation (Tms) is a modality that allows preoperative definition of the primary motor cortex and subcortical pathways. A high precision stimulation coil held to the patient’s head delivers biphasic magnetic stimulation to spots on the motor cortex eliciting motor-evoked potentials in the contralateral limb that may be recorded and analyzed. When combined with fMRI and structural MRI navigation, there is a reasonably high degree of accuracy of localization of the primary motor cortex, particularly in the region of the hand representation in the precentral gyrus. The magnetic coil stimulation is typically performed on both hemispheres and recording electrodes are attached to the key muscles such as the abductor pollicis brevis, first digital interosseous, adductor digiti minimi, and the tibialis anterior muscles. This is a reliable preoperative, noninvasive method of establishing the primary motor cortex in glioma resection, with a good concordance with intraoperative direct cortical stimulation mapping responses (12).

Positron Emission Tomography

This modality depends on the detection of gamma rays (photons) emitted through the collision of positrons and electrons following injection of a radioactive tracer. Cerebral blood flow, volume, oxygen use, glucose transport, protein metabolism, and other characteristics can be detected and localized. For cerebral functional localization, the isotope 15O is injected intravenously; as local blood flow increases to an activated region of cortex, higher concentrations of tracer will be detected (13). Baseline gamma emission levels are compared to those during stimulation and statistical analysis determines if regional activation is significant (P > 0.05).

Neuropsychological Assessment

Neuropsychological evaluation is the use of standardized tests for cognitive, perceptual, motor, and psychological functions in order to characterize brain systems according to the American Academy of Neurology (1). These tests measure general intellectual ability, skills pertaining to school or job performance, and psychological adjustment. Preoperative neuropsychological evaluation in awake craniotomy cases helps select patients who have the necessary cognitive skills and behavioral control necessary for cooperating with the functional assessment during surgery. Second, preoperative testing establishes a baseline for quantifying treatment outcome. Third, it helps inform the surgical plan. In the case of a dominant hemisphere lesion, testing will quantify the degree, if any, of preoperative language or sensorimotor impairment. Findings referable to the regional effects of the brain lesion serve either to corroborate or contradict expected functional neuroanatomy. Findings may also supplement functional imaging by demonstrating more narrow or more diffuse involvement of critical skills than suggested by fMRI. Following surgery, repeat neuropsychological evaluation allows sensitive tracking of recovery and is a measure of treatment outcome; it can characterize residual deficits, identify behavioral changes, and guide services for the patient and family. The assessment focuses on domains relevant to the location of the tumor and subsequent surgery and the impact on functions relevant to the patient’s resumption of his or her premorbid role.

Surgical Considerations

Patients with gliomas located in eloquent parts of the brain essential for language or motor function are candidates for intraoperative cortical mapping (3, 1416). Commonly, these eloquent zones include the posterior frontal or anterior parietal lobe in either hemisphere; or the insula, inferior frontal; or superior temporal gyri in the dominant hemisphere. Occasionally, preoperative functional imaging may suggest eloquent areas beyond these confines, indicating the need for surgical mapping. Motor mapping may be done with the patient awake or asleep, while language mapping is always done awake, which requires a patient to be calm and cooperative (3, 1416). Apprehensive or uncooperative patients, or those with airway or chronic pulmonary problems, may not tolerate being awake during surgery (2, 17). Coagulopathy, bleeding diathesis, or severe systemic illness is the general contraindication to elective cranial operations. Morbid obesity is also a relative contraindication while systemic illness such as cardiac or pulmonary problems may also be a significant factor. A patient who cannot identify simple objects or read simple phrases is also not a candidate for intraoperative speech mapping. In these individuals or in children, cortical mapping may be done with surgically implanted subdural grids with stimulation performed extraoperatively in a video-monitored electroencephalographic (EEG) suite over several days. The presence of functioning or mature neurons that respond to electrical stimulation is essential. Patients with a fixed or profound neurological deficit such as hemiplegia, or receptive or expressive aphasia, are not candidates for cortical mapping. Similarly, children under 7 years of age may have cortical sites not mature enough to respond to electric stimulation.

Surface Anatomical Landmarks

Knowledge of scalp and cranial landmarks allows determination of the relationship of the lesion with the motor strip, language areas, ventricles, thalamus, basal ganglia, and their projecting fibers (1, 3, 1821). Surface landmarks easily identified are the glabella, nasion, frontozygomatic (FZ) point, root of the zygoma, mastoid process, inion, and midline, indicating location of the sagittal suture. The FZ suture marks the FZ point situated on the upper part of the lateral orbital rim just below the junction of the frontal and zygomatic bones. The coronal suture may be palpable; if not, the upper end of the coronal suture is just anterior to the tragus of the ear and the lower end is in line with the midpoint of the zygomatic arch. The central sulcus lies 4–6 cm behind the coronal suture and at 45° to the orbitomeatal plane sloping anteriorly and inferiorly. The squamosal suture turns inferiorly just past the central sulcus; the central sulcus may also be approximated by joining the upper and lower rolandic points. The upper rolandic point lies approximately 2 cm behind the midpoint of a line extending from the nasion to the inion (N-I line) or straight up in line with the external auditory meatus (EAM). The lower rolandic point lies 2–3 cm behind the pterion, or about 5 cm above the EAM. The upper end of the precentral gyrus lies almost straight up from the EAM near the midline (1, 3, 19).

The pterion is about 2–3 cm behind the FZ point along the stem of the Sylvian fissure and 3 cm above the zygomatic arch. The Sylvian fissure lies along a line extending from the FZ point toward the junction of the anterior 3/4ths and posterior 1/4ths of the N-I line. The central sulcus and sylvian fissure meet at an obtuse angle of approximately 120°. The pars triangularis of the frontal lobe lies just above the anterior part of the Sylvian fissure, 2–3 cm behind the FZ point, or behind the pterion. The AG or inferior part of the inferior parietal lobule lies just above the pinna of the ear. The inion lies over the torcular herophili and the attachment of the tentorium to the inner table of the skull. The transverse sinus lies beneath a line connecting the root of the zygoma and the inion, and the asterion approximates the junction of the transverse and sigmoid sinuses. The superior parietal lobule lies approximately 6–7 cm above the inion and 2–3 cm lateral to the midline. The interparietal sulcus is oriented anteroposteriorly and lies 3–4 cm lateral and parallel to the midline (1, 3, 19).

Eloquent Cortex

Anatomical and functional variability is reported between individuals, and between the two hemispheres in the same individual. Such human genetic polymorphisms are most evident in frontal and parieto-occipital areas and may involve the perisylvian cortex, sylvian fissure, and planum temporale. Despite this, essential sites may be predicted by structural or functional imaging modalities, and clinical findings. This may then be used to guide surgical decision-making, and these established anatomical landmarks are of critical importance in the preoperative diagnosis, workup, and surgical treatment of cerebral gliomas (3). Notwithstanding that, and more recently with the aid of sophisticated neuroimaging modalities, a more holistic interpretation of cerebral function and the localization of various eloquent brain regions have gained popularity. The concept that the human brain is a highly sophisticated and intricately connected network that functions as a whole rather than being driven from a few select eloquent areas is supported by functional imaging studies. This concept of the human “connectome” adds another layer of complexity that goes beyond basic anatomical landmarks and is highly individual. Nonetheless, for the purpose of surgical removal of intrinsic cerebral gliomas, one has to rely on the standard concepts of essential eloquent cortex and strive for the goal of maximal safe removal of the tumor while preserving these areas.

Eloquent cortex generally implies speech, sensorimotor, and visual areas. Broca’s area lies in the pars opercularis and triangularis of the IFG Brodman’s area 44 (Figure 3). It controls the complex orofacial movements required to articulate speech and lies just anterior to motor cortex for lip, tongue, face, and larynx movements. Additional essential language sites in the dominant hemisphere can extend into the MFG, STG, middle temporal gyrus (MTG), or the insula. Expressive aphasia results from injury to Broca’s area, while receptive aphasia results from injury to Wernicke’s area (Figure 3). Injury to the arcuate facsiculus or white matter tracts connecting these speech areas results in conduction aphasias with impaired repetition. Injury to association cortex around the speech areas results in transcortical aphasias in which the primary function is impaired but repetition is preserved. The fusiform gyrus may also participate in speech, “basal temporal language area,” although deficits from surgical resections in this area typically recover. Auditory functions are bilaterally represented and resections involving the transverse temporal gyri in one hemisphere are well tolerated. Optic radiations, representing the inferior half of the contralateral retina, loop forward over the temporal horn before arching back toward the striate cortex in the banks of the calcarine fissure. Temporal resections that encroach upon these fibers cause a contralateral upper outer quadrantonopsia, a “pie-in-the-sky” defect, which is also well tolerated (3, 1821).

Fig 3

Figure 3 Lateral sagittal T1-weighted MRI scans. Pars triangularis (Pars Tr), pars opercularis (Pars Op), posterior horizontal ramus of the sylvian fissure (PHR), and supramarginal gyrus (SMG). Subcentral gyrus (SCG), precentral gyrus (PCG), central sulcus (CS), postcentral gyrus (PoCG), supramarginal gyrus (SMG), angular gyrus (AG), and superior temporal sulcus (STS).

Primary motor and sensory function reside in the precentral and postcentral gyri, respectively, and variability in sensorimotor cortex is less common. Awake mapping is an option in these cases; motor sites can be mapped with the patient asleep under nonparalytic general anesthesia. Injury to the primary motor cortex will result in paresis involving the face, upper extremity, or lower extremity. The nondominant face motor cortex has bilateral cortical representation, and resections in this area may be better tolerated. The SMA on the medial aspect of the frontal lobe lies anterior to the primary leg motor cortex and extends down to the cingulate gyrus; it has a role in planning, initiation, and execution of movements, and in the dominant hemisphere it participates in expressive speech function. Resections involving the SMA in either hemisphere may cause contralateral hemiparesis or plegia but this generally improves over 4–8 weeks, although some residual deficits such as apraxia, hesitancy, and difficulty initiating movements may persist. Tumor resections from the dominant or left SMA may be complicated by expressive aphasia; this also reportedly recovers 1–2 weeks after surgery, but some deficits such as hesitations, word-finding difficulties, perseveration, dysnomia, and dysgraphia may persist. Exner’s area lies lateral to the SMA and superior to Broca’s area; it integrates functions essential for writing and that may be affected by resections in this area. The frontal eye fields responsible for saccadic and voluntary eye movements to the opposite side are located just in front of the precentral sulcus, anterior to the SMA. The prefrontal cortex serves intellectual and social functions bilaterally; deficits from resections in these areas are better tolerated than speech and motor impairments (3, 1821).

The parietal lobe is marked by the central sulcus anteriorly and the Sylvian fissure inferiorly. Over the convexity, the parietal lobe blends imperceptibly into the occipital lobe. The inferior parietal lobule contains the SMG and AG that constitute the receptive speech area of Wernicke on the dominant side. The occipital lobe has a roughly pyramidal shape. The occipital pole lies at the junction of the posterior end of the falx cerebri and tentorium; the visual cortex is close to the occipital pole in the banks of the calcarine fissure. A contralateral, congruent, visual field deficit such as a homonymous hemianopsia follows surgery in this location. The AG lies 3–4 cm lateral and anterior while the preoccipital notch lies 6–7 cm lateral to the occipital pole and midline just behind the vein of Labbe. Speech comprehension problems may result from resections that stray into these areas. Surgery involving the somatosensory cortex may result in contralateral parietal sensory loss with astereognosis, graphesthesia, and impaired two-point discrimination. Further posterior, the parietal lobe has an important heteromodal association capacity, integrating visual, auditory, and perceptual modalities and providing an awareness of the body and extrapersonal space, particularly on the nondominant side. Damage to the dominant inferior parietal lobule causes Gerstmann’s syndrome (finger agnosia, right–left confusion, acalculia, and agraphia without alexia) (3, 1821).

The insula lies buried under the frontal, parietal, and temporal opercula (22). The circular sulcus forms an incompletely defined peripheral insular margin. The central sulcus of the insula divides it into anterior and posterior components with numerous short and long gyri and sulci interspersed within. The insula is supplied by small arteriolar branches of the M2 segment of the middle cerebral artery (MCA), which lies draped over it. Deep to it are the extreme capsule, claustrum, external capsule, and basal ganglia. At surgery, the superior and deep margins of the insula are hard to define. Gliomas may be confined to the insula or extend into the adjacent opercula and deeper structures. With dominant hemisphere lesions, speech or motor problems may be noted as a result of opercular injury. Vascular injury or vasospasm, or injury to deep white matter tracts at the superior and medial aspects of the tumor, will also contribute to these problems. Nondominant hemisphere resections may have motor weakness through similar mechanisms even though motor function may not be consistently elicited by insula stimulation.

Memory depends on the integrity of the mesial temporal structures of the dominant hemisphere, in particular the hippocampus. Chemical inactivation of the hemisphere harboring the lesion with intracarotid sodium amytal injection (WADA test) can determine its role in language and memory function, and also determine whether the contralateral hemisphere can support these functions following surgery. Limitations of the WADA test are inadequate perfusion of mesial temporal structures, underestimation of the contribution of lateral temporal neocortical structures to memory, and possible vascular complications from angiographic studies. Alternative noninvasive tests for memory function include fMRI and neuropsychological testing, but the WADA test remains the gold standard (1, 3).

Surgical Technique

The best surgical corridor to a lesion is the shortest and the most direct route through noneloquent cortex (3). Cortical draining veins and arterial structures are preserved when possible. Trans-sulcal or trans-gyral approaches are used as needed and with careful attention to deeper structures. The deep end of cerebral sulci is usually directed toward the lateral ventricle; the collateral sulcus, for example, is an excellent path to the temporal horn. The sylvian and interhemispheric fissures are also safe corridors to deep lesions. Retraction injury to the gyral banks of the sulcus may occur and one may encounter arteries that require sacrifice without knowledge of the cortical territory supplied with resultant unexpected deficits; hence, this approach is not without risks. Trans-gyral approaches sacrifice cortical tissue but are undertaken through the crest of a gyrus that is stimulated and determined not to contain essential eloquent tissue. The SFG, MFG, MTG, ITG, and SPL are safe corridors. Knowledge of the ventricular anatomy is also useful to access deep lesions. The outer margin of the lateral ventricle in a nonhydrocephalic adult or child over 7 years of age lies 4–5 cm deep to the convex pial surface. The frontal horn extends 1–2 cm anterior to the coronal suture in the mid-pupillary line and lies deep to the IFG. A pre-coronal route at least 2–3 cm lateral to the midline through the SFG or MFG is safe. The temporal horn is deep to the MTG and the atrium lies deep to the SMG. Keen’s point, 3 cm above and 3 cm behind the pinna of the ear, is used to approach a lesion in or around the atrium of the ventricle (3).

Frontal lobe resections stay 1–2 cm away from positive speech or motor response sites. The rolandic and other large cortical draining veins are preserved and injury to the pericallosal vessels is avoided. Nondominant hemisphere temporal tumor resections extend 6 cm behind the temporal pole; on the dominant side, the resection is limited to the anterior 4–5 cm. The posterior limit is just anterior to the vein of Labbé and speech sites are similarly respected with a 1–2 cm margin. In the absence of temporal speech sites, the resection can extend all the way to the pial bank of the sylvian fissure, protecting the MCA and its branches. Neuropsychological and functional testing for memory localization is done before undertaking dominant hemisphere temporal lobe lesion resections; mesial temporal structures posterior to the amygdala are not removed unless the contralateral hemisphere can unequivocally support memory function. A postoperative contralateral superior quadrantanopia may follow temporal lesion resections that extend to the temporal horn of the lateral ventricle. The superior parietal lobule, 6–7 cm above the inion and 3 cm lateral to the midline, is a safe access route, with care to avoid injury to the vein of Trolard. Resection of occipital tumors can safely extend 3 cm away from the occipital pole with a resultant contralateral congruous homonymous hemianopia. Beyond that, resections may encroach on the posterior reaches of Wernicke’s area and may affect comprehension of language on the dominant side and of prosody on the nondominant side (3).

Awake language and motor mapping help reduce morbidity with insular tumor resections, especially on the dominant side (22). The Sylvian fissure is split and the superior and inferior peri-insular sulci provide dissection planes above and below the tumor, respectively. The lateral lenticulostriates define the medial resection plane but are sometimes hard to clearly identify or are obscured by the tumor bulk (22). The safe posterior border is the posterior limb of the internal capsule which may be identified by subcortical stimulation. On the dominant side, resection should not be taken posterior to any language sites. The tumor is resected piece-meal between the MCA perforators in a subpial fashion with sacrifice of small arteries supplying the tumor and insula. Subtle perturbations in motor or speech function truncate the resection at that point. With dominant hemisphere lesions, speech or motor problems may result from frontal or temporal opercular retraction, manipulation spasm of the MCA or interruption of the lateral lenticulostriate or opercular MCA branches, or injury to deep white matter tracts at the superior and medial aspects of the tumor (Figure 4). Nondominant hemisphere resections may have motor weakness through similar mechanisms even though motor function may not be consistently elicited by insula stimulation. With tumors involving the frontal or temporal opercula, a transopercular approach to the insula is a reasonable option (3).

Fig 4

Figure 4 Coronal T2-weighted MRI scan showing the superior frontal gyrus (SFG), middle frontal gyrus (MFG), inferior frontal gyrus (IFG), superior peri-insular sulcus (SPS), inferior peri-insular sulcus (IPS), superior frontal sulcus (SFS), inferior frontal sulcus (IFS), sylvian fissure (SyF), superior temporal gyrus (STG), superior temporal sulcus (STS), middle temporal gyrus (MTG), inferior temporal gyrus (ITG), and collateral sulcus (Colls).

Surgical Navigation

Frameless stereotactic localization is a standard with accuracy within 2–3 mm and is cross-checked against anatomical landmarks. Contrast-enhanced T1-weighted images are used, but with nonenhancing lesions T2-weighted images are used for navigation. Brain shift with cranial opening, CSF egress, and lesion resection places limitations on the accuracy of intraoperative neuronavigation systems. The use of intraoperative ultrasound (e.g., 7.5Hz, SSD-1700 Dynaview, Aloka Co., Tokyo, Japan) helps overcome some of these problems, but the resolution and spatial localization with ultrasound is not optimal.

Malignant gliomas have a relative bold echogenicity, allowing distinction from the adjacent cortex. However, low-grade gliomas may be hard to distinguish from the adjacent cortex with similar echogenic properties. Co-registration of ultrasound and preoperatively obtained MRI images is feasible but not universally available or routinely employed. Intraoperative MRI (iMRI) is an option at some institutions; however, the special setup required to operate with the patient awake may not be compatible with the iMRI environment. Ancillary equipment utilized in mapping procedures, such as electrodes and EEG machines, also preclude the use of iMRI. Cavitron ultrasonic aspiration (CUSA) provides rapid debulking with minimal trauma to adjacent tissues; we usually obtain samples for frozen and permanent sections before using the CUSA.

Electric Stimulation Mapping

SOMATOSENSORY EVOKED POTENTIALS

Direct measurement of cortical activity is done with an eight-contact surface platinum-electrode strip which samples the quasi-random electric potentials of the superficial layers of the cerebral cortex (3, 2325). The somatosensory evoked potential (SSEP) is generated by giving a timed sensory stimulus at the level of the wrist using 20 mm diameter silver/silver-chloride electrodes. Stimulation is delivered at intensities ranging from 5 to 15mA, with a stimulation duration of 2 msec at frequencies ranging from 4 to 7 Hz, averaging up to 1000 trials per response. This stimulus elicits a depolarization wave that travels to the sensory cortex and elicits a localized electrical response that is filtered, amplified, and computer averaged to generate a standardized response which stands out from background electrical activity. Stimulation of the median or ulnar nerve in an adult will generate a cortical response with negative polarity 20 ms later; this response is termed the N20 with a maximal localized response recorded over the hand area in the postcentral gyrus. The electrodes in the platinum-electrode strip traversing the central sulcus are connected in series. Thus, a signature switch in polarity of the N20 response is recorded and indicates the presumed location of the central sulcus.

While reasonably accurate, SSEP localization of the central sulcus may be compromised by the presence of a tumor or peritumoral edema. Phase reversal may occur up to 10 mm or one sulcus away from the central sulcus. fMRI, MEG, or positron emission tomography may show activation at sites that participate in a particular behavior, rather than purely essential sites. These preoperative imaging data sets are also susceptible to inaccuracies related to the nature of functional task and the patient’s ability to carry it out. When translated into the operative environment, spatial errors may result from brain shift with cranial bone opening, cerebrospinal fluid egress, and tumor resection. SSEP accuracy may also be affected by the type of anesthesia utilized and the temperature of the patient; high-dose inhalational anesthetic techniques may produce a dose-related decrease in amplitude and increased waveform latency. Opioids alter cortical SSEPs but changes are much less marked than with inhalational agents. Body temperature will also change waveform characteristics with lower temperatures, producing changes in waveform latency. Maintenance of normothermia is a key consideration when using SSEP to localize the central sulcus (2325).

DIRECT CORTICAL STIMULATION

Direct cortical stimulation (DCS) interrupts local cortical activity, identifying areas whose function is essential for a particular behavior at that point in time. Application of an epicortical electric current activates excitatory and inhibitory neurons and associated pathways. In some instances, the stimulus may induce a depolarization neuronal blockade. Constraints for stimulation include limited cortical sampling and current spread to nonessential sites. Despite this, DCS is the most accurate way to map essential eloquent sites and is used to confirm location of sensory, motor, and language cortex (3, 2325). The Ojemann bipolar electrode is used, which consists of 1 mm round tips which are 5 mm apart. Stimuli are delivered as a biphasic square wave in 1 msec pulses at a frequency of 60 Hz, with amplitudes ranging from 2 to 12 mA, although stimuli up to 18 mA have been described (2). Higher stimulation thresholds have a greater chance of eliciting motor responses or inducing speech arrest but run the risk of also inciting seizure activity or producing significant cortical depolarization which then decreases the possibility of response to the next stimulus. It thus is a fine art to pick the best stimulation threshold that can achieve the objective of cortical mapping without the risk of eliciting seizures or prolonged depolarization.

Optical imaging studies indicate that the stimulated zone is confined to the area between the electrode tips with no significant histopathological sequelae reported. The eight-point platinum-electrode strip used for SSEP is also used to monitor continuous EEG activity for stimulation-induced epileptiform after-discharges. This phenomenon of clinically evident seizure activity may occur in 5–20% of cases, generally during stimulation of the face and hand motor cortex. It manifests as a focal motor seizure involving the contralateral face and extremities. In most instances, the seizure subsides spontaneously with cessation of stimulation. If persistent, ice-cold Ringer’s lactate solution is dripped onto the stimulated area which is effective in 5–10 s without compromising subsequent mapping or clouding the patient’s sensorium. Stimulation is resumed at a lower current after normal EEG activity is noted. All sites are repeatedly stimulated at currents effective in obtaining a motor response or altering speech function but not eliciting after-discharges. Subcortical stimulation is performed using a similar technique to ascertain the integrity of the descending motor pathways. Most essential sites have a surface area of 2 cm2 or less with relatively sharp boundaries although 2–3 noncontiguous essential sites may exist for the same function (3).

In children, immaturity of the cerebral cortex may cause difficulty in obtaining stimulation responses due to the lack of myelination of major tracts. This may be overcome by increasing the stimulus intensity, but this may predispose to after-discharges or clinical seizures, and hence SSEP localization is preferred. In patients not suitable for intraoperative mapping, electrode grids or strips may be implanted and stimulation performed. Standard grids are 9 cm long and 7 cm wide; hence, the cortical exposure should be large enough to accommodate these dimensions. Smaller grids may be used for basal temporal or interhemispheric recordings. These electrode arrays have multiple contact points, 12 mm2 in size, 1 mm apart, and can be arranged in various configurations. Individual electrodes may be stimulated in an extraoperative setting in a special video-EEG equipped suite in 1–3 h sessions, 1–2 times a day, testing for language, motor, and sensory function (3).

Language tasks are multiple items of approximately equal difficulty that the patient is comfortable handling in the absence of stimulation and require only a few seconds to answer or complete. Object naming is disrupted in all aphasic syndromes; other tasks include counting, comprehension, and repetition. Speech errors include hesitation, slurring, anomia, problems with comprehension, repetition, or arrest. Stimulation of the primary motor and sensory cortex results in localized movements or dysesthetic sensation, respectively, in the contralateral extremity. Stimulation-associated seizures are more common with motor cortex stimulation in the vicinity of the face motor cortex, while stimulation of the primary visual cortex causes localized flashes or phosphenes in the contralateral visual field. Stimulation of association cortex may not result in such positive phenomena but instead may disrupt performance of a task, such as speech arrest, with IFG stimulation. Stimulation of the SMA causes somewhat unpredictable effects; it may not only result in contralateral extremity movements or sensory phenomena but may also paradoxically result in the arrest of movement or speech. Tonic, rather than clonic, movements occur with premotor cortex activation.

Voluntary or induced cortical activation may be analyzed at surgery using an optical imaging technique that reflects vascular and metabolic changes coupled with neuronal activity. Optical imaging of intrinsic signals (OIS) depicts changes in blood volume, oxygenated hemoglobin, cellular swelling, and cytochrome activity within an activated gyrus, using a charge-coupled device camera mounted via a custom adapter to the video monitor port of a standard surgical microscope (26). This promising technique relies on complex vascular and metabolic parameters but discordance with preoperative fMRI and to a lesser extent intraoperative SSEP has been reported. Subcortical pathways may be visualized using anisotropic diffusion-weighted imaging that relies on the direction of water molecule diffusion in white matter. Craniocaudally oriented white matter pathways, such as the corticospinal tract, are depicted and this information is integrated into the intraoperative neuronavigation system.

Conclusion

Cortical mapping techniques for the maximal safe resection of gliomas of all grades are valuable in minimizing surgical morbidity and maximizing resection of neoplastic elements that have an impact on the progression-free survival and overall survival of these patients. They have been repeatedly validated and refined and continue to improve particularly with expanding neurological, functional, and metabolic imaging capabilities and improved resolution. It is hence essential that practicing neurosurgeons involved in the care of these patients are familiar with these techniques and are capable of deploying them when necessary.

Conflict of interest: The authors declare no potential conflicts of interest with respect to research, authorship, and/or publication of the article.

Copyright and permission statement: To the best of our knowledge, the materials included in this chapter do not violate copyright laws. All original sources have been appropriately acknowledged and/or referenced. Where relevant, appropriate permissions have been obtained from the original copyright holder(s).

REFERENCES

  1. Benedict W, Primeau M, Blodgett-Dycus C, Thulborn KR, Prabhu VC. Cortical mapping in the resection of cerebral gliomas – Preoperative planning. Contemp Neurosurg. 2006;28(26):1–6. http://dx.doi.org/10.1097/00029679-200612310-00001
  2. Prabhu VC, Benedict W, Primeau M, Blodgett-Dycus C, Macken M, Hacein-Bey L, et al. Cortical mapping in the resection of cerebral gliomas – Surgical considerations. Contemp Neurosurg. 2007;30(2):1–6.
  3. Prabhu VC, Vargas C, Benedict W, Owen K, Jellish WS. Cortical mapping in the resection of cerebral gliomas – Anesthetic considerations. Contemp Neurosurg. 2007;29(1):1–6. http://dx.doi.org/10.1097/00029679-200701150-00001
  4. Naidich TP, Valavanis AG, Kubik S. Anatomic relationships along the low-middle convexity: Part I – Normal specimens and magnetic resonance imaging. Neurosurgery. 1995;36(3):517–32. http://dx.doi.org/10.1227/00006123-199503000-00011
  5. Naidich TP, Brightbill TC. The Pars Marginalis: Part I A “bracket” sign for the central sulcus in axial plane CT and MRI. Int J Neuroradiol. 1996;2:3–19.
  6. Ogawa S, Tank DW, Menon R, Ellermann JM, Kim SG, Merkle H, et al. Intrinsic signal changes accompanying sensory stimulation: Functional brain mapping with magnetic resonance imaging. Proc Natl Acad Sci U S A. 1992;89(13):5951–5. http://dx.doi.org/10.1073/pnas.89.13.5951
  7. Hirsch J, Ruge MI, Kim KH, Correa DD, Victor JD, Relkin NR, et al. An integrated functional magnetic resonance imaging procedure for preoperative mapping of cortical areas associated with tactile, motor, language, and visual functions. Neurosurgery. 2000;47(3):711–21; discussion 721–2.
  8. Duffau H, Capelle L, Denvil D, Sichez N, Gatignol P, Taillandier L, et al. Usefulness of intraoperative electrical subcortical mapping during surgery for low-grade gliomas located within eloquent brain regions: Functional results in a consecutive series of 103 patients. Neurosurg. 2003;98(4):764–78. http://dx.doi.org/10.3171/jns.2003.98.4.0764
  9. Pataraia E, Baumgartner C, Lindinger G, Deecke L. Magnetoencephalography in presurgical epilepsy evaluation. Neurosurg Rev. 2002;25(3):141–59; discussion 160–1. http://dx.doi.org/10.1007/s10143-001-0197-2
  10. Gallen CC, Schwartz BJ, Bucholz RD, Malik G, Barkley GL, Smith J, et al. Presurgical localization of functional cortex using magnetic source imaging. J Neurosurg. 1995;82(6):988–94. http://dx.doi.org/10.3171/jns.1995.82.6.0988
  11. Martin NA, Beatty J, Johnson RA, Collaer ML, Vinuela F, Becker DP, et al. Magnetoencephalographic localization of a language processing cortical area adjacent to a cerebral arteriovenous malformation. Case report. J Neurosurg. 1993;79(4):584–8. http://dx.doi.org/10.3171/jns.1993.79.4.0584
  12. Frey D, Schilt S, Strack V, Zdunczyk A, Rösler J, Niraula B, et al. Navigated transcranial magnetic stimulation improves the treatment outcome in patients with brain tumors in motor eloquent locations. Neuro Oncol. 2014;16(10):1365–72. http://dx.doi.org/10.1093/neuonc/nou110
  13. Bittar RG, Olivier A, Sadikot AF, Andermann F, Comeau RM, Cyr M, et al. Localization of somatosensory function by using positron emission tomography scanning: A comparison with intraoperative cortical stimulation. J Neurosurg. 1999;90(3):478–83. http://dx.doi.org/10.3171/jns.1999.90.3.0478
  14. Berger MS, Ojemann GA. Techniques for functional brain mapping during glioma surgery. In: Berger M, Weller M, editors. The Gliomas. Amsterdam: Elsevier; 2016, p. 334–78.
  15. Berger MS, Kincaid J, Ojemann GA, Lettich E. Brain mapping techniques to maximize resection, safety, and seizure control in children with brain tumors. Neurosurgery. 1989;25:786–92. http://dx.doi.org/10.1227/00006123-198911000-00015
  16. Toga AW, Ojemann GA, Ojemann JG, Cannestra AF. Intraoperative brain mapping. In: Mazziotta JC, Toga AW, Frackowiak RSJ, editors. Brain mapping: The disorders. San Diego, CA: Academic Press; 2000. p. 77–105.
  17. Kamada K, Todo T, Masutani Y, Aoki S, Ino K, Takano T, et al. Combined use of tractographyintegrated functional neuronavigation and direct fiber stimulation. J Neurosurg. 2005;102:664–72. http://dx.doi.org/10.3171/jns.2005.102.4.0664
  18. Peterson DO, Drummond JC, Todd MM. Effects of halotane enflurane, isoflurane and nitrous oxide on somatosensory evoked potentials in humans. Anesthesiology. 1986;65:35–40. http://dx.doi.org/10.1097/00000542-198607000-00006
  19. Greenberg M. Surface anatomy of the cranium. In: Greenberg Publishing, editor. Handbook of neurosurgery. 3rd ed. Lakeland, FL: Greenberg Graphics; 1994. p. 99–101.
  20. Peuskens D, van Loon J, Van Calenbergh F, van den Bergh R, Goffin J, Plets C. Anatomy of the anterior temporal lobe and the frontotemporal region demonstrated by fiber dissection. Neurosurgery. 2004;55:1174–84. http://dx.doi.org/10.1227/01.NEU.0000140843.62311.24
  21. Barker FG II, Gutin PH. Surgical approaches to gliomas. In: Berger MS, Wilson CB, editors. The Gliomas. Philadelphia, PA: WB Saunders Co.; 1999. p. 796.
  22. Lang FF, Olansen NE, DeMonte F, Gokaslan ZL, Holland EC, Kalhorn C, Sawaya R. Surgical resection of intrinsic insular tumors: Complication avoidance. J Neurosurg. 2001;95:638–50. http://dx.doi.org/10.3171/jns.2001.95.4.0638
  23. Sartorius CJ, Berger MS. Rapid termination of intraoperative stimulation-evoked seizures with application of cold Ringer’s lactate to the cortex. Technical note. J Neurosurg. 1998;88:349–51. http://dx.doi.org/10.3171/jns.1998.88.2.0349
  24. Rostomily RC, Berger MS, Ojemann GA, Lettich E. Postoperative deficits and functional recovery following removal of tumors involving the dominant hemisphere supplementary motor area. J Neurosurg. 1991;75:62–8. http://dx.doi.org/10.3171/jns.1991.75.1.0062
  25. Petrovich N, Holodny AI, Tabar V, Correa DD, Hirsch J, Gutin PH, Brennan CW. Discordance between functional magnetic resonance imaging during silent speech tasks and intraoperative speech arrest. J Neurosurg. 2005;103:267–74. http://dx.doi.org/10.3171/jns.2005.103.2.0267
  26. Nariai T, Sato K, Hirakawa K, Ohta Y, Tanaka Y, Ishiwata K, et al. Imaging of somatotopic representation of sensory cortex with intrinsic optical signals as guides for brain tumor surgery. J Neurosurg. 2005;103:414–23. http://dx.doi.org/10.3171/jns.2005.103.3.0414