4

Surgical and Pharmacological Management of Functioning Pheochromocytoma and Paraganglioma

Maria Isabel Del Olmo García Rosana Palasí Rosa Cámara Gómez José Luis Ponce Marco Juan Francisco Merino-Torres

Endocrinology and Nutrition Department, University Hospital La Fe, Valencia, Spain

Abstract: Pheochromocytoma and paraganglioma are rare vascular neuroendocrine tumors. These tumors can synthesize and store excessive amounts of norepinephrine and epinephrine, which, when released, can produce life-threatening cardiovascular complications. Adequate evaluation, including genetic data, is crucial before surgery. The goal of preoperative management includes evaluation of cardiovascular sequelae from high levels of circulating catecholamines. Preoperative medical therapy is aimed at controlling volume expansion, hypertension, and tachycardia to avoid intraoperative hemodynamic instability. Initiation of therapy with antihypertensive agents is recommended even for normotensive patients to prevent unpredictable intraoperative hemodynamic instability. Surgical approach in these patients is often complex. An experienced surgical team is required, and several factors must be taken into account to select the best approach. Remarkable advances have been made in the surgical approach to adrenalectomy for pheochromocytomas, with a majority being performed laparoscopically and only selected cases undergo open surgery. Intraoperative management from the anesthesia team is also important to provide anesthetics that maintain hemodynamic stability. Postoperative complications may include hypotension, hypertension, and hypoglycemia and must be managed in intensive care units. This chapter describes the perioperative management of functioning abdominal pheochromocytoma/paraganglioma discussing preoperative management, surgical techniques, intraoperative pharmacological treatments, and postoperative follow-up.

Keywords: Antihypertensive medications; Functioning paraganglioma and pheochromocytoma; Perioperative management; Postoperative complications; Surgical techniques

Author for correspondence: Maria Isabel del Olmo García, Endocrinology and Nutrition Department, University Hospital La Fe, Valencia, Spain. E-mail: maribeldelolmo@gmail.com

Doi: http://dx.doi.org/10.15586/paraganglioma.2019.ch4

In: Paraganglioma: A Multidisciplinary Approach. Renato Mariani-Costantini (Editor), Codon Publications, Brisbane, Australia. ISBN: 978-0-9944381-7-1; Doi: http://dx.doi.org/10.15586/paraganglioma.2019

Copyright: The Authors.

Licence: This open access article is licenced under Creative Commons Attribution-NonCommercial 4.0 International (CC BY 4.0). https://creativecommons.org/licenses/by-nc/4.0/

INTRODUCTION

Pheochromocytomas and paragangliomas (PGLs) are rare hypervascularized neuroendocrine tumors. Pheochromocytomas arise in the adrenal gland (intra-adrenal PGLs), and the related tumors that arise in sympathetic and parasympathetic paraganglia are extra-adrenal PGLs. In this chapter, we will refer to all of them as PGLs. Some of these tumors, especially those located in the abdomen, have the potential to secrete catecholamines and therefore are associated with high hemodynamic risk and mortality when left untreated. Here we review the perioperative management of the PGLs localized in the abdomen (Figure 1).

Fig 1

Figure 1 Anatomical localization of the paraganglia and of the adrenal glands. Paragangliomas arising in ganglia of the sympathetic trunk, pre-aortical ganglia, and adrenal glands are reviewed in this chapter.

Surgery is the treatment of choice for PGL. Patients with PGL are at risk of hemodynamic instability before, during, and after surgery. Intubation, surgical incision, and manipulation of the tumor mass can precipitate a hypertensive crisis and arrhythmias, while profound hypotension, which may result in shock, can occur after tumor resection due to acute decline of catecholamine levels. Appropriate perioperative management is warranted to prevent these dangerous complications. Resecting a pheochromocytoma is a high-risk surgical procedure and an experienced surgical and anesthesia team is required. The surgical team is a cornerstone in this procedure, where improved outcomes have been associated with laparoscopic approaches compared with open surgery. Anesthesiologists need to be prepared for hemodynamic instability with close arterial blood pressure monitoring, aggressive volume infusion, and availability of rapidly acting vasodilators (1, 2). All of these peculiarities make the preoperative treatment of functioning PGLs quite challenging, and multidisciplinary management is a priority.

MEDICAL PREPARATION FOR SURGERY

Adequate preoperative preparation has drastically reduced the perioperative morbidity and mortality of patients with functioning PGLs. Without preoperative medical therapy, mortality rates are high due to lethal hypertensive crises, malignant arrhythmias, and multiorgan failures. Thus, appropriate medical preparation before surgery is essential. Patients with tumors larger than 3–4 cm, uncontrolled blood pressure, high catecholamine levels, or preoperative orthostatic hypotension have a higher risk of developing hemodynamic instability. Panels of experts recommend that all patients with functioning PGL should receive medical management to block the effects of released catecholamines. The aim of preoperative management is to control blood pressure, heart rate, and correct functioning of other organs; prevent a catecholamine storm during surgery; and restore volume depletion. Nevertheless, wide-ranging practices, international differences, variability in the approved therapies, and scarcity of evidence-based studies result in a lack of consensus regarding the recommended drugs for preoperative blockade (1, 3, 4). Currently, there are different medical approaches for patients with catecholamine-producing neoplasms. The accepted regimens are combined alpha and beta-adrenergic blockade, calcium channel blockers, and metyrosine (tyrosine hydroxylase inhibition).

COMBINED ALPHA- AND BETA-ADRENERGIC BLOCKADE

This combination is the mainstay to control blood pressure and prevent intraoperative hypertensive crises in patients with PGL. Excess catecholamine secretion leads to alpha receptor activation, severe vasoconstriction, hypertension, arrhythmias, or even myocardial infarction. Alpha-adrenergic blockade is administrated 10–14 days prior to the intervention to normalize the blood pressure and heart rate and expand the blood volume, contracted due to catecholamine secretion. This period of alpha-blockade should be longer in patients with organ damage due to long-standing catecholamine excess (e.g., catecholamine cardiomyopathy, recent myocardial infarction, bowel movement dysfunction, catecholamine-induced vasculitis, or refractory hypertension). Both competitive and noncompetitive alpha blockers can be used.

Noncompetitive, irreversible, alpha receptor blocker

Phenoxybenzamine, a noncompetitive and nonselective alpha-blocking agent, is the alpha-adrenergic drug most frequently administered for preoperative preparation in the United States. It covalently binds to alpha-1 and alpha-2 receptors with a long-lasting effect, not easily overcome by the release of catecholamines from the tumor mass. The initial dose is 10 mg orally once or twice daily, increased by 10–20 mg every 2–3 days, as needed to control blood pressure. The patient is ready for surgery in approximately 10–14 days. As the correct dose is approached, paroxysmal hypertensive episodes are brought under control and the patient becomes normotensive or even mildly hypotensive. If the initial dosage is too high, side effects occur more frequently. Patients should be warned about side effects, such as nasal stuffiness, tachycardia, dizziness, fatigue, orthostasis, and, in the case of males, retrograde ejaculation. Usually the final dose is about 1 mg/kg/day, but the daily dose is variable, from 20–100 mg/day to a maximum of 240 mg/day.

Another approach, which requires hospitalization with close monitoring, consists in the administration of phenoxybenzamine by infusion (0.5 mg/kg/day, starting 3 days before surgery). This option, unfrequently used, is generally restricted to recently diagnosed patients without damaged organs and hemodynamic stability. Due to the mechanism of action and the longer half-life of phenoxybenzamine compared to selective alpha-1 adrenergic blockers, intraoperative hemodynamics are better controlled during tumor manipulation; however, the incidence of postoperative hypotension is usually more frequent. Due to its longer half-life, the effects of phenoxybenzamine may persist up to 24–48 h after treatment interruption. Therefore, vasopressor support and intravenous fluids may be required after surgery (13, 5).

Competitive alpha-1 blocking agents

The available selective alpha-1 adrenergic drugs include prazosin, terazosin, and doxazosin. These drugs preferentially act on the alpha-1 receptors and cause vasodilatation, while tachycardia, due to binding to alpha-2 receptors, occurs to a lesser extent compared to phenoxybenzamine. However, because of their short half-life, the selective alpha-1 blocking agents may not adequately control extra catecholamine release during surgery, which can lead to an intraoperative hypertensive crisis. Therefore, these drugs should be given even on the day of surgery. However, the shorter half-life makes these inhibitors less likely to result in hypotension (more common with phenoxybenzamine) after tumor removal. In some institutions, phenoxybenzamine is used first and is replaced with selective alpha-1 adrenergic drugs 24–48 h before surgery to reduce postoperative hypotension. The competitive alpha-1 blocking agents are of special interest for patients under long-term treatment and for patients with metastatic functioning PGL.

Prazosin is the most commonly used drug. It is usually initiated at 0.5–1 mg per dose every 4–6 h and titrated to an average dose of 2–5 mg two or three times a day, up to a maximum total dose of 20–24 mg/day. Several studies have reported good preoperative control in patients with functioning PGLs prepared with prazosin.

Doxazosin is a longer duration drug (12 h) and is usually administered in one or two doses daily. It is initiated at 1–2 mg/day and titrated to control blood pressure up to a maximum dose of 16 mg/day. Despite its longer action, hypotension after tumor removal is significantly less frequent than in patients treated with phenoxybenzamine.

Terazosin is also initiated at a dose of 1 mg/day, with an average dose of 2–5 mg/day, increased up to a maximum dose of 20 mg/day depending on the goals. It has a shorter life than doxazosin. There are few reports in patients with PGL, but it may be a suitable alternative therapy to the more commonly used prazosin or doxazosin.

Overall, with selective alpha-1 adrenergic drugs, dosage can be increased as needed and titration can be achieved more quickly and with less side effects than with phenoxybenzamine. The most common side effects include vertigo, dizziness, headache, and gastrointestinal symptoms. Postural hypotension can be severe; therefore, these drugs are usually started at bedtime and with low doses (13, 5).

Beta-blockers

Beta-blockers should never be used before the initiation of alpha blockade in patients with functioning tumors, as an unopposed alpha-adrenergic effect could cause severe vasoconstriction, leading to acute cardiac failure, hypertensive crisis, and pulmonary edema. Beta-receptor antagonists are useful to counteract tachycardia induced by alpha-blocking agents, a desired side effect indicating achievement of complete alpha blockade. Beta-blockers should be added to control tachycardia not earlier than 2–3 days after its manifestation. Cardio-selective beta-antagonists, such as metoprolol and atenolol, are desirable and have less side effects than nonselective beta-antagonists. Metoprolol is given in doses of 25–50 mg three to four times a day and atenolol is administered in doses of 12.5–25 mg two to three times a day. Propranolol, a nonselective beta-blocker, is also given in doses of 20–80 mg one to three times a day (1, 2).

Labetalol has both alfa and beta receptor blocking activities. In some cases, labetalol has been used preoperatively, but it should not be the first choice for blockade. Hypertensive crises or even paradoxical episodes of hypertension may take place due to its alpha to beta fixed ratio, which is 1:7. In fact, to achieve adequate antihypertensive effect, the alpha to beta antagonistic activity should be at least of 4:1. Carvedilol is another antihypertensive drug with effects similar to those of labetalol. These drugs should not be used routinely for preoperative medication, except when traditional drugs need to be replaced, for example, due to side effects. On the other hand, labetalol reduces the uptake of 131I-metaiodobenzylguanidine (131I-MIBG), an agent used for the diagnosis and localization of PGLs. This has to be taken into consideration and, in order to avoid false negative results in scintigraphy, labetalol needs to be stopped 2 weeks before imaging is performed (5, 6).

Calcium channel blockers

Calcium channel blockers, such as nicardipine, amlodipine, nifedipine, and verapamil, provide another option for preparing PGL patients preoperatively. They inhibit norepinephrine-mediated transmembrane calcium influx into smooth muscle cells, thereby controlling hypertension and tachyarrhythmias, without causing hypotension in the normotensive state. Calcium channel blockers have three main roles in the preparation of PGL: (i) to supplement alpha blockade in patients with inadequate blood pressure control in order to limit the need of increasing the dosage of alpha blockers, (ii) to provide an alternative option for patients with severe side effects due to alpha blockers, and (iii) to treat patients with only intermittent hypertension. They may also be useful when PGL is associated with coronary vasospasm, since they may prevent catecholamine-induced coronary spasm. Amlodipine is given at 10–20 mg/day, nicardipine at 60–90 mg/day, nifedipine at 30–90 mg/day, and verapamil at 180–540 mg/day (5, 6).

Metyrosine

Metyrosine is a tyrosine hydroxylase inhibitor used in some centers to control excessive catecholamine production. Tyrosine hydroxylase is involved in the first step of catecholamine synthesis, and inhibition of this enzyme leads to decreased production of all catecholamine precursors and metabolites. Metyrosine is quite expensive and is therefore of limited access in some countries, but can offer significant perioperative hemodynamic stability, as inhibition of excessive catecholamine production will prevent the potential intra-operative swings on blood pressure control that patients experience before and after tumor resection. Depletion of catecholamine stores is usually achieved within 3 days of treatment.

Metyrosine is particularly useful in patients with metastatic PGL or with high catecholamine levels. Due to incomplete depletion of the catecholamine stores, regardless of the dose, it should be preferably used with other alpha blockers. This combination results in less labile blood pressure control during surgery, reduced blood loss, and reduced need for volume replacement, compared with alpha blocking agents used alone.

A recommended initial dose is of 250 mg orally every 8–12 h to an average of 1.5–2 g/day, after titration with 250–500 mg/day every 2 or 3 days or as necessary. Treatment should be initiated 1–3 weeks before surgery, depending on the normalization of blood pressure and heart rate. High fluid intake to avoid crystalluria is suggested for patients taking more than 2 g/day.

The most important limitations of metyrosine include limited availability, cost, which has increased dramatically and may make the use of this medication prohibitive, and side effects, which are evident at high doses. Primary side effects usually involve the central and peripheral nervous system due to the fact that metyrosine crosses the blood-brain barrier, inhibiting catecholamine synthesis. Secondary side effects include sedation, depression, anxiety, lethargy, and extrapyramidal and gastrointestinal manifestations. The extrapyramidal effects of phenothiazines or haloperidol may be potentiated by metyrosine and the use of these drugs concomitantly with metyrosine should be avoided (4, 6).

RECOMMENDED ALGORITHMS

Clinical trials that include randomized, prospective, and controlled studies comparing different pharmacological agents are lacking. Retrospective studies suggest that alpha-adrenoreceptor blockade is the preferred choice in most centers and has demonstrated its benefits in preoperative management of functioning PGL, with improved surgical outcomes. Calcium channel blockers are most often used as co-drugs, when blood pressure is not well controlled. Beta-adrenoreceptor blockers are frequently used to control tachyarrhythmia. Some institutions use metyrosine in all PGL patients, while others only use it in patients with biologically active tumors, difficult-to-treat symptoms, and signs of catecholamine excess.

Normotensive patients may often become hypertensive during surgery, and unpredictable blood pressure changes can happen intraoperatively. General recommendations are that normotensive patients should also be given alpha blockade or calcium channel blockers preoperatively. Patients in whom preoperative treatment could be avoided are those with parasympathetic head and neck PGLs that do not produce catecholamines, or those with exclusively dopamine-producing PGLs (1, 5, 6).

Goals

Recommendations regarding blood pressure and heart rate are supported by nonsystematic observational studies and personal experience, rather than by properly conducted prospective studies. Depending on institutional experience, the target blood pressure is either lower or higher. The target is to achieve a preoperative blood pressure of approximately 130/80 mmHg or less while sitting and of about 100 mmHg systolic while standing. Blood pressures lower than 80/45 should be avoided. The heart rate target should be of about 60–70 bpm when sitting and 70–80 bpm when standing (6, 7).

Other preoperative recommendations

Patients should be adequately informed about the nature of their tumor and the agents that could provoke a pheochromocytoma paroxysm (see Table 1). Some of these drugs have therapeutic or diagnostic use in PGL but are usually administered after pretreatment with appropriate antihypertensive drugs, such as alpha blockers. Catecholamine-releasing activities, such as strenuous physical activity, smoking, or alcohol consumption, should be avoided.

TABLE 1 Drugs known to provoke pheochromocytoma paroxysms

Drug class
Relevant clinical use
β-adrenergic blockers Used to treat symptoms from catecholamine excess, such as hypertension, cardiomyopathy, and migraine
Opiate analgesics Induction of surgical anesthesia
Sympathomimetics Decongestants, anti-obesity agents, control of low blood pressure during surgical anesthesia
Dopamine D2 receptor antagonists Control of psychosis, hot flushes, nausea, vomiting, and tranquilizing effect
Tricyclic antidepressants Insomnia, nocturnal enuresis, headaches, neuropathic pain, and depression
Serotonin and norepinephrine reuptake inhibitors Depression, anxiety, panic attacks, and anti-obesity agents
Monoamine oxidase inhibitors Not usually used as antidepressants
Chemotherapeutic agents Treatment of malignant paraganglioma
Neuromuscular agents Induction of surgical anesthesia
Peptide and steroid hormones Diagnostic testing

 

A detailed personal history, familial history, physical examination, and a complete laboratory examination should be assessed. Also, an accurate cardiac evaluation is essential in the preparation of a patient with pheochromocytoma for surgery. The aim of this evaluation is to detect the presence of cardiomyopathy or coronary artery disease. In young patients, preoperative ECG is usually sufficient. Assessment of reduced myocardial contractility using Doppler echocardiography may be useful to predict the risk of perioperative collapse.

The patient is encouraged to start with normal- to high-salt diet (>5000 mg/daily) and fluid intake. This is usually initiated 3 days after alpha blockade initiation. This aims at avoiding postural hypotension by restoring blood volume, usually diminished in these patients. A physical examination and blood analysis, including hemogram, could be done to check volume expansion. Volume expansion may be contraindicated in patients with congestive heart failure or renal insufficiency. In patients with a large left adrenal pheochromocytoma, splenectomy is likely necessary; therefore, vaccination against meningococcus, pneumococcus, and Haemophilus influenzae should be administered (4, 8).

HOSPITAL ADMISSION

In most centers, the patient is admitted the day before surgery. Depending on previous therapy and on the institution, pharmacological management may differ. Usually, if treatment is with phenoxybenzamine or metyrosine, the last dose is administered the midnight before surgery. When alpha-1 blockers, which have shorter action, are used, the last dose should be administered the same day of surgery (Figure 2). The patient should be instructed to stay in bed with the rails raised to prevent fall due to hypotension. Continuous administration of 0.9% saline (1–2 L) should be started the evening before surgery to expand the intravascular volume and reduce frequency and severity of hypotension. Volume expansion may be contraindicated in patients with congestive heart failure or renal insufficiency. In patients with resistant hypertension o hypertensive crisis, sodium nitroprusside and labetalol or phentolamine should be necessary (4, 6, 8, 9).

Fig 2

Fig 2a

Figure 2 Preoperative treatment options. Option 1: Preferred in most centers; Option 2: Not so frequently used or used for low-risk patients.

SURGERY

In view of possible malignant progression and complications due to elevated catecholamine levels and local invasion, the choice of treatment of functional PGLs is complete surgical excision. Observational studies have clearly shown that minimally invasive surgery decreases blood loss, postoperative morbidity, hospital stay, analgesic requirements, and expenses, as compared with conventional open resection. The laparoscopic approach to the adrenal gland is the procedure of choice for patients with solitary intra-adrenal PGLs that have no malignant radiologic features and are below 10 cm in diameter. Extra-adrenal PGLs are more likely to be malignant. They frequently arise in anatomic sites unsuitable to laparoscopic resection; therefore, open surgery is usually recommended. The laparoscopic approach could be performed by experienced surgeons for small, noninvasive PGLs in surgically favorable locations (911).

Operative technique

The decision of which approach to use will depend on several factors, including tumor localization, size, possibility of malignancy, unilateral or bilateral presentation, presence of multiple synchronic PGLs, metastatic disease, and individual characteristics of the patient (body habitus and body mass index). To assess the probable risk of malignancy and the risk of metachronous PGLs, it is important to know if the disease is familiar or sporadic. The two most common laparoscopic approaches are the lateral transabdominal/transperitoneal and the posterior retroperitoneal approach; choice depends primarily on the experience and preference of the surgeons.

The posterior retroperitoneal approach is preferred in patients who have undergone prior abdominal surgery and have significant intra-abdominal adhesions. Robot-assisted removal is also safe and feasible, but it does not appear to provide significant advantages over laparoscopic resection.

Transabdominal laparoscopic adrenalectomy and paraganglioma resection

Transabdominal laparoscopic adrenalectomy is the most common laparoscopic approach. The main advantage is larger working space that allows intra-abdominal evaluation and provides more room for dissecting large tumors. The procedure is performed by placing the patient in lateral decubitus, with the operating table flexed and the trocars placed below the costal margin. Three ports are inserted on the left side, while a fourth is used on the right side for the hepatic separator. On both sides, Harmonic or Ligasure scalpels are used to facilitate dissection.

Left adrenalectomy

For left adrenalectomy, the splenic colonic flexure is mobilized and the lateral splenic arteries are divided, performing a medial rotation of the spleen and of the body and tail of the pancreas, which exposes Gerota’s fascia and opens an avascular plane between the posterior aspect of the pancreas and the adrenal gland. The adrenal vein, the inferior phrenic vein, and the common vessel are exposed and ligated with two clips or with the help of a Harmonic or Ligasure scalpel. The caudal end of the adrenal is then elevated, separating it from the renal vessels and dissected along the medial, superior, and inferior sides, separating it from the kidney and completing the resection. Any residual areolar adhesion is sectioned and, finally, the gland is extracted with a commercial extractor bag. The adrenal bed is irrigated and aspirated completely, and hemostasis is checked.

Right adrenalectomy

The triangular ligament to the right lobe of the liver is sectioned to allow complete medial separation of the liver, which allows to visualize the adrenal and the inferior vena cava. Subsequently, the peritoneum that lines the lateral border of the inferior vena cava is incised and bluntly and gently separated from the adrenal gland. The adrenal vein is exposed, ligated, and sectioned between clips. Next, the upper pole is mobilized to separate the gland from the diaphragm, including the hemostasis of the branches of the inferior phrenic artery. Then, it is necessary to control the additional veins that are at the junction between the medial and the superior portions of the gland. The caudal face of the gland is exposed using the distal portion of the right renal vein as a reference. This is dissected and elevated, which sometimes exposes a branch of the renal artery to the adrenal gland that is sectioned (1115). As in left adrenalectomy, the gland is extracted with an extractor bag.

Partial adrenalectomy

Up to 40% of all PGLs are known to be associated with hereditary syndromes. These syndromes (MEN2 and VHL) have a higher incidence of bilateral disease. To preserve the adrenal cortex in order to prevent permanent hypocortisolism and the risk of an Addisonian crisis, partial adrenalectomy is recommended for patients with hereditary and/or bilateral tumors and for patients who have previously undergone complete contralateral adrenalectomy. Furthermore, patients with MEN 2 and VHL syndromes who have unilateral PGL may also require cortical-sparing adrenalectomy because of the risk of contralateral pheochromocytoma, which would require adrenalectomy. It remains controversial whether partial adrenalectomy should be considered in patients with sporadic unilateral pheochromocytoma. Laparoscopic cortex-sparing adrenalectomy can be performed as described for laparoscopic adrenalectomy in terms of port placements and mobilization of surrounding organs, but subtotal adrenalectomy presents technical difficulties, such as dissection and transection of a highly vascularized gland, choice of adequate resection margins, and amount of gland tissue that must be preserved to maintain adrenocortical functions. Early case series with long follow-up times reported recurrence rates in the range of 10–38%. In addition, partial adrenalectomy does not always ensure cortisol independency postoperatively, and lifelong clinical and biochemical surveillance is necessary to detect recurrent disease; therefore, the benefits and risks of total versus partial (cortical-sparing) adrenalectomy should be discussed with the patient in each individual case (1519).

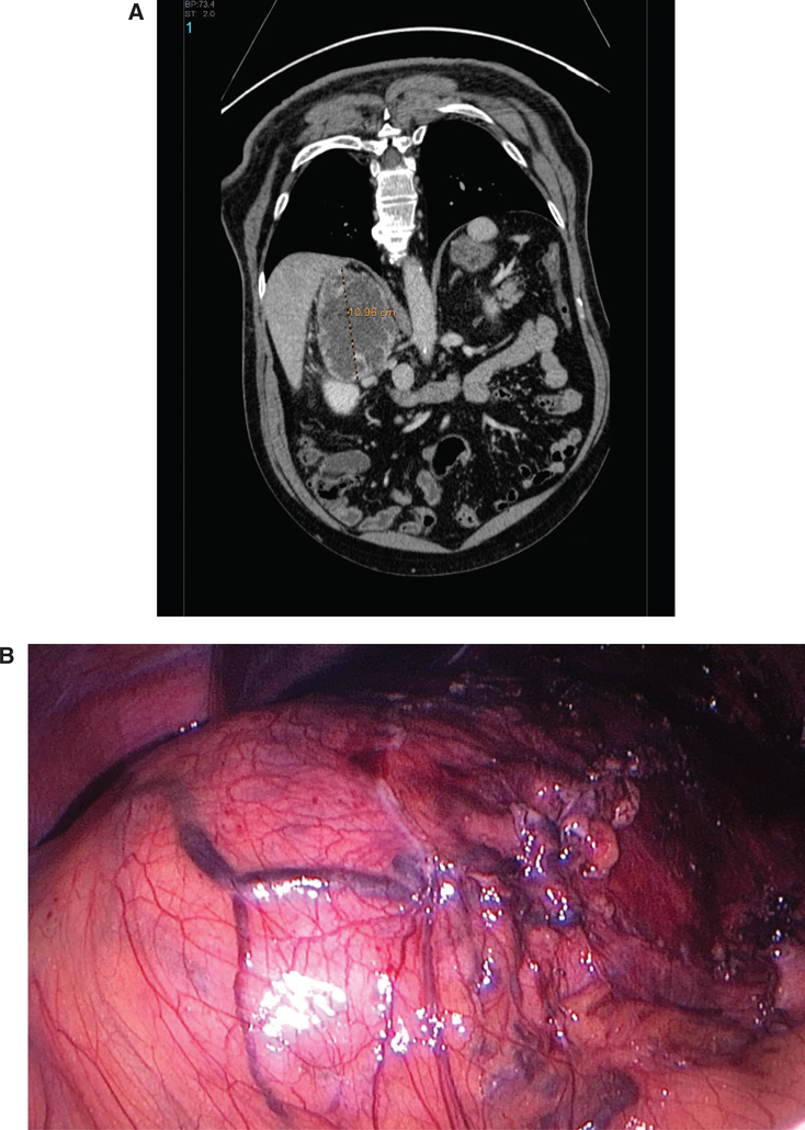
Open adrenalectomy

Open adrenalectomy is indicated in patients with large tumors (size greater than 8–10 cm), and for malignant tumors, in order to ensure complete tumor resection, prevent tumor rupture, and avoid local recurrence (Figure 3). The diagnosis of malignancy is based on large tumor size, evidence of local invasion, and presentation with local/regional recurrence(s). The open approach is also recommended in patients who are positive for a germline SDHB mutation or other less common susceptibility gene mutations, such as FH and HIF2α, which are associated with a high rate of malignancy. In all cases of intra-adrenal or extra-adrenal abdominal PGL, laparoscopic surgery should be converted to open operation when dissection is difficult or there is evidence of invasion, adherence, or malignancy. The most used open approaches are the midline and subcostal laparotomies, but a thoraco-phreno-abdominal incision may be necessary in patients with large, locally invasive tumors, particularly on the right side, where this approach offers an excellent pericaval and retro-hepatic view (1126).

Fig 3

Figure 3 CT imaging (A) and surgical imaging (B) of a right pheochromocytoma.

Anesthetic management

Resecting a catecholamine-secreting tumor is a high-risk surgical procedure; therefore, even with the best preoperative preparation, patients may still have wide blood pressure changes, irregular heart rhythms, and bleeding. For this reason, the surgical and the anesthesia teams must be in constant communication, especially during incision, at the time of division of the venous supply, and during tumor manipulation. The anesthetic technique for PGL resection remains an important challenge, even for the most experienced anesthesiologists. Irrespective of the surgical approach, all PGL patients require general anesthesia and endotracheal intubation. If open surgery is the chosen procedure, an epidural catheter is usually inserted.

Blood pressure monitoring during the surgical procedure is vital and therefore invasive monitoring is imperative in these patients. A central venous access is desirable because these patients are generally vasoconstricted, and fluid replacement and infusion of vasodilators and vasoconstrictors may be needed. The venous access should be acquired by inserting a multi-lumen catheter into a large caliber vein, such as the internal jugular, the axillary, or the subclavian. In patients with severe cardiomyopathy induced by catecholamines, the measure of pulmonary capillary wedge may be useful.

Fluid therapy is a vital but complex component of the perioperative management of PGL patients. While under-hydration will lead to severe hypotension after tumor resection, over-hydration can lead to pulmonary edema and congestive heart failure in an already compromised heart.

The main complication during operation is hemodynamic instability: hypertension before tumor removal and hypotension after tumor removal. Hypertension should be managed with short acting and potent vasodilators.

Treatment options for hypertensive crisis include sodium nitroprusside, phentolamine, and nicardipine.

  1. Sodium nitroprusside is a vasodilator with a short duration of effect and rapid onset of action. It is administered by intravenous infusion initiated at 0.5–5 µg/kg of body weight per minute and adjusted every few minutes. The rate of maximum infusion should be less than 3 µg/kg per minute.
  2. Phentolamine is a nonselective alpha-adrenergic blocker with short action. It is available in 5 mg vials. An initial dose of 1 mg is administered and, if necessary depending on target blood pressure, it may be repeated in 5 mg boluses for continuous infusion. The response to phentolamine is maximal in 2–3 min after a bolus injection and lasts 10–15 min.
  3. Nicardipine can be started at an infusion rate of 5 mg/h and titrated for blood pressure control. Infusion may be increased by 2.5 mg/h every 15 min up to a maximum of 15 mg/h.

If arrhythmias take place, they should be managed with lidocaine (50–100 mg endovenous) or esmolol 50–200 µg/kg per minute e.v. (1, 4, 8). If bilateral adrenalectomy is planned preoperatively, the patient should receive glucocorticoid stress coverage in the operating room. Patients with familial PGL have predisposition to concurrent multiple tumors (e.g., medullary thyroid cancer in MEN 2A patients, cerebellar hemangioblastomas, renal cell carcinomas, and pancreatic islet tumors in von Hippel-Lindau patients, etc.). In general, surgery of catecholamine-secreting tumor has priority over treatment of concurrent pathologies.

General surgical principles

The general principles of PGL surgery include:

Malignant pheochromocytoma/paraganglioma

For malignant PGLs, despite the presence of metastasis, resection should be considered and, in case of non-curatively resectable tumors, surgical debulking is the mainstay of palliative treatment. Resection of primary and metastatic lesions may release the pressure on the surrounding tissues and the decrease in tumor mass can improve symptoms, reduce hormone secretion, prevent complications related to a critical anatomic location, and ameliorate the efficacy of subsequent therapies. Resection may improve survival, although there are no clinical trial data to support this. Although a laparoscopic approach to resection is generally preferred for benign PGLs, malignant tumors are often large or located in areas difficult to remove laparoscopically. In cases in which locoregional infiltration is diagnosed preoperatively or with high suspicion of malignancy, the goal of surgery remains complete excision, which may be facilitated by an open surgical approach that allows lymph node dissection and extensive resection of adjacent tissues and organs (pancreas, spleen, liver, kidney, and vena cava) (Figure 3). In patients with advanced disease, for whom surgical resection is not immediately feasible, locoregional therapies, including embolization, radiofrequency ablation, or selective internal radiation therapy, may be used to downstage the tumor mass and achieve symptomatic relief. Surgical intervention should be performed only in centers with experience in handling patients with malignant PGLs (17, 23, 25).

POSTOPERATIVE MANAGEMENT

Postoperative management will usually require intensive care unit admission. The most common complication is hypotension after tumor removal (prevalence between 20 and 70%). Fluid loading along with vasopressor infusion is required to counteract hypotension. In case of hypotension, hemorrhagic complications should be ruled out first, although the most likely cause of hypotension is the prolonged effect of alpha-adrenoceptor blockers in the presence of reduced plasma catecholamine levels. Postoperative hypertension during the first 24 h after surgery is most likely due to pain, volume overload, or autonomic instability, all of which are treated symptomatically. If hypertension persists, it may be due to incomplete tumor resection, and the tumor should be studied to determine catecholamines and metanephrines in plasma and in 24-h urine. Sudden catecholamine withdrawal after tumor removal also leads to rebound hyperinsulinemia, which, in turn, can result in rebound hypoglycemia. Hourly blood sugar monitoring, at least for the initial 12–24 h of the postoperative period, is mandatory. After tumor removal, catecholamine secretion should fall to normal levels in 1 week (8, 22).

SURGICAL COMPLICATIONS

The main intraoperative complications of laparoscopic adrenalectomy are bleeding and visceral injuries. Hemorrhage represents the major cause of conversion to open surgery. Major hemorrhages come from venous vessels (adrenal, renal, or inferior vena cava) and from arterial vessels (capsular or renal arteries). Minor bleeding may also occur due to loss of the dissection plane or due to hypertensive crises. Injury of solid and hollow organs is infrequent. The liver is the most affected organ (capsular tears), followed by the spleen and the small intestine. The opening of the pleura is not infrequent, but it rarely causes serious problems (26).

CONCLUSION

Surgery is the treatment of choice for functioning PGL. PGL patients are at risk of hemodynamic instability before, during, and after surgery. Therefore, appropriate perioperative management is warranted to prevent these dangerous complications. Resecting a pheochromocytoma is a high-risk surgical procedure and an experienced surgical and anesthesia team is always required. Perioperative treatment of functioning PGL is quite challenging and multidisciplinary management and an experienced center should be a priority.

Conflict of interest: The authors declare no conflicts of interest with respect to research, authorship, and/or publication of this book chapter.

Copyright and permission statement: To the best of our knowledge, the materials included in this chapter do not violate copyright laws. All original sources have been appropriately acknowledged and/or referenced.

REFERENCES

  1. Ramachabdran R, Rewari V. Current perioperative management of pheochromoytomas. Indian J Urol. 2017;33:19–25.
  2. Fishbein L, Orlowski R, Cohen D. Pheochromocytoma/paraganglioma: Review of perioperative management of blood pressure and update on genetic mutations associated with pheochromocytoma. J Clin Hypertens. 2013;15(6):428–34. http://dx.doi.org/10.1111/jch.12084
  3. Cohen D, Fishbein L. Hypertension: A companion to Braunwald’s heart disease secondary hypertension. 1st ed. Chicago: Elsevier; 2018, Secondary hypertension. p. 136–43. https://doi.org/10.1016/B978-0-323-42973-3.00015-9
  4. Young WF. Adrenal causes of hypertension: Pheochromocyoma and primary aldosteronism. Rev Endocr Metab Disord. 2007 Dec;8(4):309–20. http://dx.doi.org/10.1007/s11154-007-9055-z
  5. Proceedings of the VI National Congress of Pharmacology October 2009-plenary lectures. Auton Autacoid Pharmacol. 2010 Apr;30(2):101–65. http://dx.doi.org/10.1111/j.1474-8673.2010.00454.x
  6. Pacak K. Perioperative management of the pheochromocytoma patient. J Clin Endocrinol Metab. 2007 Nov;92(11):4069–79. http://dx.doi.org/10.1210/jc.2007-1720
  7. Havekes B, Romijn JA, Eisenhofer G, Adams K, Pacak K. Update on pediatric pheochromocytoma. Pediatr Nephrol. 2009 May;24(5):943–50. http://dx.doi.org/10.1007/s00467-008-0888-9
  8. Young WF, Nieman LK, Martin KA. Clinical presentation and diagnosis of pheochromocytoma. UpToDate; [cited 2015 Jul]. Available from: http://www.uptodate.com/contents/clinical-presentation-and-diagnosis-of-pheochromocytoma
  9. Lenders JW, Duh QY, Eisenhofer G, Gimenez-Roqueplo A, Grebe S, Hassan M, et al. Pheochromocytoma and paraganglioma: An endocrine society clinical practice guideline. J Clin Endocrinol Metab. 2014;99(6):1915–42. http://dx.doi.org/10.1210/jc.2014-1498
  10. Castinetti F, Kroiss A, Kumar R, Pacak K, Taieb D. 15 years of paraganglioma: Imaging and imaging-based treatment of pheochromocytoma and paraganglioma. Endocr Relat Cancer. 2015;22(4):135–45. http://dx.doi.org/10.1530/ERC-15-0175
  11. Stefanidis D, Goldfarb M, Kercher KW, Hope WW, Richardson W, Fanelli RD. Society of gastrointestinal and endoscopic surgeons. SAGES guidelines for minimally invasive treatment of adrenal pathology. Surg Endosc. 2013;27(11):3960–80. http://dx.doi.org/10.1007/s00464-013-3169-z
  12. Ramacciato G, Nigri GR, Petrucciani N, Di Santo V, Piccoli M, Buniva P, et al. Minimally invasive adrenalectomy: A multicenter comparison of transperitoneal and retroperitoneal approaches. Am Surg. 2011;77(4):409–16.
  13. Elfenbein DM, Scarborough JE, Speicher PJ, Scheri RP. Comparison of laparoscopic versus open adrenalectomy: Results from American College of Surgeons-National Surgery Quality Improvement Project. J Surg Res. 2013;184(1):216–20. http://dx.doi.org/10.1016/j.jss.2013.04.014
  14. Henry JF, Defechereux T, Gramatica L, Raffaelli M. Complications of laparoscopic adrenalectomy: Results of 169 consecutive procedures. World J Surg. 2000;24(11):1342–6. http://dx.doi.org/10.1007/s002680010222
  15. Yip L, Lee JE, Shapiro SE, Waquespack SG, Sherman SI, Hoff AO, et al. Surgical management of hereditary pheochromocytoma. J Am Coll Surg. 2004;198(4):525–34; discussion 534–5. http://dx.doi.org/10.1016/j.jamcollsurg.2003.12.001
  16. Grubbs EG, Rich TA, Ng C, Bhosale PR, Jimenez C, Evans DB, et al. Long-term outcomes of surgical treatment for hereditary pheochromocytoma. J Am Coll Surg. 2013;216(2):280–9. http://dx.doi.org/10.1016/j.jamcollsurg.2012.10.012
  17. Baudin E, Habra MA, Deschamps F, Cote G, Dumont F, Cabanillas M, et al. Therapy of endocrine disease: Treatment of malignant pheochromocytoma and paraganglioma. Eur J Endocrinol. 2014;171(3):R111–22. http://dx.doi.org/10.1530/EJE-14-0113
  18. Pacak K, Chrousos GP, Koch CA, Lenders JW, Eisenhofer G. Pheochromocytoma: Progress in diagnosis, therapy, and genetics. In: Margioris A, Chrousos GP, editors. Adrenal disorders. 1st ed. Totowa: Humana Press; 2001. p. 479–523. http://dx.doi.org/10.1007/978-1-59259-101-5_28
  19. Amar L, Fassnacht M, Gimenez-Roqueplo AP, Januszewicz A, Prejbisz A, Timmers H, et al. Long-term postoperative follow-up in patients with apparently benign pheochromocytoma and paraganglioma. Horm Metab Res. 2012;44:385–9. http://dx.doi.org/10.1055/s-0031-1301339
  20. Weifeng X, Hanzhong L, Zhigang J, Weigang Y, Yushi Z, He Xi, et al. Comparison of retroperitoneoscopic versus transperitoneoscopic resection of retroperitoneal paraganglioma a control study of 74 cases at a single institution. Medicine. 2015;94(7):e538. http://dx.doi.org/10.1097/MD.0000000000000538
  21. Xiao-ke J, Xiang-wu Z, Xiu-lin W, Zheng-ping Y, Yun-feng S, Qi-yu Z, et al. Diagnosis and surgical treatment of retroperitoneal paraganglioma: A single-institution experience of 34 cases. Oncol Lett. 2017;1(4):2268–80. https://doi.org/10.3892/ol.2017.6468
  22. Erickson D, Kudva YC, Ebersold MJ, Thompson GB, Grant CS, van Heerden JA, et al. Benign paragangliomas: Clinical presentation and treatment outcomes in 236 patients. J Clin Endocrinol Metab. 2001;86(11):5210–16. http://dx.doi.org/10.1210/jcem.86.11.8034
  23. P?dziwiatr M, Wierdak M, Natkaniec M, Mat?ok M, Bia?as M, Major P, et al. Laparoscopic transperitoneal lateral adrenalectomy for malignant and potentially malignant adrenal tumours. BMC Surgery. 2015;15:101. http://dx.doi.org/10.1186/s12893-015-0088-z
  24. Weifeng X, Hanzhong L, Zhigang J, Weigang Y, Yushi Z, Xuebin Z. Retroperitoneal laparoscopic management of paraganglioma: A single institute experience. PLoS One. 2016;11(2):e0149433. http://dx.doi.org/10.1371/journal.pone.0149433
  25. Changjun J, Xinlu W, Chaoliu D, Xianmin B, Songlin P, Feng X, et al. Resection of a malignant paraganglioma located behind the retrohepatic segment of the inferior vena cava. BMC Surgery. 2013;13:49. http://dx.doi.org/10.1186/1471-2482-13-49
  26. Vorselaars WMCM, Postma EL, Mirallie E, Thiery J, Lustgarten M, Pasternak JD, et al. Hemodynamic instability during surgery for pheochromocytoma: Comparing the transperitoneal and retroperitoneal approach in a multicenter analysis of 341 patients. Surgery. 2018;163(1):176–82. http://dx.doi.org/10.1016/j.surg.2017.05.029